Croûte joliment porée

Ce forum permet de montrer des photos de champignons et de discuter sur leur détermination.

Attention: ces déterminations ne permettront pas une consommation des champignons !!!
24 messages Page 1 sur 2

Duche

Messages : 1008
Enregistré le : 14 juil. 2020, 12:15
Nom : Francois Duriez

Message par Duche »
Bonjour à tous et à toutes,

Cette croute couleur crème sur branche au sol sous un cèdre au jardin des plantes à Lille trouvée ce vendredi 12. Je crois que la branche provient des viornes environnantes et non du cèdre.

Sur écorce. 1 à 2 cm de long. 3 exemplaires. Entièrement résupinée. Un peu épais.

J'envisageais une Schizopora (genre réputé pas rare mais que je ne connais pas) mais le contrôle des spores a évacué cette possibilité. Sporée blanche ou crème. J'ai laissé sporulé cette nuit sur une lame.

Spores plutôt cylindriques régulières et droites, parfois un peu oblongues ou subfusoïdes, pas vraiment hyalines, non guttulées et sans incrustations ou ornementations visibles, 3-4 x 7-8,5

Je tente une micro avec d'autres éléments ce soir.

A très vite
Fichiers joints
IMG_20250912_155616.jpg
IMG_20250914_121649.jpg
IMG_20250912_155609.jpg

Duche

Messages : 1008
Enregistré le : 14 juil. 2020, 12:15
Nom : Francois Duriez

Message par Duche »
Exemplaire de gauche plus net ici. J'ai toujours ce pb de netteté avec le S A 03 ( c'est du brun).
Fichiers joints
IMG_20250912_155614.jpg

Fouad En ligne

Avatar du membre
Messages : 19388
Enregistré le : 10 juin 2014, 18:06
Nom : Fouad Ouchène
Association : Société Mycologique de Strasbourg
Localisation : Alsace-Vosges

Message par Fouad »
Salut François,
Regarde Ceriporiopsis gilvescens ?
Tu n'as pas un peu exagéré sur la largeur des spores ? A. bisporus a des spores de largeur assez constante de 5 µ (spore de référence introduite).

Nommo

Avatar du membre
Messages : 28846
Enregistré le : 18 août 2017, 18:36
Nom : François Desprès
Association : Alès
Localisation : Gard

Message par Nommo »
Je ne suis pas certain qu’on puisse éliminer Dichomitus campestris dont je refuse d’écrire le nouveau nom de genre, je laisse ce soin à d’autres.
J’échangerais bien tout ce que je sais contre un pour cent de ce que je ne sais pas. ( Pierre Neville )

Fouad En ligne

Avatar du membre
Messages : 19388
Enregistré le : 10 juin 2014, 18:06
Nom : Fouad Ouchène
Association : Société Mycologique de Strasbourg
Localisation : Alsace-Vosges

Message par Fouad »
François-Nommo, les spores ne vont pas.
François-Duche, pense à trouver une solution pour tes mesures.

Duche

Messages : 1008
Enregistré le : 14 juil. 2020, 12:15
Nom : Francois Duriez

Message par Duche »
14 sept. 2025, 13:55Fouad a écrit :
Salut François,
Regarde Ceriporiopsis gilvescens ?
Tu n'as pas un peu exagéré sur la largeur des spores ? A. bisporus a des spores de largeur assez constante de 5 µ (spore de référence introduite).
Je viens de rentrer. Oui Fouad. C'est plus 4 ou 4,5 en largeur que 3. Je regarde vos 2 propositions en essayant de trouver des critères discriminants. Et encore merci pour vos retours, ça fait plaisir.

À très vite.

Duche

Messages : 1008
Enregistré le : 14 juil. 2020, 12:15
Nom : Francois Duriez

Message par Duche »
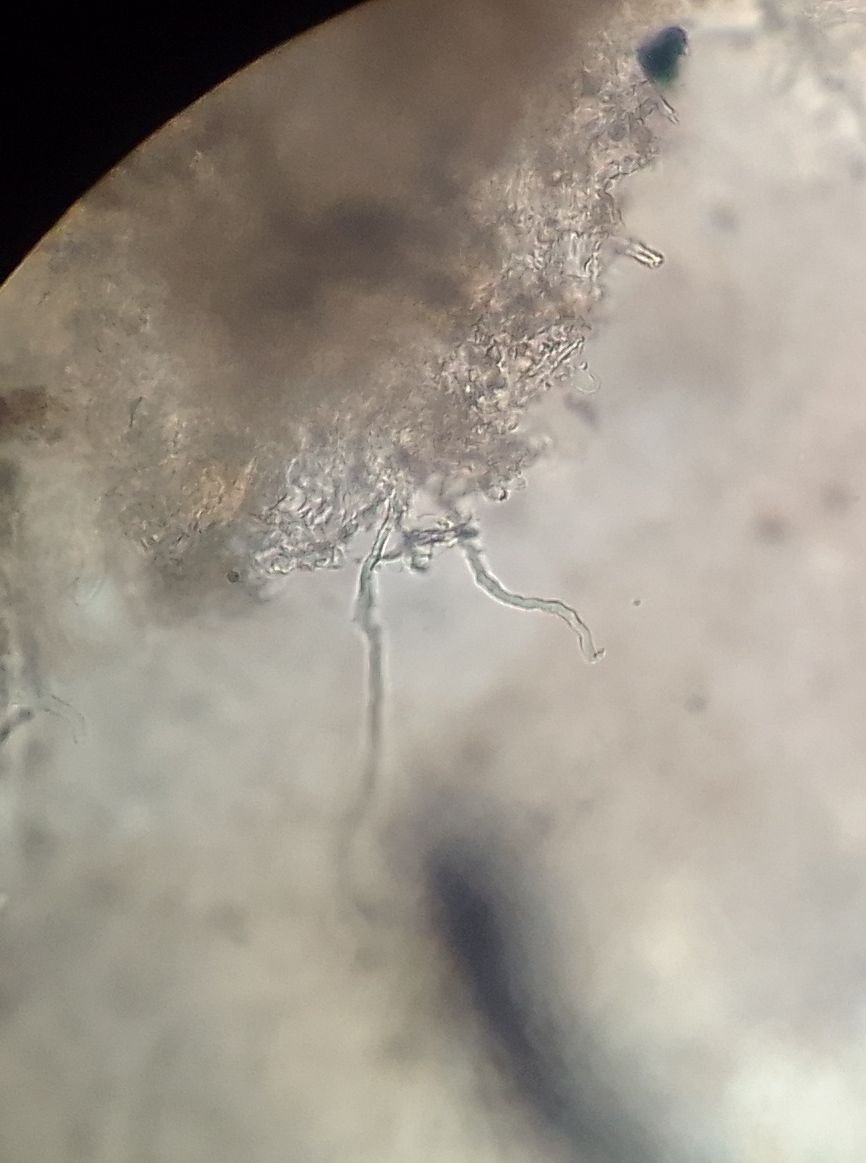
Bonsoir à tous

J'ai fait une lame ce matin mais c'était décevant.

Ce soir, j'ai remis un morceau de lame d'A.bisporus dans ma lame de spores pour réévaluer.

Et j'ai refait une lame avec un morceau de champignon en écrasant et le résultat était aussi décevant : j'ai une soupe d'hyphes enchevêtrés dont j'ai le plus grand mal à observer les jonctions. Les hyphes sont ramifiés avec parfois des terminaisons arrondies et plus rarement légèrement capitées.

Au moins, vous pourrez sans doute mieux appréhender la taille des spores.

Au sec, le champignon à totalement perdu son bel aspect. Les bords ne s'enroule pas et restent solidaires du substrat. Il retrouve presqu'instantanément sa molesse et son volume au contact de l'eau. J'ai séparé un morceau du substrat et tenté de découper un morceau plus fin mais cohérent mais je n'y arrive pas.

Pas facile les croutes...

J'ai regardé vos propositions. Encore des découvertes pour moi. J'ai pas assez de recul pour donner une opinion.

À très vite
Fichiers joints
IMG_20250915_213038~2.jpg
IMG_20250915_212859~2.jpg
IMG_20250915_220459.jpg
IMG_20250915_090053.jpg
IMG_20250915_085945.jpg

Fouad En ligne

Avatar du membre
Messages : 19388
Enregistré le : 10 juin 2014, 18:06
Nom : Fouad Ouchène
Association : Société Mycologique de Strasbourg
Localisation : Alsace-Vosges

Message par Fouad »
Je trouve environ 2,5 µ de large ± 0,3.

Duche

Messages : 1008
Enregistré le : 14 juil. 2020, 12:15
Nom : Francois Duriez

Message par Duche »
Merci et bravo Fouad. J'ai pas encore le compas dans l'oeil. Ou alors, je l'ai, mais au sens littéral. C'est dans les clous de ta proposition, on dirait.

Fouad En ligne

Avatar du membre
Messages : 19388
Enregistré le : 10 juin 2014, 18:06
Nom : Fouad Ouchène
Association : Société Mycologique de Strasbourg
Localisation : Alsace-Vosges

Message par Fouad »
Bonjour,
Je mesure sur Mycometre en prenant la largeur de ta spore témoin comme échelle=5µ.
L'hyphe à paroi épaisse et boucles que tu montres à la fin, peut coller en effet, mais il faudrait travailler cela un peu plus dans le détail.
Modifié en dernier par Fouad le 17 sept. 2025, 06:46, modifié 1 fois.

Duche

Messages : 1008
Enregistré le : 14 juil. 2020, 12:15
Nom : Francois Duriez

Message par Duche »
Je vais me remettre à l'établi. Je vais essayer de faire une lame propre. Je vais réhumidifier d''abord et couper finement après. A ce soir.

Edit: fautes d'orthographe

Jean Pierre

Avatar du membre
Messages : 6979
Enregistré le : 21 sept. 2011, 10:40
Nom : Jean Pierre Raverat
Association : Association Mycologique Féréopontaine
Localisation : Seine Port (77)
Site Internet

Message par Jean Pierre »
Bonjour,

Il me semble que la cuticule est sombre, on devrait pouvoir le décoller du support ?
Jean Pierre Raverat.
http://www.champignons77.org/

Duche

Messages : 1008
Enregistré le : 14 juil. 2020, 12:15
Nom : Francois Duriez

Message par Duche »
Je viens de rentrer. Je vais refaire un essai. Mais sur la route, je suis tombé sur un nouveau spot interessant avec au moins 10 espèces et du neuf pour moi alors que c'était pas prévu. 2 russules (1 en mauvais état non prélevé), 2 bolets, 1 lactaire, 1 ou 2 hébélomes, 1 flammule, 2 trucs que je sais pas trop dire comme ça. :eek: J'ai des champis plein les poches. Je préprépare des fiches avec coupes, lames pour la micro et contrôle macro/odeur/ couleur de sporée. Et je me remets sur cette croute. Je vais prendre un morceau et l'humidifier au préalable. Je ne garantis rien mais je vais essayer.

A très vite.

Duche

Messages : 1008
Enregistré le : 14 juil. 2020, 12:15
Nom : Francois Duriez

Message par Duche »
A l'etat sec, indécollable.

Duche

Messages : 1008
Enregistré le : 14 juil. 2020, 12:15
Nom : Francois Duriez

Message par Duche »
Bonsoir,

Je suis pas parvenu à grand chose. J'ai pas trop écrasé au début mais je pense ne pas avoir coupé assez fin.Si j'écrase trop, j'ai une soupe ou je vois beaucoup d'hyphes très filiformes.
Fichiers joints
IMG_20250916_222918~2.jpg
IMG_20250916_223224~2.jpg
IMG_20250916_223523~2.jpg
IMG_20250916_223716~2.jpg
24 messages Page 1 sur 2