Passepartout aussi mais c'est pas le même
Ce forum permet de montrer des photos de champignons et de discuter sur leur détermination.
Attention: ces déterminations ne permettront pas une consommation des champignons !!!
Attention: ces déterminations ne permettront pas une consommation des champignons !!!
5 messages
Page 1 sur 1
Rebonsoir,
Ici aussi, pouvoir avoir une idée du genre suffirait à mon bonheur, vu que ça semble encore passe partout mais ardu.
Un PCB. Chapeau 1cm de diamètre. Brun clair plus foncé au centre. Ensemble Élancé.
Pied un peu pruineux.
Le chapeau et surtout les lames ont pris une teinte ocre profond une fois rentré à la case.
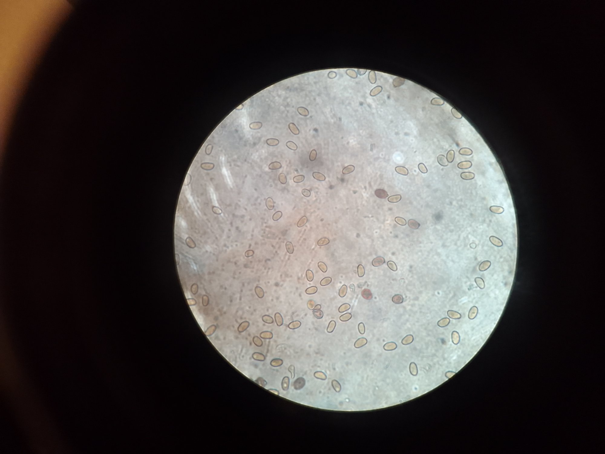
Micro des spores avec spores témoins d' Agaricus bisporus pour comparer la taille. Elles semblent un tantinet plus longues et un peu moins larges. Elles sont lisses.
Cystides abondantes, clavées, en pilon, avec des incrustations présentes sur l'ensemble.
Présence rare de cystides capitées au corps filiforme très fin et à tête sphérique.
À très vite
Ici aussi, pouvoir avoir une idée du genre suffirait à mon bonheur, vu que ça semble encore passe partout mais ardu.
Un PCB. Chapeau 1cm de diamètre. Brun clair plus foncé au centre. Ensemble Élancé.
Pied un peu pruineux.
Le chapeau et surtout les lames ont pris une teinte ocre profond une fois rentré à la case.
Micro des spores avec spores témoins d' Agaricus bisporus pour comparer la taille. Elles semblent un tantinet plus longues et un peu moins larges. Elles sont lisses.
Cystides abondantes, clavées, en pilon, avec des incrustations présentes sur l'ensemble.
Présence rare de cystides capitées au corps filiforme très fin et à tête sphérique.
À très vite
Modifié en dernier par Duche le 21 août 2025, 13:48, modifié 1 fois.
- Plus d'infos
- Messages : 37444
- Enregistré le : 03 oct. 2011, 10:37
- Nom : Jean-Pierre Lachenal-Montagne
- Associations : Société Mycologique de France - Associu U Muchjinu : Société Mycologique de Porto-Vecchio
- Localisation : Paris, parfois Corse
- Plus d'infos
- Messages : 16529
- Enregistré le : 24 juil. 2006, 17:34
- Association : Association Mycologique de l'Ouest
- Localisation : Loire Atlantique, France
Bonjour,
Duche, tu oublies des informations importantes... Avant de te lancer un peu au hasard dans la microscopie (à ce propos, la seconde photo ne montre pour ainsi dire rien d'exploitable), il faut s'attacher à observer tous les caractères macroscopiques. La plupart du temps ils suffisent à trouver le genre ou au moins restreindre le champ de recherche.
Lorsque tu n'as pas une idée du genre, il faut reprendre les fondamentaux : insertion des lames ? couleur de la sporée (comme demandé par Jplm) ?
Duche, tu oublies des informations importantes... Avant de te lancer un peu au hasard dans la microscopie (à ce propos, la seconde photo ne montre pour ainsi dire rien d'exploitable), il faut s'attacher à observer tous les caractères macroscopiques. La plupart du temps ils suffisent à trouver le genre ou au moins restreindre le champ de recherche.
Lorsque tu n'as pas une idée du genre, il faut reprendre les fondamentaux : insertion des lames ? couleur de la sporée (comme demandé par Jplm) ?
L'amanite phalloïde a mauvaise réputation.
C'est pourtant l'un des rares champignons qui soit capable d'abréger les souffrances des myopathes.
Pierre Desproges
C'est pourtant l'un des rares champignons qui soit capable d'abréger les souffrances des myopathes.
Pierre Desproges
- Plus d'infos
- Messages : 29319
- Enregistré le : 23 sept. 2011, 17:11
- Nom : Laurent Francini
- Association : LA CHANTERELLE DE VILLE-LA-GRAND
- Localisation : La Yaute - Haute-Savoie (la «vraie» Savoie) ;-)
Bonjour, up?
http://www.francini-mycologie.fr/index.html • Myco-botaniste passionné! • Nikon D90 - F-S DX 18-200 mm f:3,5/5,6 G ED VRII - AF-S Nikkor 105 mm macro f:2.8 G ED - Micro Nikkor 60 mm f:2.8
5 messages
Page 1 sur 1