Inocybe lambda

Ce forum permet de montrer des photos de champignons et de discuter sur leur détermination.

Attention: ces déterminations ne permettront pas une consommation des champignons !!!
7 messages Page 1 sur 1

Duche

Messages : 1008
Enregistré le : 14 juil. 2020, 12:15
Nom : Francois Duriez

Message par Duche »
Bonjour à tous,

Cet ino sans caractère distinctif fort. Brun fauve clair un peu plus brun au centre, Feutré un peu fibrilleux-rimeux à la marge dans la jeunesse, puis brun fauve, fibrilleux-rimeux dans l'âge. Lames crème beige puis brunissantes. Odeur spermatique. Pied crème, pruineux sans bulbe mais avec un petit étranglement sur la base. Sous peupliers et charmes. Biotope: bord de chemin, lisière de sous bois. Parc urbain de Lomme ce 9 juillet. Silhouette classique.

Spores anguleuses : 5-7 x 9-10 dans ces eaux-là. Cheilocystides: souvent avec coiffe et cristaux lagéniformes. Pleurocystides, lagéniformes, le plus souvent sans cristaux. Caulocystides présentes du haut en bas.

À bientôt
Fichiers joints
Chapeau
Chapeau

IMG_20250709_124533.jpg
Base du pied
Base du pied

Lames
Lames

IMG_20250709_124851.jpg
Modifié en dernier par Duche le 23 juil. 2025, 14:53, modifié 1 fois.

Duche

Messages : 1008
Enregistré le : 14 juil. 2020, 12:15
Nom : Francois Duriez

Message par Duche »
Suite macro et cheilo
Fichiers joints
Vieux
Vieux

Coupe
Coupe

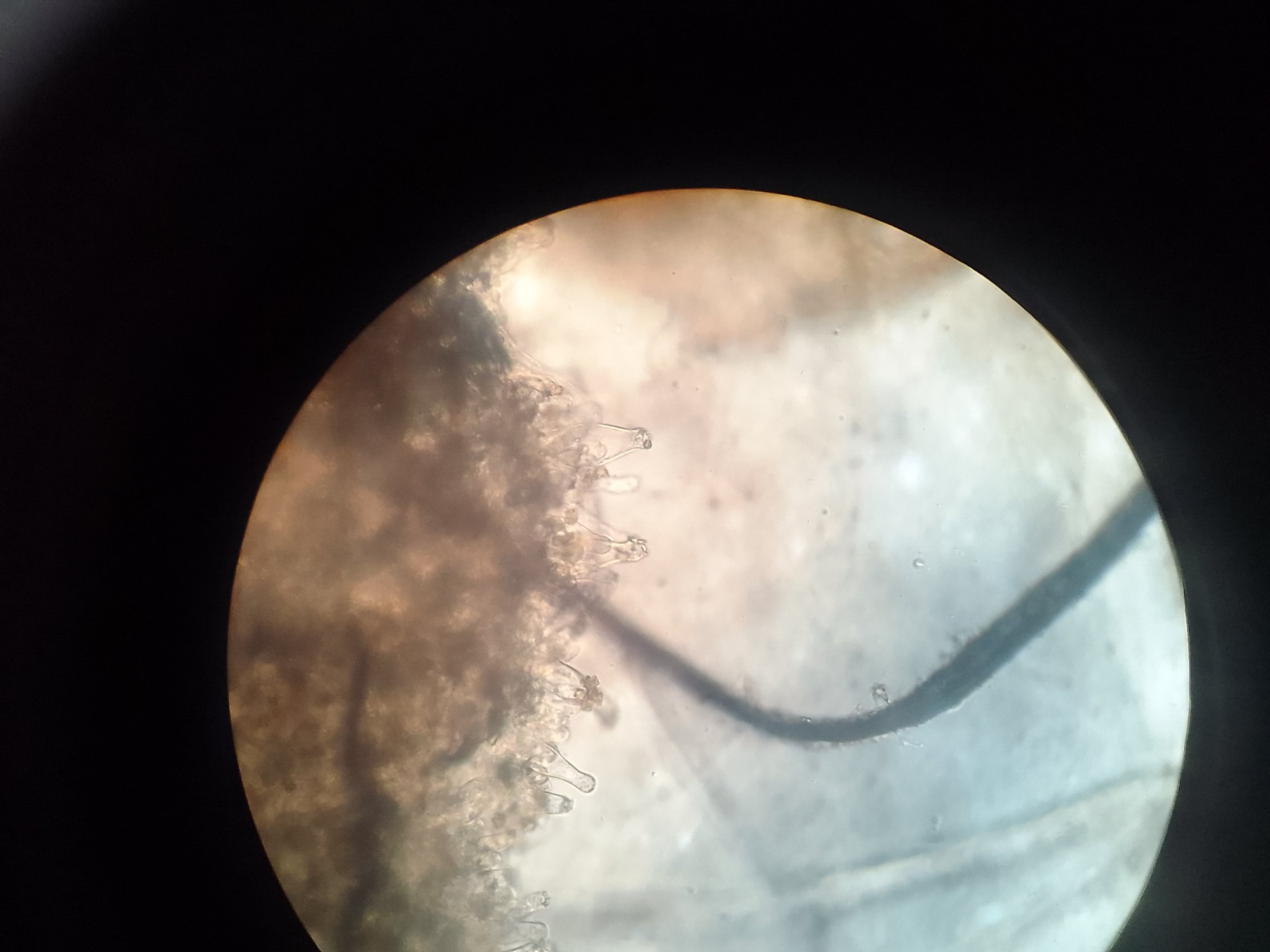
Cheilo
Cheilo

IMG_20250710_121613~2.jpg
IMG_20250710_122019.jpg

Duche

Messages : 1008
Enregistré le : 14 juil. 2020, 12:15
Nom : Francois Duriez

Message par Duche »
Suite spores et cheilo
Fichiers joints
Spores seules
Spores seules

Spores avec témoins d'A. bisporus
Spores avec témoins d'A. bisporus

Spores avec témoins d'A .bisporus
Spores avec témoins d'A .bisporus

IMG_20250710_132416.jpg
IMG_20250710_121835.jpg

Duche

Messages : 1008
Enregistré le : 14 juil. 2020, 12:15
Nom : Francois Duriez

Message par Duche »
Suite micro faces des lames et pied
Fichiers joints
Face
Face

IMG_20250710_123211~2.jpg
IMG_20250710_123656~2.jpg
Pied
Pied

Pied
Pied

Nommo

Avatar du membre
Messages : 29029
Enregistré le : 18 août 2017, 18:36
Nom : François Desprès
Association : Alès
Localisation : Gard

Message par Nommo »
Bonjour Duche,

Peut-être vers Inocybe praetervisa.
J’échangerais bien tout ce que je sais contre un pour cent de ce que je ne sais pas. ( Pierre Neville )

Castor74

Avatar du membre
Messages : 29660
Enregistré le : 23 sept. 2011, 17:11
Nom : Laurent Francini
Association : LA CHANTERELLE DE VILLE-LA-GRAND
Localisation : La Yaute - Haute-Savoie (la «vraie» Savoie) ;-)
Site Internet

Message par Castor74 »
Bonjour, c'est sans doute les vacances, mais il y a pas mal de sujets en panne depuis un petit moment, merci de faire avancer.
http://www.francini-mycologie.fr/index.htmlMyco-botaniste passionné!Nikon D90 - F-S DX 18-200 mm f:3,5/5,6 G ED VRII - AF-S Nikkor 105 mm macro f:2.8 G ED - Micro Nikkor 60 mm f:2.8

Duche

Messages : 1008
Enregistré le : 14 juil. 2020, 12:15
Nom : Francois Duriez

Message par Duche »
Restons-en à Inocybe sp. Pas grand chose à dire.
7 messages Page 1 sur 1