Une Russule montagnarde
Rubrique pour apprendre en s'amusant. On poste des photos de champignons déjà déterminés sans en donner le nom...
- Précédente
- 1
- 2
- 3
42 messages
Page 3 sur 3
- Plus d'infos
- Messages : 29850
- Enregistré le : 23 sept. 2011, 17:11
- Nom : Laurent Francini
- Association : LA CHANTERELLE DE VILLE-LA-GRAND
- Localisation : La Yaute - Haute-Savoie (la «vraie» Savoie) ;-)
Oui, grosso modo, mais il faudrait mieux voir les dermatos qui devraient être multicloisonnées. Pour moi, ta récolte reste mystérieuse... Dommage de ne pas avoir testé le formol.
Étonnant qu'Alain n'y ait pas pensé.
http://www.francini-mycologie.fr/index.html • Myco-botaniste passionné! • Nikon D90 - F-S DX 18-200 mm f:3,5/5,6 G ED VRII - AF-S Nikkor 105 mm macro f:2.8 G ED - Micro Nikkor 60 mm f:2.8
Bien, compte-tenu des doutes de Castor, que je partage, vu la ressemblance de cette russule avec R. viscida, je renomme à minima, soit Russula sp. J'en reparlerai avec Alain Favre, qui n'a pas vu la micro : c'est moi qui l'ai faite.
Je vais tacher de me rendre compte si les dermatocystides sont ou non cloisonnées.
D'après ma doc, c'est le cas pour R. consobrina et c'est rare chez R. viscida.
Que ne faut-il pas faire pour déterminer une Russule ... ?!
Je vais tacher de me rendre compte si les dermatocystides sont ou non cloisonnées.
D'après ma doc, c'est le cas pour R. consobrina et c'est rare chez R. viscida.
Que ne faut-il pas faire pour déterminer une Russule ... ?!
Yves
UN CORPS FROID NE PEUT PAS CHAUFFER UN CORPS CHAUD
Une Science qui baillonne ses contradicteurs ne mérite pas le nom de science.
UN CORPS FROID NE PEUT PAS CHAUFFER UN CORPS CHAUD
Une Science qui baillonne ses contradicteurs ne mérite pas le nom de science.
- Plus d'infos
- Messages : 29850
- Enregistré le : 23 sept. 2011, 17:11
- Nom : Laurent Francini
- Association : LA CHANTERELLE DE VILLE-LA-GRAND
- Localisation : La Yaute - Haute-Savoie (la «vraie» Savoie) ;-)
Je pense que ta prudence est tout à fait de mise ici, Yves. Non pas que je remette en cause les compétences d'Alain, ça ne me viendrait même pas à l'idée. Il est peut-être passé à côté de quelque chose. Je ne reconnais absolument pas consobrina ici. Le formol serait vraiment le juge de paix... Évidemment, je ne prétendrai jamais être une autorité en matière de russules. Juste un amateur éclairé qu'on consulte pour avoir un avis. 
http://www.francini-mycologie.fr/index.html • Myco-botaniste passionné! • Nikon D90 - F-S DX 18-200 mm f:3,5/5,6 G ED VRII - AF-S Nikkor 105 mm macro f:2.8 G ED - Micro Nikkor 60 mm f:2.8
Bonjour,
Voici une photo du dessus de cette Russule au bout de 48 h.
Le grisonnement apparent s'est transformé en brunissement.
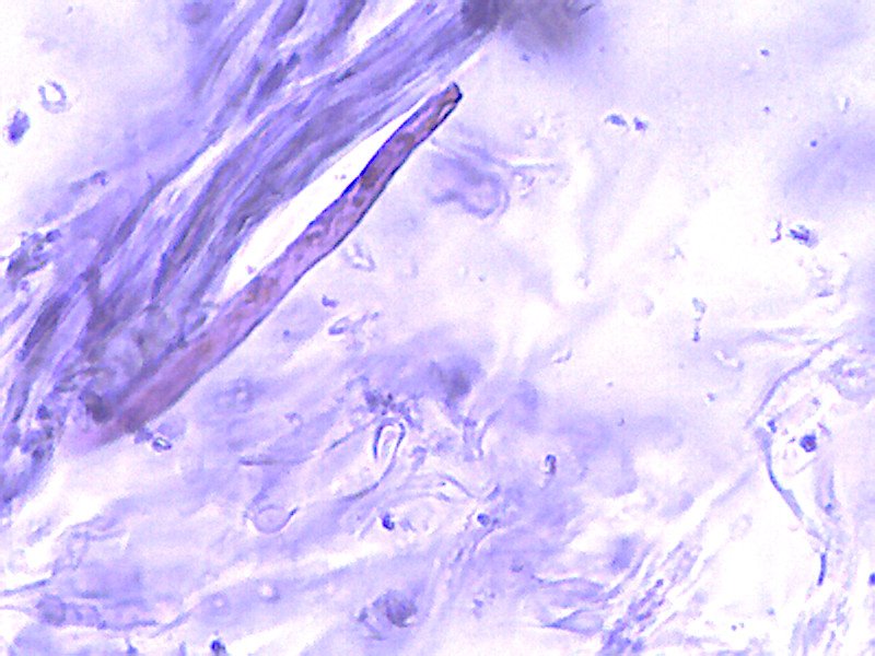
Je mets d'autre part quatre photos de dermatocystides, qui me semblent non septées ou très peu.
Cela change-t-il la donne ?
Voici une photo du dessus de cette Russule au bout de 48 h.
Le grisonnement apparent s'est transformé en brunissement.
Je mets d'autre part quatre photos de dermatocystides, qui me semblent non septées ou très peu.
Cela change-t-il la donne ?
Yves
UN CORPS FROID NE PEUT PAS CHAUFFER UN CORPS CHAUD
Une Science qui baillonne ses contradicteurs ne mérite pas le nom de science.
UN CORPS FROID NE PEUT PAS CHAUFFER UN CORPS CHAUD
Une Science qui baillonne ses contradicteurs ne mérite pas le nom de science.
- Plus d'infos
- Messages : 29850
- Enregistré le : 23 sept. 2011, 17:11
- Nom : Laurent Francini
- Association : LA CHANTERELLE DE VILLE-LA-GRAND
- Localisation : La Yaute - Haute-Savoie (la «vraie» Savoie) ;-)
Je pense que ça change la donne, en effet. Consobrina grisonne, mais ne brunit pas... Par ailleurs, ses dermatocystides sont bien plusieurs fois cloisonnées. On ne le voit guère sur ta photo, mais tu n'es pas en cause, je pense que ce sont les limites optiques de ton matériel. L'habitat de consobrina est plutôt les saulaies fangeuses ou les tourbières, parfois avec des sphaignes (Bon, 1988). Ça coince quelque part…
http://www.francini-mycologie.fr/index.html • Myco-botaniste passionné! • Nikon D90 - F-S DX 18-200 mm f:3,5/5,6 G ED VRII - AF-S Nikkor 105 mm macro f:2.8 G ED - Micro Nikkor 60 mm f:2.8
28 sept. 2022, 12:34Castor74 a écrit : Par ailleurs, ses dermatocystides sont bien plusieurs fois cloisonnées. On ne le voit guère sur ta photoA mon avis, si tu permets, on ne voit pas de cloisons sans doute simplement parce qu'il n'y en a pas.
Ce qui confirmerait qu'il s'agit de R. viscida dont les dermatocystides n'ont pas de cloisons ou très peu.
Yves
UN CORPS FROID NE PEUT PAS CHAUFFER UN CORPS CHAUD
Une Science qui baillonne ses contradicteurs ne mérite pas le nom de science.
UN CORPS FROID NE PEUT PAS CHAUFFER UN CORPS CHAUD
Une Science qui baillonne ses contradicteurs ne mérite pas le nom de science.
- Plus d'infos
- Messages : 5956
- Enregistré le : 29 avr. 2013, 17:08
- Nom : Andgelo Mombert
- Associations : Société d'Histoire Naturelle du Doubs - Ascomycete.org
- Localisation : Doubs
Bonjour,
Pour moi, il s'agit ici de Russula viscida. Le brunissement est typique.
Pour moi, il s'agit ici de Russula viscida. Le brunissement est typique.
Galerie photo : https://www.flickr.com/photos/fandebiodiversite/
- Plus d'infos
- Messages : 29850
- Enregistré le : 23 sept. 2011, 17:11
- Nom : Laurent Francini
- Association : LA CHANTERELLE DE VILLE-LA-GRAND
- Localisation : La Yaute - Haute-Savoie (la «vraie» Savoie) ;-)
28 sept. 2022, 13:15Y.Courtieu a écrit :Oui, justement, s'il n'y en a pas, c'est que c'est plutôt viscida.28 sept. 2022, 12:34Castor74 a écrit : Par ailleurs, ses dermatocystides sont bien plusieurs fois cloisonnées. On ne le voit guère sur ta photoA mon avis, si tu permets, on ne voit pas de cloisons sans doute simplement parce qu'il n'y en a pas.
Ce qui confirmerait qu'il s'agit de R. viscida dont les dermatocystides n'ont pas de cloisons ou très peu.
28 sept. 2022, 13:37Andgelo a écrit : Bonjour,C'est ce que je pense depuis le début…
Pour moi, il s'agit ici de Russula viscida. Le brunissement est typique.
http://www.francini-mycologie.fr/index.html • Myco-botaniste passionné! • Nikon D90 - F-S DX 18-200 mm f:3,5/5,6 G ED VRII - AF-S Nikkor 105 mm macro f:2.8 G ED - Micro Nikkor 60 mm f:2.8
Cette fois , je crois que je peux dire à Alain Favre qu'il s'est trompé.
A sa décharge et à la mienne, le pied était gris ( imbu d'eau peut-être ?) et non brun pendant plus de 24h et donc lorsqu'il l'a vue.
Par contre, il la trouvait très piquante alors que de mon côté je la jugeai assez légèrement piquante.
Je renomme donc finalement Russula viscida, ce qui me fait revenir à ma toute première impression, lorsque je l'ai aperçue de loin, et aussi à la votre, au début de ce post.
Merci de cette discussion.
Ce genre d'erreur est tout à fait instructif à mes yeux.
A sa décharge et à la mienne, le pied était gris ( imbu d'eau peut-être ?) et non brun pendant plus de 24h et donc lorsqu'il l'a vue.
Par contre, il la trouvait très piquante alors que de mon côté je la jugeai assez légèrement piquante.
Je renomme donc finalement Russula viscida, ce qui me fait revenir à ma toute première impression, lorsque je l'ai aperçue de loin, et aussi à la votre, au début de ce post.
Merci de cette discussion.
Ce genre d'erreur est tout à fait instructif à mes yeux.
Yves
UN CORPS FROID NE PEUT PAS CHAUFFER UN CORPS CHAUD
Une Science qui baillonne ses contradicteurs ne mérite pas le nom de science.
UN CORPS FROID NE PEUT PAS CHAUFFER UN CORPS CHAUD
Une Science qui baillonne ses contradicteurs ne mérite pas le nom de science.
- Plus d'infos
- Messages : 29850
- Enregistré le : 23 sept. 2011, 17:11
- Nom : Laurent Francini
- Association : LA CHANTERELLE DE VILLE-LA-GRAND
- Localisation : La Yaute - Haute-Savoie (la «vraie» Savoie) ;-)
C'est là toute l'humilité qu'il faut ressentir, car nul n'est infaillible (moi le premier) et l'erreur est terriblement humaine. Aucune conséquence, on ne pilote pas des avions! 
http://www.francini-mycologie.fr/index.html • Myco-botaniste passionné! • Nikon D90 - F-S DX 18-200 mm f:3,5/5,6 G ED VRII - AF-S Nikkor 105 mm macro f:2.8 G ED - Micro Nikkor 60 mm f:2.8
J'ai informé Alain, qui vent de me répondre à l'instant.
Il reconnait que ce ne peut-être que Russula viscida, avec les nouveaux éléments communiqués.
Affaire close
Il reconnait que ce ne peut-être que Russula viscida, avec les nouveaux éléments communiqués.
Affaire close
Yves
UN CORPS FROID NE PEUT PAS CHAUFFER UN CORPS CHAUD
Une Science qui baillonne ses contradicteurs ne mérite pas le nom de science.
UN CORPS FROID NE PEUT PAS CHAUFFER UN CORPS CHAUD
Une Science qui baillonne ses contradicteurs ne mérite pas le nom de science.
- Plus d'infos
- Messages : 29850
- Enregistré le : 23 sept. 2011, 17:11
- Nom : Laurent Francini
- Association : LA CHANTERELLE DE VILLE-LA-GRAND
- Localisation : La Yaute - Haute-Savoie (la «vraie» Savoie) ;-)
Merci Yves, tout est OK pour moi. 
http://www.francini-mycologie.fr/index.html • Myco-botaniste passionné! • Nikon D90 - F-S DX 18-200 mm f:3,5/5,6 G ED VRII - AF-S Nikkor 105 mm macro f:2.8 G ED - Micro Nikkor 60 mm f:2.8
- Précédente
- 1
- 2
- 3
42 messages
Page 3 sur 3