Tubaria de février sur colline calcaire

Ce forum permet de montrer des photos de champignons et de discuter sur leur détermination.

Attention: ces déterminations ne permettront pas une consommation des champignons !!!
13 messages Page 1 sur 1

Fouad

Avatar du membre
Messages : 19669
Enregistré le : 10 juin 2014, 18:06
Nom : Fouad Ouchène
Association : Société Mycologique de Strasbourg
Localisation : Alsace-Vosges

Message par Fouad »
Bonjour,
Les spores font 7,5 x 5 µ en moyenne. Les stipes sont clairs comme vous le voyez. Je ne veux pas regarder les cystides, car il semblerait qu'elles sont toutes pareilles !
P1080617.JPG
Modifié en dernier par Fouad le 14 févr. 2023, 18:39, modifié 2 fois.

Richmond63

Avatar du membre
Messages : 11958
Enregistré le : 29 nov. 2010, 18:43
Nom : Richard Valeri
Association : S.M.B.L.A./A.M.H.A/S.M.F.
Localisation : puy de dôme-montagne thiernoise

Message par Richmond63 »
Spores un peu plus courtes que les miennes, je suppose que tu envisages romagnesiana.
Rectifie ton titre, coll.n. plus :clindoeil: un petit accent sur le mois.

Fouad

Avatar du membre
Messages : 19669
Enregistré le : 10 juin 2014, 18:06
Nom : Fouad Ouchène
Association : Société Mycologique de Strasbourg
Localisation : Alsace-Vosges

Message par Fouad »
Merci Richard. Je redeviens illettré ; oui je l'étais, comme tout le monde :clindoeil:

Fouad

Avatar du membre
Messages : 19669
Enregistré le : 10 juin 2014, 18:06
Nom : Fouad Ouchène
Association : Société Mycologique de Strasbourg
Localisation : Alsace-Vosges

Message par Fouad »
Bonjour,
Les cheilos pour l'anecdote.
cheilos-008.jpg
cheilos-007.jpg
spores-001.jpg
spores-001.jpg (16.26 Kio) Vu 647 fois

Richmond63

Avatar du membre
Messages : 11958
Enregistré le : 29 nov. 2010, 18:43
Nom : Richard Valeri
Association : S.M.B.L.A./A.M.H.A/S.M.F.
Localisation : puy de dôme-montagne thiernoise

Message par Richmond63 »
Il y a quelques grosses spores sur la première photo, pas loin des 10µ, hiemalis probable.

Terradoc En ligne

Messages : 8045
Enregistré le : 01 nov. 2021, 13:39
Nom : THIERRY BLONDELLE
Association : Association de Mycologie et de Botanique de l'Hérault et des Hauts Cantons (AMBHHC)
Localisation : Courniou les grottes (34)_ Parc Naturel régional du Haut-Languedoc

Message par Terradoc »
La majorité des cheilos ressemble à celles de hiemalis mais la taille des spores dit le contraire, du moins celles que tu as mesurées.

Fouad

Avatar du membre
Messages : 19669
Enregistré le : 10 juin 2014, 18:06
Nom : Fouad Ouchène
Association : Société Mycologique de Strasbourg
Localisation : Alsace-Vosges

Message par Fouad »
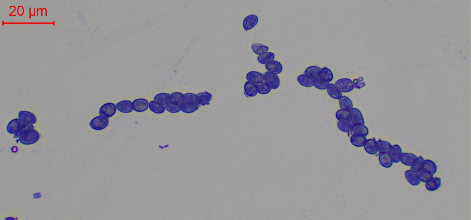
Voici les mesures sur sporée:
N= 20 ; (6.5)6.55-6.7-8(8.2) x (4.1)4.2-4.3-5.6(5.8)
Qm= 1.47

spores-002.jpg

Terradoc En ligne

Messages : 8045
Enregistré le : 01 nov. 2021, 13:39
Nom : THIERRY BLONDELLE
Association : Association de Mycologie et de Botanique de l'Hérault et des Hauts Cantons (AMBHHC)
Localisation : Courniou les grottes (34)_ Parc Naturel régional du Haut-Languedoc

Message par Terradoc »
Salut Fouad,
Tu en conclus quoi ? hiemalis ou romagnesiana .
La taille des spores privilégie plutôt la seconde, sachant que certaines sources la donne comme pouvant pousser également en hiver. Il serait peut-être intéressant de faire une mesure spécifique sur les "grosses" spores dont parle Richard.
La question que je me pose aussi est de savoir si la nature du sol, calcaire ou acide, est un critère de différenciation des 2 espèces. Je n'ai rien trouvé à ce sujet.

Fouad

Avatar du membre
Messages : 19669
Enregistré le : 10 juin 2014, 18:06
Nom : Fouad Ouchène
Association : Société Mycologique de Strasbourg
Localisation : Alsace-Vosges

Message par Fouad »
Salut Thierry,
Merci pour ton intérêt. Comme je crois te l'avoir dit en apartheid :clindoeil: , je ne regarde les cystides que pour les documenter, mais non pour distinguer hiemalis de romagnesiana. Je me base plutôt sur les spores et l'habitat. T. hiemalis possède des spores nettement plus grandes en moyenne vers 8-9 µ - et non seulement sur certaines spores hors normes - et un habitat souvent, mais pas toujours, sur débris de toutes sortes.
Ici, la poussée sous pins sylvestre et chênes sur sol calcaire d'une réserve protégée m'avait inspiré cette investigation qui ne semble pas vaine ; delà à en tirer des conclusions ?

Terradoc En ligne

Messages : 8045
Enregistré le : 01 nov. 2021, 13:39
Nom : THIERRY BLONDELLE
Association : Association de Mycologie et de Botanique de l'Hérault et des Hauts Cantons (AMBHHC)
Localisation : Courniou les grottes (34)_ Parc Naturel régional du Haut-Languedoc

Message par Terradoc »
Tu remarqueras dans mon dernier propos que je ne parle à aucun moment de cystides mais de spores :clindoeil:
Pour la bonne et simple raison que ces cystides aux formes diverses et variées ne me semblent pas des formes très stables mais plutôt intermédiaires évoluant vers un stade qualifié de subcapité à capité. Et donc bien difficile de définir une espèce précise par cette entrée.
D'où mon intérêt pour la nature du sol et du substrat comme une autre entrée possible dans la détermination.

Fouad

Avatar du membre
Messages : 19669
Enregistré le : 10 juin 2014, 18:06
Nom : Fouad Ouchène
Association : Société Mycologique de Strasbourg
Localisation : Alsace-Vosges

Message par Fouad »
Oui, Thierry, tout le monde a remarqué que tu ne soulèves pas la question des cystides ; mais la littérature si.
Nos chevronnés peuvent-ils nous éclairer sur cet aspect du stipe particulièrement clair ici ?

Jplm

Avatar du membre
Messages : 38524
Enregistré le : 03 oct. 2011, 10:37
Nom : Jean-Pierre Lachenal-Montagne
Associations : Société Mycologique de France - Associu U Muchjinu : Société Mycologique de Porto-Vecchio
Localisation : Paris, parfois Corse

Message par Jplm »
Je remonte ce sujet. Désolé de ne pas faire partie des "chevronnés" éventuellement capables de discriminer les Tubaria en lice. Je ne crois pas que ce soit faisable macroscopiquement (qu'on parle du chapeau plus ou moins strié, des restes vélaires, du pied etc) ni par l'habitat. Alors si la micro ne vous persuade pas non plus, c'est sp. !

Jplm
Jean-Pierre Lachenal-Montagne

Fouad

Avatar du membre
Messages : 19669
Enregistré le : 10 juin 2014, 18:06
Nom : Fouad Ouchène
Association : Société Mycologique de Strasbourg
Localisation : Alsace-Vosges

Message par Fouad »
Je renomme : romagnesiana en raison de l'habitat hors débris et les petites spores.
Merci à tous :clindoeil: Surtout à notre mémoire vive JPLM !
13 messages Page 1 sur 1