Géoglosse
Ce forum permet de montrer des photos de champignons et de discuter sur leur détermination.
Attention: ces déterminations ne permettront pas une consommation des champignons !!!
Attention: ces déterminations ne permettront pas une consommation des champignons !!!
Bonjour,
Un rescapé au cimetière. Récolté avant-hier. Observé au micro hier et, après un nettoyage des objectifs, aujourd'hui. Très très abondants sur leurs stations en automne au sud du cimetière de Lille sud en pelouses moussues, ce qui donnera l'occasion d'en tester d'autres. Mais c'est ma seule station lilloise connue pour ce genre.
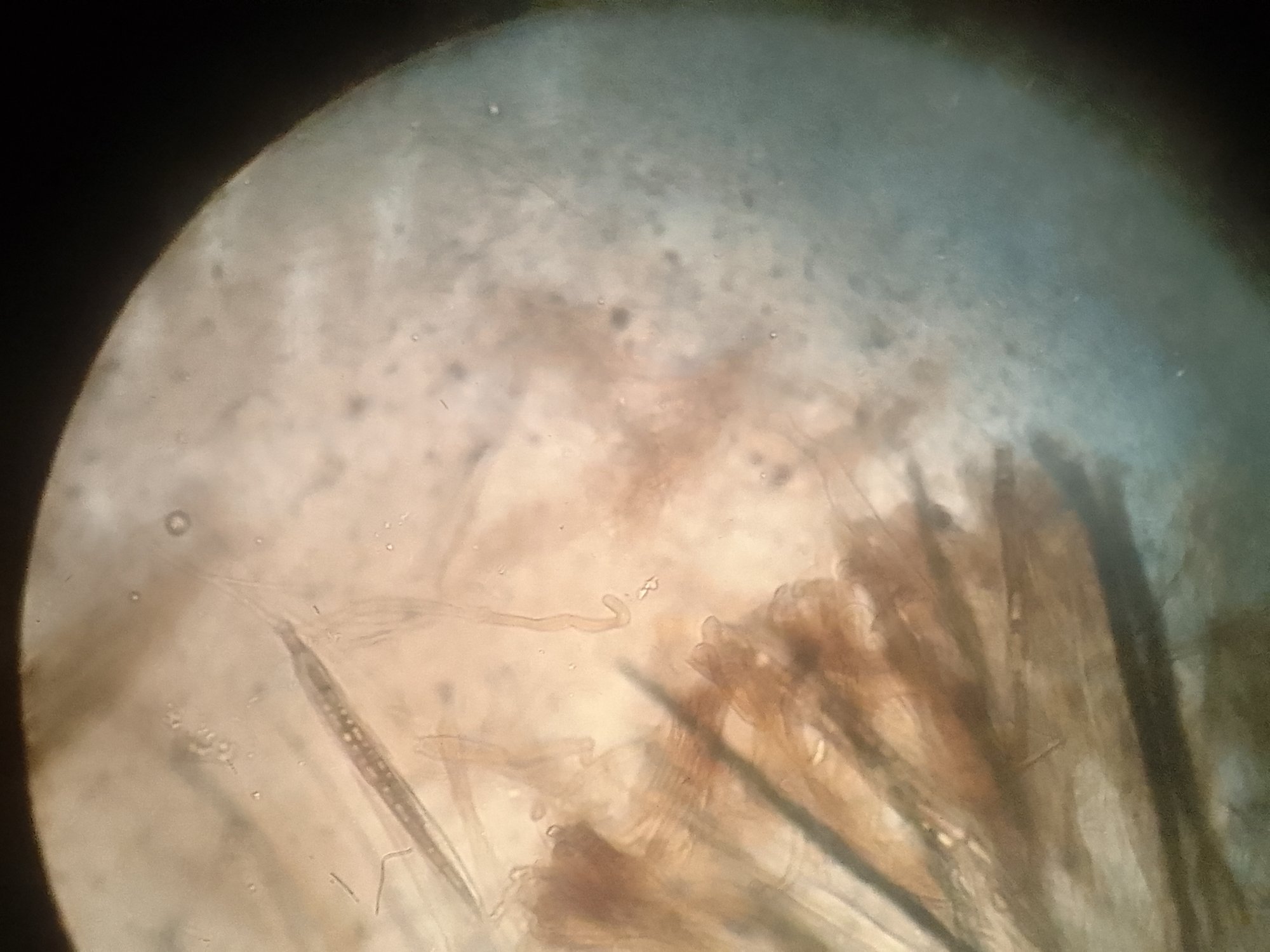
Clavule toujours noire, lisse, souvent linguiforme, souvent avec un sillon, rarement accompagné de specimens en massue (je les vérifierai plus tard), surmonté par un Stipe bien différencié, un peu plus rugueux, cylindrique,souvent régulier, parfois un peu retordu. Pas de poils visibles.
Spores immatures hyalines présentes. Spores matures rares, comptant bien plus de 7 cloisons.
Je veux bien quelques conseils pour l'observation des paraphyses.
J'observe pas mal d'éléments clavés, hyalins.
Qu'en pensez-vous? Peut-être G.fallax?
Un rescapé au cimetière. Récolté avant-hier. Observé au micro hier et, après un nettoyage des objectifs, aujourd'hui. Très très abondants sur leurs stations en automne au sud du cimetière de Lille sud en pelouses moussues, ce qui donnera l'occasion d'en tester d'autres. Mais c'est ma seule station lilloise connue pour ce genre.
Clavule toujours noire, lisse, souvent linguiforme, souvent avec un sillon, rarement accompagné de specimens en massue (je les vérifierai plus tard), surmonté par un Stipe bien différencié, un peu plus rugueux, cylindrique,souvent régulier, parfois un peu retordu. Pas de poils visibles.
Spores immatures hyalines présentes. Spores matures rares, comptant bien plus de 7 cloisons.
Je veux bien quelques conseils pour l'observation des paraphyses.
J'observe pas mal d'éléments clavés, hyalins.
Qu'en pensez-vous? Peut-être G.fallax?
Modifié en dernier par Duche le 05 mars 2025, 19:33, modifié 2 fois.
- Plus d'infos
- Messages : 38335
- Enregistré le : 03 oct. 2011, 10:37
- Nom : Jean-Pierre Lachenal-Montagne
- Associations : Société Mycologique de France - Associu U Muchjinu : Société Mycologique de Porto-Vecchio
- Localisation : Paris, parfois Corse
Bonsoir,
Au niveau macroscopique et des spores multiseptées, Geoglossum fallax m'a l'air d'aller très bien. Ensuite, le reste me dépasse, attendons les spécialistes micro.
Jplm
Tu parles souvent de ce cimetière de Lille, tu y travailles ? Tu l'as peut-être déjà dit.
PS : il y a un petit truc qui me chiffonne, pour G. fallax, MycoDB parle de brun fauvâtre à ambré, rarement noir. Tes champignons sont gris métallique très foncé à carrément noirs, non ?
Au niveau macroscopique et des spores multiseptées, Geoglossum fallax m'a l'air d'aller très bien. Ensuite, le reste me dépasse, attendons les spécialistes micro.
Jplm
Tu parles souvent de ce cimetière de Lille, tu y travailles ? Tu l'as peut-être déjà dit.
PS : il y a un petit truc qui me chiffonne, pour G. fallax, MycoDB parle de brun fauvâtre à ambré, rarement noir. Tes champignons sont gris métallique très foncé à carrément noirs, non ?
Jean-Pierre Lachenal-Montagne
Coucou.
Pour le champignon, mon appareil est toujours aussi merdique. C'est noir, noir. Ce sont de bons clients toujours fidèles.
Sinon, non, je ne travailles pas au cimetière. Mon délire, c'est chercher le champi en ville. J'ai commencé a la mi-octobre en 2019, quand je me suis rendu compte qu'une bonne dizaine d'espèces différentes poussaient... dans le petit jardin de ma résidence en pleine-ville. Je suis sorti et je me suis rendu compte que partout des dizaines d'espèces poussaient en ville et dans les parcs de la ville. 2019, c'était une année de fou, avec le recul.
Depuis, je suis accroc. Je cherche des nouveaux trucs et j'essaie de déterminer. J'ai encore du chemin à faire. Tout ce que je poste sur le forum, est récolté en zone urbaine sur la commune de Lille (90%) et Mons-en-baroeul, sauf 2 ou 3 récoltes à Villeneuve.
Un copain m'avait dit que j'en trouverai 20 ou pas beaucoup plus.
Les cimetières arborées sont de bons spots. Je l'ai compris très tard.
À bientôt.
Pour le champignon, mon appareil est toujours aussi merdique. C'est noir, noir. Ce sont de bons clients toujours fidèles.
Sinon, non, je ne travailles pas au cimetière. Mon délire, c'est chercher le champi en ville. J'ai commencé a la mi-octobre en 2019, quand je me suis rendu compte qu'une bonne dizaine d'espèces différentes poussaient... dans le petit jardin de ma résidence en pleine-ville. Je suis sorti et je me suis rendu compte que partout des dizaines d'espèces poussaient en ville et dans les parcs de la ville. 2019, c'était une année de fou, avec le recul.
Depuis, je suis accroc. Je cherche des nouveaux trucs et j'essaie de déterminer. J'ai encore du chemin à faire. Tout ce que je poste sur le forum, est récolté en zone urbaine sur la commune de Lille (90%) et Mons-en-baroeul, sauf 2 ou 3 récoltes à Villeneuve.
Un copain m'avait dit que j'en trouverai 20 ou pas beaucoup plus.
Les cimetières arborées sont de bons spots. Je l'ai compris très tard.
À bientôt.
Bonjour,
D'accord avec JPLM, la couleur ne correspond pas vraiment pour Fallax.
Il faudrait peu-être regarder du côté de Geoglossum umbratile ou de sphragnophillum (pousse dans la sphaigne), car ils sont tous les deux bien noirs.
La micro a l'air de bien correspondre avec les descriptions des Champignons de Suisse (J Breitenbach / F Kränzlin) tome 1
Cordialement
D'accord avec JPLM, la couleur ne correspond pas vraiment pour Fallax.
Il faudrait peu-être regarder du côté de Geoglossum umbratile ou de sphragnophillum (pousse dans la sphaigne), car ils sont tous les deux bien noirs.
La micro a l'air de bien correspondre avec les descriptions des Champignons de Suisse (J Breitenbach / F Kränzlin) tome 1
Cordialement
- Plus d'infos
- Messages : 16551
- Enregistré le : 24 juil. 2006, 17:34
- Association : Association Mycologique de l'Ouest
- Localisation : Loire Atlantique, France
Bonjour,
Je conseille la clé des Géoglosses de France par Jean-Paul Priou, plus fiable que le BK :
Geoglossum
Je conseille la clé des Géoglosses de France par Jean-Paul Priou, plus fiable que le BK :
Geoglossum
L'amanite phalloïde a mauvaise réputation.
C'est pourtant l'un des rares champignons qui soit capable d'abréger les souffrances des myopathes.
Pierre Desproges
C'est pourtant l'un des rares champignons qui soit capable d'abréger les souffrances des myopathes.
Pierre Desproges
- Plus d'infos
- Messages : 38335
- Enregistré le : 03 oct. 2011, 10:37
- Nom : Jean-Pierre Lachenal-Montagne
- Associations : Société Mycologique de France - Associu U Muchjinu : Société Mycologique de Porto-Vecchio
- Localisation : Paris, parfois Corse
Bonjour,
On ne voit aucun poil, même en zoomant sur le pied, ça peut être confirmé à la loupe mais a priori j'oublierais les Trichoglossum. Par ailleurs on compte plus de 11 cloisons sur plusieurs spores, ce qui, d'après la clé, élimine G. fallax et oriente vers G. peckianum. Je ne sais pas juger si les paraphyses confirment.
Jplm
On ne voit aucun poil, même en zoomant sur le pied, ça peut être confirmé à la loupe mais a priori j'oublierais les Trichoglossum. Par ailleurs on compte plus de 11 cloisons sur plusieurs spores, ce qui, d'après la clé, élimine G. fallax et oriente vers G. peckianum. Je ne sais pas juger si les paraphyses confirment.
Jplm
Jean-Pierre Lachenal-Montagne
- Plus d'infos
- Messages : 16551
- Enregistré le : 24 juil. 2006, 17:34
- Association : Association Mycologique de l'Ouest
- Localisation : Loire Atlantique, France
Il manque des infos importantes... Observer le pied à la loupe ou au microscope à faible grossissement, observer les paraphyses.
Voir ma récolte dont je pensais qu'il s'agissait de Geoglossum peckianum, espèce plutôt rare contrairement à Trichoglossum hirsutum : Rare... ou pas ? Trichoglossum hirsutum (Pers.) Boud.
Voir ma récolte dont je pensais qu'il s'agissait de Geoglossum peckianum, espèce plutôt rare contrairement à Trichoglossum hirsutum : Rare... ou pas ? Trichoglossum hirsutum (Pers.) Boud.
L'amanite phalloïde a mauvaise réputation.
C'est pourtant l'un des rares champignons qui soit capable d'abréger les souffrances des myopathes.
Pierre Desproges
C'est pourtant l'un des rares champignons qui soit capable d'abréger les souffrances des myopathes.
Pierre Desproges
- Plus d'infos
- Messages : 38335
- Enregistré le : 03 oct. 2011, 10:37
- Nom : Jean-Pierre Lachenal-Montagne
- Associations : Société Mycologique de France - Associu U Muchjinu : Société Mycologique de Porto-Vecchio
- Localisation : Paris, parfois Corse
C'est ce que je disais à 10h58, que je ne sais pas juger si les paraphyses confirment. D'ailleurs dès hier Duche demandait de l'aide pour l'observation des paraphyses. Y en a t-il sur les photos, doit-il et peut-il refaire une micro, comment ?
Jplm
Jplm
Jean-Pierre Lachenal-Montagne
- Plus d'infos
- Messages : 16551
- Enregistré le : 24 juil. 2006, 17:34
- Association : Association Mycologique de l'Ouest
- Localisation : Loire Atlantique, France
25 févr. 2025, 17:46Jplm a écrit : C'est ce que je disais à 10h58, que je ne sais pas juger si les paraphyses confirment. D'ailleurs dès hier Duche demandait de l'aide pour l'observation des paraphyses. Y en a t-il sur les photos, doit-il et peut-il refaire une micro, comment ?Il faut observer les paraphyses, autrement dit, elles sont importantes pour la détermination et nous n'en voyons pas sur ces photos.
Par contre, il y a des éléments qui indiquent qu'il s'agit d'un Trichoglossum, éléments visibles aussi sur cette planche descriptive de Trichoglossum hirsutum : Extrait de : Arauzo, S. & Iglesias, P. 2014.- La familia Geoglossaceae en la península Ibérica y la Macaronesia
De ce que je vois, la préparation est probablement trop épaisse ou insuffisamment "écrasée", dissociée et manque de liquide. On ne distingue que des spores et...
Si tu parviens à voir des asques, tu devrais aussi voir quelques paraphyses...
L'amanite phalloïde a mauvaise réputation.
C'est pourtant l'un des rares champignons qui soit capable d'abréger les souffrances des myopathes.
Pierre Desproges
C'est pourtant l'un des rares champignons qui soit capable d'abréger les souffrances des myopathes.
Pierre Desproges
- Plus d'infos
- Messages : 38335
- Enregistré le : 03 oct. 2011, 10:37
- Nom : Jean-Pierre Lachenal-Montagne
- Associations : Société Mycologique de France - Associu U Muchjinu : Société Mycologique de Porto-Vecchio
- Localisation : Paris, parfois Corse
- Plus d'infos
- Messages : 16551
- Enregistré le : 24 juil. 2006, 17:34
- Association : Association Mycologique de l'Ouest
- Localisation : Loire Atlantique, France
J'ai essayé de vous orienter vers les éléments visibles sur les photos micro, apparemment, ça ne marche pas...
Il y a des poils !
Il y a des poils !
L'amanite phalloïde a mauvaise réputation.
C'est pourtant l'un des rares champignons qui soit capable d'abréger les souffrances des myopathes.
Pierre Desproges
C'est pourtant l'un des rares champignons qui soit capable d'abréger les souffrances des myopathes.
Pierre Desproges