Petits disques gris

Tout sur les lichens (Déterminations, Qui suis-je ?, ...)
27 messages Page 1 sur 2

Fouad

Avatar du membre
Messages : 19120
Enregistré le : 10 juin 2014, 18:06
Nom : Fouad Ouchène
Association : Société Mycologique de Strasbourg
Localisation : Alsace-Vosges

Message par Fouad »
Bonjour,
Fort probablement sur Pinus sylvestris (Edit: plutôt Fagus). Micro à venir.
Merci pour vos orientations.
IMG_1373.JPG
IMG_1390.JPG
Modifié en dernier par Fouad le 01 févr. 2024, 16:30, modifié 3 fois.

Nommo

Avatar du membre
Messages : 28418
Enregistré le : 18 août 2017, 18:36
Nom : François Desprès
Association : Alès
Localisation : Gard

Message par Nommo »
Salut Fouad,

Aucune idée.
J’échangerais bien tout ce que je sais contre un pour cent de ce que je ne sais pas. ( Pierre Neville )

Jplm

Avatar du membre
Messages : 37229
Enregistré le : 03 oct. 2011, 10:37
Nom : Jean-Pierre Lachenal-Montagne
Associations : Société Mycologique de France - Associu U Muchjinu : Société Mycologique de Porto-Vecchio
Localisation : Paris, parfois Corse

Message par Jplm »
Petits comment, par curiosité ?

Jplm
Jean-Pierre Lachenal-Montagne

Fouad

Avatar du membre
Messages : 19120
Enregistré le : 10 juin 2014, 18:06
Nom : Fouad Ouchène
Association : Société Mycologique de Strasbourg
Localisation : Alsace-Vosges

Message par Fouad »
Un peu moins d'un millimètre pour les plus grands.

Terradoc En ligne

Messages : 7364
Enregistré le : 01 nov. 2021, 13:39
Nom : THIERRY BLONDELLE
Association : Association de Mycologie et de Botanique de l'Hérault et des Hauts Cantons (AMBHHC)
Localisation : Courniou les grottes (34)_ Parc Naturel régional du Haut-Languedoc

Message par Terradoc »
Je mise sur un lichen crustacé de type Ochrolechia.

Richmond63

Avatar du membre
Messages : 11161
Enregistré le : 29 nov. 2010, 18:43
Nom : Richard Valeri
Association : S.M.B.L.A./A.M.H.A/S.M.F.
Localisation : puy de dôme-montagne thiernoise

Message par Richmond63 »
Je n'osais le dire avec ce thalle sous-jacent, mais je ne travaille pas les lichens ; Alors je ne me serais pas risqué sur un genre ?

Nommo

Avatar du membre
Messages : 28418
Enregistré le : 18 août 2017, 18:36
Nom : François Desprès
Association : Alès
Localisation : Gard

Message par Nommo »
C’est aussi à un lichen que j’ai songé en découvrant les photos.
J’échangerais bien tout ce que je sais contre un pour cent de ce que je ne sais pas. ( Pierre Neville )

Fouad

Avatar du membre
Messages : 19120
Enregistré le : 10 juin 2014, 18:06
Nom : Fouad Ouchène
Association : Société Mycologique de Strasbourg
Localisation : Alsace-Vosges

Message par Fouad »
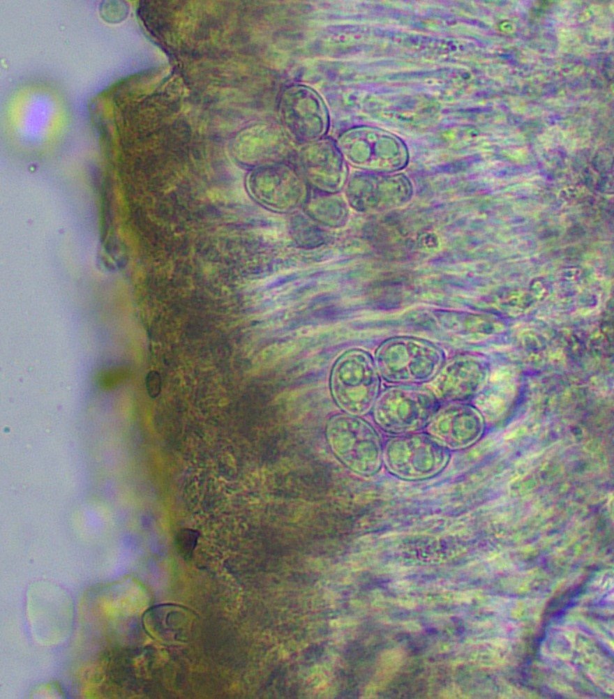
Il s'agit d'un lichen. Voici la micro d'un néophyte.
P1090328.JPG
coupe-002.jpg
coupe-004.jpg
coupe-007.jpg
spores-005.jpg

Jplm

Avatar du membre
Messages : 37229
Enregistré le : 03 oct. 2011, 10:37
Nom : Jean-Pierre Lachenal-Montagne
Associations : Société Mycologique de France - Associu U Muchjinu : Société Mycologique de Porto-Vecchio
Localisation : Paris, parfois Corse

Message par Jplm »
Bonsoir,

J'ai transféré le sujet dans le forum Lichens.

Jplm
Jean-Pierre Lachenal-Montagne

Terradoc En ligne

Messages : 7364
Enregistré le : 01 nov. 2021, 13:39
Nom : THIERRY BLONDELLE
Association : Association de Mycologie et de Botanique de l'Hérault et des Hauts Cantons (AMBHHC)
Localisation : Courniou les grottes (34)_ Parc Naturel régional du Haut-Languedoc

Message par Terradoc »
Vu la taille des spores, on se rapprocherait du genre Lecanora. Pour l'espèce, sans réactions colorées, c'est plus compliqué.
Les photos sont réussies.

Fouad

Avatar du membre
Messages : 19120
Enregistré le : 10 juin 2014, 18:06
Nom : Fouad Ouchène
Association : Société Mycologique de Strasbourg
Localisation : Alsace-Vosges

Message par Fouad »
Merci pour la piste, Thierry. Je propose Lecanora chlarotera ?

Merci Jp pour le transfert ;)

Terradoc En ligne

Messages : 7364
Enregistré le : 01 nov. 2021, 13:39
Nom : THIERRY BLONDELLE
Association : Association de Mycologie et de Botanique de l'Hérault et des Hauts Cantons (AMBHHC)
Localisation : Courniou les grottes (34)_ Parc Naturel régional du Haut-Languedoc

Message par Terradoc »
Les apothécies sont beaucoup trop claires. Plutôt albella, carpinea ou subcarpinea. Tente une réaction au chlore sur le centre de l'apothécie.

Fouad

Avatar du membre
Messages : 19120
Enregistré le : 10 juin 2014, 18:06
Nom : Fouad Ouchène
Association : Société Mycologique de Strasbourg
Localisation : Alsace-Vosges

Message par Fouad »
Réaction négative.

Terradoc En ligne

Messages : 7364
Enregistré le : 01 nov. 2021, 13:39
Nom : THIERRY BLONDELLE
Association : Association de Mycologie et de Botanique de l'Hérault et des Hauts Cantons (AMBHHC)
Localisation : Courniou les grottes (34)_ Parc Naturel régional du Haut-Languedoc

Message par Terradoc »
Alors probablement albella.

Fouad

Avatar du membre
Messages : 19120
Enregistré le : 10 juin 2014, 18:06
Nom : Fouad Ouchène
Association : Société Mycologique de Strasbourg
Localisation : Alsace-Vosges

Message par Fouad »
Les disques sont de couleur rose saumon sur les plus grands ; mal rendu ici.
Merci Thierry ;)
le lichen sur son support, Fagus sylvatica
le lichen sur son support, Fagus sylvatica
27 messages Page 1 sur 2