On galère... avec les Galerina

Ce forum permet de montrer des photos de champignons et de discuter sur leur détermination.

Attention: ces déterminations ne permettront pas une consommation des champignons !!!
21 messages Page 1 sur 2

Mario DG

Avatar du membre
Messages : 1793
Enregistré le : 17 nov. 2008, 16:44
Localisation : Gilly - Belgique

Message par Mario DG »
voici une petite Galerina , dans une pelouse moussue , sur terrain sablonneux (ancienne carrière de sable) , entre un noisettier et un conifère sp.(sapin nordique ???)


Lames espacées ,

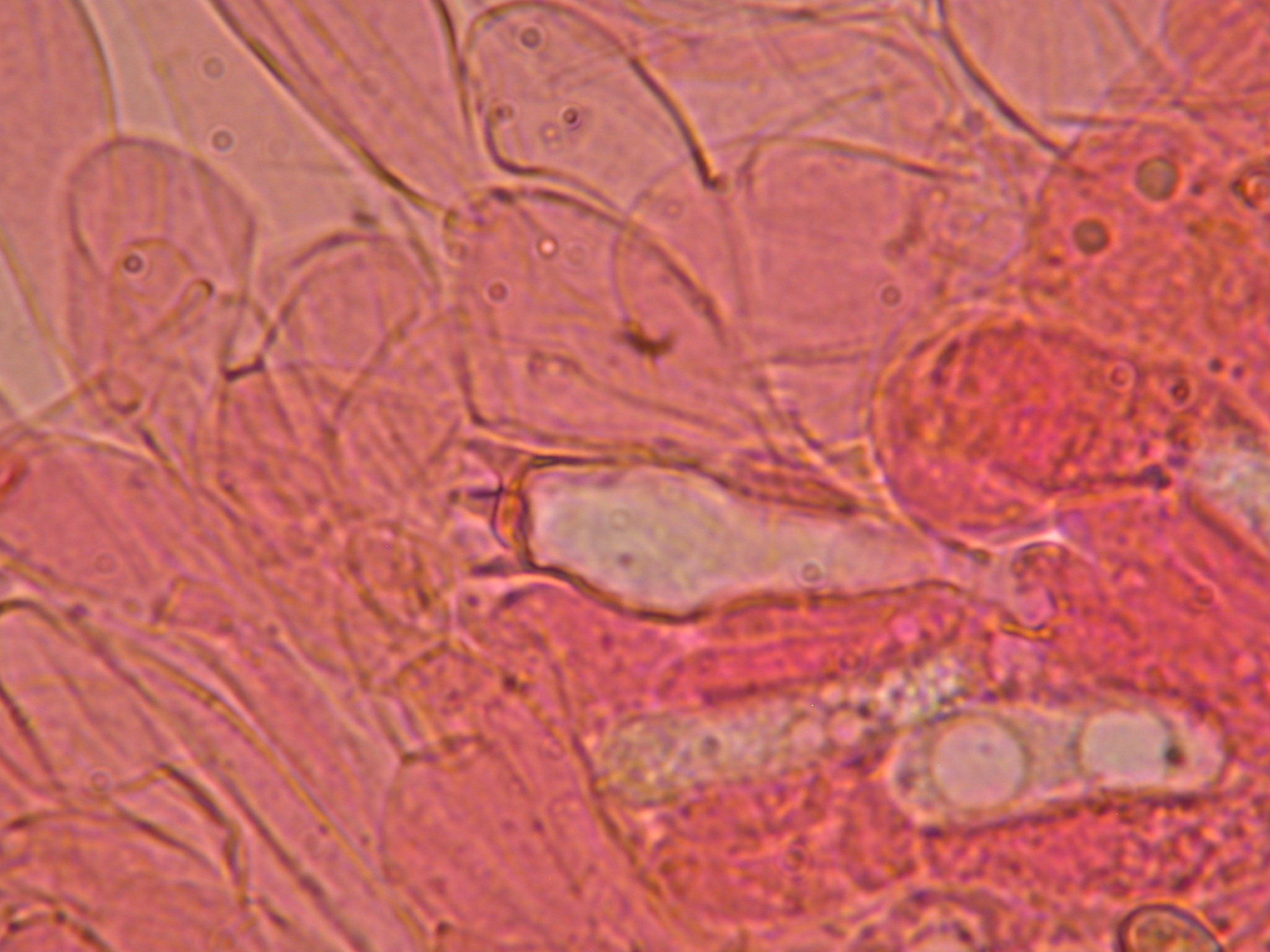
Spores finement pigmentées très grandes , jusqu'à 17/18µ ...x 7/8µ pour les plus grandes , pas de plage apiculaire

Basides bisporiques assez nombreuses parmi les tetrasporiques

Caulocystides capitées en haut du stipe , mais pas sur l'arête des lames... :neutre:

Aucune boucle relevée dans les différentes parties du champi (cutis , basides , stipe...)

Je pensais à Galerina subclavata ... mais quelque chose m'echappe :neutre:

Merci pour toutes infos :grandsourire:


Mario
Fichiers joints
Folx les caves 7 Dec 2011 DSCN0311.JPG
Galerina  Bisporiques  FLC 7 Dec 2011 122.jpg
Galerina  Bisporiques  FLC 7 Dec 2011 030.jpg
Galerina  Bisporiques X1000   FLC 7 Dec 2011 039.jpg
Galerina  Bisporiques  FLC 7 Dec 2011 058.jpg
Galerina   Bisporiques   CAULOCYSTIDES     FLC 7 Dec 2011 105.jpg
Caulocystides
Caulocystides
Modifié en dernier par Mario DG le 15 déc. 2011, 01:24, modifié 1 fois.
Mario

Albert

Avatar du membre
Messages : 2260
Enregistré le : 14 mai 2009, 08:00
Localisation : Loiret(Noyers)

Message par Albert »
Cà m'échappe aussi...t'as mélangé des pieds et des lames..pas de pleuro chez subclavata !

DUBS

Messages : 3028
Enregistré le : 20 déc. 2008, 18:14
Localisation : NO Massif Central

Message par DUBS »
Bjr

comme dit Albert, c'est bizare que tu n'es rien sur les lames ??
ensuite si tu penses qu'elle est bisporique, c'est subclavata, par contre, si c'est tétrasporique c'est clavata !!!??

s'il n'y a pas de cystide ça se complique
Pascal

Mario DG

Avatar du membre
Messages : 1793
Enregistré le : 17 nov. 2008, 16:44
Localisation : Gilly - Belgique

Message par Mario DG »
Albert a écrit :
Cà m'échappe aussi...t'as mélangé des pieds et des lames..pas de pleuro chez subclavata !

qu'on confonde des choux avec des salades... possible , mais des lames et un stipe ... Albert :lol:

+ sérieusement... y a t'il une clé de détermination sur le site pour les Galerina ??? merci :clindoeil:


Mario
Fichiers joints
Bisporiques  FLC 7 Dec 2011 113.jpg
Bisporiques  FLC 7 Dec 2011 116.jpg
Bisporiques  FLC 7 Dec 2011 060.jpg
Galerina   FLC 7 Dec 2011 118.jpg
FLC 7 Dec 2011 056.jpg
Mario

Mario DG

Avatar du membre
Messages : 1793
Enregistré le : 17 nov. 2008, 16:44
Localisation : Gilly - Belgique

Message par Mario DG »
Je relance ...


y a t'il une clé de détermination sur le site pour les Galerina ??? merci


Mario
Mario

Fifi

Avatar du membre
Messages : 16561
Enregistré le : 24 juil. 2006, 17:34
Association : Association Mycologique de l'Ouest
Localisation : Loire Atlantique, France

Message par Fifi »
J'ai cherché sur le forum et le wiki... (tu sais qu'il y a un p'tit moteur de recherche Mario ? :clindoeil: )... non, je n'ai rien trouvé.
L'amanite phalloïde a mauvaise réputation.
C'est pourtant l'un des rares champignons qui soit capable d'abréger les souffrances des myopathes.
Pierre Desproges

Mario DG

Avatar du membre
Messages : 1793
Enregistré le : 17 nov. 2008, 16:44
Localisation : Gilly - Belgique

Message par Mario DG »
Fifi a écrit :
J'ai cherché sur le forum et le wiki... (tu sais qu'il y a un p'tit moteur de recherche Mario ? :clindoeil: )... non, je n'ai rien trouvé.

Merci Fifi ... la Galère sans clé fiable :lol:


elle attendra son prénom :grandsourire:


Mario
Mario

Amanite

Messages : 591
Enregistré le : 28 mai 2009, 21:42

Message par Amanite »
Bonsoir Mario.
Une clé de référence.
Bon courage.

http://mycolim.free.fr/DOC_SML/mycoCLE/ ... es_PAM.cle
Philippe.

Hervé

Avatar du membre
Messages : 1074
Enregistré le : 18 oct. 2010, 21:24
Nom : Hervé Cochard
Association : SMF
Localisation : 63
Site Internet

Message par Hervé »
Mario DG a écrit :
Je relance ...


y a t'il une clé de détermination sur le site pour les Galerina ??? merci


Mario
Tu as a clé de Gulden dans Funga Nordica? Elle est bien.
RV
Hervé Cochard

Mario DG

Avatar du membre
Messages : 1793
Enregistré le : 17 nov. 2008, 16:44
Localisation : Gilly - Belgique

Message par Mario DG »
Amanite a écrit :
Bonsoir Mario.
Une clé de référence.
Bon courage.

http://mycolim.free.fr/DOC_SML/mycoCLE/ ... es_PAM.cle
Philippe.

Merci Philippe ... mais le milieu est différent ici

Mario
Mario

Mario DG

Avatar du membre
Messages : 1793
Enregistré le : 17 nov. 2008, 16:44
Localisation : Gilly - Belgique

Message par Mario DG »
Hervé a écrit :
Tu as a clé de Gulden dans Funga Nordica? Elle est bien.
RV

Bonjour RV ...

Je ne l'ai pas :redface: Peux tu me la procurer , cela m'intéresse

Merci pour vos réponses


Mario
Mario

DUBS

Messages : 3028
Enregistré le : 20 déc. 2008, 18:14
Localisation : NO Massif Central

Message par DUBS »
bjr Mario

in funga nordica, la première dichotomie de la clef est simple : présence ou non de cystides tibiformes, (donc avec un col et terminée par une tête arrondie comme sur ta micro).. mais il n'est pas précisé si ce doit être des cheilo, des pleuro ou des caulocystides (?)... bref tu as mis des images de caulocystides de ce type
ensuite c'est spores < ou > à 8 microns, dans ton cas > sans problème et c'est là que ça se corse pour ton cas car ensuite il faut choisir entre 2 ou 4sporiques pour les basides !!!
visiblement tu parle de plutôt majoritairement tétra ?
dans ce cas dichotomie suivante boucle ou pas boucle, tu dis pas boucle...
aucune boucle du tout (?), spores verruqueuses selon toi ... on arrive clairement à clavata sauf que FN donne des cheilocystides bien présentes et des caulocystides rares !


par contre si tu penses que c'est majoritairement 2sporiques, alors on arrive direct à subclavata dont les spores sont données finement ponctuées sur le dessin de FN et non nettement verruqueuses pour clavata... mais tjs le même constat de cheilo présentes et de caulo rares ?!!

si ça peut te rendre service
Pascal

Sandras francoise

Messages : 342
Enregistré le : 04 mai 2010, 10:34

Message par Sandras francoise »
Bonjour
Je vais encore dire des âneries...
La muscinée semblerait être une Rhytidiales...
Selon ce que j'observe sur les photographies les basides sont tétrasporiques...
Bon, D.M. fascicule 84, page 26, dessine une cheilocystide qui évoque celles de la photographie de Mario
Par contre les caulocytides évoquent des cystides "capitées-tibiformes"...
Je serais tenté de penser à G. heterocystis...pardon...G. clavata...
Est-il impensable d'être en présence d'une récolte "paucicystidié" ?
Cordialement. M.S.

Linda

Avatar du membre
Messages : 5997
Enregistré le : 19 oct. 2008, 20:28
Localisation : Ici et en bourgogne

Message par Linda »
oui, je vois comme Michel, des basides plutôt tétra.

Mario DG

Avatar du membre
Messages : 1793
Enregistré le : 17 nov. 2008, 16:44
Localisation : Gilly - Belgique

Message par Mario DG »
"""Est-il impensable d'être en présence d'une récolte "paucicystidié" ?
Cordialement. M.S."""


Que signifie "paucicystidié" ??? :interrogation:

Comme dirait Lyn... je suis "blond" :grandsourire:


Merci


Mario
Modifié en dernier par Mario DG le 20 déc. 2011, 21:13, modifié 1 fois.
Mario
21 messages Page 1 sur 2