Bord de mare : désarçonnant, ovoïde à tout point de vue
Ce forum permet de montrer des photos de champignons et de discuter sur leur détermination.
Attention: ces déterminations ne permettront pas une consommation des champignons !!!
Attention: ces déterminations ne permettront pas une consommation des champignons !!!
Bonjour à tous et à toutes
Trouvé hier sur un spot découvert par hasard. J'étais pas prêt et j'ai oublié de faire des photos essentielles de terrain. J'ai prélevé l'unique exemplaire et je l'ai analysé à la maison. La jonction pied chapeau était fragile et s'est brisée dès la récolte.
Le biotope : Zone très humide. Petite mare de 10 m de large aménagée a quelques mètres du Canal de la Deule entre chemin de halage et petit chemin herbeux, limite Lille/Saint-André. Plusieurs espèces de Saules, Peupliers, Aulne glutineux, bouleaux, un ou 2 Pins jeunes isolés. Avec une dizaine d'espèces autour dontLactarius pubescens, 1 Suillus collinitus isolé (déjà vu mais pas dans ce biotope), des Hébeloma mesophaeum, un xerocomoïde non identifié, 2 ou 3 inocybes, et des champis jaunes que je présenterai plus tard.
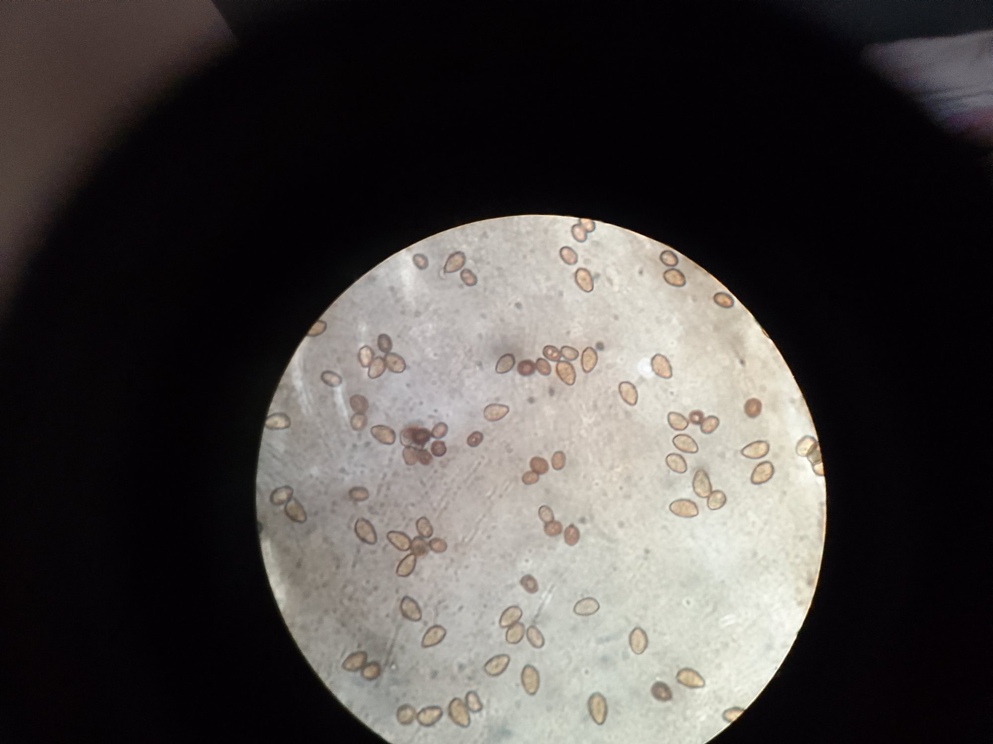
De prime abord, je croyais à une Russule jeune mais massive. Mais les lames m'évoquaient un Hébélome. La sporée est brune-Rouge-Rose un peu bordeaux et je l'ai comparée avec une sporée d'ino. J'ai cru alors Entoloma mais les spores ne colle pas. Photos de spores avec Spores témoinsde champignon de Paris pour faire des comparaisons. Les spores de ce spécimen sont nettement plus grandes, elles sont assez ovoïdes je trouve.
Description macro en photo.
Quelques traits parmi les plus saillants :
_La Sporée et sa coloration rougeâtre
_Le pied en massue, brunissant-brun sombre à la base, creux en haut.
_ L'odeur agréable d'amande, un peu miellée-fleurie, un peu sacchariolens mais pas trop, et la saveur très douce qui colle à l'odeur. Très engageant.
_Le chapeau ovoïde et sa couleur un peu coquille d'oeuf claire/ tendant vers le crème
Beaucoup d'éléments me poussent vers Hebeloma, mais c'est peut-être trop intuitif...
Je vais faire la micro des lames...
A suivre
Trouvé hier sur un spot découvert par hasard. J'étais pas prêt et j'ai oublié de faire des photos essentielles de terrain. J'ai prélevé l'unique exemplaire et je l'ai analysé à la maison. La jonction pied chapeau était fragile et s'est brisée dès la récolte.
Le biotope : Zone très humide. Petite mare de 10 m de large aménagée a quelques mètres du Canal de la Deule entre chemin de halage et petit chemin herbeux, limite Lille/Saint-André. Plusieurs espèces de Saules, Peupliers, Aulne glutineux, bouleaux, un ou 2 Pins jeunes isolés. Avec une dizaine d'espèces autour dontLactarius pubescens, 1 Suillus collinitus isolé (déjà vu mais pas dans ce biotope), des Hébeloma mesophaeum, un xerocomoïde non identifié, 2 ou 3 inocybes, et des champis jaunes que je présenterai plus tard.
De prime abord, je croyais à une Russule jeune mais massive. Mais les lames m'évoquaient un Hébélome. La sporée est brune-Rouge-Rose un peu bordeaux et je l'ai comparée avec une sporée d'ino. J'ai cru alors Entoloma mais les spores ne colle pas. Photos de spores avec Spores témoinsde champignon de Paris pour faire des comparaisons. Les spores de ce spécimen sont nettement plus grandes, elles sont assez ovoïdes je trouve.
Description macro en photo.
Quelques traits parmi les plus saillants :
_La Sporée et sa coloration rougeâtre
_Le pied en massue, brunissant-brun sombre à la base, creux en haut.
_ L'odeur agréable d'amande, un peu miellée-fleurie, un peu sacchariolens mais pas trop, et la saveur très douce qui colle à l'odeur. Très engageant.
_Le chapeau ovoïde et sa couleur un peu coquille d'oeuf claire/ tendant vers le crème
Beaucoup d'éléments me poussent vers Hebeloma, mais c'est peut-être trop intuitif...
Je vais faire la micro des lames...
A suivre
- Plus d'infos
- Messages : 16551
- Enregistré le : 24 juil. 2006, 17:34
- Association : Association Mycologique de l'Ouest
- Localisation : Loire Atlantique, France
- Plus d'infos
- Messages : 16551
- Enregistré le : 24 juil. 2006, 17:34
- Association : Association Mycologique de l'Ouest
- Localisation : Loire Atlantique, France
-
Nommo En ligne
Plus d'infos
- Messages : 28737
- Enregistré le : 18 août 2017, 18:36
- Nom : François Desprès
- Association : Alès
- Localisation : Gard
17 sept. 2025, 14:05Fifi a écrit : OK... si tu le prends mal, je passe la main.Oui. Je le prends très mal. J'accepte toutes les remarques constructives ou qu'on critique les photos floues, les imperfections, les mauvaises micros que je peux faire, mes erreurs de descriptions, etc.... Je ne suis pas susceptible. Mais je pose une limite très nette et ferme acquise par l'expérience : je réagis très mal quand on m'explique implicitement ou explicitement que je perds la tête. Et j'assume. En l'occurrence ici, si on explique d'entrée de jeu que je raccorde les mauvaises photos avec d' autres alors que j'ai fait la récolte hier de 9 espèces dont 7 bien distinctes (les inos à part) que j'ai séparé, je réagis très mal. Parce que ça revient à m'expliquer que je perds la boule ou que je suis à moitié aveugle. C'est vexant.
Cela peut arriver à tout le monde de se tromper.
17 sept. 2025, 14:05Nommo a écrit : Je suis perdu dans toutes ces photos.Laisse tomber Nommo. C'était juste pour démontrer que j'avais pas la berlue. Je n'ai jamais fait ça ici, mais là ça s'imposait. J'accepte toutes les critiques et remarques négatives. Mais il y a des choses que je n'accepte pas.
- Plus d'infos
- Messages : 19307
- Enregistré le : 10 juin 2014, 18:06
- Nom : Fouad Ouchène
- Association : Société Mycologique de Strasbourg
- Localisation : Alsace-Vosges
17 sept. 2025, 13:08Fifi a écrit : Bonjour,C'est juste une question de lumière, Fifi ;)
À mon avis, l’exemplaire de la première photo n’est pas la même chose que ceux des photos suivantes.
François, ne prends pas comme ça la mouche ;) car finalement, c'est Fifi qui se plante - à mon avis bien sûr.
S'il y a des pins - tu mentionnes un Suillus dans les parages - alors la piste lateritium à odeur gourmande est probable. En tout cas, le fait d'écarter l'odeur de radis, cela aide pas mal.
- Plus d'infos
- Messages : 37752
- Enregistré le : 03 oct. 2011, 10:37
- Nom : Jean-Pierre Lachenal-Montagne
- Associations : Société Mycologique de France - Associu U Muchjinu : Société Mycologique de Porto-Vecchio
- Localisation : Paris, parfois Corse
Bonjour,
Les fiches photographiées en lumière artificielle peuvent faire croire à un autre champignon mais c'est très probablement le même.
Je ne vois guère qu'un hébélome, je n'en ai vraisemblablement jamais identifié un correctement mais ici laterinum irait sans doute bien.
Jplm
Les fiches photographiées en lumière artificielle peuvent faire croire à un autre champignon mais c'est très probablement le même.
Je ne vois guère qu'un hébélome, je n'en ai vraisemblablement jamais identifié un correctement mais ici laterinum irait sans doute bien.
Jplm
Jean-Pierre Lachenal-Montagne
- Plus d'infos
- Messages : 16551
- Enregistré le : 24 juil. 2006, 17:34
- Association : Association Mycologique de l'Ouest
- Localisation : Loire Atlantique, France
J'interviens une seule et dernière fois ici, vue la réaction intempestive de Duche.
Ce n'est pas une question de lumière, Fouad.
Je vois sur la première photo un chapeau ouvert (difficile d'y voir une forme ovoïde) à marge enroulée et cannelée.
Sur la seconde, le chapeau parait beaucoup plus refermé, globuleux (ou ovoïde si vous voulez) et dont la marge n'est pas cannelée. Excusez-moi de douter qu'il s'agit du même champignon. Je n'y voyais pas de raison de s'en offusquer et je ne pensais pas déclencher une tempête dans un verre d'eau.
C'est déjà arrivé sur le forum que des membres du forum intervertissent des récoltes ou s'emmêlent les pinceaux avec les sporées ou les photos micros de différentes récoltes, ce n'est pas pour autant qu'ils ont perdu la tête.
Je ne ferai plus de commentaire sur tes sujets, Duche.
Ce n'est pas une question de lumière, Fouad.
Je vois sur la première photo un chapeau ouvert (difficile d'y voir une forme ovoïde) à marge enroulée et cannelée.
Sur la seconde, le chapeau parait beaucoup plus refermé, globuleux (ou ovoïde si vous voulez) et dont la marge n'est pas cannelée. Excusez-moi de douter qu'il s'agit du même champignon. Je n'y voyais pas de raison de s'en offusquer et je ne pensais pas déclencher une tempête dans un verre d'eau.
C'est déjà arrivé sur le forum que des membres du forum intervertissent des récoltes ou s'emmêlent les pinceaux avec les sporées ou les photos micros de différentes récoltes, ce n'est pas pour autant qu'ils ont perdu la tête.
Je ne ferai plus de commentaire sur tes sujets, Duche.
L'amanite phalloïde a mauvaise réputation.
C'est pourtant l'un des rares champignons qui soit capable d'abréger les souffrances des myopathes.
Pierre Desproges
C'est pourtant l'un des rares champignons qui soit capable d'abréger les souffrances des myopathes.
Pierre Desproges
17 sept. 2025, 18:49Fifi a écrit : J'interviens une seule et dernière fois ici, vue la réaction intempestive de Duche.Il ne s'agit pas d'une inversion de sporée ou de photos micros ce qui m'est déjà arrivé et ce que je peux admettre sans problème. Ne mélangeons pas tout. Il s'agit d'un champignon entier récolté hier et pas de 2 inocybes voisins. Si on me fait ça à chaque fois, je vais devoir me justifier à chaque fois. "Es-tu bien sûr que la sporée (ou autre chose) que tu nous montres correspond au champignon que tu as pris en photo? " À ce jeu-là, on n'en a pas fini. cf. la justification au dessus...
Ce n'est pas une question de lumière, Fouad.
Je vois sur la première photo un chapeau ouvert (difficile d'y voir une forme ovoïde) à marge enroulée et cannelée.
Sur la seconde, le chapeau parait beaucoup plus refermé, globuleux (ou ovoïde si vous voulez) et dont la marge n'est pas cannelée.
IMG_01.jpgIMG_02.jpg
Excusez-moi de douter qu'il s'agit du même champignon. Je n'y voyais pas de raison de s'en offusquer et je ne pensais pas déclencher une tempête dans un verre d'eau.
C'est déjà arrivé sur le forum que des membres du forum intervertissent des récoltes ou s'emmêlent les pinceaux avec les sporées ou les photos micros de différentes récoltes, ce n'est pas pour autant qu'ils ont perdu la tête.
Je ne ferai plus de commentaire sur tes sujets, Duche.
Ce type de remarque oblige le récepteur à se justifier sur ce qu'il voit, touche, sent, vit. J'y suis totalement allergique par expérience, malheureuse celà va sans dire. Au vu de la réaction puérile, en mode "je ne commente plus tes publications", je ne veux pas être responsable d'un "froid". Ce genre de mise en doute déclenche chez moi une réaction épidermique. Elle ruine l'esprit de celui qui, de bonne foi, propose, parle, écrit.
Suite au message plein de sagesse de Fouad, j'allais faire amende honorable. Mais le message en réponse de Fifi, avec un peu de morgue, légèrement passif/agressif, me laisse penser que ce type de choses pourraient se reproduire ici. Je n'interviendrai plus sur ce forum. Je ne me sens plus du tout en confiance. Je pense avoir expliquer les choses le plus clairement possible.
Je vous remercie pour votre aide et vous souhaite de bonnes récoltes. Ce fut un plaisir.<3