Faute de grives, des merles

Ce forum permet de montrer des photos de champignons et de discuter sur leur détermination.

Attention: ces déterminations ne permettront pas une consommation des champignons !!!
19 messages Page 1 sur 2

Duche

Messages : 1008
Enregistré le : 14 juil. 2020, 12:15
Nom : Francois Duriez

Message par Duche »
Bonjour à tous,

Il a plu mais pas encore assez. Mes spots urbains sont déserts. Juste cette Psathyrellaceae à me mettre sous l'oeil.

En troupes nombreuses, pas en touffes, sur sol riche et azoté en pleine ville dans un parterre sur le boulevard Vauban.

D'abord en doigt de gant, puis capanulé et enfin aplati et parfois en abats jour si trop secs, avec zone plus clair autour du disque.

Pouvant atteindre 8 cm de haut. Chapeau 5 cm max. Strié à cannelé avec l'âge. Brun chatain qui s'éclairci avec la maturité. Voile semblant presqu'absent.

Pied glabre, sans poils à la base, blanchâtre un peu jaunâtre.

Lames libres, noires avec arêtes blanchatres, légèrement ventrues, très régulières, espacées.

Sporée noire.

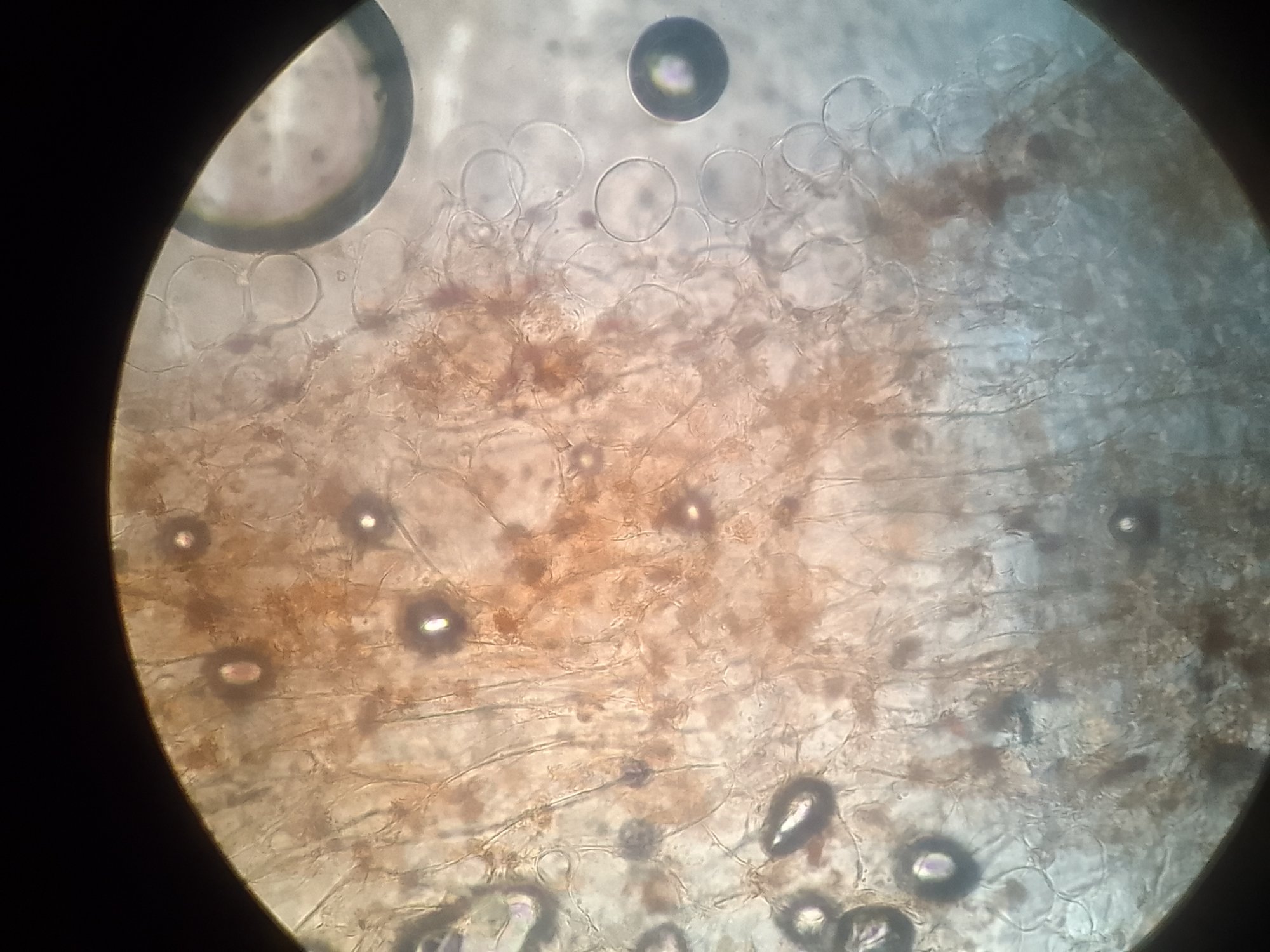
Micro :

Photos ci-dessous avec spores d'A.bisporus comme témoins. Spores elliptitiques apparaissant brunes noirâtre profond. Arête des lames avec cystides pyriformes et en dessous éléments couchés lagéniformes.

UnParasola?
Modifié en dernier par Duche le 03 juin 2025, 09:50, modifié 1 fois.

Duche

Messages : 1008
Enregistré le : 14 juil. 2020, 12:15
Nom : Francois Duriez

Message par Duche »
Bug. Je n'arrive pas à ajouter de photos. Je redémarre l'appli et je reviens
Fichiers joints
IMG_20250529_162242.jpg
IMG_20250529_162052.jpg
IMG_20250529_162118.jpg
IMG_20250529_162253.jpg
IMG_20250529_165645.jpg

Duche

Messages : 1008
Enregistré le : 14 juil. 2020, 12:15
Nom : Francois Duriez

Message par Duche »
Suite
Fichiers joints
Spores avec témoins
Spores avec témoins

Arête
Arête

2 couches sur les lames
2 couches sur les lames

Fouad En ligne

Avatar du membre
Messages : 19678
Enregistré le : 10 juin 2014, 18:06
Nom : Fouad Ouchène
Association : Société Mycologique de Strasbourg
Localisation : Alsace-Vosges

Message par Fouad »
Salut Duche,
Les lames ne semblent pas collariées.

Edit: bien pour les "spores échelle" ;) Et belle arête !

Duche

Messages : 1008
Enregistré le : 14 juil. 2020, 12:15
Nom : Francois Duriez

Message par Duche »
Aie aie aie. J'aurai du prendre une photo de la coupe transversale. Sur les exemplaires de maturité moyenne, le bord des lames caressaient le pieds sans s'y insérer. Sur les vieux, on voyait un écart net, bien clair et sec entre les lames et le pied.

Duche

Messages : 1008
Enregistré le : 14 juil. 2020, 12:15
Nom : Francois Duriez

Message par Duche »
Je veux dire qu'elles n'étaient pas adnées ou ascendantes.

Duche

Messages : 1008
Enregistré le : 14 juil. 2020, 12:15
Nom : Francois Duriez

Message par Duche »
Suite.
Les cystides sont parfois cylindriques, vésiculés pyryformes ou sphéropendonculées. Je ne saurais qualifier la surface de la cuticule.

Le chapeau est mamelonné au centre au départ.

Pas une espèce passionnante. Mais bon, pour le sport...

A tres vite
Fichiers joints
Dessus
Dessus

Dessus
Dessus

Detail aretes
Detail aretes

Fouad En ligne

Avatar du membre
Messages : 19678
Enregistré le : 10 juin 2014, 18:06
Nom : Fouad Ouchène
Association : Société Mycologique de Strasbourg
Localisation : Alsace-Vosges

Message par Fouad »
Bonjour,
Duche, ton arête a des airs de cuticule avec ses cellules sphériques.
Regarde le cutis au centre pour voir si tu y trouves des crins roux assez longs.

LOUP

Avatar du membre
Messages : 561
Enregistré le : 23 janv. 2025, 12:47
Localisation : Dijon (Côte d'Or)

Message par LOUP »
Bonjour,
Pas sûr que ce soit une Psathyrella, car les lames sont vraiment très noires à maturité.
Je pense qu'il faut regarder aussi du côté des Coprinus, Coprinellus, Coprinopsis et Parasola.
Une ressemblance néanmoins possible est Parasola auricomus à explorer

Duche

Messages : 1008
Enregistré le : 14 juil. 2020, 12:15
Nom : Francois Duriez

Message par Duche »
01 juin 2025, 09:49Fouad a écrit :
Bonjour,
Duche, ton arête a des airs de cuticule avec ses cellules sphériques.
Regarde le cutis au centre pour voir si tu y trouves des crins roux assez longs.
J'ai du me tromper dans mes photos. Je regarde avec ce qui reste tout à l'heure.

Duche

Messages : 1008
Enregistré le : 14 juil. 2020, 12:15
Nom : Francois Duriez

Message par Duche »
01 juin 2025, 13:06LOUP a écrit :
Bonjour,
Pas sûr que ce soit une Psathyrella, car les lames sont vraiment très noires à maturité.
Je pense qu'il faut regarder aussi du côté des Coprinus, Coprinellus, Coprinopsis et Parasola.
Une ressemblance néanmoins possible est Parasola auricomus à explorer
Coucou.

J'ai proposé Parasola au début. Coprinus exclu ici. Non?

LOUP

Avatar du membre
Messages : 561
Enregistré le : 23 janv. 2025, 12:47
Localisation : Dijon (Côte d'Or)

Message par LOUP »
Oui, on peut exclure les Coprinus, quand j'ai écris cela j'ai pensé aux Coprinus au sens large en tant que famille

LOUP

Avatar du membre
Messages : 561
Enregistré le : 23 janv. 2025, 12:47
Localisation : Dijon (Côte d'Or)

Message par LOUP »
Duche, c'est important que tu regardes bien s'il y a des fins poils dressés au centre du chapeau comme te l'a demandé Fouad, cela orienterait vers Parasola auricomus, sinon il faudra trouver une autre hypothèse.
Fichiers joints
Coprinus auricomus.pdf
(2.08 Mio) Téléchargé 76 fois

Duche

Messages : 1008
Enregistré le : 14 juil. 2020, 12:15
Nom : Francois Duriez

Message par Duche »
Rebonsoir,

Comme ceux-la?
Fichiers joints
IMG_20250601_204138.jpg

LOUP

Avatar du membre
Messages : 561
Enregistré le : 23 janv. 2025, 12:47
Localisation : Dijon (Côte d'Or)

Message par LOUP »
Bonjour,
Oui, c'est exactement ça
19 messages Page 1 sur 2