Stéréoïde
Ce forum permet de montrer des photos de champignons et de discuter sur leur détermination.
Attention: ces déterminations ne permettront pas une consommation des champignons !!!
Attention: ces déterminations ne permettront pas une consommation des champignons !!!
Bonsoir à tous,
Probablement un Stérée. Résupiné-étalé ou dimidié, cupuliforme en coquillage, sur gros morceau de tronc de feuillus décortiqué. Face hyméniale non porée, crème beige, zonée de brunâtre, un peu rugueuse. 1-1,5 cm
Chair fine 1 mm max. Elastique, coriace. Plus dure au sev. Dessus pour les exemplaires dimidiés, même couleurs mais non zoné, rugueux, avec aspérités, ni velu, ni tomenteux.
Récolte du 10 juin à Lomme, au parc urbain.
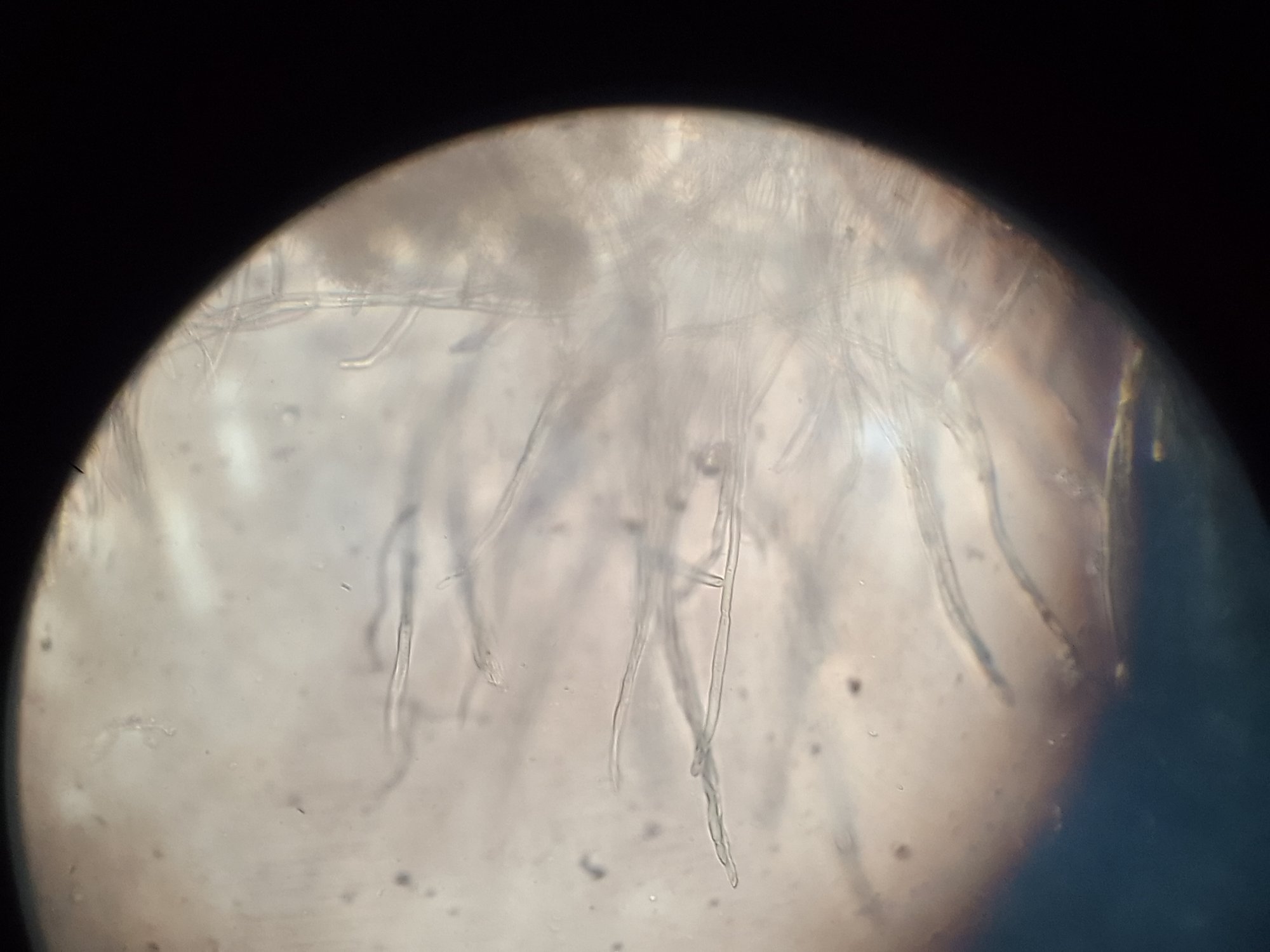
Micro sur exemplaires secs. Pas de spores observées malgré plusieurs essais. Quelques éléments interessants : des cystides remarquables, cylindriques, à paroi très épaisse, sauf à l'apex, souvent obtus (voir photo), des élèments que je ne peux pas nommer avec certitude, mais singulier, longs effilés, s'élargissant vers le sommet, sommet abrupt, anguleux.
J'ai qu'une seule maigre hypothèse : Steteum reflexulum
À bientôt
Probablement un Stérée. Résupiné-étalé ou dimidié, cupuliforme en coquillage, sur gros morceau de tronc de feuillus décortiqué. Face hyméniale non porée, crème beige, zonée de brunâtre, un peu rugueuse. 1-1,5 cm
Chair fine 1 mm max. Elastique, coriace. Plus dure au sev. Dessus pour les exemplaires dimidiés, même couleurs mais non zoné, rugueux, avec aspérités, ni velu, ni tomenteux.
Récolte du 10 juin à Lomme, au parc urbain.
Micro sur exemplaires secs. Pas de spores observées malgré plusieurs essais. Quelques éléments interessants : des cystides remarquables, cylindriques, à paroi très épaisse, sauf à l'apex, souvent obtus (voir photo), des élèments que je ne peux pas nommer avec certitude, mais singulier, longs effilés, s'élargissant vers le sommet, sommet abrupt, anguleux.
J'ai qu'une seule maigre hypothèse : Steteum reflexulum
À bientôt
Modifié en dernier par Duche le 22 juil. 2025, 23:35, modifié 1 fois.
- Plus d'infos
- Messages : 18834
- Enregistré le : 10 juin 2014, 18:06
- Nom : Fouad Ouchène
- Association : Société Mycologique de Strasbourg
- Localisation : Alsace-Vosges
Bonjour,
La couleur de l'hyménium peut être un indice, mais quant on a affaire à une vieille croûte c'est une autre histoire.
Les paracystides à paroi épaisse que nous voyons sont communes à tous les Stereum. Il faudrait s'assurer qu'il n'y a pas d'acanthocystides, rechercher d'autres cystides plus effilées et surtout des spores. Le plus "simple" serait de faire un panorama assez long d'environ 1 mm ; le prélèvement doit être très fin < 1/10 mm avec une lame de rasoir.
La couleur de l'hyménium peut être un indice, mais quant on a affaire à une vieille croûte c'est une autre histoire.
Les paracystides à paroi épaisse que nous voyons sont communes à tous les Stereum. Il faudrait s'assurer qu'il n'y a pas d'acanthocystides, rechercher d'autres cystides plus effilées et surtout des spores. Le plus "simple" serait de faire un panorama assez long d'environ 1 mm ; le prélèvement doit être très fin < 1/10 mm avec une lame de rasoir.
Bonjour Duche,
Sans aucune méchanceté de ma part, mais désolé de te dire que tes photos sont toutes floues et c'est très souvent le cas.
Cela vient sans doute de ma formation, ingénieur opticien instrumental et la photo est une de mes passions, botanique, animalière, mycologique.
La mycologie commence avec de belles photos nettes avec la profondeur de champ parfaitement réglée et le smartphone est fait d'abord pour téléphoner mais ne permet en aucun cas de faire des photos macros nettes avec la bonne profondeur de champ.
Cordiales salutations
Sans aucune méchanceté de ma part, mais désolé de te dire que tes photos sont toutes floues et c'est très souvent le cas.
Cela vient sans doute de ma formation, ingénieur opticien instrumental et la photo est une de mes passions, botanique, animalière, mycologique.
La mycologie commence avec de belles photos nettes avec la profondeur de champ parfaitement réglée et le smartphone est fait d'abord pour téléphoner mais ne permet en aucun cas de faire des photos macros nettes avec la bonne profondeur de champ.
Cordiales salutations
- Plus d'infos
- Messages : 29000
- Enregistré le : 23 sept. 2011, 17:11
- Nom : Laurent Francini
- Association : LA CHANTERELLE DE VILLE-LA-GRAND
- Localisation : La Yaute - Haute-Savoie (la «vraie» Savoie) ;-)
Bonjour, sur le principe je suis assez d'accord mais je pense que chacun fait avec le matériel qu'il a… C'est perfectible, évidemment, notamment en post-production (sans toutefois espérer des miracles), mais j'ai vu bien pire même sur ce forum. Ton avis est un peu sévère, je trouve. Je suis aussi un passionné de photographie même si c'était pas du tout mon métier. Conseillons donc à notre ami Duche de changer de matériel, peut-être, s'il le peut... 

http://www.francini-mycologie.fr/index.html • Myco-botaniste passionné! • Nikon D90 - F-S DX 18-200 mm f:3,5/5,6 G ED VRII - AF-S Nikkor 105 mm macro f:2.8 G ED - Micro Nikkor 60 mm f:2.8
- Plus d'infos
- Messages : 18834
- Enregistré le : 10 juin 2014, 18:06
- Nom : Fouad Ouchène
- Association : Société Mycologique de Strasbourg
- Localisation : Alsace-Vosges
- Plus d'infos
- Messages : 18834
- Enregistré le : 10 juin 2014, 18:06
- Nom : Fouad Ouchène
- Association : Société Mycologique de Strasbourg
- Localisation : Alsace-Vosges
23 juin 2025, 20:18Fouad a écrit : François, tu es sûr qu'il ne s'agit pas de spores mortes de A. bisporus ?J'ai fait de la purée avec ce que j'avais. Je ne connaissais pas le concept de spores mortes mais ton avis me parait probable : lors de ma première observation, j'avais au préalable fait reposer deux coupes pendant 2 jours sur une lame et résultat : RIEN sur la lame, Rien de rien. Comment dois-je faire pour observer les spores sur ces specimens? J'attends la pluie pour pouvoir retourner à Lomme et tenter de retrouver l'espèce.
- Plus d'infos
- Messages : 18834
- Enregistré le : 10 juin 2014, 18:06
- Nom : Fouad Ouchène
- Association : Société Mycologique de Strasbourg
- Localisation : Alsace-Vosges
- Plus d'infos
- Messages : 29000
- Enregistré le : 23 sept. 2011, 17:11
- Nom : Laurent Francini
- Association : LA CHANTERELLE DE VILLE-LA-GRAND
- Localisation : La Yaute - Haute-Savoie (la «vraie» Savoie) ;-)
Bonjour, up?
http://www.francini-mycologie.fr/index.html • Myco-botaniste passionné! • Nikon D90 - F-S DX 18-200 mm f:3,5/5,6 G ED VRII - AF-S Nikkor 105 mm macro f:2.8 G ED - Micro Nikkor 60 mm f:2.8
- Plus d'infos
- Messages : 18834
- Enregistré le : 10 juin 2014, 18:06
- Nom : Fouad Ouchène
- Association : Société Mycologique de Strasbourg
- Localisation : Alsace-Vosges