Dans l'herbe d'un parc
Ce forum permet de montrer des photos de champignons et de discuter sur leur détermination.
Attention: ces déterminations ne permettront pas une consommation des champignons !!!
Attention: ces déterminations ne permettront pas une consommation des champignons !!!
7 messages
Page 1 sur 1
Bonsoir,
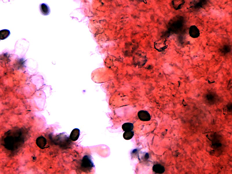
Je me suis risqué à regarder les cystides. Mais que conclure... ?
La sporée est noire et les spores aussi, de dimension vers 8-9 x 5-6 µm.
Une Psathyrelle, je pense, vers peut-être P. spadiceogrisea, (c'est le printemps),
Mais pour moi, je suis loin d'en être certain.
Votre avis m'intéresse.
Je me suis risqué à regarder les cystides. Mais que conclure... ?
La sporée est noire et les spores aussi, de dimension vers 8-9 x 5-6 µm.
Une Psathyrelle, je pense, vers peut-être P. spadiceogrisea, (c'est le printemps),
Mais pour moi, je suis loin d'en être certain.
Votre avis m'intéresse.
Yves
UN CORPS FROID NE PEUT PAS CHAUFFER UN CORPS CHAUD
Une Science qui baillonne ses contradicteurs ne mérite pas le nom de science.
UN CORPS FROID NE PEUT PAS CHAUFFER UN CORPS CHAUD
Une Science qui baillonne ses contradicteurs ne mérite pas le nom de science.
- Plus d'infos
- Messages : 16561
- Enregistré le : 24 juil. 2006, 17:34
- Association : Association Mycologique de l'Ouest
- Localisation : Loire Atlantique, France
Bonjour Yves,
la forme des spores ne me semble pas convenir pour l'espèce que tu proposes. P. spadiceogrisea a des spores plus oblongues et réniformes de profil.
la forme des spores ne me semble pas convenir pour l'espèce que tu proposes. P. spadiceogrisea a des spores plus oblongues et réniformes de profil.
L'amanite phalloïde a mauvaise réputation.
C'est pourtant l'un des rares champignons qui soit capable d'abréger les souffrances des myopathes.
Pierre Desproges
C'est pourtant l'un des rares champignons qui soit capable d'abréger les souffrances des myopathes.
Pierre Desproges
- Plus d'infos
- Messages : 19687
- Enregistré le : 10 juin 2014, 18:06
- Nom : Fouad Ouchène
- Association : Société Mycologique de Strasbourg
- Localisation : Alsace-Vosges
Bonjour,
Yves, ta psathyrelle m'évoque une de mes récoltes effectuée pendant les frimas jusqu'en décembre dans une pelouse urbaine : Psathyrella panaeoloides.
Voici les spores et les cystides - et paracystides ce que nous voyons sur ta micro ?
Yves, ta psathyrelle m'évoque une de mes récoltes effectuée pendant les frimas jusqu'en décembre dans une pelouse urbaine : Psathyrella panaeoloides.
Voici les spores et les cystides - et paracystides ce que nous voyons sur ta micro ?
Grégaires sur une petite surface de 30 cm de côté. Présents depuis le début de l'automne ; les poussées semblent continuer ce 14 novembre. Dans l'herbe rase et moussues d'un parterre dégagé à l'entrée d'un parking de garage à la frontière entre Eckbolsheim et Strasbourg.
Chapeaux environ 2,5 cm maxi. Pas de voile évident, brun puis grisâtre avec l'âge, d'aspect un peu marbré zébré, discrètement strié, hygrophane.
Lames grisâtres, vaguement pommelées ; arête irrégulièrement blanche.
Stipe blanc, relativement court : 4 x 0,3 cm ; bulbeux. De légers restes de cortine (?).
Odeur insignifiante.
Spores submitriformes à paroi épaisse et PG net. Couleur brun noirâtre : (de face) N= 20 ; 8-8,6-9 x 6-6,2-6,4 µ (de profil : 4,9-5,5-5,7 µ) ; Qm= 1,37 (1,56 de profil)
Les cystides sont lagénifomes, utriformes et piriformes. Sur la face des lames, elles sont plutôt rares ; mais bien présentes immédiatement aux abords de l'arête.
Bonjour Fifi et Fouad,
Merci de vous intéresser à cette petite espèce.
Si cela n'est pas P. spadiceogrisea, je ne serai pas autrement surpris.
Cette dernière espèce pousse en quantité dans les sous-bois clairs autour de chez moi et ne ressemble macroscopiquement pas aux exemplaires de cette récolte.
Je regarde de plus près la piste évoquée par Fouad, qui semble à première vue plus convaincante.
Merci de vous intéresser à cette petite espèce.
Si cela n'est pas P. spadiceogrisea, je ne serai pas autrement surpris.
Cette dernière espèce pousse en quantité dans les sous-bois clairs autour de chez moi et ne ressemble macroscopiquement pas aux exemplaires de cette récolte.
Je regarde de plus près la piste évoquée par Fouad, qui semble à première vue plus convaincante.
Yves
UN CORPS FROID NE PEUT PAS CHAUFFER UN CORPS CHAUD
Une Science qui baillonne ses contradicteurs ne mérite pas le nom de science.
UN CORPS FROID NE PEUT PAS CHAUFFER UN CORPS CHAUD
Une Science qui baillonne ses contradicteurs ne mérite pas le nom de science.
J'ai pris l'avis de Alain Favre sur cette espèce.
Voici sa réponse :
Je ne connais pas cette espèce, qui semble particulièrement rare, non connue en Haute-Savoie selon MycoflAURA.
Ta photo du champignon semble bien correspondre.
On donne souvent les spores comme pas spécialement foncées, mais d'après certaines photos, elles peuvent l'être (comme les tiennes).
Par ailleurs, dans la Flore Analytique, elles sont données comme assez foncées (Romagnesi connaissait très bien les psathyrelles, et cette espèce en particulier). Leur forme spéciale paraît convenir.
Ma conclusion : ça doit être ça. Une belle découverte.
Voici sa réponse :
Je ne connais pas cette espèce, qui semble particulièrement rare, non connue en Haute-Savoie selon MycoflAURA.
Ta photo du champignon semble bien correspondre.
On donne souvent les spores comme pas spécialement foncées, mais d'après certaines photos, elles peuvent l'être (comme les tiennes).
Par ailleurs, dans la Flore Analytique, elles sont données comme assez foncées (Romagnesi connaissait très bien les psathyrelles, et cette espèce en particulier). Leur forme spéciale paraît convenir.
Ma conclusion : ça doit être ça. Une belle découverte.
Yves
UN CORPS FROID NE PEUT PAS CHAUFFER UN CORPS CHAUD
Une Science qui baillonne ses contradicteurs ne mérite pas le nom de science.
UN CORPS FROID NE PEUT PAS CHAUFFER UN CORPS CHAUD
Une Science qui baillonne ses contradicteurs ne mérite pas le nom de science.
- Plus d'infos
- Messages : 7413
- Enregistré le : 21 sept. 2011, 10:40
- Nom : Jean Pierre Raverat
- Association : Association Mycologique Féréopontaine
- Localisation : Seine Port (77)
Bonsoir,
Cela me semble bien correspondre. L'espèce possède de nombreuses caulos, à vérifier.
Cela me semble bien correspondre. L'espèce possède de nombreuses caulos, à vérifier.
Jean Pierre Raverat.
http://www.champignons77.org/
http://www.champignons77.org/
Il faudra que j'en retrouve pour vérifier.
Cela dit, la description du Romagnesi, le dessin des spores et la variété de forme des cystides collent très bien.
Je renomme. Merci à tous pour votre aide et en particulier à Fouad.
Cela dit, la description du Romagnesi, le dessin des spores et la variété de forme des cystides collent très bien.
Je renomme. Merci à tous pour votre aide et en particulier à Fouad.
Yves
UN CORPS FROID NE PEUT PAS CHAUFFER UN CORPS CHAUD
Une Science qui baillonne ses contradicteurs ne mérite pas le nom de science.
UN CORPS FROID NE PEUT PAS CHAUFFER UN CORPS CHAUD
Une Science qui baillonne ses contradicteurs ne mérite pas le nom de science.
7 messages
Page 1 sur 1