Bord de mare : désarçonnant, ovoïde à tout point de vue
Ce forum permet de montrer des photos de champignons et de discuter sur leur détermination.
Attention: ces déterminations ne permettront pas une consommation des champignons !!!
Attention: ces déterminations ne permettront pas une consommation des champignons !!!
- Précédente
- 1
- 2
28 messages
Page 2 sur 2
- Plus d'infos
- Messages : 38752
- Enregistré le : 03 oct. 2011, 10:37
- Nom : Jean-Pierre Lachenal-Montagne
- Associations : Société Mycologique de France - Associu U Muchjinu : Société Mycologique de Porto-Vecchio
- Localisation : Paris, parfois Corse
Allons Duche, pas de décision hâtive, on t'aime bien ici. Si je devais compter le nombre de fois où j'ai failli quitter le forum après une prise de bec avec Fifi - ou le nombre de fois où d'autres ont failli quitter le forum à cause de moi... puis finalement il y a de bons mycologues ici - y compris Fifi - et on revient toujours.
Jplm
Jplm
Jean-Pierre Lachenal-Montagne
- Plus d'infos
- Messages : 19711
- Enregistré le : 10 juin 2014, 18:06
- Nom : Fouad Ouchène
- Association : Société Mycologique de Strasbourg
- Localisation : Alsace-Vosges
- Plus d'infos
- Messages : 16588
- Enregistré le : 24 juil. 2006, 17:34
- Association : Association Mycologique de l'Ouest
- Localisation : Loire Atlantique, France
Vu la réaction de Duche, je suis obligé de revenir sur ce sujet.
Si vous autres, vous êtes convaincus, tant mieux. J'ai expliqué et argumenté.
Ce qui me chiffonne, c'est que là où il aurait suffit de dire, "Si, si, je t'assure qu'il s'agit du même champignon" et j'aurai fait avec, Duche se vexe de façon disproportionnée pour une broutille à mes yeux.
Si réaction puérile il y a, ce n'est certainement pas la mienne.
Encore une fois : EXCUSEZ-MOI d'avoir douté qu'il s'agissait du même champignon.
SI je ne veux plus intervenir sur tes sujets, Duche, c'est pour ne pas avoir à subir ce genre de réaction. J'en ai assez de devoir ménager les susceptibilités de chacun.
Restes sur le forum, il y a bien assez des autres membres pour t'aider sans avoir besoin de moi.
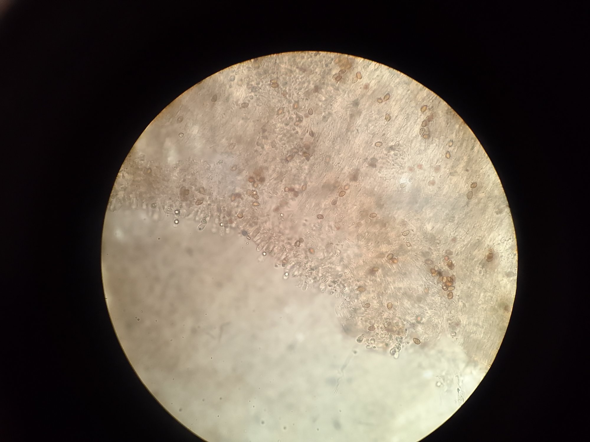
17 sept. 2025, 20:52Fouad a écrit : Fifi, le pied du champignon est particulier avec deux sections verticales. On voit ceci sur les deux photos.Je ne vois pas de quoi tu parles...
Si vous autres, vous êtes convaincus, tant mieux. J'ai expliqué et argumenté.
Ce qui me chiffonne, c'est que là où il aurait suffit de dire, "Si, si, je t'assure qu'il s'agit du même champignon" et j'aurai fait avec, Duche se vexe de façon disproportionnée pour une broutille à mes yeux.
Si réaction puérile il y a, ce n'est certainement pas la mienne.
Encore une fois : EXCUSEZ-MOI d'avoir douté qu'il s'agissait du même champignon.
SI je ne veux plus intervenir sur tes sujets, Duche, c'est pour ne pas avoir à subir ce genre de réaction. J'en ai assez de devoir ménager les susceptibilités de chacun.
Restes sur le forum, il y a bien assez des autres membres pour t'aider sans avoir besoin de moi.
L'amanite phalloïde a mauvaise réputation.
C'est pourtant l'un des rares champignons qui soit capable d'abréger les souffrances des myopathes.
Pierre Desproges
C'est pourtant l'un des rares champignons qui soit capable d'abréger les souffrances des myopathes.
Pierre Desproges
- Plus d'infos
- Messages : 38752
- Enregistré le : 03 oct. 2011, 10:37
- Nom : Jean-Pierre Lachenal-Montagne
- Associations : Société Mycologique de France - Associu U Muchjinu : Société Mycologique de Porto-Vecchio
- Localisation : Paris, parfois Corse
Bonsoir,
Mon point de vue rejoint celui de Fifi :
1 - Des mélanges de photos arrivent effectivement parfois sur le forum.
2 - Ici avec les différences d'éclairage le doute était légitime.
3 - La question de Fifi n'avait rien de méprisant.
4 - La réaction de Duche est disproportionnée.
À quoi j'ajouterais :
5 - ... mais il arrive a tout le monde d'être dans un mauvais jour.
Bref un malentendu à oublier au plus vite. Revenons au champignon
Jplm
Mon point de vue rejoint celui de Fifi :
1 - Des mélanges de photos arrivent effectivement parfois sur le forum.
2 - Ici avec les différences d'éclairage le doute était légitime.
3 - La question de Fifi n'avait rien de méprisant.
4 - La réaction de Duche est disproportionnée.
À quoi j'ajouterais :
5 - ... mais il arrive a tout le monde d'être dans un mauvais jour.
Bref un malentendu à oublier au plus vite. Revenons au champignon
Jplm
Jean-Pierre Lachenal-Montagne
- Plus d'infos
- Messages : 30001
- Enregistré le : 23 sept. 2011, 17:11
- Nom : Laurent Francini
- Association : LA CHANTERELLE DE VILLE-LA-GRAND
- Localisation : La Yaute - Haute-Savoie (la «vraie» Savoie) ;-)
Up?
http://www.francini-mycologie.fr/index.html • Myco-botaniste passionné! • Nikon D90 - F-S DX 18-200 mm f:3,5/5,6 G ED VRII - AF-S Nikkor 105 mm macro f:2.8 G ED - Micro Nikkor 60 mm f:2.8
- Plus d'infos
- Messages : 16588
- Enregistré le : 24 juil. 2006, 17:34
- Association : Association Mycologique de l'Ouest
- Localisation : Loire Atlantique, France
Bonjour, question : la première photo est du 16 septembre, la troisième photo du 17 septembre, le pied a-t-il été remis en place pour cette troisième photo ?
Mon blog : http://www.foretdorleans.com
"Tout le monde savait que c'était impossible. Il est venu un imbécile qui ne le savait pas et qui l'a fait." Marcel Pagnol.
"Tout le monde savait que c'était impossible. Il est venu un imbécile qui ne le savait pas et qui l'a fait." Marcel Pagnol.
- Plus d'infos
- Messages : 19711
- Enregistré le : 10 juin 2014, 18:06
- Nom : Fouad Ouchène
- Association : Société Mycologique de Strasbourg
- Localisation : Alsace-Vosges
Salut Fouad, oui mais quand je compare la photo une et la photo deux je ne suis pas convaincu. Mais ce n'est pas très important, je suis peut-être trop observateur. 
Mon blog : http://www.foretdorleans.com
"Tout le monde savait que c'était impossible. Il est venu un imbécile qui ne le savait pas et qui l'a fait." Marcel Pagnol.
"Tout le monde savait que c'était impossible. Il est venu un imbécile qui ne le savait pas et qui l'a fait." Marcel Pagnol.
- Plus d'infos
- Messages : 38752
- Enregistré le : 03 oct. 2011, 10:37
- Nom : Jean-Pierre Lachenal-Montagne
- Associations : Société Mycologique de France - Associu U Muchjinu : Société Mycologique de Porto-Vecchio
- Localisation : Paris, parfois Corse
- Plus d'infos
- Messages : 19711
- Enregistré le : 10 juin 2014, 18:06
- Nom : Fouad Ouchène
- Association : Société Mycologique de Strasbourg
- Localisation : Alsace-Vosges
- Plus d'infos
- Messages : 38752
- Enregistré le : 03 oct. 2011, 10:37
- Nom : Jean-Pierre Lachenal-Montagne
- Associations : Société Mycologique de France - Associu U Muchjinu : Société Mycologique de Porto-Vecchio
- Localisation : Paris, parfois Corse
- Précédente
- 1
- 2
28 messages
Page 2 sur 2