On casse une croûte
Ce forum permet de montrer des photos de champignons et de discuter sur leur détermination.
Attention: ces déterminations ne permettront pas une consommation des champignons !!!
Attention: ces déterminations ne permettront pas une consommation des champignons !!!
Bonsoir à tous.
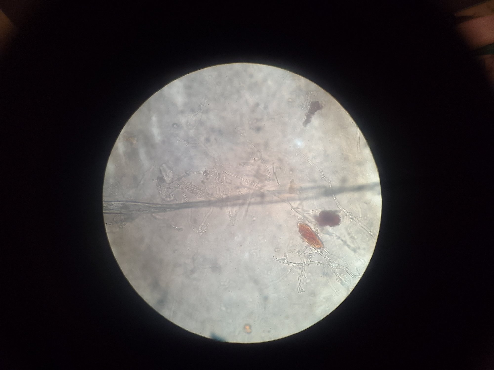
Je poste ça en coup de vent. Je vous demande de me laisser 48 heures pour que je puisse chercher un peu. Je devine que pour vous il sera très facile car il m'a l'air singulier Frais du jour. Les croutes pour moi, c'est du chinois. J'ai fait une micro vite zef avec mes incapacités habituelles à faire des coupes transversales fines et propres et des photos cleans. J'ai fait une bouillie.
Toucher un peu cireux. Impression de volume bosselée mais épaisseur très fine. Se détachant du substrat. Sur bois avec écorce très humide, surement de peuplier. Pouvant recouvrir des grosses branches sur des dizaines de centimètres avec toujours cette aspect bosselé, non craquelé mais avec des volumes. Du crème au brun en passant par un orangé pastel, rosé par endroit. Semblant assez typique.
Micro : spores moyennement abondantes parfaitement rondes, aux parois me semblant épaisses. J'ai un doute sur l'intérieur.
Présence d'hyphes ramifiés. J'ai cru voir des boucles. Pas d"hyphes de 3e ordre (j'ai oublié le nom) ou je les ai pas vu.
Sur ce bonne nuit à tous.
Je poste ça en coup de vent. Je vous demande de me laisser 48 heures pour que je puisse chercher un peu. Je devine que pour vous il sera très facile car il m'a l'air singulier Frais du jour. Les croutes pour moi, c'est du chinois. J'ai fait une micro vite zef avec mes incapacités habituelles à faire des coupes transversales fines et propres et des photos cleans. J'ai fait une bouillie.
Toucher un peu cireux. Impression de volume bosselée mais épaisseur très fine. Se détachant du substrat. Sur bois avec écorce très humide, surement de peuplier. Pouvant recouvrir des grosses branches sur des dizaines de centimètres avec toujours cette aspect bosselé, non craquelé mais avec des volumes. Du crème au brun en passant par un orangé pastel, rosé par endroit. Semblant assez typique.
Micro : spores moyennement abondantes parfaitement rondes, aux parois me semblant épaisses. J'ai un doute sur l'intérieur.
Présence d'hyphes ramifiés. J'ai cru voir des boucles. Pas d"hyphes de 3e ordre (j'ai oublié le nom) ou je les ai pas vu.
Sur ce bonne nuit à tous.
- Plus d'infos
- Messages : 16588
- Enregistré le : 24 juil. 2006, 17:34
- Association : Association Mycologique de l'Ouest
- Localisation : Loire Atlantique, France
- Plus d'infos
- Messages : 16588
- Enregistré le : 24 juil. 2006, 17:34
- Association : Association Mycologique de l'Ouest
- Localisation : Loire Atlantique, France
Bonjour à tous,
Merci pour votre idée. En utilisant l'outil de recherche de myco DB, je suis passé à côté. Chou blanc. Et je n'ai pas d'autres sources pour ce type de champignons.
Avec votre proposition, j'ai regardé les fiches myco db et mycocharentes.
La description macro copieuse de la fiche myco db colle parfaitement.
Pour la description micro, on retrouve les hyphes génératrices bouclées et guttulées sur ma photo.
Je me demande ce que sont les 3 éléments ronds que j'ai observé. Peut-etre les spores de face?
Je refais une micro demain en mode exercice pour voir les spores larmiformes et pourquoi pas d'autres éléments de la fiche. Je n'en ai pas vu lors de mon examen rapide.
C'est lui. Je me doutais que ça allait être simple pour vous vu le specimen et ses particularités. Mais vous êtes trop forts
Merci
A très vite.
Merci pour votre idée. En utilisant l'outil de recherche de myco DB, je suis passé à côté. Chou blanc. Et je n'ai pas d'autres sources pour ce type de champignons.
Avec votre proposition, j'ai regardé les fiches myco db et mycocharentes.
La description macro copieuse de la fiche myco db colle parfaitement.
Pour la description micro, on retrouve les hyphes génératrices bouclées et guttulées sur ma photo.
Je me demande ce que sont les 3 éléments ronds que j'ai observé. Peut-etre les spores de face?
Je refais une micro demain en mode exercice pour voir les spores larmiformes et pourquoi pas d'autres éléments de la fiche. Je n'en ai pas vu lors de mon examen rapide.
C'est lui. Je me doutais que ça allait être simple pour vous vu le specimen et ses particularités. Mais vous êtes trop forts
Merci
A très vite.
- Plus d'infos
- Messages : 30001
- Enregistré le : 23 sept. 2011, 17:11
- Nom : Laurent Francini
- Association : LA CHANTERELLE DE VILLE-LA-GRAND
- Localisation : La Yaute - Haute-Savoie (la «vraie» Savoie) ;-)
Bonjour, quels résultats ? 
http://www.francini-mycologie.fr/index.html • Myco-botaniste passionné! • Nikon D90 - F-S DX 18-200 mm f:3,5/5,6 G ED VRII - AF-S Nikkor 105 mm macro f:2.8 G ED - Micro Nikkor 60 mm f:2.8
- Plus d'infos
- Messages : 16588
- Enregistré le : 24 juil. 2006, 17:34
- Association : Association Mycologique de l'Ouest
- Localisation : Loire Atlantique, France
J'ai affecté le nom d'espèce... avec évidemment un cf.
Si Duche a des nouveaux éléments qu'il n'hésite pas à nous en faire part, mais ce serait mieux de ne pas laisser ses sujets traîner en longueur.
Si Duche a des nouveaux éléments qu'il n'hésite pas à nous en faire part, mais ce serait mieux de ne pas laisser ses sujets traîner en longueur.
L'amanite phalloïde a mauvaise réputation.
C'est pourtant l'un des rares champignons qui soit capable d'abréger les souffrances des myopathes.
Pierre Desproges
C'est pourtant l'un des rares champignons qui soit capable d'abréger les souffrances des myopathes.
Pierre Desproges
Bon. J'ai culpabilisé un peu and i have skaked my booties.
P.S . J'ai pris 70 photos. Le plus dur c'ést pas de les trouver de profil. Le plus dur, c'est de prendre une photo à peu près correcte.
Je Crois qu'on peut enlever le cf. .
Qu'en pensez-vous?
P.S. 2 : Je crois que mes terrains de cueillettes favoris et quelques manques de précaution m'ont valu une partie de mes problèmes. Je porterai des gants désormais en sortie.
P.S . J'ai pris 70 photos. Le plus dur c'ést pas de les trouver de profil. Le plus dur, c'est de prendre une photo à peu près correcte.
Je Crois qu'on peut enlever le cf. .
Qu'en pensez-vous?
P.S. 2 : Je crois que mes terrains de cueillettes favoris et quelques manques de précaution m'ont valu une partie de mes problèmes. Je porterai des gants désormais en sortie.
- Plus d'infos
- Messages : 16588
- Enregistré le : 24 juil. 2006, 17:34
- Association : Association Mycologique de l'Ouest
- Localisation : Loire Atlantique, France
- Plus d'infos
- Messages : 8149
- Enregistré le : 01 nov. 2021, 13:39
- Nom : THIERRY BLONDELLE
- Association : Association de Mycologie et de Botanique de l'Hérault et des Hauts Cantons (AMBHHC)
- Localisation : Courniou les grottes (34)_ Parc Naturel régional du Haut-Languedoc
- Plus d'infos
- Messages : 19714
- Enregistré le : 10 juin 2014, 18:06
- Nom : Fouad Ouchène
- Association : Société Mycologique de Strasbourg
- Localisation : Alsace-Vosges