Larringes 2
Rubrique pour apprendre en s'amusant. On poste des photos de champignons déjà déterminés sans en donner le nom...
Bonsoir,
Yves
UN CORPS FROID NE PEUT PAS CHAUFFER UN CORPS CHAUD
Une Science qui baillonne ses contradicteurs ne mérite pas le nom de science.
UN CORPS FROID NE PEUT PAS CHAUFFER UN CORPS CHAUD
Une Science qui baillonne ses contradicteurs ne mérite pas le nom de science.
-
Nommo En ligne
Plus d'infos
- Messages : 28570
- Enregistré le : 18 août 2017, 18:36
- Nom : François Desprès
- Association : Alès
- Localisation : Gard
Il y en a un petit bout à droite, sauf erreur 
Yves
UN CORPS FROID NE PEUT PAS CHAUFFER UN CORPS CHAUD
Une Science qui baillonne ses contradicteurs ne mérite pas le nom de science.
UN CORPS FROID NE PEUT PAS CHAUFFER UN CORPS CHAUD
Une Science qui baillonne ses contradicteurs ne mérite pas le nom de science.
- Plus d'infos
- Messages : 37440
- Enregistré le : 03 oct. 2011, 10:37
- Nom : Jean-Pierre Lachenal-Montagne
- Associations : Société Mycologique de France - Associu U Muchjinu : Société Mycologique de Porto-Vecchio
- Localisation : Paris, parfois Corse
Et voilà l'explication de la demande d'Andgelo à Richmond :
il voulait savoir si les cheilocystides de l'espèce présentée par Richard étaient ou non métachromatiques.
Je me suis demandé quel était le motif d'Andgelo...
J'ai toujours appelé ce genre de récolte sur cône d'épicéa S. esculentus.
Mais il semble qu'il y ait deux Strobilurus sur cône d'épicéa, le classique S. esculentus et un S. griseus.
Le premier a des cheilo métachromatiques et pas le second...
La couleur du stipe, le chapeau gris et la période de récolte hivernale suffiraient-elles ? J'imagine que non ???
Il faudra dès lors voir ce que je peux faire...
il voulait savoir si les cheilocystides de l'espèce présentée par Richard étaient ou non métachromatiques.
Je me suis demandé quel était le motif d'Andgelo...
J'ai toujours appelé ce genre de récolte sur cône d'épicéa S. esculentus.
Mais il semble qu'il y ait deux Strobilurus sur cône d'épicéa, le classique S. esculentus et un S. griseus.
Le premier a des cheilo métachromatiques et pas le second...
La couleur du stipe, le chapeau gris et la période de récolte hivernale suffiraient-elles ? J'imagine que non ???
Il faudra dès lors voir ce que je peux faire...
Yves
UN CORPS FROID NE PEUT PAS CHAUFFER UN CORPS CHAUD
Une Science qui baillonne ses contradicteurs ne mérite pas le nom de science.
UN CORPS FROID NE PEUT PAS CHAUFFER UN CORPS CHAUD
Une Science qui baillonne ses contradicteurs ne mérite pas le nom de science.
- Plus d'infos
- Messages : 5953
- Enregistré le : 29 avr. 2013, 17:08
- Nom : Andgelo Mombert
- Associations : Société d'Histoire Naturelle du Doubs - Ascomycete.org
- Localisation : Doubs
Tu veux dire esculentus au lieu de tenacellus, Yves ?
Le chapeau gris ne semble pas un super critère... S. griseus est plutôt automnal et pousse en plaine, mais il vaut mieux systématiquement vérifier la micro.
Le chapeau gris ne semble pas un super critère... S. griseus est plutôt automnal et pousse en plaine, mais il vaut mieux systématiquement vérifier la micro.
Galerie photo : https://www.flickr.com/photos/fandebiodiversite/
Oui esculentus, c'est un lapsus - cela devient fréquent à mon âge !!! (Alzheimer ?).
Je corrige.
Je corrige.
Yves
UN CORPS FROID NE PEUT PAS CHAUFFER UN CORPS CHAUD
Une Science qui baillonne ses contradicteurs ne mérite pas le nom de science.
UN CORPS FROID NE PEUT PAS CHAUFFER UN CORPS CHAUD
Une Science qui baillonne ses contradicteurs ne mérite pas le nom de science.
- Plus d'infos
- Messages : 37440
- Enregistré le : 03 oct. 2011, 10:37
- Nom : Jean-Pierre Lachenal-Montagne
- Associations : Société Mycologique de France - Associu U Muchjinu : Société Mycologique de Porto-Vecchio
- Localisation : Paris, parfois Corse
Bonjour,
C'est tout de même rageant : j'ignorais jusqu'à hier l'existence de Strobilurus griseus, je le découvre en cherchant un peu à quoi peut correspondre la jolie photo d'Yves, je suis tout content... et patatras, trois heures plus tard la couleur grise et le pied jaune ça ne veut rien dire du tout, il faut regarder si les cystides sont métachromatiques. Snif.
Jplm
C'est tout de même rageant : j'ignorais jusqu'à hier l'existence de Strobilurus griseus, je le découvre en cherchant un peu à quoi peut correspondre la jolie photo d'Yves, je suis tout content... et patatras, trois heures plus tard la couleur grise et le pied jaune ça ne veut rien dire du tout, il faut regarder si les cystides sont métachromatiques. Snif.
Jplm
Jean-Pierre Lachenal-Montagne
- Plus d'infos
- Messages : 3401
- Enregistré le : 08 sept. 2017, 17:24
- Nom : Nicolas Schwab
- Associations : Société Mycologique de Tramelan - Société Mycologique des Montagnes Neuchâteloises
- Localisation : Renan, BE (Suisse)
21 févr. 2021, 19:56Andgelo a écrit : Tu veux dire esculentus au lieu de tenacellus, Yves ?Personnellement, je dirais plutôt que S. esculentus ne pousse pas en automne, tandis que S. griseus peut. Je trouve S. griseus tout autant que l'autre par chez moi au printemps. Evidemment, il faut systématiquement faire la micro pour s'en assurer. Il est facile d'observer les cystides.
Le chapeau gris ne semble pas un super critère... S. griseus est plutôt automnal et pousse en plaine, mais il vaut mieux systématiquement vérifier la micro.
Mycologue intégriste radicalisé.
22 févr. 2021, 15:37NSchwab a écrit : Il est facile d'observer les cystides.Pas quand on n'a pas d'exemplaire à mettre sous le micro
Yves
UN CORPS FROID NE PEUT PAS CHAUFFER UN CORPS CHAUD
Une Science qui baillonne ses contradicteurs ne mérite pas le nom de science.
UN CORPS FROID NE PEUT PAS CHAUFFER UN CORPS CHAUD
Une Science qui baillonne ses contradicteurs ne mérite pas le nom de science.
22 févr. 2021, 18:27Y.Courtieu a écrit :J'y suis retourné et j'ai retrouvé la station assez facilement.22 févr. 2021, 15:37NSchwab a écrit : Il est facile d'observer les cystides.Pas quand on n'a pas d'exemplaire à mettre sous le micro![]()
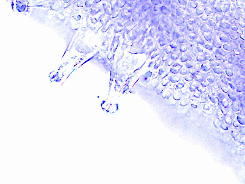
Voici des photos de cystides, dont je ne sais si elle sont significatives.
Ce que je peux dire en revanche, c'est qu'en ayant observé dans du bleu coton, à l'oculaire tout cela m'a l'air des plus transparents.
Yves
UN CORPS FROID NE PEUT PAS CHAUFFER UN CORPS CHAUD
Une Science qui baillonne ses contradicteurs ne mérite pas le nom de science.
UN CORPS FROID NE PEUT PAS CHAUFFER UN CORPS CHAUD
Une Science qui baillonne ses contradicteurs ne mérite pas le nom de science.
Peut-on dire que ces cystides ne sont pas métachromatiques ?
Ce qui confirmerait l'idée de Nommo .
Ce qui confirmerait l'idée de Nommo .
Yves
UN CORPS FROID NE PEUT PAS CHAUFFER UN CORPS CHAUD
Une Science qui baillonne ses contradicteurs ne mérite pas le nom de science.
UN CORPS FROID NE PEUT PAS CHAUFFER UN CORPS CHAUD
Une Science qui baillonne ses contradicteurs ne mérite pas le nom de science.
N'ayant pas constaté, sauf erreur d 'interprétation de ma part de cette micro, de métachromatisme des cystides, je renomme
dans le sens Strobilurus griseus. J'accepte bien entendu toute discussion constructive.
dans le sens Strobilurus griseus. J'accepte bien entendu toute discussion constructive.
Yves
UN CORPS FROID NE PEUT PAS CHAUFFER UN CORPS CHAUD
Une Science qui baillonne ses contradicteurs ne mérite pas le nom de science.
UN CORPS FROID NE PEUT PAS CHAUFFER UN CORPS CHAUD
Une Science qui baillonne ses contradicteurs ne mérite pas le nom de science.