Les trois sœurs
Rubrique pour apprendre en s'amusant. On poste des photos de champignons déjà déterminés sans en donner le nom...
- Précédente
- 1
- 2
- 3
- 4
- Suivante
54 messages
Page 2 sur 4
- Plus d'infos
- Messages : 7975
- Enregistré le : 01 nov. 2021, 13:39
- Nom : THIERRY BLONDELLE
- Association : Association de Mycologie et de Botanique de l'Hérault et des Hauts Cantons (AMBHHC)
- Localisation : Courniou les grottes (34)_ Parc Naturel régional du Haut-Languedoc
Russula versicolor, une russule qui peut être aussi bien douce que âcre, qui pousse sous bouleau, qui jaunit et qui a une sporée donnée IId - IIIb dans le GEPR.
Tout a l'air de coller...
Tout a l'air de coller...
Yves
UN CORPS FROID NE PEUT PAS CHAUFFER UN CORPS CHAUD
Une Science qui baillonne ses contradicteurs ne mérite pas le nom de science.
UN CORPS FROID NE PEUT PAS CHAUFFER UN CORPS CHAUD
Une Science qui baillonne ses contradicteurs ne mérite pas le nom de science.
- Plus d'infos
- Messages : 29825
- Enregistré le : 23 sept. 2011, 17:11
- Nom : Laurent Francini
- Association : LA CHANTERELLE DE VILLE-LA-GRAND
- Localisation : La Yaute - Haute-Savoie (la «vraie» Savoie) ;-)
Bonsoir, comment écarter pseudopuellaris, qui jaunit fort, a un gayac ++ et qui vient aussi sous bouleaux?
http://www.francini-mycologie.fr/index.html • Myco-botaniste passionné! • Nikon D90 - F-S DX 18-200 mm f:3,5/5,6 G ED VRII - AF-S Nikkor 105 mm macro f:2.8 G ED - Micro Nikkor 60 mm f:2.8
J'ignorais son existence, non mentionnée dans le GEPR.
Apparemment elle a été une variété de Russula versicolor.
Je ne suis donc pas contre et suis curieux de savoir, oui, comment les séparer, si toutefois il faut ou il fallait séparer le type de sa variété.
Apparemment elle a été une variété de Russula versicolor.
Je ne suis donc pas contre et suis curieux de savoir, oui, comment les séparer, si toutefois il faut ou il fallait séparer le type de sa variété.
Yves
UN CORPS FROID NE PEUT PAS CHAUFFER UN CORPS CHAUD
Une Science qui baillonne ses contradicteurs ne mérite pas le nom de science.
UN CORPS FROID NE PEUT PAS CHAUFFER UN CORPS CHAUD
Une Science qui baillonne ses contradicteurs ne mérite pas le nom de science.
Merci à vous.
J'étais aussi parti sur pseudopuellaris je ne connaissais pas versicolor, il y a environ 35 ans j'avais planté sur ma pelouse des bouleaux que j'avais prélevé dans une carrière abandonnée près de chez moi, il poussait des russules à leur pied, j'en ai eu 2-3 ans plus tard chez moi (elles ne poussent plus depuis quelques années) et je les avais montrées à Régis Courtecuisse qui m'avait dit pseudopuellaris donc du coup, j'ai pensé à elle mais je n'ai pas de gayac, je leur trouve une odeur faible mais agréable fruitée, de pomme?
J'étais aussi parti sur pseudopuellaris je ne connaissais pas versicolor, il y a environ 35 ans j'avais planté sur ma pelouse des bouleaux que j'avais prélevé dans une carrière abandonnée près de chez moi, il poussait des russules à leur pied, j'en ai eu 2-3 ans plus tard chez moi (elles ne poussent plus depuis quelques années) et je les avais montrées à Régis Courtecuisse qui m'avait dit pseudopuellaris donc du coup, j'ai pensé à elle mais je n'ai pas de gayac, je leur trouve une odeur faible mais agréable fruitée, de pomme?
- Plus d'infos
- Messages : 29825
- Enregistré le : 23 sept. 2011, 17:11
- Nom : Laurent Francini
- Association : LA CHANTERELLE DE VILLE-LA-GRAND
- Localisation : La Yaute - Haute-Savoie (la «vraie» Savoie) ;-)
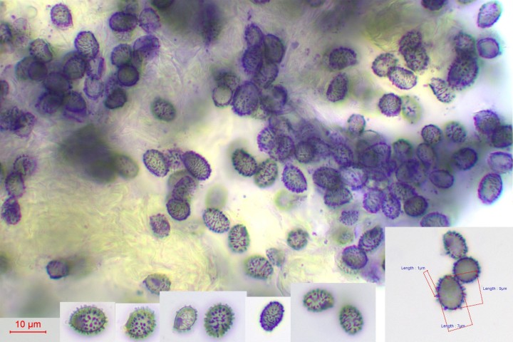
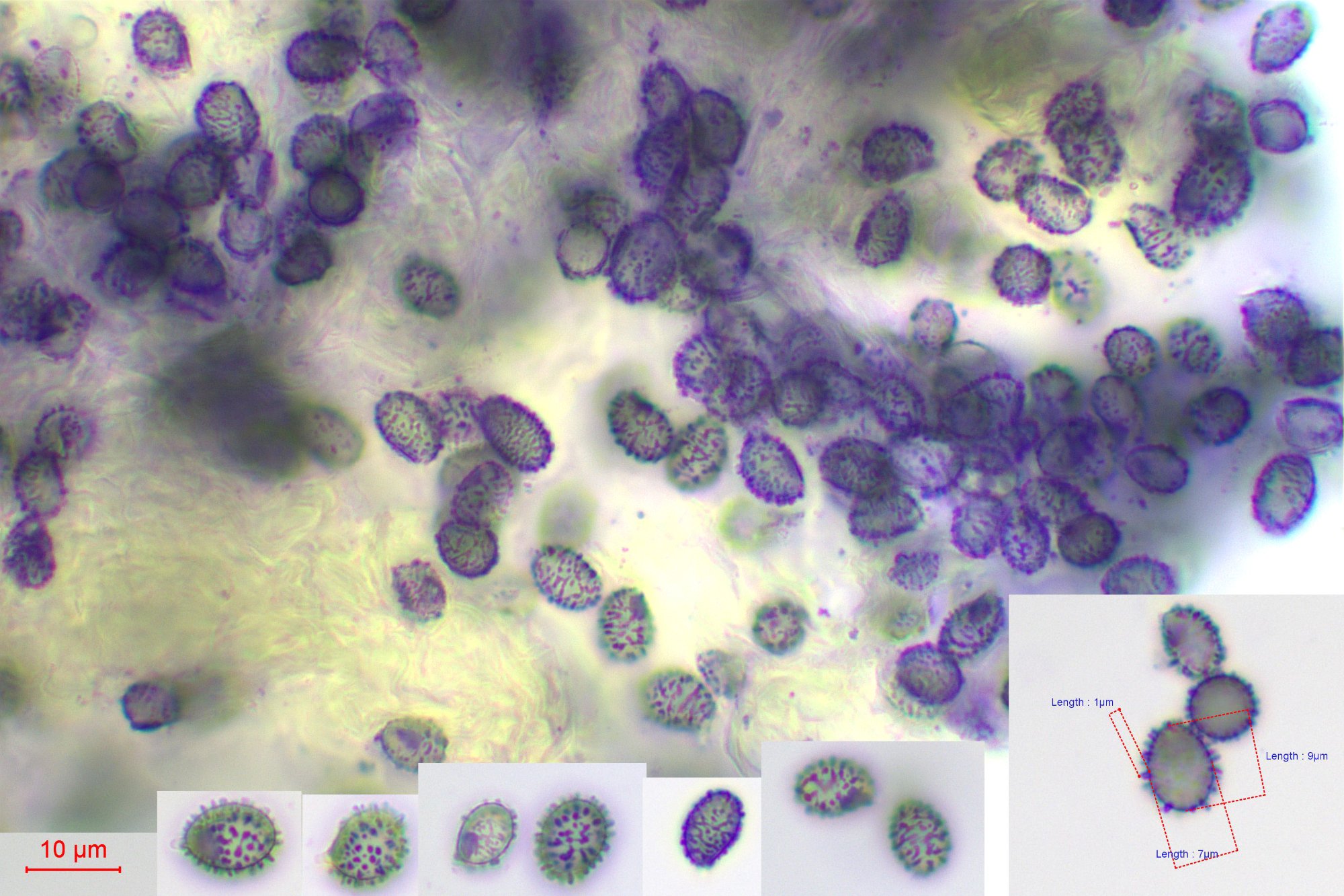
Les spores sont un peu différentes. Versicolor possède des spores zébrées à subcristulées, tandis que pseudopuellaris possède des spores plutôt réticulées. Il faut contrôler ça avec un bon microscope. 
http://www.francini-mycologie.fr/index.html • Myco-botaniste passionné! • Nikon D90 - F-S DX 18-200 mm f:3,5/5,6 G ED VRII - AF-S Nikkor 105 mm macro f:2.8 G ED - Micro Nikkor 60 mm f:2.8
-
Fouad En ligne
Plus d'infos
- Messages : 19635
- Enregistré le : 10 juin 2014, 18:06
- Nom : Fouad Ouchène
- Association : Société Mycologique de Strasbourg
- Localisation : Alsace-Vosges
- Plus d'infos
- Messages : 29825
- Enregistré le : 23 sept. 2011, 17:11
- Nom : Laurent Francini
- Association : LA CHANTERELLE DE VILLE-LA-GRAND
- Localisation : La Yaute - Haute-Savoie (la «vraie» Savoie) ;-)
Merci à tous les deux, Fouad, tu me donneras les résultats dès que tu les auras ? 
http://www.francini-mycologie.fr/index.html • Myco-botaniste passionné! • Nikon D90 - F-S DX 18-200 mm f:3,5/5,6 G ED VRII - AF-S Nikkor 105 mm macro f:2.8 G ED - Micro Nikkor 60 mm f:2.8
-
Fouad En ligne
Plus d'infos
- Messages : 19635
- Enregistré le : 10 juin 2014, 18:06
- Nom : Fouad Ouchène
- Association : Société Mycologique de Strasbourg
- Localisation : Alsace-Vosges
- Plus d'infos
- Messages : 29825
- Enregistré le : 23 sept. 2011, 17:11
- Nom : Laurent Francini
- Association : LA CHANTERELLE DE VILLE-LA-GRAND
- Localisation : La Yaute - Haute-Savoie (la «vraie» Savoie) ;-)
Bonsoir, Fouad, tu as reçu le paquet? 
http://www.francini-mycologie.fr/index.html • Myco-botaniste passionné! • Nikon D90 - F-S DX 18-200 mm f:3,5/5,6 G ED VRII - AF-S Nikkor 105 mm macro f:2.8 G ED - Micro Nikkor 60 mm f:2.8
-
Fouad En ligne
Plus d'infos
- Messages : 19635
- Enregistré le : 10 juin 2014, 18:06
- Nom : Fouad Ouchène
- Association : Société Mycologique de Strasbourg
- Localisation : Alsace-Vosges
- Précédente
- 1
- 2
- 3
- 4
- Suivante
54 messages
Page 2 sur 4