Étang de Pouriette

Ce forum permet de montrer des photos de champignons et de discuter sur leur détermination.

Attention: ces déterminations ne permettront pas une consommation des champignons !!!
20 messages Page 1 sur 2

ustal

Avatar du membre
Messages : 2745
Enregistré le : 18 août 2014, 18:01
Localisation : Mayenne - Pays de la Loire

Message par ustal »
Bonsoir!
Des champignons trouvés ce matin près d'un étang en Mayenne (53) dans une zone souvent inondée, il y a en majorité du hêtre, du chêne et du saule, le diamètre maxi est de 2 mm, je n'ai pas de Doc mais j'ai regardé vers les Crépidotes sur MycoDB (mais ce n'est peut-être pas le bon genre?) et je n'ai rien trouvé. :clindoeil:
Merci à vous pour vos avis et bonne soirée. :clindoeil:
T1.JPG
T2.JPG
T3.JPG
Modifié en dernier par ustal le 05 sept. 2024, 13:32, modifié 1 fois.

Y.Courtieu

Avatar du membre
Messages : 36512
Enregistré le : 28 oct. 2012, 18:14
Localisation : Haute-Savoie
Site Internet

Message par Y.Courtieu »
Bonsoir,
Du côté des Resupinatus ?
Yves
UN CORPS FROID NE PEUT PAS CHAUFFER UN CORPS CHAUD

Une Science qui baillonne ses contradicteurs ne mérite pas le nom de science.

Nommo

Avatar du membre
Messages : 29192
Enregistré le : 18 août 2017, 18:36
Nom : François Desprès
Association : Alès
Localisation : Gard

Message par Nommo »
Même avis.
J’échangerais bien tout ce que je sais contre un pour cent de ce que je ne sais pas. ( Pierre Neville )

Fouad

Avatar du membre
Messages : 19667
Enregistré le : 10 juin 2014, 18:06
Nom : Fouad Ouchène
Association : Société Mycologique de Strasbourg
Localisation : Alsace-Vosges

Message par Fouad »
Bonjour,
Joël, si tu as toujours ton champignon, je pourrais y jeter un oeil. La micro est nécessaire pour aller plus loin.

Fouad Ouchène
8, Impasse des Horticulteurs
67201 Eckbolsheim

ustal

Avatar du membre
Messages : 2745
Enregistré le : 18 août 2014, 18:01
Localisation : Mayenne - Pays de la Loire

Message par ustal »
Bonjour!
Merci à vous trois, Fouad, j'ai toujours les champignons mais on ne voit plus grand chose sur le morceau de bois, je t'envoie ça la semaine prochaine (j'ai toujours ton adresse). :clindoeil:

Fouad

Avatar du membre
Messages : 19667
Enregistré le : 10 juin 2014, 18:06
Nom : Fouad Ouchène
Association : Société Mycologique de Strasbourg
Localisation : Alsace-Vosges

Message par Fouad »
Ne t'inquiète pas, je les retrouverai et je vais m'amuser à prélever une arête de lame ;)

Fouad

Avatar du membre
Messages : 19667
Enregistré le : 10 juin 2014, 18:06
Nom : Fouad Ouchène
Association : Société Mycologique de Strasbourg
Localisation : Alsace-Vosges

Message par Fouad »
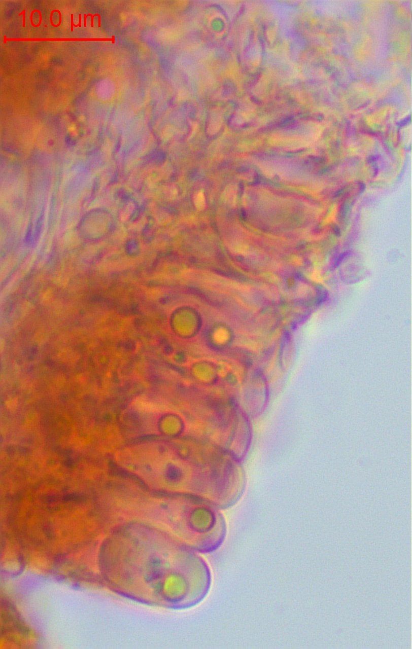
Les champignons sont bien arrivés, ils font 1-1,5 mm secs.
Pas de cystides observées. Basides trapues et spores subglobuleuses.
Je peux faire une autre micro si nécessaire.
Fichiers joints
bsd-002.jpg
sp-002.jpg

Fouad

Avatar du membre
Messages : 19667
Enregistré le : 10 juin 2014, 18:06
Nom : Fouad Ouchène
Association : Société Mycologique de Strasbourg
Localisation : Alsace-Vosges

Message par Fouad »
Ah si ! Il y a des cystides très fines !
ch-002.jpg

Fouad

Avatar du membre
Messages : 19667
Enregistré le : 10 juin 2014, 18:06
Nom : Fouad Ouchène
Association : Société Mycologique de Strasbourg
Localisation : Alsace-Vosges

Message par Fouad »
Je pense à tricotis ? Mais à comparer les cheilocystides : https://www.mycocharentes.fr/pdf1/493.pdf
Je partirais finalement sur striatulus d'autant plus que je ne voit pas de tomentum sous les petits chapeaux.

ustal

Avatar du membre
Messages : 2745
Enregistré le : 18 août 2014, 18:01
Localisation : Mayenne - Pays de la Loire

Message par ustal »
18 août 2024, 23:01Fouad a écrit :
Je pense à tricotis ? Mais à comparer les cheilocystides : https://www.mycocharentes.fr/pdf1/493.pdf
Je partirais finalement sur striatulus d'autant plus que je ne voit pas de tomentum sous les petits chapeaux.
Bonjour et merci Fouad pour ton aide, je te fais entièrement confiance pour la détermination, j'attends un peu avant de renommer au cas où quelqu'un serait d'un autre avis? ou voudrait valider ta détermination. :clindoeil:

Fouad

Avatar du membre
Messages : 19667
Enregistré le : 10 juin 2014, 18:06
Nom : Fouad Ouchène
Association : Société Mycologique de Strasbourg
Localisation : Alsace-Vosges

Message par Fouad »
Salut Joël,
Ben, est-ce qu'il y a l'hôte dans le coin de la récolte : Pinus ?

Terradoc

Messages : 8042
Enregistré le : 01 nov. 2021, 13:39
Nom : THIERRY BLONDELLE
Association : Association de Mycologie et de Botanique de l'Hérault et des Hauts Cantons (AMBHHC)
Localisation : Courniou les grottes (34)_ Parc Naturel régional du Haut-Languedoc

Message par Terradoc »
A part la micro qui donne un Resupinatus, rien de bien tangible. Resupinatus sp

ustal

Avatar du membre
Messages : 2745
Enregistré le : 18 août 2014, 18:01
Localisation : Mayenne - Pays de la Loire

Message par ustal »
19 août 2024, 22:35Fouad a écrit :
Salut Joël,
Ben, est-ce qu'il y a l'hôte dans le coin de la récolte : Pinus ?
Bonjour Fouad, non pas à cet endroit souvent inondé par fortes pluies, il y a en majorité du hêtre, du chêne et du saule.

ustal

Avatar du membre
Messages : 2745
Enregistré le : 18 août 2014, 18:01
Localisation : Mayenne - Pays de la Loire

Message par ustal »
20 août 2024, 08:09Terradoc a écrit :
A part la micro qui donne un Resupinatus, rien de bien tangible. Resupinatus sp
Oui sans doute?

Jean Pierre

Avatar du membre
Messages : 7331
Enregistré le : 21 sept. 2011, 10:40
Nom : Jean Pierre Raverat
Association : Association Mycologique Féréopontaine
Localisation : Seine Port (77)
Site Internet

Message par Jean Pierre »
Bonjour,

Pas de photos du dessus ?
Quelle était la couleur des lames des jeunes exemplaires ?
Jean Pierre Raverat.
http://www.champignons77.org/
20 messages Page 1 sur 2