Plutée blanc

Ce forum permet de montrer des photos de champignons et de discuter sur leur détermination.

Attention: ces déterminations ne permettront pas une consommation des champignons !!!
17 messages Page 1 sur 2

Duche

Messages : 1008
Enregistré le : 14 juil. 2020, 12:15
Nom : Francois Duriez

Message par Duche »
Bonjour à tous

Ce plutée blanc croissant dans le creux d'un tronc, à l'abri de la lumière. Odeur de radis. Pas de fibrilles, semblant feutré.

J'ai fait quelques photos micros. Surement une variété blanche de P.cervinus mais je sollicite quand même votre avis.
Fichiers joints
IMG_20250702_092049.jpg
IMG_20250702_092125.jpg
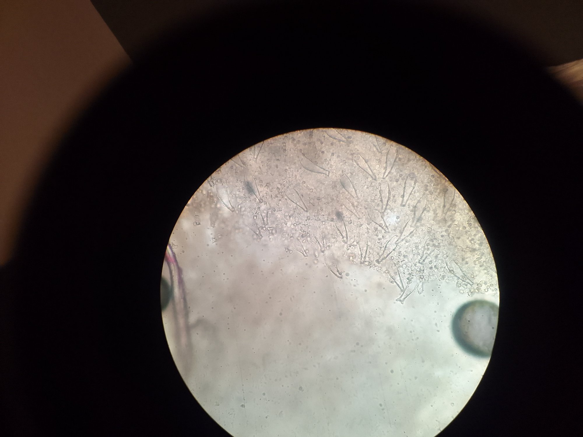
Cuticule
Cuticule

Cuticule
Cuticule
Modifié en dernier par Duche le 04 juil. 2025, 20:57, modifié 2 fois.

Duche

Messages : 1008
Enregistré le : 14 juil. 2020, 12:15
Nom : Francois Duriez

Message par Duche »
Suite
Fichiers joints
Cheilo
Cheilo

Cheilo
Cheilo

IMG_20250703_192601.jpg
IMG_20250703_192805.jpg
Spores avec témoins d'A.bisporus
Spores avec témoins d'A.bisporus

Nommo

Avatar du membre
Messages : 28926
Enregistré le : 18 août 2017, 18:36
Nom : François Desprès
Association : Alès
Localisation : Gard

Message par Nommo »
Bonjour Duché,

Sur feuillus ou sur conifères ?
J’échangerais bien tout ce que je sais contre un pour cent de ce que je ne sais pas. ( Pierre Neville )

Fouad

Avatar du membre
Messages : 19477
Enregistré le : 10 juin 2014, 18:06
Nom : Fouad Ouchène
Association : Société Mycologique de Strasbourg
Localisation : Alsace-Vosges

Message par Fouad »
Bonjour à tous,
Oui, très probablement P. cervinus, les formes pâles à blanches ne sont pas rares.

Duche

Messages : 1008
Enregistré le : 14 juil. 2020, 12:15
Nom : Francois Duriez

Message par Duche »
04 juil. 2025, 15:44Nommo a écrit :
Bonjour Duché,

Sur feuillus ou sur conifères ?
Sur feuillus

Nommo

Avatar du membre
Messages : 28926
Enregistré le : 18 août 2017, 18:36
Nom : François Desprès
Association : Alès
Localisation : Gard

Message par Nommo »
Il y a tellement d’espèces blanches ou blanchâtres dans cette section que je n’ose même plus mettre un nom.
J’échangerais bien tout ce que je sais contre un pour cent de ce que je ne sais pas. ( Pierre Neville )

Fouad

Avatar du membre
Messages : 19477
Enregistré le : 10 juin 2014, 18:06
Nom : Fouad Ouchène
Association : Société Mycologique de Strasbourg
Localisation : Alsace-Vosges

Message par Fouad »
Il y a quand même l'odeur de rave, Nommo. La micro de la cuticule? On ne voit rien. Les lamprocystides ne sont certes pas mesurées...

Nommo

Avatar du membre
Messages : 28926
Enregistré le : 18 août 2017, 18:36
Nom : François Desprès
Association : Alès
Localisation : Gard

Message par Nommo »
Salut Fouad,
Si tu prends la clé de Thierry Duchemin sur les Pluteus avec des cystites à crochets, tu risques de prendre peur.
J’échangerais bien tout ce que je sais contre un pour cent de ce que je ne sais pas. ( Pierre Neville )

Fouad

Avatar du membre
Messages : 19477
Enregistré le : 10 juin 2014, 18:06
Nom : Fouad Ouchène
Association : Société Mycologique de Strasbourg
Localisation : Alsace-Vosges

Message par Fouad »
Oui, je me suis laissé aller vers le plus commun, mais d'autres candidats sont effectivement possibles.
Duche, voici un article qui traite de ce groupe de plutées avec une clé à sa fin. Au boulot !
Fichiers joints
cervinus_Holarctic.pdf
(11.93 Mio) Téléchargé 65 fois

Duche

Messages : 1008
Enregistré le : 14 juil. 2020, 12:15
Nom : Francois Duriez

Message par Duche »
Bonsoir,

J'ai jeté l'exemplaire que j'avais car il pourissait et attirait les mouches. J'irai le récolter demain si ils sont encore en état, peu de chances, c'était il y a 3 jours.

J'ai vu une clé centré sur les plutées blancs.
JustoCastro_Pluteus_nothopellitus.pdf
(692.64 Kio) Téléchargé 60 fois
.

Je saurais pour la prochaine fois qu'il faut regarder aussi les hyphes et les boucles. Je ne sais toujours pas isoler les basides. Je renomme au plus large en espérant le retrouver demain. Après, nombre d'espèces potentielles sont éliminées par la taille des spores et l'odeur.

À très vite.

Duche

Messages : 1008
Enregistré le : 14 juil. 2020, 12:15
Nom : Francois Duriez

Message par Duche »
Bon j'ai quand même retrituré ma lame avec les morceaux de cuticule mais je n'arrive pas à mettre en évidence les hyphes. Que faut-il faire?

Fouad

Avatar du membre
Messages : 19477
Enregistré le : 10 juin 2014, 18:06
Nom : Fouad Ouchène
Association : Société Mycologique de Strasbourg
Localisation : Alsace-Vosges

Message par Fouad »
Il faut être précis et travailler avec une loupe, ou sous une bino pour les prélèvement. Si tu ne veux pas travailler sous une loupe, alors laisse tomber la micro. Il faut savoir un moment donné d'où provient ce que nous voyons.
Il faut peut être un petit sacrifice si tu souhaites parvenir à quelque chose qui te facilitera la détermination.

Duche

Messages : 1008
Enregistré le : 14 juil. 2020, 12:15
Nom : Francois Duriez

Message par Duche »
Ok. Que dois-je acheter comme loupe pour cela?

Fouad

Avatar du membre
Messages : 19477
Enregistré le : 10 juin 2014, 18:06
Nom : Fouad Ouchène
Association : Société Mycologique de Strasbourg
Localisation : Alsace-Vosges

Message par Fouad »
Bonjour,
Pour commencer, celle-ci fera certainement l'affaire.
Pour avoir un peu plus de confort et faire des observations (autres que juste un prélèvement), celle-là est très bien.

Duche

Messages : 1008
Enregistré le : 14 juil. 2020, 12:15
Nom : Francois Duriez

Message par Duche »
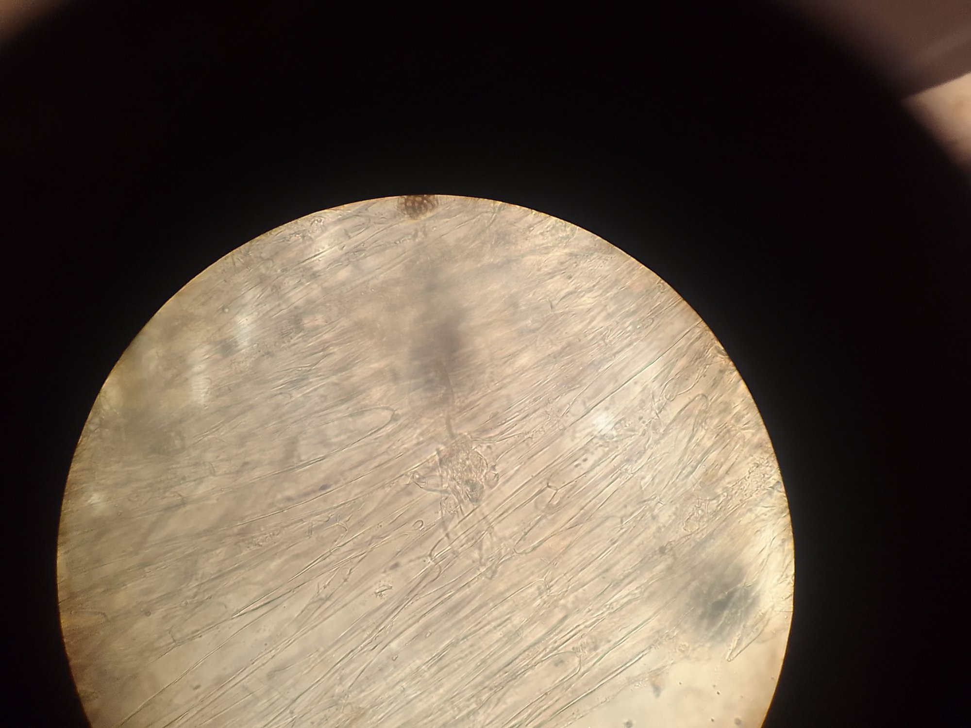
Bonsoir, j'ai récolté hier. Les 2 chapeaux étaient bouffés. J'ai pris un des 2 pieds pas trop abimé. Je viens de faire la micro des hyphes du pied : pas de boucles.
Fichiers joints
IMG_20250706_190003~2.jpg
IMG_20250706_190730.jpg
IMG_20250706_190228.jpg
IMG_20250706_190655.jpg
IMG_20250706_191112.jpg
17 messages Page 1 sur 2