Nécrotrophe bambusicole

Ce forum permet de montrer des photos de champignons et de discuter sur leur détermination.

Attention: ces déterminations ne permettront pas une consommation des champignons !!!
5 messages Page 1 sur 1

Duche

Messages : 1008
Enregistré le : 14 juil. 2020, 12:15
Nom : Francois Duriez

Message par Duche »
Bonjour à tous,

Pas beaucoup d'éléments de description ici. Récolté avant-hier dans la bambouseraie du Jardin des Plantes à Lille. Sur morceau de pousse morte au sol.

Minis stromas, de 0.1-0.3 mm de large sur 0.5-1mm de longs. Confluents. Perceptibles au toucher.

Après grattage au dessus des lames et réduction en poudre, on peut observer des éléments que je soupçonne être des conidies.

J'ai cherché d'abord instinctivement dans les Xylariales. Et j'ai découvert le genre Arthrinium que je ne connaissais pas. Cela pourrait coller. Je fais une lame avec témoins tout à l'heure. Avez-vous des conseils pour l'observation d'autres éléments?

A très vite.
Fichiers joints
IMG_20250626_073151.jpg
IMG_20250626_073237.jpg
IMG_20250626_074325.jpg
IMG_20250626_074358.jpg
Modifié en dernier par Duche le 23 juil. 2025, 14:56, modifié 1 fois.

Duche

Messages : 1008
Enregistré le : 14 juil. 2020, 12:15
Nom : Francois Duriez

Message par Duche »
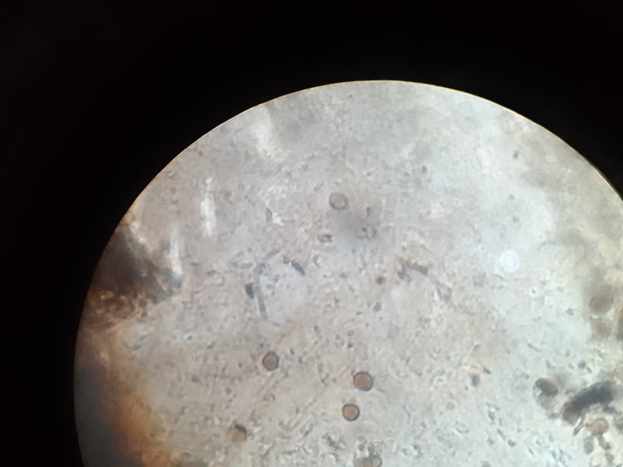
Rebonjour,

En jouant avec la microvisse et le x 100, voit bien les spores (conidies? ) bouger. Elles sont un peu en pastille. Quelques témoins d'A. bisporus ici. Vu de face, globuleuses elles sont de taille comparables : entre 5,5 et 8,5.

A très vite.
Fichiers joints
IMG_20250627_141324.jpg
IMG_20250627_141141.jpg

Castor74

Avatar du membre
Messages : 29927
Enregistré le : 23 sept. 2011, 17:11
Nom : Laurent Francini
Association : LA CHANTERELLE DE VILLE-LA-GRAND
Localisation : La Yaute - Haute-Savoie (la «vraie» Savoie) ;-)
Site Internet

Message par Castor74 »
Bonjour, ce sujet n'a pas l'air d'intéresser beaucoup. Personnellement je n'y connais rien, mais si quelqu'un a une idée, c'est le moment de la donner…
http://www.francini-mycologie.fr/index.htmlMyco-botaniste passionné!Nikon D90 - F-S DX 18-200 mm f:3,5/5,6 G ED VRII - AF-S Nikkor 105 mm macro f:2.8 G ED - Micro Nikkor 60 mm f:2.8

Castor74

Avatar du membre
Messages : 29927
Enregistré le : 23 sept. 2011, 17:11
Nom : Laurent Francini
Association : LA CHANTERELLE DE VILLE-LA-GRAND
Localisation : La Yaute - Haute-Savoie (la «vraie» Savoie) ;-)
Site Internet

Message par Castor74 »
Bonjour, c'est sans doute les vacances, mais il y a pas mal de sujets en panne depuis un petit moment, merci de faire avancer.
http://www.francini-mycologie.fr/index.htmlMyco-botaniste passionné!Nikon D90 - F-S DX 18-200 mm f:3,5/5,6 G ED VRII - AF-S Nikkor 105 mm macro f:2.8 G ED - Micro Nikkor 60 mm f:2.8

Duche

Messages : 1008
Enregistré le : 14 juil. 2020, 12:15
Nom : Francois Duriez

Message par Duche »
Je renomme en inconnu.
5 messages Page 1 sur 1