Entolome printanier noir...

Ce forum permet de montrer des photos de champignons et de discuter sur leur détermination.

Attention: ces déterminations ne permettront pas une consommation des champignons !!!
23 messages Page 2 sur 2

Fouad

Avatar du membre
Messages : 19684
Enregistré le : 10 juin 2014, 18:06
Nom : Fouad Ouchène
Association : Société Mycologique de Strasbourg
Localisation : Alsace-Vosges

Message par Fouad »
21 juin 2020, 21:29Jean Pierre a écrit :
Après ramollissement à la potasse, il faut rincer à l'eau, colorer au rouge congo, rincer à nouveau et observer dans l'eau.
Je n'ai que le congo ammoniacal. Le bleu de crésyl fera l'affaire ?

Jean Pierre

Avatar du membre
Messages : 7392
Enregistré le : 21 sept. 2011, 10:40
Nom : Jean Pierre Raverat
Association : Association Mycologique Féréopontaine
Localisation : Seine Port (77)
Site Internet

Message par Jean Pierre »
21 juin 2020, 21:43Fouad a écrit :
Je n'ai que le congo ammoniacal
Oui, c'est cela.
Jean Pierre Raverat.
http://www.champignons77.org/

Fouad

Avatar du membre
Messages : 19684
Enregistré le : 10 juin 2014, 18:06
Nom : Fouad Ouchène
Association : Société Mycologique de Strasbourg
Localisation : Alsace-Vosges

Message par Fouad »
21 juin 2020, 21:52Jean Pierre a écrit :
21 juin 2020, 21:43Fouad a écrit :
Je n'ai que le congo ammoniacal
Oui, c'est cela.
Merci beaucoup Jean-Pierre Raverat :clindoeil: Je n'oublierai pas tes enseignements depuis Tachenon.com

Fouad

Avatar du membre
Messages : 19684
Enregistré le : 10 juin 2014, 18:06
Nom : Fouad Ouchène
Association : Société Mycologique de Strasbourg
Localisation : Alsace-Vosges

Message par Fouad »
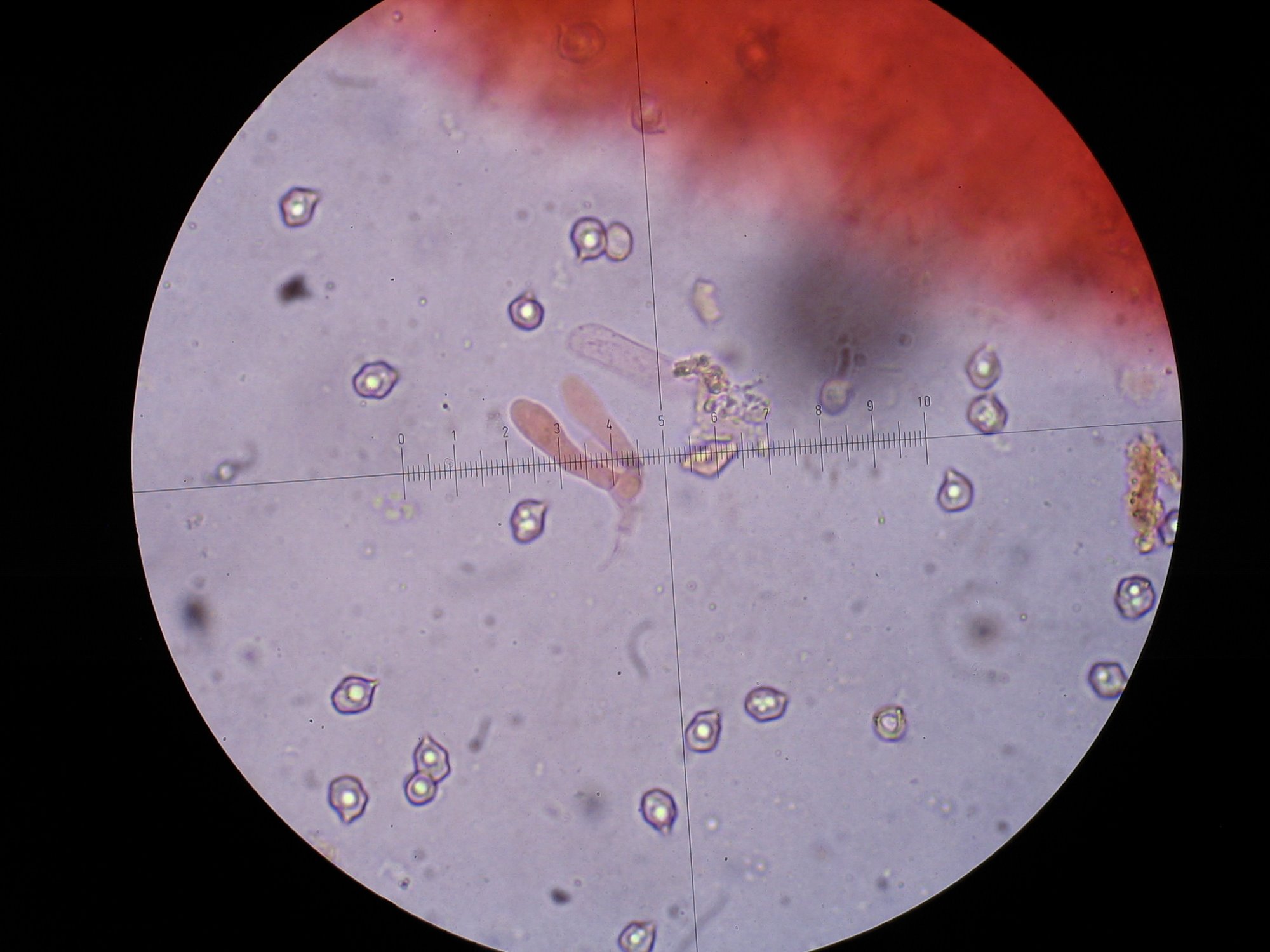
Bonsoir à tous,
Micro de ce soir en suivant les indications de Jean-Pierre. Résultat bien meilleur je trouve :clindoeil: Merci ! J'ai regardé partout, pas de boucles. J'arrive grâce à vous à Entoloma sericeoides.

Les photos brutes, désolé.
STA_0486.JPG
STB_0485.JPG
STA_0483.JPG
STB_0480.JPG
STF_0478.JPG

NSchwab

Avatar du membre
Messages : 3401
Enregistré le : 08 sept. 2017, 17:24
Nom : Nicolas Schwab
Associations : Société Mycologique de Tramelan - Société Mycologique des Montagnes Neuchâteloises
Localisation : Renan, BE (Suisse)
Site Internet

Message par NSchwab »
J'ai trouvé aujourd'hui son sosie E. pseudosericeoides.
Mycologue intégriste radicalisé.

Fouad

Avatar du membre
Messages : 19684
Enregistré le : 10 juin 2014, 18:06
Nom : Fouad Ouchène
Association : Société Mycologique de Strasbourg
Localisation : Alsace-Vosges

Message par Fouad »
Bonjour,

Merci Nico pour tes recherches :clindoeil:

A retravailler, je viens de lire que E. sericeoides ne possède pas de cystides; alors que j'en ai vu sur ma première préparation. Sur la seconde, j'en ai vu aucune, mais il faut que je reface une troisième en étant certain que l'arête est bien présente.

La potasse ne peut-elle pas faire "exploser" les cystides ?

NSchwab

Avatar du membre
Messages : 3401
Enregistré le : 08 sept. 2017, 17:24
Nom : Nicolas Schwab
Associations : Société Mycologique de Tramelan - Société Mycologique des Montagnes Neuchâteloises
Localisation : Renan, BE (Suisse)
Site Internet

Message par NSchwab »
23 juin 2020, 07:06Fouad a écrit :
Bonjour,

Merci Nico pour tes recherches :clindoeil:

A retravailler, je viens de lire que E. sericeoides ne possède pas de cystides; alors que j'en ai vu sur ma première préparation. Sur la seconde, j'en ai vu aucune, mais il faut que je reface une troisième en étant certain que l'arête est bien présente.

La potasse ne peut-elle pas faire "exploser" les cystides ?
A ma connaissance, elle ne peut pas détruire les cystides. Mais il faut faire attention aux basides qui peuvent germer et ressembler à des cystides.
Mycologue intégriste radicalisé.

Fouad

Avatar du membre
Messages : 19684
Enregistré le : 10 juin 2014, 18:06
Nom : Fouad Ouchène
Association : Société Mycologique de Strasbourg
Localisation : Alsace-Vosges

Message par Fouad »
Une quatrième micro a été effectuée ce jour. Aucune cystide ! J'en déduis que les uniques cystides aperçues sur la micro 1 et 2 sont des erreurs d'appréciation. Je vais faire une demande sur M.E. et vous tiens au courant.
STB_0536.JPG
23 messages Page 2 sur 2