Un lignicole sur les dents

Rubrique pour apprendre en s'amusant. On poste des photos de champignons déjà déterminés sans en donner le nom...
31 messages Page 1 sur 3

Terradoc

Messages : 8042
Enregistré le : 01 nov. 2021, 13:39
Nom : THIERRY BLONDELLE
Association : Association de Mycologie et de Botanique de l'Hérault et des Hauts Cantons (AMBHHC)
Localisation : Courniou les grottes (34)_ Parc Naturel régional du Haut-Languedoc

Message par Terradoc »
Bonsoir,
4X6A3665-1.JPG
4X6A3679-1.JPG
Modifié en dernier par Terradoc le 07 févr. 2023, 10:56, modifié 1 fois.

Jean Pierre

Avatar du membre
Messages : 7331
Enregistré le : 21 sept. 2011, 10:40
Nom : Jean Pierre Raverat
Association : Association Mycologique Féréopontaine
Localisation : Seine Port (77)
Site Internet

Message par Jean Pierre »
Bonsoir.

H.c. 1887 ?

Celui de la première photo a été tagué ?
Jean Pierre Raverat.
http://www.champignons77.org/

Y.Courtieu

Avatar du membre
Messages : 36512
Enregistré le : 28 oct. 2012, 18:14
Localisation : Haute-Savoie
Site Internet

Message par Y.Courtieu »
Famille Radulomycetaceae ?
Yves
UN CORPS FROID NE PEUT PAS CHAUFFER UN CORPS CHAUD

Une Science qui baillonne ses contradicteurs ne mérite pas le nom de science.

Jean Pierre

Avatar du membre
Messages : 7331
Enregistré le : 21 sept. 2011, 10:40
Nom : Jean Pierre Raverat
Association : Association Mycologique Féréopontaine
Localisation : Seine Port (77)
Site Internet

Message par Jean Pierre »
04 févr. 2023, 20:39Jean Pierre a écrit :
H.c. 1887 ?
Répondu trop vite.
Je pense qu'Yves a la réponse.
Jean Pierre Raverat.
http://www.champignons77.org/

Jplm

Avatar du membre
Messages : 38523
Enregistré le : 03 oct. 2011, 10:37
Nom : Jean-Pierre Lachenal-Montagne
Associations : Société Mycologique de France - Associu U Muchjinu : Société Mycologique de Porto-Vecchio
Localisation : Paris, parfois Corse

Message par Jplm »
Vous m'avez eu de vitesse tous les deux, j'hésitais entre les deux classiques, pas eu le temps de réviser les différences pour poser des questions intelligentes.

Jplm


On peut voir les spores ?
Jean-Pierre Lachenal-Montagne

Montama

Messages : 7689
Enregistré le : 09 août 2017, 19:15
Localisation : Loire Atlantique

Message par Montama »
Bonsoir,
Sur branche de chêne apparemment (au vu du lichen)
Spores larmiformes et amyloïdes?

Terradoc

Messages : 8042
Enregistré le : 01 nov. 2021, 13:39
Nom : THIERRY BLONDELLE
Association : Association de Mycologie et de Botanique de l'Hérault et des Hauts Cantons (AMBHHC)
Localisation : Courniou les grottes (34)_ Parc Naturel régional du Haut-Languedoc

Message par Terradoc »
J'avais pas trop compris l'histoire du tag.
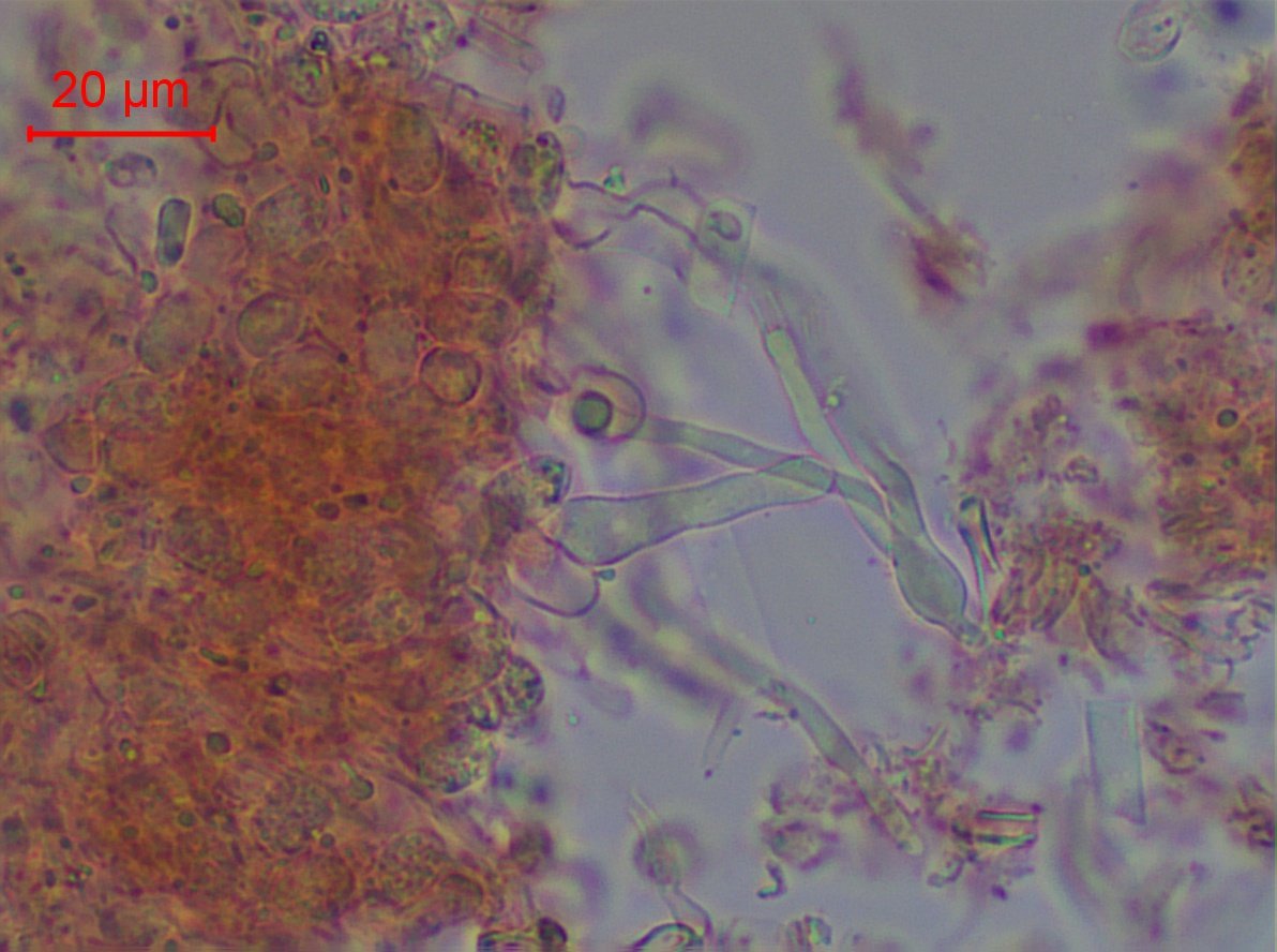
La réponse à vos questions en image (photo de Fouad avec qui j'entretiens d'étroites relations pour les confirmations par micro)
hyménium et spores-008.jpg
hyménium et spores-008.jpg (68.64 Kio) Vu 613 fois

Richmond63

Avatar du membre
Messages : 11957
Enregistré le : 29 nov. 2010, 18:43
Nom : Richard Valeri
Association : S.M.B.L.A./A.M.H.A/S.M.F.
Localisation : puy de dôme-montagne thiernoise

Message par Richmond63 »
Bravo donc à Yves pour un basionyme de 1828.

Jplm

Avatar du membre
Messages : 38523
Enregistré le : 03 oct. 2011, 10:37
Nom : Jean-Pierre Lachenal-Montagne
Associations : Société Mycologique de France - Associu U Muchjinu : Société Mycologique de Porto-Vecchio
Localisation : Paris, parfois Corse

Message par Jplm »
L'espèce qui peut prêter à confusion est Hyphoderma (ou maintenant Xylodon) radula qui vient sur divers feuillus mais surtout Prunus avium et, entre autres différences, a des spores cylindriques 8,5-10 x 3-3,5 µm.

Jplm
Jean-Pierre Lachenal-Montagne

Terradoc

Messages : 8042
Enregistré le : 01 nov. 2021, 13:39
Nom : THIERRY BLONDELLE
Association : Association de Mycologie et de Botanique de l'Hérault et des Hauts Cantons (AMBHHC)
Localisation : Courniou les grottes (34)_ Parc Naturel régional du Haut-Languedoc

Message par Terradoc »
Bonjour à tous,
Mon hésitation s'est portée sur une 3ème espèce Hyphodontia quercina (=Xylodon quercinus) qui vient aussi exclusivement sur Quercus et aux spores plus petites 8 x 3µm

Fouad

Avatar du membre
Messages : 19667
Enregistré le : 10 juin 2014, 18:06
Nom : Fouad Ouchène
Association : Société Mycologique de Strasbourg
Localisation : Alsace-Vosges

Message par Fouad »
L'espèce est décrite sans cystides dans le Bernicchia et le BK. J'ai observé sur le prélèvement, que Thierry Terradoc a bien voulu me confier, des cystidioles (visibles sur la photo de la spore) et deux "cystides" ; sans atteindre les dimensions d'une lamprocystide, me semble néanmoins bien trop grandes pour de simples cystidioles.
hyménium et spores-001.jpg

Jplm

Avatar du membre
Messages : 38523
Enregistré le : 03 oct. 2011, 10:37
Nom : Jean-Pierre Lachenal-Montagne
Associations : Société Mycologique de France - Associu U Muchjinu : Société Mycologique de Porto-Vecchio
Localisation : Paris, parfois Corse

Message par Jplm »
05 févr. 2023, 10:46Fouad a écrit :
L'espèce est décrite sans cystides
Laquelle ?

Jplm
Jean-Pierre Lachenal-Montagne

Fouad

Avatar du membre
Messages : 19667
Enregistré le : 10 juin 2014, 18:06
Nom : Fouad Ouchène
Association : Société Mycologique de Strasbourg
Localisation : Alsace-Vosges

Message par Fouad »
Le QSJ n'est pas terminé, Jp :clindoeil:

Jplm

Avatar du membre
Messages : 38523
Enregistré le : 03 oct. 2011, 10:37
Nom : Jean-Pierre Lachenal-Montagne
Associations : Société Mycologique de France - Associu U Muchjinu : Société Mycologique de Porto-Vecchio
Localisation : Paris, parfois Corse

Message par Jplm »
Alors j'ai pas tout compris. Trop embrouillé pour moi. Dans un QSJ, le champignon est censé être déterminé à l'avance avec certitude, ensuite lorsque des propositions sont faites, on répond clairement si c'est bon ou pas.

Jplm
Jean-Pierre Lachenal-Montagne

Terradoc

Messages : 8042
Enregistré le : 01 nov. 2021, 13:39
Nom : THIERRY BLONDELLE
Association : Association de Mycologie et de Botanique de l'Hérault et des Hauts Cantons (AMBHHC)
Localisation : Courniou les grottes (34)_ Parc Naturel régional du Haut-Languedoc

Message par Terradoc »
C'est on ne peut plus clair.
J'ai répondu en donnant la photo des spores qui confirme bien les propositions de Yves, Montama et Richard.
Vous m'avez eu de vitesse tous les deux, j'hésitais entre les deux classiques, pas eu le temps de réviser les différences pour poser des questions intelligentes.
Ta réponse laisse supposer que tu avais également trouvé.
Aucune ambiguité sur l'espèce qui a été clairement déterminée à l'avance.
Le GEPR et MycoDB la signale clairement sans cystides.
Modifié en dernier par Terradoc le 05 févr. 2023, 11:38, modifié 1 fois.
31 messages Page 1 sur 3