Tubaria sur talus

Ce forum permet de montrer des photos de champignons et de discuter sur leur détermination.

Attention: ces déterminations ne permettront pas une consommation des champignons !!!
12 messages Page 1 sur 1

Fouad

Avatar du membre
Messages : 19461
Enregistré le : 10 juin 2014, 18:06
Nom : Fouad Ouchène
Association : Société Mycologique de Strasbourg
Localisation : Alsace-Vosges

Message par Fouad »
Bonjour,
Comme annoncé sur un sujet de notre ami Richmond, voici une des trois récentes récoltes de Tubaria dans les Vosges savernoises les 7 et 8 février.
Chapeaux petits 1,5-2 cm. Sur débris d'épicéa majoritairement parmi les mousses.
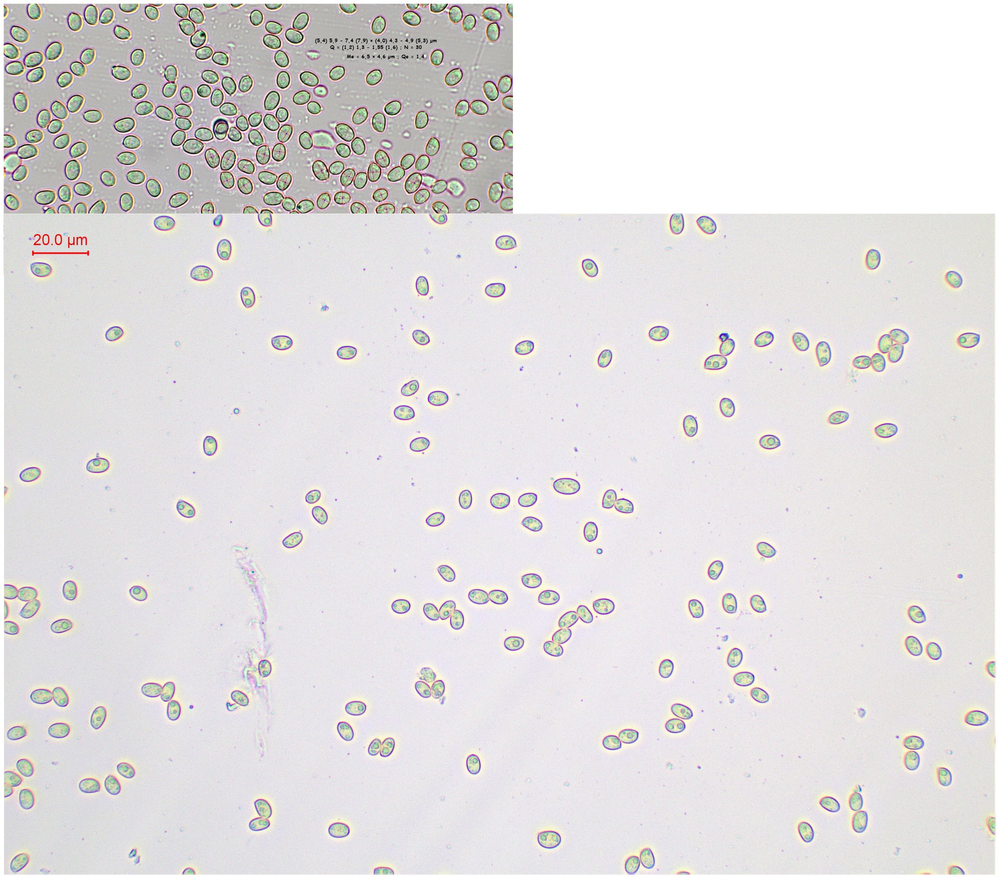
Spores et arête de l'exemplaire à gauche. Vous mettrez quel nom dessus ? Merci d'avance.
planche.jpg
Modifié en dernier par Fouad le 12 févr. 2026, 15:51, modifié 1 fois.

Terradoc

Messages : 7796
Enregistré le : 01 nov. 2021, 13:39
Nom : THIERRY BLONDELLE
Association : Association de Mycologie et de Botanique de l'Hérault et des Hauts Cantons (AMBHHC)
Localisation : Courniou les grottes (34)_ Parc Naturel régional du Haut-Languedoc

Message par Terradoc »
hiemalis, c'est évident.

Richmond63

Avatar du membre
Messages : 11617
Enregistré le : 29 nov. 2010, 18:43
Nom : Richard Valeri
Association : S.M.B.L.A./A.M.H.A/S.M.F.
Localisation : puy de dôme-montagne thiernoise

Message par Richmond63 »
+1.

Fouad

Avatar du membre
Messages : 19461
Enregistré le : 10 juin 2014, 18:06
Nom : Fouad Ouchène
Association : Société Mycologique de Strasbourg
Localisation : Alsace-Vosges

Message par Fouad »
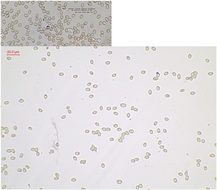
Et pourtant. Voici la comparaison avec mise à l'échelle de mes spores et celles de Terradoc pour T. romagnesiana. Je trouve les miennes pas si grosses que ça !
5MPX40240.pixi.jpg
5MPX40240.pixi.ok.jpg

Richmond63

Avatar du membre
Messages : 11617
Enregistré le : 29 nov. 2010, 18:43
Nom : Richard Valeri
Association : S.M.B.L.A./A.M.H.A/S.M.F.
Localisation : puy de dôme-montagne thiernoise

Message par Richmond63 »
Je pense que tu dois avoir raison. Après une mise à l'échelle comparative avec les miennes, elles sont plus petites. J'ai été abusé dans un premier temps par ta mesure la plus haute.
Capture5.JPG

Terradoc

Messages : 7796
Enregistré le : 01 nov. 2021, 13:39
Nom : THIERRY BLONDELLE
Association : Association de Mycologie et de Botanique de l'Hérault et des Hauts Cantons (AMBHHC)
Localisation : Courniou les grottes (34)_ Parc Naturel régional du Haut-Languedoc

Message par Terradoc »
Finalement, hiemalis et romagnesiana ne seraient-elles pas une seule et même espèce ? Ça faciliterait grandement les choses.
Le GEPR5 ne fait pas grande distinction morphologique entre les deux si ce n'est au niveau des spores dont les limites sont souvent arbitraires et fluctuent selon les auteurs.
En attendant d'y voir plus clair, on peut en effet classer ta récolte dans la catégorie des petites spores 6-8µm.

Fouad

Avatar du membre
Messages : 19461
Enregistré le : 10 juin 2014, 18:06
Nom : Fouad Ouchène
Association : Société Mycologique de Strasbourg
Localisation : Alsace-Vosges

Message par Fouad »
J'ai mesuré une seule spore de plus de 9 µ et trois de plus de 8 µ avec décimale basse sur 60 spores.
Si romagnesiana existe, il faudrait bien délimiter les confusions avec hiemalis/furfuracea : les spores suffisent-elles ?

Castor74

Avatar du membre
Messages : 29563
Enregistré le : 23 sept. 2011, 17:11
Nom : Laurent Francini
Association : LA CHANTERELLE DE VILLE-LA-GRAND
Localisation : La Yaute - Haute-Savoie (la «vraie» Savoie) ;-)
Site Internet

Message par Castor74 »
10 févr. 2026, 23:00Terradoc a écrit :
Finalement, hiemalis et romagnesiana ne seraient-elles pas une seule et même espèce ? Ça faciliterait grandement les choses.
Bonjour, il y a très longtemps que je pense exactement la même chose… À chaque fois que j'étudie ces espèces, je tombe sur la même conclusion: c'est pas clair…
http://www.francini-mycologie.fr/index.htmlMyco-botaniste passionné!Nikon D90 - F-S DX 18-200 mm f:3,5/5,6 G ED VRII - AF-S Nikkor 105 mm macro f:2.8 G ED - Micro Nikkor 60 mm f:2.8

Fouad

Avatar du membre
Messages : 19461
Enregistré le : 10 juin 2014, 18:06
Nom : Fouad Ouchène
Association : Société Mycologique de Strasbourg
Localisation : Alsace-Vosges

Message par Fouad »
Bonjour,
Merci pour vos interventions.
Pour la deuxième récolte, je vais rester sur le même sujet car la proximité et la micro me font penser que c'est la même espèce, voire mycélium.
Spores identiques ! 7,3 x 4,6(7) µ en moyenne.
planche.jpg

Terradoc

Messages : 7796
Enregistré le : 01 nov. 2021, 13:39
Nom : THIERRY BLONDELLE
Association : Association de Mycologie et de Botanique de l'Hérault et des Hauts Cantons (AMBHHC)
Localisation : Courniou les grottes (34)_ Parc Naturel régional du Haut-Languedoc

Message par Terradoc »
Cette deuxième récolte était sur débris ligneux ?

Fouad

Avatar du membre
Messages : 19461
Enregistré le : 10 juin 2014, 18:06
Nom : Fouad Ouchène
Association : Société Mycologique de Strasbourg
Localisation : Alsace-Vosges

Message par Fouad »
Oui, je n'ai pas donné de précision, car elle l'est tout autant que la première.

Fouad

Avatar du membre
Messages : 19461
Enregistré le : 10 juin 2014, 18:06
Nom : Fouad Ouchène
Association : Société Mycologique de Strasbourg
Localisation : Alsace-Vosges

Message par Fouad »
Merci beaucoup pour vos avis. Je vais rester sur hiemalis étant donné la macro, la phénologie et les spores limites.
12 messages Page 1 sur 1