Lyophyllum qui me prend le chou
Ce forum permet de montrer des photos de champignons et de discuter sur leur détermination.
Attention: ces déterminations ne permettront pas une consommation des champignons !!!
Attention: ces déterminations ne permettront pas une consommation des champignons !!!
Bonsoir à tous
Je vous présente ce lyophylle. Trouvés dans le bahut où je travaille, en novembre et ce jeudi dernier. J'ai demandé à la collègue de SVT si on pouvait faire une micro des spores avec les moyens du bord. Pas de reglette micrometrique mais on a pu faire une photo. Je l'ai trifouillé (du moins j'ai essayé) sous toutes les coutures en macro. J'ai déjà croisé L. decastes, dans son apparence naturelle, en grosses touffes, au bord d'un chemin sous feuillus, l'autre à pied obèse, très clavé, dont je n'ai plus le nom (rhodopodium...? ), une fois, et des Lyophylles en touffes aux lames noircissantes il y a 3 ans, mais je n'etais pas du tout assez attentif et assez armé pour espérer determiner les specimens trouvés.
Chapeau : marge recourbée, brun foncé franc plutôt uniforme, legerement luisant mais sec, vergeté radialement. Cuticule separable assez facilement d'épaisseur moyenne laissant apparaître des stries une fois retirée.
Lames : creme tirant sur le jaune quand on leur laisse le temps. Fines, espacées, Immuables au toucher au frottement et quand on les coupe volontairement. L'arête est teintée de brun pres du pied et presque seulement là, sans toucher aucun. Légèrement echancrées. Souples. Semblant fourchues.
Pied: R.A.S.
Chair: blanche, épaisse, plus molle au centre. Odeur d'intensité moyenne à assez forte, classique ( de champignon de Paris), un peu nauséabonde et ecoeurante dans la base du pied.
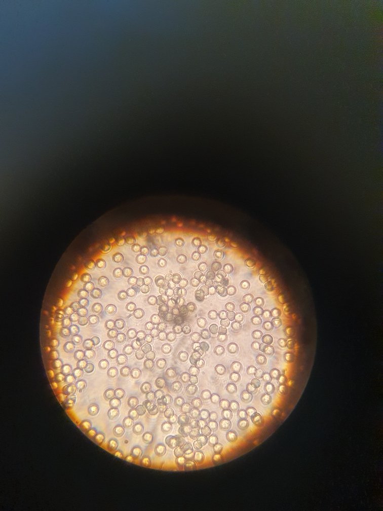
Spores: globuleuses
Habitat : en novembre, en décembre et en mars dans une pelouse moussue calcaire non arborée en milieu très ruderalisé. En troupe abondante généralement mais JAMAIS en touffes.
Le GEPR, myco db, mycoquebec et mycocharentes ont épaissi le mystère meme si de nombreuses espèces du genre sont de fait éliminées. Merci d'avance pour vos pistes.
Je vous présente ce lyophylle. Trouvés dans le bahut où je travaille, en novembre et ce jeudi dernier. J'ai demandé à la collègue de SVT si on pouvait faire une micro des spores avec les moyens du bord. Pas de reglette micrometrique mais on a pu faire une photo. Je l'ai trifouillé (du moins j'ai essayé) sous toutes les coutures en macro. J'ai déjà croisé L. decastes, dans son apparence naturelle, en grosses touffes, au bord d'un chemin sous feuillus, l'autre à pied obèse, très clavé, dont je n'ai plus le nom (rhodopodium...? ), une fois, et des Lyophylles en touffes aux lames noircissantes il y a 3 ans, mais je n'etais pas du tout assez attentif et assez armé pour espérer determiner les specimens trouvés.
Chapeau : marge recourbée, brun foncé franc plutôt uniforme, legerement luisant mais sec, vergeté radialement. Cuticule separable assez facilement d'épaisseur moyenne laissant apparaître des stries une fois retirée.
Lames : creme tirant sur le jaune quand on leur laisse le temps. Fines, espacées, Immuables au toucher au frottement et quand on les coupe volontairement. L'arête est teintée de brun pres du pied et presque seulement là, sans toucher aucun. Légèrement echancrées. Souples. Semblant fourchues.
Pied: R.A.S.
Chair: blanche, épaisse, plus molle au centre. Odeur d'intensité moyenne à assez forte, classique ( de champignon de Paris), un peu nauséabonde et ecoeurante dans la base du pied.
Spores: globuleuses
Habitat : en novembre, en décembre et en mars dans une pelouse moussue calcaire non arborée en milieu très ruderalisé. En troupe abondante généralement mais JAMAIS en touffes.
Le GEPR, myco db, mycoquebec et mycocharentes ont épaissi le mystère meme si de nombreuses espèces du genre sont de fait éliminées. Merci d'avance pour vos pistes.
Modifié en dernier par Duche le 18 avr. 2023, 19:36, modifié 1 fois.
-
Nommo En ligne
Plus d'infos
- Messages : 28686
- Enregistré le : 18 août 2017, 18:36
- Nom : François Desprès
- Association : Alès
- Localisation : Gard
-
Fouad En ligne
Plus d'infos
- Messages : 19243
- Enregistré le : 10 juin 2014, 18:06
- Nom : Fouad Ouchène
- Association : Société Mycologique de Strasbourg
- Localisation : Alsace-Vosges
- Plus d'infos
- Messages : 37563
- Enregistré le : 03 oct. 2011, 10:37
- Nom : Jean-Pierre Lachenal-Montagne
- Associations : Société Mycologique de France - Associu U Muchjinu : Société Mycologique de Porto-Vecchio
- Localisation : Paris, parfois Corse
-
Fouad En ligne
Plus d'infos
- Messages : 19243
- Enregistré le : 10 juin 2014, 18:06
- Nom : Fouad Ouchène
- Association : Société Mycologique de Strasbourg
- Localisation : Alsace-Vosges
Celui de l'assiette a un stipe des plus banales pour decastes, Jp. Le premier à un stipe trapu en effet, mais on ne voit qu'un seul champignon in situ ; et quand bien même cela n'exclurait pas des Lyophyllum decastes. L'odeur nauséeuse en est un caractère. Aussi la forme des spores collent parfaitement.
- Plus d'infos
- Messages : 37563
- Enregistré le : 03 oct. 2011, 10:37
- Nom : Jean-Pierre Lachenal-Montagne
- Associations : Société Mycologique de France - Associu U Muchjinu : Société Mycologique de Porto-Vecchio
- Localisation : Paris, parfois Corse
Oui, j'ai vu, les spores globuleuses vont très bien mais beaucoup de choses vont moins bien :
- le pied, on l'a dit ;
- l'odeur : le GEPR ne parle pas de nauséabond, ni le RCBD ni d'autres comme MycoDB mais du haricot vert, oui. Je l'ai moi-même senti, mais pas toujours il est vrai ;
- le noircissement des lames que je ne vois mentionné nulle part ;
- et même l'habitat loin de tout arbre ;
- Duche ne parle pas non plus de chair élastique.
Pour autant je ne vois pas d'autre candidat. Il serait bien que d'autres s'expriment.
Jplm
- le pied, on l'a dit ;
- l'odeur : le GEPR ne parle pas de nauséabond, ni le RCBD ni d'autres comme MycoDB mais du haricot vert, oui. Je l'ai moi-même senti, mais pas toujours il est vrai ;
- le noircissement des lames que je ne vois mentionné nulle part ;
- et même l'habitat loin de tout arbre ;
- Duche ne parle pas non plus de chair élastique.
Pour autant je ne vois pas d'autre candidat. Il serait bien que d'autres s'expriment.
Jplm
Jean-Pierre Lachenal-Montagne
-
Fouad En ligne
Plus d'infos
- Messages : 19243
- Enregistré le : 10 juin 2014, 18:06
- Nom : Fouad Ouchène
- Association : Société Mycologique de Strasbourg
- Localisation : Alsace-Vosges
01 avr. 2023, 12:23Jplm a écrit : Oui, j'ai vu, les spores globuleuses vont très bien mais beaucoup de choses vont moins bien :
- le pied, on l'a dit ;
- l'odeur : le GEPR ne parle pas de nauséabond, ni le RCBD ni d'autres comme MycoDB mais du haricot vert, oui. Je l'ai moi-même senti, mais pas toujours il est vrai ;
L'odeur de L. decastes est certes essentiellement de type "farineuse", et personnellement je la trouve nauséeuse à la longue. Duche ne nous dit pas si le champignon a subit ou pas le gel ? Je pense que oui au vu de l'arête des lames nécrosée. A noter que les Lyophyllum peuvent rester sur pied pendant plusieurs semaines !
- le noircissement des lames que je ne vois mentionné nulle part ;
L'auteur précise bien que les lames ne noircissent pas au frottement. Ou alors je ne comprends pas ta phrase, Jp.
- et même l'habitat loin de tout arbre ;
Les Lyophyllum sont saprotrophes. Je ne vois pas où est le problème ?
- Duche ne parle pas non plus de chair élastique.
Indirectement, si. Il évoque le genre Lyophyllum.
Pour autant je ne vois pas d'autre candidat. Il serait bien que d'autres s'expriment.
Jplm
-
Nommo En ligne
Plus d'infos
- Messages : 28686
- Enregistré le : 18 août 2017, 18:36
- Nom : François Desprès
- Association : Alès
- Localisation : Gard
Bonjour
Merci pour vos réponses. J'y retourne lundi. Il y a d'autres exemplaires que j'ai laissé sur pied. L.decastes semble s'imposer... Je reste surpris. Mais je me trompe souvent et ce genre est trompeur. Peut-être que d'autres exemplaires viendront confirmer cette idée. Je vais m'efforcer de les humer encore.
Merci encore.
A bientôt.
Merci pour vos réponses. J'y retourne lundi. Il y a d'autres exemplaires que j'ai laissé sur pied. L.decastes semble s'imposer... Je reste surpris. Mais je me trompe souvent et ce genre est trompeur. Peut-être que d'autres exemplaires viendront confirmer cette idée. Je vais m'efforcer de les humer encore.
Merci encore.
A bientôt.
-
Fouad En ligne
Plus d'infos
- Messages : 19243
- Enregistré le : 10 juin 2014, 18:06
- Nom : Fouad Ouchène
- Association : Société Mycologique de Strasbourg
- Localisation : Alsace-Vosges
-
Nommo En ligne
Plus d'infos
- Messages : 28686
- Enregistré le : 18 août 2017, 18:36
- Nom : François Desprès
- Association : Alès
- Localisation : Gard
Bonsoir.
Je me range à votre avis. J'en ai renifle 3 sur la troupe d'une dizaine d'exemplaires, très jeunes, en place. Le plus vieux dégageait le même profil olfactif que j'avais decrit pour l'exemplaire d'origine. Et sur 2 d'entre eux tres jeunes, il y avait une odeur herbacée bien distincte. Pas de teinte brune sur leurs lames sur ces exemplaires. J'ai repéré un groupe de 3 reliés par le meme pied. Pas des touffes comme je le croise habituellement mais un bon debut. C'est ça qui m'embettait parce qu'en novembre, je n'avais pas non plus remarqué de touffes, mais surtout une croissance en troupe, éparse.
Je renomme Lyophyllum decastes?
Je vous remercie.
A bientôt.
Je me range à votre avis. J'en ai renifle 3 sur la troupe d'une dizaine d'exemplaires, très jeunes, en place. Le plus vieux dégageait le même profil olfactif que j'avais decrit pour l'exemplaire d'origine. Et sur 2 d'entre eux tres jeunes, il y avait une odeur herbacée bien distincte. Pas de teinte brune sur leurs lames sur ces exemplaires. J'ai repéré un groupe de 3 reliés par le meme pied. Pas des touffes comme je le croise habituellement mais un bon debut. C'est ça qui m'embettait parce qu'en novembre, je n'avais pas non plus remarqué de touffes, mais surtout une croissance en troupe, éparse.
Je renomme Lyophyllum decastes?
Je vous remercie.
A bientôt.
- Plus d'infos
- Messages : 37563
- Enregistré le : 03 oct. 2011, 10:37
- Nom : Jean-Pierre Lachenal-Montagne
- Associations : Société Mycologique de France - Associu U Muchjinu : Société Mycologique de Porto-Vecchio
- Localisation : Paris, parfois Corse
-
Fouad En ligne
Plus d'infos
- Messages : 19243
- Enregistré le : 10 juin 2014, 18:06
- Nom : Fouad Ouchène
- Association : Société Mycologique de Strasbourg
- Localisation : Alsace-Vosges