Plutée semblant terrestre

Ce forum permet de montrer des photos de champignons et de discuter sur leur détermination.

Attention: ces déterminations ne permettront pas une consommation des champignons !!!
15 messages Page 1 sur 1

Duche

Messages : 1008
Enregistré le : 14 juil. 2020, 12:15
Nom : Francois Duriez

Message par Duche »
Bonsoir à tous,

Ce specimen trouvé là où je travaille ce qui m'a permis d'observer les spores au microscope. Je pensais de prime abord avoir affaire à un entolome mais en regardant les lames en coupe transversale, je crois que c'est un Plutée. Un seul autre exemplaire trop vieux à 2 mètres.

Chapeau brun franchement noiratre, assez sec, et légèrement granuleux au toucher.

Pied à la base épaissie, gris avec des fibrilles blanches.

Lames : libres, ventrues

Chair: grise

Odeur: complètement inodore pour mon nez comme pour celui de ma collègue

Biotope: pelouse avec des arbres à proximité pins, sapins et un feuillu que je n'ai pas pris le temps d'identifier.

Pour les spores, je vous laisse juge. Je ne suis pas encore familiarisé avec le vocabulaire afférent. Je dirai peut-être maladroitement qu'elles sont subglobuleuses à elliptiques avec un pore germinatif pas toujours très net. J'ai du mal à decrire la surface. Vous me corrigerez.

Je m'orientai vers le plutée à pied gris ou des espèces proches.

Merci pour vos conseils et à bientôt.
Fichiers joints
20230504_123820.jpg
20230504_123840.jpg
20230504_123910.jpg
20230504_130144.jpg
20230505_131846.jpg
Modifié en dernier par Duche le 24 mai 2023, 21:14, modifié 1 fois.

Duche

Messages : 1008
Enregistré le : 14 juil. 2020, 12:15
Nom : Francois Duriez

Message par Duche »
Precision: taille : 6 à 7 cm de diamètre pour le chapeau.

Castor74

Avatar du membre
Messages : 29692
Enregistré le : 23 sept. 2011, 17:11
Nom : Laurent Francini
Association : LA CHANTERELLE DE VILLE-LA-GRAND
Localisation : La Yaute - Haute-Savoie (la «vraie» Savoie) ;-)
Site Internet

Message par Castor74 »
Up?
http://www.francini-mycologie.fr/index.htmlMyco-botaniste passionné!Nikon D90 - F-S DX 18-200 mm f:3,5/5,6 G ED VRII - AF-S Nikkor 105 mm macro f:2.8 G ED - Micro Nikkor 60 mm f:2.8

Duche

Messages : 1008
Enregistré le : 14 juil. 2020, 12:15
Nom : Francois Duriez

Message par Duche »
Bonsoir a tous.

Le week-end humide et relativement chaud a déclenché une poussée spectaculaire de nombreuses espèces et de jeunes pousses de notre Plutée sur ce site. Photos de ce lundi. J'ai fait sporuler et sécher et le chapeau a pris une teinte noirâtre identique à l'exemplaire originellement présenté quand je l'ai regardé ce midi. Toujours une teinte grise sur les pieds, plus marquée à la base. Toujours pas d'odeur. Je pourrais faire une nouvelle observation des spores avec la nouvelle lame la semaine prochaine. Je penche de plus en plus franchement pour Pluteus griseopus. Au plaisir de lire vos avis.

A bientôt.
Fichiers joints
20230515_112020.jpg
20230515_112036.jpg
20230515_112119.jpg

Fouad

Avatar du membre
Messages : 19580
Enregistré le : 10 juin 2014, 18:06
Nom : Fouad Ouchène
Association : Société Mycologique de Strasbourg
Localisation : Alsace-Vosges

Message par Fouad »
Bonjour François,
Les spores chez les plutées n'apportent pas grand chose.
Fais sécher un bout sain (pas un bout de sein) je peux regarder si tu veux.

Duche

Messages : 1008
Enregistré le : 14 juil. 2020, 12:15
Nom : Francois Duriez

Message par Duche »
16 mai 2023, 20:04Fouad a écrit :
Bonjour François,
Les spores chez les plutées n'apportent pas grand chose.
Fais sécher un bout sain (pas un bout de sein) je peux regarder si tu veux.
Merci Fouad. Je ferai un prélèvement demain et je t'envoie cela. Merci encore.

A très vite.

Fouad

Avatar du membre
Messages : 19580
Enregistré le : 10 juin 2014, 18:06
Nom : Fouad Ouchène
Association : Société Mycologique de Strasbourg
Localisation : Alsace-Vosges

Message par Fouad »
Bonjour,
Micro faite et à suivre, il s'agit de Pluteus satur.
Pileipellis constitué de cellules pigmentées sphéropédonculées. Boucles absentes
Pileipellis constitué de cellules pigmentées sphéropédonculées. Boucles absentes
Cellules sphéropédonculées
Cellules sphéropédonculées
Pleurocystides utriformes à fusiformes
Pleurocystides utriformes à fusiformes
Cheilocystides similaires
Cheilocystides similaires
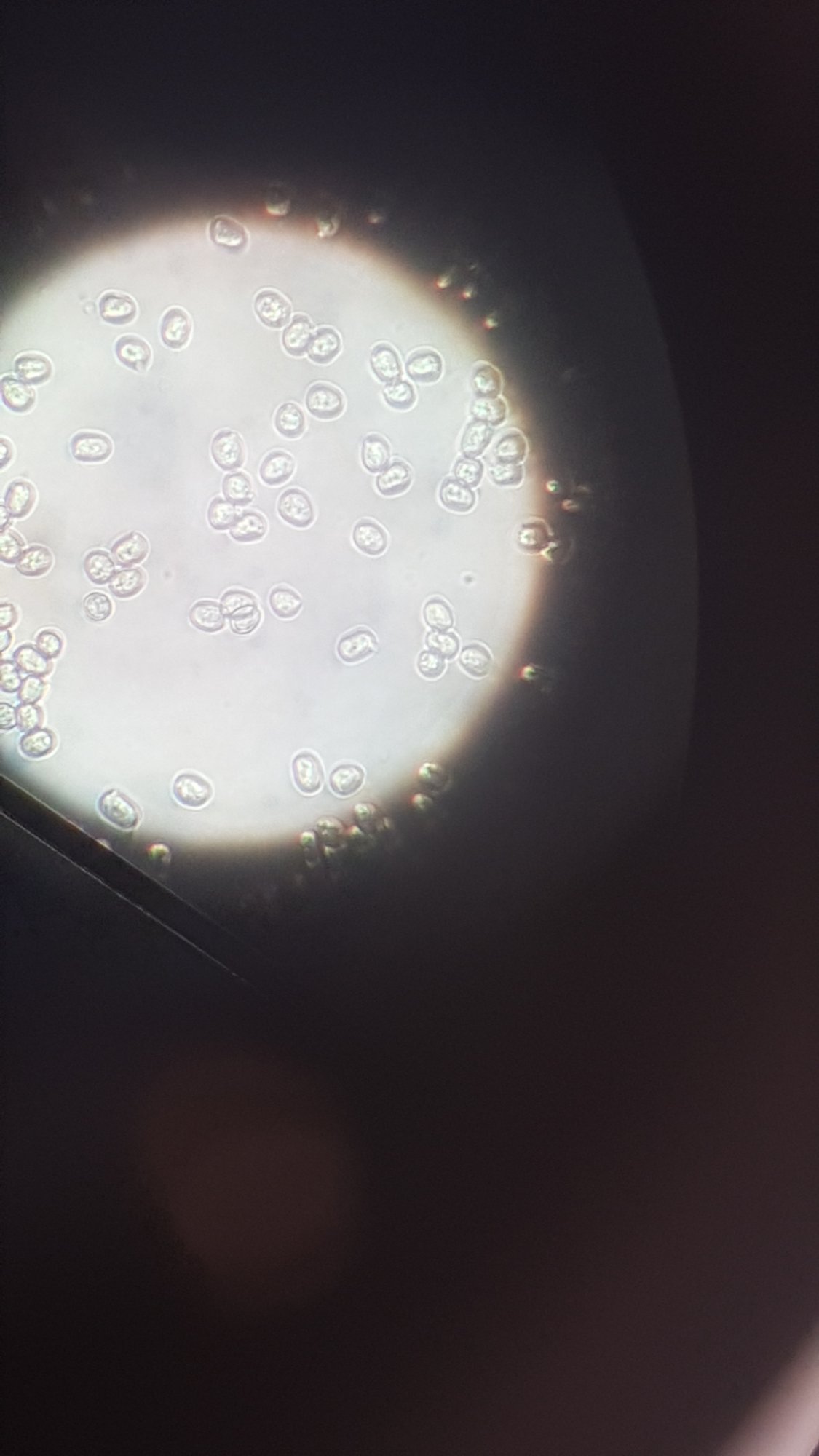
Spores subglobuleuses, parfois elliptiques
Spores subglobuleuses, parfois elliptiques

Jplm

Avatar du membre
Messages : 38368
Enregistré le : 03 oct. 2011, 10:37
Nom : Jean-Pierre Lachenal-Montagne
Associations : Société Mycologique de France - Associu U Muchjinu : Société Mycologique de Porto-Vecchio
Localisation : Paris, parfois Corse

Message par Jplm »
Bonsoir,

Je n'ai pas trop de doc sur les plutées. Sur cette jolie micro, qu'est-ce qui est déterminant, les cellules sphéropédonculées ?

Jplm
Jean-Pierre Lachenal-Montagne

Fouad

Avatar du membre
Messages : 19580
Enregistré le : 10 juin 2014, 18:06
Nom : Fouad Ouchène
Association : Société Mycologique de Strasbourg
Localisation : Alsace-Vosges

Message par Fouad »
Bonjour,
Oui entre autres, mais surtout, Jp.

Sur le point macroscopique : P. satur peut avoir un chapeau qui va du brun sombre noirâtre au brun plus clair comme sur le second individu (celui examiné), non fibrilleux à l'examen sous la loupe. Un pied blanc à blanchâtre se couvrant de fibrilles grises sur la partie basse (1er individu). L'arête des lames n'est pas colorée.

Microscopiquement : il présente un pileipellis de type celluloderma : constitié uniquement de cellules sphériques plus ou moins clavées et sphéropédonculées. Pas de boucles. Présence de pleurocystides et cheilocystides utrifomes en majorité environ 40-70 x 15-30 µ. Spores subloglobuleuses ~ 7-8 x 6-6,5 µ
Modifié en dernier par Fouad le 29 mai 2023, 18:10, modifié 2 fois.

Nommo

Avatar du membre
Messages : 29056
Enregistré le : 18 août 2017, 18:36
Nom : François Desprès
Association : Alès
Localisation : Gard

Message par Nommo »
Je me répète mais tes micros sont superbes, Fouad.
C’est très tentant de créer un nouveau forum pour accueillir ces documents, les tiens, ceux de Richard et d’autres.
J’échangerais bien tout ce que je sais contre un pour cent de ce que je ne sais pas. ( Pierre Neville )

Jplm

Avatar du membre
Messages : 38368
Enregistré le : 03 oct. 2011, 10:37
Nom : Jean-Pierre Lachenal-Montagne
Associations : Société Mycologique de France - Associu U Muchjinu : Société Mycologique de Porto-Vecchio
Localisation : Paris, parfois Corse

Message par Jplm »
Elles peuvent très bien aller sur la fiche de l'espèce dans la galerie, comme le fait parfois Richard.

Jplm


D'autant qu'en la présente occurrence, cette espèce est absente de la galerie, ce serait l'occasion de l'y mettre.
Jean-Pierre Lachenal-Montagne

Nommo

Avatar du membre
Messages : 29056
Enregistré le : 18 août 2017, 18:36
Nom : François Desprès
Association : Alès
Localisation : Gard

Message par Nommo »
Bonjour Jean-Pierre,

Oui, exact.
Le seul problème est que la micro soit doublée d’une photo qui mérite la galerie.
J’échangerais bien tout ce que je sais contre un pour cent de ce que je ne sais pas. ( Pierre Neville )

Jplm

Avatar du membre
Messages : 38368
Enregistré le : 03 oct. 2011, 10:37
Nom : Jean-Pierre Lachenal-Montagne
Associations : Société Mycologique de France - Associu U Muchjinu : Société Mycologique de Porto-Vecchio
Localisation : Paris, parfois Corse

Message par Jplm »
23 mai 2023, 09:16Nommo a écrit :
Oui, exact.
Le seul problème est que la micro soit doublée d’une photo qui mérite la galerie.
Ce n'est pas faux. Je n'ai pas ça en magasin. Appel aux bonnes volontés. Ce n'est pas une espèce courante, deuxième apparition sur le forum en 18 ans. À propos, @Duche, merci de nommer.

Concernant l'étymologie, même rareté : il n'y a que deux espèces qualifiées de satur, l'autre est un Gymnopilus, également de Kühner. L'adjectif satur -a -um (de satis = "assez") signifie "rassasié" mais aussi "saturé" (de couleurs ou en couleur) et "riche, fertile, fécond". Selon Escallon, Kühner a voulu dire "saturé de tons brun chaud".

Le bulletin 72 de la SMF (1956) étant en ligne (https://gallica.bnf.fr/ark:/12148/bpt6k ... /f231.item), je n'ai pas vu cette "saturation de brun" mentionnée mais en même temps on imagine mal quoi d'autre serait saturé dans ce petit champignon. La diagnose latine (https://gallica.bnf.fr/ark:/12148/bpt6k ... 6.vertical) insiste d'ailleurs sur la "belle couleur brun sombre qui ne vire jamais au cendré" et distingue cette espèce de P. cinereofuscus.


Jplm
Jean-Pierre Lachenal-Montagne

Duche

Messages : 1008
Enregistré le : 14 juil. 2020, 12:15
Nom : Francois Duriez

Message par Duche »
Bonsoir,

Renommé. Merci à tous et tout particulièrement à Fouad. cutis? Ce sont les cellules de la cuticule?

A bientôt

Fouad

Avatar du membre
Messages : 19580
Enregistré le : 10 juin 2014, 18:06
Nom : Fouad Ouchène
Association : Société Mycologique de Strasbourg
Localisation : Alsace-Vosges

Message par Fouad »
C'est la cuticule :clindoeil: cutis est mal employé ici. Ou plus exactement Pileipellis, hyménoderme ici.
15 messages Page 1 sur 1