PCB/LBM

Ce forum permet de montrer des photos de champignons et de discuter sur leur détermination.

Attention: ces déterminations ne permettront pas une consommation des champignons !!!
11 messages Page 1 sur 1

Duche

Messages : 1008
Enregistré le : 14 juil. 2020, 12:15
Nom : Francois Duriez

Message par Duche »
Bonjour à tous,

Ce petit champignon brunâtre lignicole. En troupe. Sur souche. 2,5 cm de haut grand max. Les chapeaux mesurent moins d'1 cm de diamètre, sont striés, campanulés. Le pied est légèrement pruineux, de teinte claire, teinté de brunâtre, grisâtre. Les lames sont espacées.

Les spores sont comparables en taille à celles d'Agaricus bisporus, très légèrement plus petites, brunes, souvent beaucoup plus piriformes.

Les cystides sont lagéniformes, renflées à l'apex, certaines ayant vraiment l'air d'une quille. Pas de boucles sur le dessus du chapeau.

C'est pas foufou. Mais envie d'en savoir un peu plus.

À très vite.
Fichiers joints
IMG_20250701_085031.jpg
IMG_20250701_085108.jpg
IMG_20250701_182100.jpg
IMG_20250701_182221.jpg
Modifié en dernier par Duche le 11 juil. 2025, 14:39, modifié 1 fois.

Duche

Messages : 1008
Enregistré le : 14 juil. 2020, 12:15
Nom : Francois Duriez

Message par Duche »
Suite.

Erratum : photos très floues remplacées.
Fichiers joints
IMG_20250701_085046.jpg
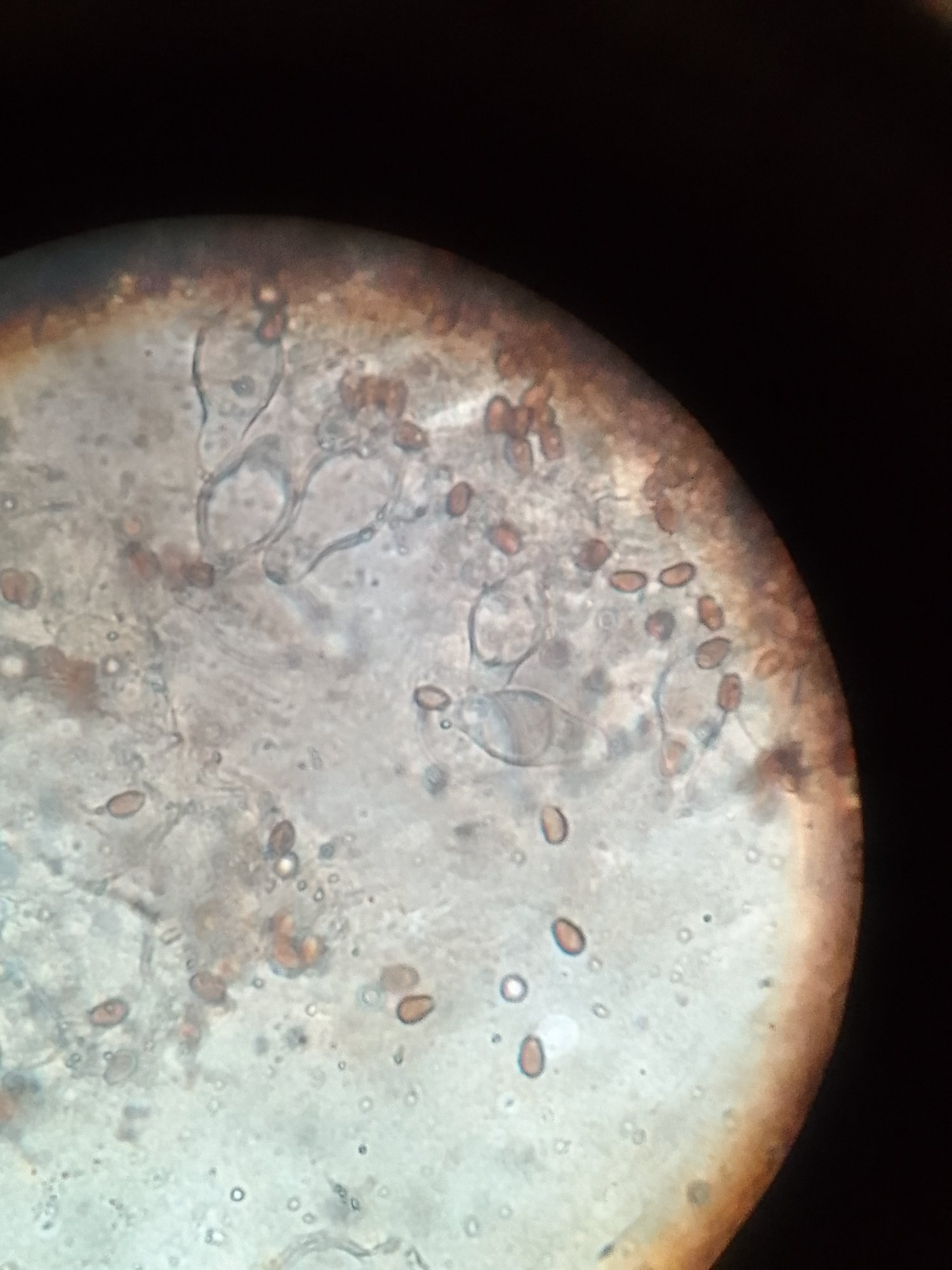
Trame lames
Trame lames

Cystides et éléments ovoįdes plus rares
Cystides et éléments ovoįdes plus rares

Spores et témoins.
Spores et témoins.

Duche

Messages : 1008
Enregistré le : 14 juil. 2020, 12:15
Nom : Francois Duriez

Message par Duche »
J'oubliais : je m'oriente vers les Galerina

Fouad En ligne

Avatar du membre
Messages : 19713
Enregistré le : 10 juin 2014, 18:06
Nom : Fouad Ouchène
Association : Société Mycologique de Strasbourg
Localisation : Alsace-Vosges

Message par Fouad »
Bonjour,
C'est une Psathyrelle à petites spores à mon avis. Bien observer les cheilocystides et les pleurocystides séparément. Une piste, mais juste une piste ; : https://www.mycocharentes.fr/pdf1/584.pdf

chapon

Messages : 566
Enregistré le : 29 août 2023, 08:06
Nom : patrick Chapon
Associations : Groupe mycologique hte loire - groupe mycologique avignon, SMF
Localisation : vorey

Message par chapon »
Bonjour, oui l'option Psathyrella me semble bonne, il faut chercher avec cette taille, biotope et aspect poudré vers P.pygmae, en essayant de faire une préparation micro soignée il faut des cystides crystallifères
"C'est ce que nous pensons déjà connaître qui nous empêche souvent d'apprendre. " Claude Bernard

chapon

Messages : 566
Enregistré le : 29 août 2023, 08:06
Nom : patrick Chapon
Associations : Groupe mycologique hte loire - groupe mycologique avignon, SMF
Localisation : vorey

Message par chapon »
Il me semble voir des cystides muriquées sur ta première photo micro envoyée
"C'est ce que nous pensons déjà connaître qui nous empêche souvent d'apprendre. " Claude Bernard

Duche

Messages : 1008
Enregistré le : 14 juil. 2020, 12:15
Nom : Francois Duriez

Message par Duche »
Bonjour,

Je n'ai plus de matériel pour faire de lame. Ce qui me restait s'est trop degradé déjà hier. La piste pygmée semble la bonne. Je renomme en cf. ? Après je connais le spot. Je la retrouverai surement tantôt.

A très vite

Nommo

Avatar du membre
Messages : 29347
Enregistré le : 18 août 2017, 18:36
Nom : François Desprès
Association : Alès
Localisation : Gard

Message par Nommo »
Correspond bien à la photo de Thierry Duchemin sur mycodb.
J’échangerais bien tout ce que je sais contre un pour cent de ce que je ne sais pas. ( Pierre Neville )

Duche

Messages : 1008
Enregistré le : 14 juil. 2020, 12:15
Nom : Francois Duriez

Message par Duche »
Cystides en complément. Pas vu de cystides cristallifères mais je me suis concentré sur l'arête. En regardant diverses photos, je me rends compte que j'ai déjà croisé ce champignon plusieurs fois sans m'y attarder. Je le présenterai ici sur un nouveau sujet avec les pleuro. Je crois que je le cible mieux.
Fichiers joints
IMG_20250701_182055~2.jpg
IMG_20250701_180729~2.jpg
IMG_20250701_182221.jpg

Castor74

Avatar du membre
Messages : 30001
Enregistré le : 23 sept. 2011, 17:11
Nom : Laurent Francini
Association : LA CHANTERELLE DE VILLE-LA-GRAND
Localisation : La Yaute - Haute-Savoie (la «vraie» Savoie) ;-)
Site Internet

Message par Castor74 »
Up?
http://www.francini-mycologie.fr/index.htmlMyco-botaniste passionné!Nikon D90 - F-S DX 18-200 mm f:3,5/5,6 G ED VRII - AF-S Nikkor 105 mm macro f:2.8 G ED - Micro Nikkor 60 mm f:2.8

Duche

Messages : 1008
Enregistré le : 14 juil. 2020, 12:15
Nom : Francois Duriez

Message par Duche »
Bonjour,

Je n'ai pas pu le récolter de nouveau. Je renommé avec un cf. pour l'espèce.

Merci et à bientôt.
11 messages Page 1 sur 1