Amanita excelsa var. spissa

Vos plus belles photos d'espèces...
1 message Page 1 sur 1

Fouad

Avatar du membre
Messages : 19157
Enregistré le : 10 juin 2014, 18:06
Nom : Fouad Ouchène
Association : Société Mycologique de Strasbourg
Localisation : Alsace-Vosges

Message par Fouad »
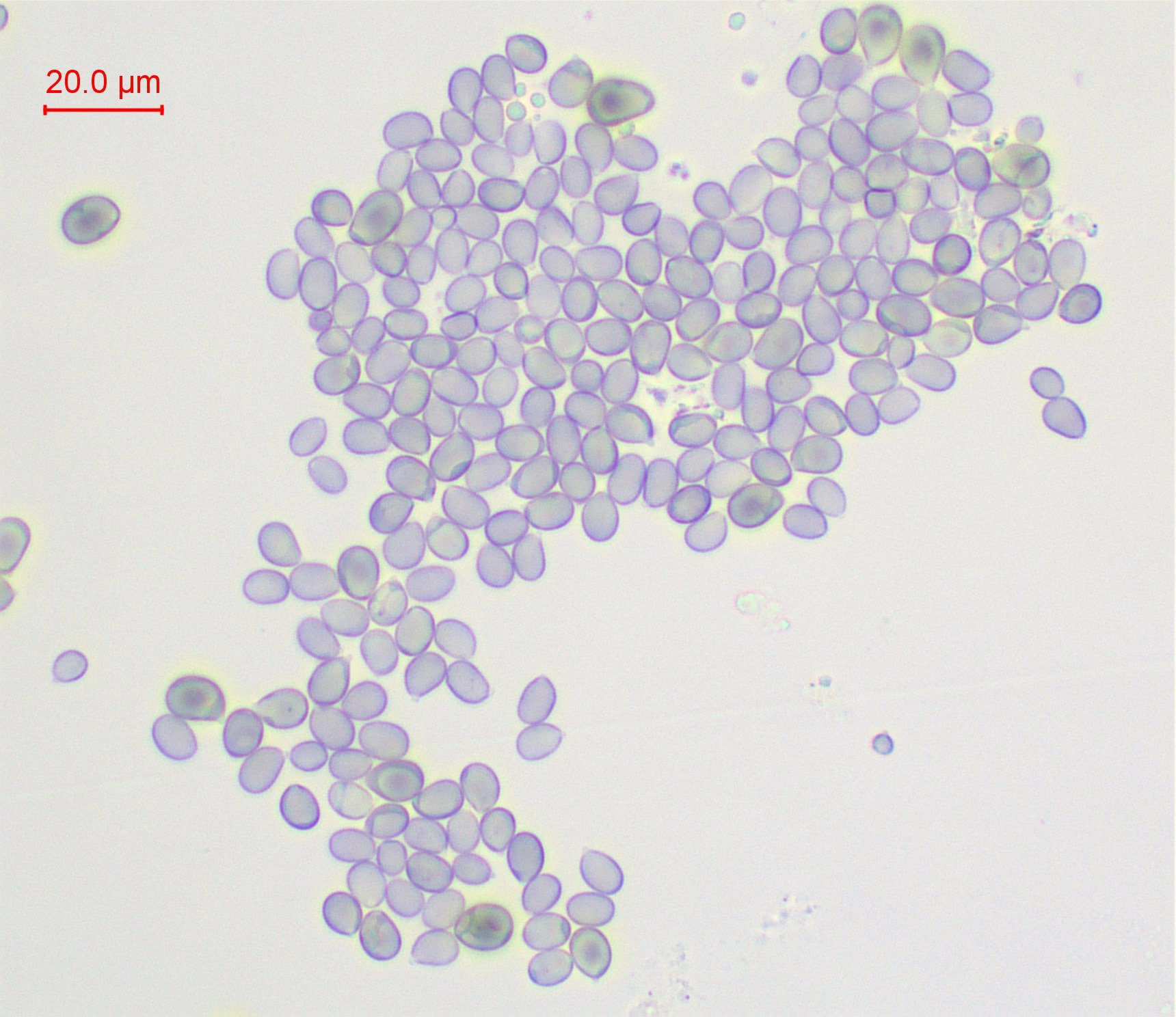
Récolte sous Fagus après quelques jours de pluie. Odeur raphanoïde. Spores elliptiques à ovoïdes ~ 9x7µ.
KOH 10% négatif sur chapeau et lames, faiblement jaune sur le stipe.
IMG_0494.JPG
IMG_0496.JPG
Spores prélevées sur une lame ; amyloïdes ; 9x7µ
Spores prélevées sur une lame ; amyloïdes ; 9x7µ
1 message Page 1 sur 1