Pfff... Quelle Galère !
Ce forum permet de montrer des photos de champignons et de discuter sur leur détermination.
Attention: ces déterminations ne permettront pas une consommation des champignons !!!
Attention: ces déterminations ne permettront pas une consommation des champignons !!!
Bonsoir,
Je me décide à poster ici ce sujet, car, malgré une micro qui me semble assez complète, je ne sais pas comment conclure.
- Récolte très récente, le 16 décembre, dans la mousse couvrant un rocher, sur un talus herbeux. Pas d'arbres sur ce talus.
- Petite taille : 4 cm de hauteur , chapeaux de 1 cm de diamètre environ.
- Odeur et saveur non significatives.
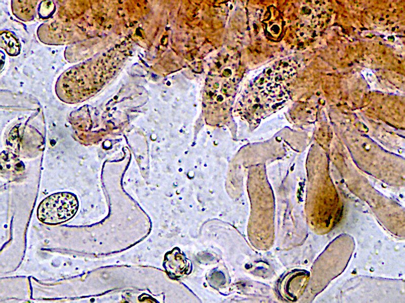
- Spores de dimension 9-10 x 6-7µm.
- Selon moi les basides sont la plupart du temps bisporiques, peut-être pas toujours.
- Il y a des cystides avec une petite tête ronde au sommet
- Les cloisons des hyphes de la cuticule ne sont pas bouclées...
Ben voilà... Rien ne correspond vraiment. Galerina vittiformis ? Cette espèce possède une variété à basides bisporiques ...
Je n'ai rien de mieux...
Des idées ?
Je me décide à poster ici ce sujet, car, malgré une micro qui me semble assez complète, je ne sais pas comment conclure.
- Récolte très récente, le 16 décembre, dans la mousse couvrant un rocher, sur un talus herbeux. Pas d'arbres sur ce talus.
- Petite taille : 4 cm de hauteur , chapeaux de 1 cm de diamètre environ.
- Odeur et saveur non significatives.
- Spores de dimension 9-10 x 6-7µm.
- Selon moi les basides sont la plupart du temps bisporiques, peut-être pas toujours.
- Il y a des cystides avec une petite tête ronde au sommet
- Les cloisons des hyphes de la cuticule ne sont pas bouclées...
Ben voilà... Rien ne correspond vraiment. Galerina vittiformis ? Cette espèce possède une variété à basides bisporiques ...
Je n'ai rien de mieux...
Des idées ?
Yves
UN CORPS FROID NE PEUT PAS CHAUFFER UN CORPS CHAUD
UN CORPS FROID NE PEUT PAS CHAUFFER UN CORPS CHAUD
- Plus d'infos
- Messages : 19004
- Enregistré le : 10 juin 2014, 18:06
- Nom : Fouad Ouchène
- Association : Société Mycologique de Strasbourg
- Localisation : Alsace-Vosges
21 déc. 2022, 21:39Fouad a écrit : Bonsoir Yves,J'y ai pensé à G. graminea, en raison en effet des deux caractères que tu soulignes.
Les cystides à col étroit et capitées et l'absence de boucles plaident nettement pour graminea. Tes spores sont certes dans les maximales en largeur (bisporie ?).
Mais les basides que je montre en photo sont bien des basides bisporiques ou je me trompe encore... ?
Cela dit, il me semble bien avoir entraperçu également des basides tétrasporiques.
G. graminea possèderait peut-être les deux formes de basides, comme d'autres Galerina ?
Cela expliquerait pourquoi certaines spores sont un peu grandes... Si elles viennent effectivement de basides bisporiques...
Yves
UN CORPS FROID NE PEUT PAS CHAUFFER UN CORPS CHAUD
UN CORPS FROID NE PEUT PAS CHAUFFER UN CORPS CHAUD
- Plus d'infos
- Messages : 19004
- Enregistré le : 10 juin 2014, 18:06
- Nom : Fouad Ouchène
- Association : Société Mycologique de Strasbourg
- Localisation : Alsace-Vosges
Voici une image de ce que je soupçonne (peut-être à tort) d'être une baside tétrasporique.
Seulement, pour s'en rendre compte, il faudrait plusieurs images, obtenues en faisant varier la profondeur de champ...
Et encore, c'est flou, de toutes façons, à cause de l'angle de vue. Il faudrait pouvoir faire bouger la baside...
Seulement, pour s'en rendre compte, il faudrait plusieurs images, obtenues en faisant varier la profondeur de champ...
Et encore, c'est flou, de toutes façons, à cause de l'angle de vue. Il faudrait pouvoir faire bouger la baside...
Yves
UN CORPS FROID NE PEUT PAS CHAUFFER UN CORPS CHAUD
UN CORPS FROID NE PEUT PAS CHAUFFER UN CORPS CHAUD
- Plus d'infos
- Messages : 19004
- Enregistré le : 10 juin 2014, 18:06
- Nom : Fouad Ouchène
- Association : Société Mycologique de Strasbourg
- Localisation : Alsace-Vosges
Bonjour,
Les deux dernières basides montrées hier et ce matin semblent effectivement tetra. Comme tu dis c'est plus simple à voir dans l'oculaire en jouant avec la profondeur. Je ne sais pas avec quel agrandissement tu as regardé Yves, mais le 40 est parfait pour voir ce genre de détail.
Je viens de retrouver une de mes micros avec des spores variables (non sur sporée) comparables aux tiennes. Les cystides sont identiques !
Les deux dernières basides montrées hier et ce matin semblent effectivement tetra. Comme tu dis c'est plus simple à voir dans l'oculaire en jouant avec la profondeur. Je ne sais pas avec quel agrandissement tu as regardé Yves, mais le 40 est parfait pour voir ce genre de détail.
Je viens de retrouver une de mes micros avec des spores variables (non sur sporée) comparables aux tiennes. Les cystides sont identiques !
Bonjour,
Sur ta photo, on voit, me semble-t-il (car des certitudes microscopiques, je n'en ai pas, pour ma part) des basides clairement tétrasporiques et d'autres qui semblent bisporiques.
Exactement ce que j'ai vu ou cru voir.
Tu avais conclu à Galerina graminea ?
Pourquoi ? Elle n'est pas censée avoir des basides bisporiques ...
Sur ta photo, on voit, me semble-t-il (car des certitudes microscopiques, je n'en ai pas, pour ma part) des basides clairement tétrasporiques et d'autres qui semblent bisporiques.
Exactement ce que j'ai vu ou cru voir.
Tu avais conclu à Galerina graminea ?
Pourquoi ? Elle n'est pas censée avoir des basides bisporiques ...
Yves
UN CORPS FROID NE PEUT PAS CHAUFFER UN CORPS CHAUD
UN CORPS FROID NE PEUT PAS CHAUFFER UN CORPS CHAUD
- Plus d'infos
- Messages : 16472
- Enregistré le : 24 juil. 2006, 17:34
- Association : Association Mycologique de l'Ouest
- Localisation : Loire Atlantique, France
Bonjour,
Quelle documentation utilises-tu pour ces galères galères ?
Au cas où, j'ai ajouté la Clé monographique des espèces galero-naucorioides de PAM : Galerina sp.
Je l'utilise souvent avec la clé du Funga Nordica.
Quelle documentation utilises-tu pour ces galères galères ?
Au cas où, j'ai ajouté la Clé monographique des espèces galero-naucorioides de PAM : Galerina sp.
Je l'utilise souvent avec la clé du Funga Nordica.
L'amanite phalloïde a mauvaise réputation.
C'est pourtant l'un des rares champignons qui soit capable d'abréger les souffrances des myopathes.
Pierre Desproges
C'est pourtant l'un des rares champignons qui soit capable d'abréger les souffrances des myopathes.
Pierre Desproges
Je dispose des mêmes clefs que toi.
Sur le terrain, vu l'habitat loin des arbres dans un talus herbeux, je pensais intuitivement à Galerina graminea.
La micro m'a à la fois conforté et éloigné.
Elle m'a conforté essentiellement en raison de l'absence de boucles dans les hyphes.
La forme des cystides ? Bof... De très nombreuses Galères ont des cystides ressemblantes à celles-ci.
L'éloignement a été dû au fait que les basides semblaient surtout bisporiques.
Aucune clef ne parle de basides bisporiques pour Galerina graminea.
J'en viens à penser que l'intuition est bien meilleure que toutes les clefs et que toutes les micros du monde...
Sur le terrain, vu l'habitat loin des arbres dans un talus herbeux, je pensais intuitivement à Galerina graminea.
La micro m'a à la fois conforté et éloigné.
Elle m'a conforté essentiellement en raison de l'absence de boucles dans les hyphes.
La forme des cystides ? Bof... De très nombreuses Galères ont des cystides ressemblantes à celles-ci.
L'éloignement a été dû au fait que les basides semblaient surtout bisporiques.
Aucune clef ne parle de basides bisporiques pour Galerina graminea.
J'en viens à penser que l'intuition est bien meilleure que toutes les clefs et que toutes les micros du monde...
Yves
UN CORPS FROID NE PEUT PAS CHAUFFER UN CORPS CHAUD
UN CORPS FROID NE PEUT PAS CHAUFFER UN CORPS CHAUD
- Plus d'infos
- Messages : 16472
- Enregistré le : 24 juil. 2006, 17:34
- Association : Association Mycologique de l'Ouest
- Localisation : Loire Atlantique, France
Comme tu le sais, selon l'angle de vue, des basides tétrasporiques peuvent paraître bisporiques, d'où la nécessiter d'en observer un nombre suffisant pour avoir une idée plus précise.
Si tu vois une majorité de basides bisporiques sur une espèce censée avoir des basides tétrasporiques, c'est que tu n'as vraiment pas de chance...
Suivons la clé de PAM.
J'arrive sur ces deux options (19a ou 19b ):
La première option nous conduit à G. similis ou G. graminea (= G. laevis). As-tu regardé G. similis ?
Si tu vois une majorité de basides bisporiques sur une espèce censée avoir des basides tétrasporiques, c'est que tu n'as vraiment pas de chance...
Suivons la clé de PAM.
J'arrive sur ces deux options (19a ou 19b ):
- Chapeau 0,5-1(1.5) cm à couleurs pâles ou pâlissantes, ternes en séchant et lames +/- jaune pâle ; spores ± lisses, jusqu'à 11(13) μm
- Chapeau (1)2-3 cm à couleurs +/- vives, fauve roussâtre parfois rouillé ou à reflets orangés peu pâlissants. Spores +/- rugueuses, jusqu'à 14(17) μm
La première option nous conduit à G. similis ou G. graminea (= G. laevis). As-tu regardé G. similis ?
L'amanite phalloïde a mauvaise réputation.
C'est pourtant l'un des rares champignons qui soit capable d'abréger les souffrances des myopathes.
Pierre Desproges
C'est pourtant l'un des rares champignons qui soit capable d'abréger les souffrances des myopathes.
Pierre Desproges
Au niveau des spores et de l'absence de boucles cela irait, mais G. similis a des basides tétrasporiques comme l'autre.
En outre c'est une espèce qui pousse en zone subalpine, généralement liée à Alnus viridis, donc à des arbres, d'après la clef de Pierre-Arthur et qui possède quelques piléocystides.
Les miennes poussaient en plaine ( non loin de chez moi) loin de tout arbre et je n'ai pas vu de piléocystides.
C'est donc bien G. graminea, comme me le disait mon intuition première, qui va le mieux.
Je ne crois plus au critère des basides...
En outre c'est une espèce qui pousse en zone subalpine, généralement liée à Alnus viridis, donc à des arbres, d'après la clef de Pierre-Arthur et qui possède quelques piléocystides.
Les miennes poussaient en plaine ( non loin de chez moi) loin de tout arbre et je n'ai pas vu de piléocystides.
C'est donc bien G. graminea, comme me le disait mon intuition première, qui va le mieux.
Je ne crois plus au critère des basides...
Yves
UN CORPS FROID NE PEUT PAS CHAUFFER UN CORPS CHAUD
UN CORPS FROID NE PEUT PAS CHAUFFER UN CORPS CHAUD
- Plus d'infos
- Messages : 16472
- Enregistré le : 24 juil. 2006, 17:34
- Association : Association Mycologique de l'Ouest
- Localisation : Loire Atlantique, France
Je cherche aussi, depuis un moment, sans rien trouver.
Seulement, faut-il prendre à la lettre qu'une espèce censée être à basides tétrasporiques ne puisse pas avoir une majorité de basides bisporiques ? J'en doute un peu. La Nature réserve bien d'autres surprises à ceux qui veulent la mathématiser afin d'en tirer des certitudes.
Pour moi, c'est une attitude religieuse et non pas une attirude scientifique que de rechercher à avoir des certitudes dans l'étude de la nature.
Je vais renommer Galerina graminea, avec un cf. de prudence, dû ici au manque de certitude
Seulement, faut-il prendre à la lettre qu'une espèce censée être à basides tétrasporiques ne puisse pas avoir une majorité de basides bisporiques ? J'en doute un peu. La Nature réserve bien d'autres surprises à ceux qui veulent la mathématiser afin d'en tirer des certitudes.
Pour moi, c'est une attitude religieuse et non pas une attirude scientifique que de rechercher à avoir des certitudes dans l'étude de la nature.
Je vais renommer Galerina graminea, avec un cf. de prudence, dû ici au manque de certitude
Yves
UN CORPS FROID NE PEUT PAS CHAUFFER UN CORPS CHAUD
UN CORPS FROID NE PEUT PAS CHAUFFER UN CORPS CHAUD
- Plus d'infos
- Messages : 16472
- Enregistré le : 24 juil. 2006, 17:34
- Association : Association Mycologique de l'Ouest
- Localisation : Loire Atlantique, France
J'ai deux ou trois récoltes de G. graminea dont j'ai fait la micro, à chaque fois je n'ai observé que des basides tétrasporiques et des dimensions sporales conformes à la littérature. J'ai cependant des photos micro où quelques rares basides paraissent bisporiques, mais je mets cela sur le compte de l'angle de vue ne permettant pas de voir les 4 stérigmates.
Sur ton étude, il y a tout de même deux éléments douteux (les deux sont peut-être liés) : une majorité de basides bisporiques (selon tes observations) et des spores excessivement larges (6-7 µm au lieu de 4, 5-5 μm selon PAM, 4-5(-5.5) µm selon FN).
Si l'on veut avoir une attitude scientifique, plutôt que de conclure à l'encontre de ce que nous disposons comme documentation, il faudrait peut-être chercher à savoir, auprès de mycologues plus expérimentés, si G. graminea a déjà été observée avec une majorité de basides bisporiques et des spores aussi larges ou s'il n'existe pas une espèce proche (que nous n'avons pas dans notre documentation) correspondant à tes observations.
Sur ton étude, il y a tout de même deux éléments douteux (les deux sont peut-être liés) : une majorité de basides bisporiques (selon tes observations) et des spores excessivement larges (6-7 µm au lieu de 4, 5-5 μm selon PAM, 4-5(-5.5) µm selon FN).
Si l'on veut avoir une attitude scientifique, plutôt que de conclure à l'encontre de ce que nous disposons comme documentation, il faudrait peut-être chercher à savoir, auprès de mycologues plus expérimentés, si G. graminea a déjà été observée avec une majorité de basides bisporiques et des spores aussi larges ou s'il n'existe pas une espèce proche (que nous n'avons pas dans notre documentation) correspondant à tes observations.
L'amanite phalloïde a mauvaise réputation.
C'est pourtant l'un des rares champignons qui soit capable d'abréger les souffrances des myopathes.
Pierre Desproges
C'est pourtant l'un des rares champignons qui soit capable d'abréger les souffrances des myopathes.
Pierre Desproges
23 déc. 2022, 10:40Fifi a écrit : Si l'on veut avoir une attitude scientifique, plutôt que de conclure à l'encontre de ce que nous disposons comme documentation, il faudrait peut-être chercher à savoir, auprès de mycologues plus expérimentés, si G. graminea a déjà été observée avec une majorité de basides bisporiques et des spores aussi larges ou s'il n'existe pas une espèce proche (que nous n'avons pas dans notre documentation) correspondant à tes observations.Je te fais remarquer quand même que je n'ai rien conclu du tout à l'encontre de ce dont nous disposons.
En effet, j'ai posté ce sujet en demande de détermination , ce qui signifie bien que je n'ai rien conclu.
En outre j'ai mis un cf. à graminea, ce qui signifie la même chose.
Après, je vais certainement demander son avis à Alain Favre, car cette récolte continue de m'intriguer.
Yves
UN CORPS FROID NE PEUT PAS CHAUFFER UN CORPS CHAUD
UN CORPS FROID NE PEUT PAS CHAUFFER UN CORPS CHAUD