Russule
Ce forum permet de montrer des photos de champignons et de discuter sur leur détermination.
Attention: ces déterminations ne permettront pas une consommation des champignons !!!
Attention: ces déterminations ne permettront pas une consommation des champignons !!!
14 messages
Page 1 sur 1
Bonjour à tous,
Petite ballade au parc urbain naturel de Lomme ce matin. Les spots étaient un peu garnis. Ailleurs et les jours précédents, chou blanc. Je vous demande de me laisser un peu de temps.
Outre 3 espèces de Russules déjà bien connus dans ces lieux, j'en ai dégoté 2 que je n'ai jamais vu ou déterminé précédemment.
Voici la première. 2 exemplaires un peu passés mais exploitables. Sous peupliers.
Assez massives. Chapeau blanchâtre-crème. Cuticule entièrement séparable. Lames épaisses et larges, fragiles et cassantes.
Fer : légèrement brun ocre mais timide.
Koh sur cuticule : nada.
Saveur piquante sans plus après quelques secondes. J'en ai gouté qui piquait plus.
Odeur : très engageante, fleurie, un peu miellée, un peu de pâtisserie mais pas au point dH.sacchariolens ou E. pleopodium. On est sur une odeur plus subtile mais vraiment très agréable.
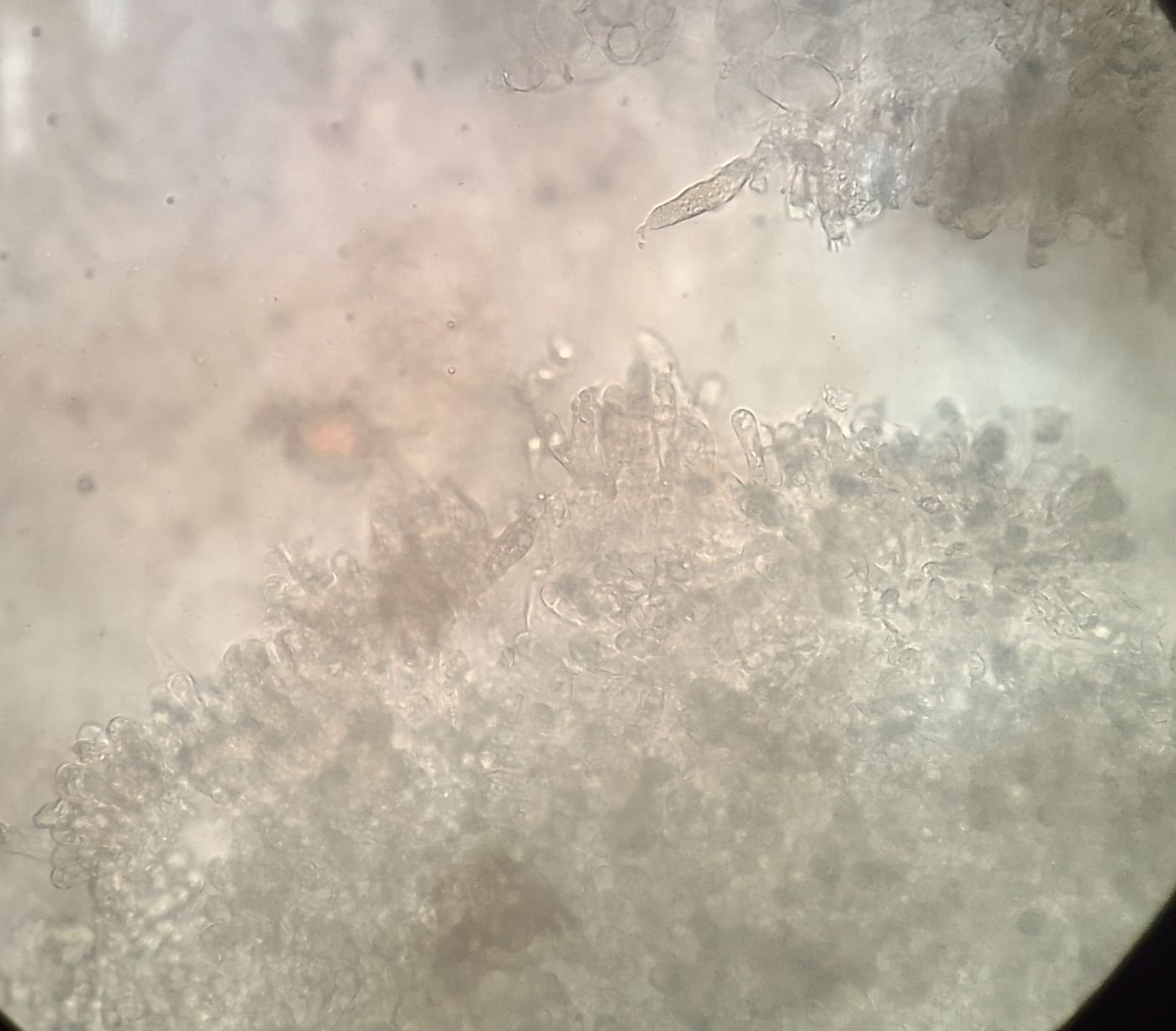
Micro. Spores subglobuleuses semblant hérissées, sûrement pas lisses. Avec une grosse guttule bien visible. Autour de 8-9.
Arête sans particularité remarquable. Quelques éléments sur les faces.
Photos des spores avec spores témoins d'A.bisporus pour pouvoir faire des comparaisons.
Laissez moi 24h pour chercher. Je présume qu'elle ne sera pas difficile pour les membres expérimentés. (Quand je présume ça, gééralement c'est le cas)
A très vite.
Petite ballade au parc urbain naturel de Lomme ce matin. Les spots étaient un peu garnis. Ailleurs et les jours précédents, chou blanc. Je vous demande de me laisser un peu de temps.
Outre 3 espèces de Russules déjà bien connus dans ces lieux, j'en ai dégoté 2 que je n'ai jamais vu ou déterminé précédemment.
Voici la première. 2 exemplaires un peu passés mais exploitables. Sous peupliers.
Assez massives. Chapeau blanchâtre-crème. Cuticule entièrement séparable. Lames épaisses et larges, fragiles et cassantes.
Fer : légèrement brun ocre mais timide.
Koh sur cuticule : nada.
Saveur piquante sans plus après quelques secondes. J'en ai gouté qui piquait plus.
Odeur : très engageante, fleurie, un peu miellée, un peu de pâtisserie mais pas au point dH.sacchariolens ou E. pleopodium. On est sur une odeur plus subtile mais vraiment très agréable.
Micro. Spores subglobuleuses semblant hérissées, sûrement pas lisses. Avec une grosse guttule bien visible. Autour de 8-9.
Arête sans particularité remarquable. Quelques éléments sur les faces.
Photos des spores avec spores témoins d'A.bisporus pour pouvoir faire des comparaisons.
Laissez moi 24h pour chercher. Je présume qu'elle ne sera pas difficile pour les membres expérimentés. (Quand je présume ça, gééralement c'est le cas)
A très vite.
- Plus d'infos
- Messages : 38128
- Enregistré le : 03 oct. 2011, 10:37
- Nom : Jean-Pierre Lachenal-Montagne
- Associations : Société Mycologique de France - Associu U Muchjinu : Société Mycologique de Porto-Vecchio
- Localisation : Paris, parfois Corse
06 août 2025, 16:02Duche a écrit : J'arrive à R. laurocerasi. Qu'en pensez-vous?Qu'elle n'en a nullement l'aspect (chapeau ocre, visqueux au début, cannelé à la marge, lames tachées de noir, pied blanc taché de brun) mais le spécialiste des russules, ce n'est pas moi
Jplm
Jean-Pierre Lachenal-Montagne
- Plus d'infos
- Messages : 28892
- Enregistré le : 18 août 2017, 18:36
- Nom : François Desprès
- Association : Alès
- Localisation : Gard
- Plus d'infos
- Messages : 7023
- Enregistré le : 21 sept. 2011, 10:40
- Nom : Jean Pierre Raverat
- Association : Association Mycologique Féréopontaine
- Localisation : Seine Port (77)
Bonjour,
Comme mes deux coéquipiers, rien à voir avec laura.
Comment arrives-tu à une telle proposition ?
Comme mes deux coéquipiers, rien à voir avec laura.
Comment arrives-tu à une telle proposition ?
Jean Pierre Raverat.
http://www.champignons77.org/
http://www.champignons77.org/
- Plus d'infos
- Messages : 28892
- Enregistré le : 18 août 2017, 18:36
- Nom : François Desprès
- Association : Alès
- Localisation : Gard
- Plus d'infos
- Messages : 29557
- Enregistré le : 23 sept. 2011, 17:11
- Nom : Laurent Francini
- Association : LA CHANTERELLE DE VILLE-LA-GRAND
- Localisation : La Yaute - Haute-Savoie (la «vraie» Savoie) ;-)
Bonjour à tous, il s'agit d'une espèce théoriquement colorée mais sous une forme blanche ici… À mon avis ça va être difficile de lui mettre un nom exact… Peut-être une tenelleae/odoratineae. Basides courtes?
http://www.francini-mycologie.fr/index.html • Myco-botaniste passionné! • Nikon D90 - F-S DX 18-200 mm f:3,5/5,6 G ED VRII - AF-S Nikkor 105 mm macro f:2.8 G ED - Micro Nikkor 60 mm f:2.8
Bonjour à tous,
J'ai retravaillé sur celle-ci avec vos idées en reprenant le GEPR et le dossier Russules du site pharmanatur.
L'appartenance aux Tenellae ne me convainc pas. Que ce soit par la taille, la saveur, l'odeur ou les hôtes (Ici Populus), en regardant les espèces de la sous-section, il y a toujours 2 ou 3 critères importants qui sont éliminatoires par rapport aux spécimens ici. J'ai regardé R.melliolens et autour... Idem.
Je ne vois aucune raison pour exclure les ingratae.
Sur ce qui m'a orienté vers laurocerasi : Mes spécimens étaient vieux mais la marge est striée-cannelée, le pied brunissant à la base, le petit reste de viscosité, l'odeur, la Saveur piquante, le caractère assez massif.
Je n'ai pas trouvé dans la doc consultée de mention de tâches noires sur les lames.
Après je la retrouverai peut-être cette saison. Mais elle n'est pas abondante ou commune sur mes spots.
Pourquoi exclure ce groupe?
Sur les basides courtes... Je ne sais pas. Je ne sais pas isoler les basides au microscope.
A très vite
J'ai retravaillé sur celle-ci avec vos idées en reprenant le GEPR et le dossier Russules du site pharmanatur.
L'appartenance aux Tenellae ne me convainc pas. Que ce soit par la taille, la saveur, l'odeur ou les hôtes (Ici Populus), en regardant les espèces de la sous-section, il y a toujours 2 ou 3 critères importants qui sont éliminatoires par rapport aux spécimens ici. J'ai regardé R.melliolens et autour... Idem.
Je ne vois aucune raison pour exclure les ingratae.
Sur ce qui m'a orienté vers laurocerasi : Mes spécimens étaient vieux mais la marge est striée-cannelée, le pied brunissant à la base, le petit reste de viscosité, l'odeur, la Saveur piquante, le caractère assez massif.
Je n'ai pas trouvé dans la doc consultée de mention de tâches noires sur les lames.
Après je la retrouverai peut-être cette saison. Mais elle n'est pas abondante ou commune sur mes spots.
Pourquoi exclure ce groupe?
Sur les basides courtes... Je ne sais pas. Je ne sais pas isoler les basides au microscope.
A très vite
- Plus d'infos
- Messages : 29557
- Enregistré le : 23 sept. 2011, 17:11
- Nom : Laurent Francini
- Association : LA CHANTERELLE DE VILLE-LA-GRAND
- Localisation : La Yaute - Haute-Savoie (la «vraie» Savoie) ;-)
11 août 2025, 18:17Duche a écrit : Sur les basides courtes... Je ne sais pas. Je ne sais pas isoler les basides au microscope.Bonsoir, ce qui est fort dommage, il faut apprendre... Là, ça permettrait rapidement d'adopter (ou de rejeter) une section entière.
http://www.francini-mycologie.fr/index.html • Myco-botaniste passionné! • Nikon D90 - F-S DX 18-200 mm f:3,5/5,6 G ED VRII - AF-S Nikkor 105 mm macro f:2.8 G ED - Micro Nikkor 60 mm f:2.8
- Plus d'infos
- Messages : 38128
- Enregistré le : 03 oct. 2011, 10:37
- Nom : Jean-Pierre Lachenal-Montagne
- Associations : Société Mycologique de France - Associu U Muchjinu : Société Mycologique de Porto-Vecchio
- Localisation : Paris, parfois Corse
Bonjour,
Cette demande de détermination est ouverte depuis 11 jours, plusieurs mycologues se sont exprimés, on n'est arrivé à rien et on n'attend apparemment aucune information complémentaire, alors merci @Duche de nommer Russula sp. - il s'agit d'une espèce polymorphe assez courante car déjà présentée 221 fois sur le forum.
Jplm
Cette demande de détermination est ouverte depuis 11 jours, plusieurs mycologues se sont exprimés, on n'est arrivé à rien et on n'attend apparemment aucune information complémentaire, alors merci @Duche de nommer Russula sp. - il s'agit d'une espèce polymorphe assez courante car déjà présentée 221 fois sur le forum.
Jplm
Jean-Pierre Lachenal-Montagne
- Plus d'infos
- Messages : 29557
- Enregistré le : 23 sept. 2011, 17:11
- Nom : Laurent Francini
- Association : LA CHANTERELLE DE VILLE-LA-GRAND
- Localisation : La Yaute - Haute-Savoie (la «vraie» Savoie) ;-)
Bonjour, je renomme. On pourra toujours y revenir.
http://www.francini-mycologie.fr/index.html • Myco-botaniste passionné! • Nikon D90 - F-S DX 18-200 mm f:3,5/5,6 G ED VRII - AF-S Nikkor 105 mm macro f:2.8 G ED - Micro Nikkor 60 mm f:2.8
- Plus d'infos
- Messages : 38128
- Enregistré le : 03 oct. 2011, 10:37
- Nom : Jean-Pierre Lachenal-Montagne
- Associations : Société Mycologique de France - Associu U Muchjinu : Société Mycologique de Porto-Vecchio
- Localisation : Paris, parfois Corse
- Plus d'infos
- Messages : 29557
- Enregistré le : 23 sept. 2011, 17:11
- Nom : Laurent Francini
- Association : LA CHANTERELLE DE VILLE-LA-GRAND
- Localisation : La Yaute - Haute-Savoie (la «vraie» Savoie) ;-)
Ah mince.
http://www.francini-mycologie.fr/index.html • Myco-botaniste passionné! • Nikon D90 - F-S DX 18-200 mm f:3,5/5,6 G ED VRII - AF-S Nikkor 105 mm macro f:2.8 G ED - Micro Nikkor 60 mm f:2.8
14 messages
Page 1 sur 1