On galère... avec les Galerina
Ce forum permet de montrer des photos de champignons et de discuter sur leur détermination.
Attention: ces déterminations ne permettront pas une consommation des champignons !!!
Attention: ces déterminations ne permettront pas une consommation des champignons !!!
voici une petite Galerina , dans une pelouse moussue , sur terrain sablonneux (ancienne carrière de sable) , entre un noisettier et un conifère sp.(sapin nordique ???)
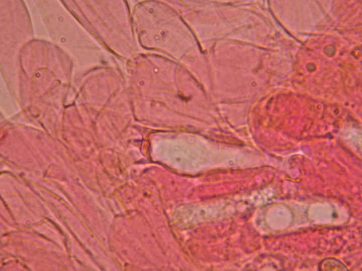
Lames espacées ,
Spores finement pigmentées très grandes , jusqu'à 17/18µ ...x 7/8µ pour les plus grandes , pas de plage apiculaire
Basides bisporiques assez nombreuses parmi les tetrasporiques
Caulocystides capitées en haut du stipe , mais pas sur l'arête des lames...
Aucune boucle relevée dans les différentes parties du champi (cutis , basides , stipe...)
Je pensais à Galerina subclavata ... mais quelque chose m'echappe
Merci pour toutes infos
Mario
Lames espacées ,
Spores finement pigmentées très grandes , jusqu'à 17/18µ ...x 7/8µ pour les plus grandes , pas de plage apiculaire
Basides bisporiques assez nombreuses parmi les tetrasporiques
Caulocystides capitées en haut du stipe , mais pas sur l'arête des lames...

Aucune boucle relevée dans les différentes parties du champi (cutis , basides , stipe...)
Je pensais à Galerina subclavata ... mais quelque chose m'echappe

Merci pour toutes infos

Mario
Modifié en dernier par Mario DG le 15 déc. 2011, 01:24, modifié 1 fois.
Mario
Albert a écrit :Cà m'échappe aussi...t'as mélangé des pieds et des lames..pas de pleuro chez subclavata !
qu'on confonde des choux avec des salades... possible , mais des lames et un stipe ... Albert

+ sérieusement... y a t'il une clé de détermination sur le site pour les Galerina ??? merci

Mario
Mario
- Plus d'infos
- Messages : 16315
- Enregistré le : 24 juil. 2006, 17:34
- Association : Association Mycologique de l'Ouest
- Localisation : Loire Atlantique, France
J'ai cherché sur le forum et le wiki... (tu sais qu'il y a un p'tit moteur de recherche Mario ?
)... non, je n'ai rien trouvé.

L'amanite phalloïde a mauvaise réputation.
C'est pourtant l'un des rares champignons qui soit capable d'abréger les souffrances des myopathes.
Pierre Desproges
C'est pourtant l'un des rares champignons qui soit capable d'abréger les souffrances des myopathes.
Pierre Desproges
- Plus d'infos
- Messages : 591
- Enregistré le : 28 mai 2009, 21:42
Bonsoir Mario.
Une clé de référence.
Bon courage.
http://mycolim.free.fr/DOC_SML/mycoCLE/ ... es_PAM.cle
Philippe.
Une clé de référence.
Bon courage.
http://mycolim.free.fr/DOC_SML/mycoCLE/ ... es_PAM.cle
Philippe.
- Plus d'infos
- Messages : 1056
- Enregistré le : 18 oct. 2010, 21:24
- Nom : Hervé Cochard
- Association : SMF
- Localisation : 63
Amanite a écrit :Bonsoir Mario.
Une clé de référence.
Bon courage.
http://mycolim.free.fr/DOC_SML/mycoCLE/ ... es_PAM.cle
Philippe.
Merci Philippe ... mais le milieu est différent ici
Mario
Mario
bjr Mario
in funga nordica, la première dichotomie de la clef est simple : présence ou non de cystides tibiformes, (donc avec un col et terminée par une tête arrondie comme sur ta micro).. mais il n'est pas précisé si ce doit être des cheilo, des pleuro ou des caulocystides (?)... bref tu as mis des images de caulocystides de ce type
ensuite c'est spores < ou > à 8 microns, dans ton cas > sans problème et c'est là que ça se corse pour ton cas car ensuite il faut choisir entre 2 ou 4sporiques pour les basides !!!
visiblement tu parle de plutôt majoritairement tétra ?
dans ce cas dichotomie suivante boucle ou pas boucle, tu dis pas boucle...
aucune boucle du tout (?), spores verruqueuses selon toi ... on arrive clairement à clavata sauf que FN donne des cheilocystides bien présentes et des caulocystides rares !
par contre si tu penses que c'est majoritairement 2sporiques, alors on arrive direct à subclavata dont les spores sont données finement ponctuées sur le dessin de FN et non nettement verruqueuses pour clavata... mais tjs le même constat de cheilo présentes et de caulo rares ?!!
si ça peut te rendre service
in funga nordica, la première dichotomie de la clef est simple : présence ou non de cystides tibiformes, (donc avec un col et terminée par une tête arrondie comme sur ta micro).. mais il n'est pas précisé si ce doit être des cheilo, des pleuro ou des caulocystides (?)... bref tu as mis des images de caulocystides de ce type
ensuite c'est spores < ou > à 8 microns, dans ton cas > sans problème et c'est là que ça se corse pour ton cas car ensuite il faut choisir entre 2 ou 4sporiques pour les basides !!!
visiblement tu parle de plutôt majoritairement tétra ?
dans ce cas dichotomie suivante boucle ou pas boucle, tu dis pas boucle...
aucune boucle du tout (?), spores verruqueuses selon toi ... on arrive clairement à clavata sauf que FN donne des cheilocystides bien présentes et des caulocystides rares !
par contre si tu penses que c'est majoritairement 2sporiques, alors on arrive direct à subclavata dont les spores sont données finement ponctuées sur le dessin de FN et non nettement verruqueuses pour clavata... mais tjs le même constat de cheilo présentes et de caulo rares ?!!
si ça peut te rendre service
Pascal
- Plus d'infos
- Messages : 342
- Enregistré le : 04 mai 2010, 10:34
Bonjour
Je vais encore dire des âneries...
La muscinée semblerait être une Rhytidiales...
Selon ce que j'observe sur les photographies les basides sont tétrasporiques...
Bon, D.M. fascicule 84, page 26, dessine une cheilocystide qui évoque celles de la photographie de Mario
Par contre les caulocytides évoquent des cystides "capitées-tibiformes"...
Je serais tenté de penser à G. heterocystis...pardon...G. clavata...
Est-il impensable d'être en présence d'une récolte "paucicystidié" ?
Cordialement. M.S.
Je vais encore dire des âneries...
La muscinée semblerait être une Rhytidiales...
Selon ce que j'observe sur les photographies les basides sont tétrasporiques...
Bon, D.M. fascicule 84, page 26, dessine une cheilocystide qui évoque celles de la photographie de Mario
Par contre les caulocytides évoquent des cystides "capitées-tibiformes"...
Je serais tenté de penser à G. heterocystis...pardon...G. clavata...
Est-il impensable d'être en présence d'une récolte "paucicystidié" ?
Cordialement. M.S.