Russule
Rubrique pour apprendre en s'amusant. On poste des photos de champignons déjà déterminés sans en donner le nom...
Bonjour,
Une première pour moi. Déterminée avec l'aide précieuse de Alain Favre, que je remercie.
Photo prise chez moi. La récolte a été faite sous feuillus.
Une première pour moi. Déterminée avec l'aide précieuse de Alain Favre, que je remercie.
Photo prise chez moi. La récolte a été faite sous feuillus.
Yves
UN CORPS FROID NE PEUT PAS CHAUFFER UN CORPS CHAUD
UN CORPS FROID NE PEUT PAS CHAUFFER UN CORPS CHAUD
- Plus d'infos
- Messages : 29014
- Enregistré le : 23 sept. 2011, 17:11
- Nom : Laurent Francini
- Association : LA CHANTERELLE DE VILLE-LA-GRAND
- Localisation : La Yaute - Haute-Savoie (la «vraie» Savoie) ;-)
Bonjour Yves ! Ah, une russule !
Première question, âcre ou douce ?

http://www.francini-mycologie.fr/index.html • Myco-botaniste passionné! • Nikon D90 - F-S DX 18-200 mm f:3,5/5,6 G ED VRII - AF-S Nikkor 105 mm macro f:2.8 G ED - Micro Nikkor 60 mm f:2.8
Aucun des deux adjectifs ne correspond vraiment.
Surtout le second, d'ailleurs. Elle n'est pas douce.

Surtout le second, d'ailleurs. Elle n'est pas douce.
Yves
UN CORPS FROID NE PEUT PAS CHAUFFER UN CORPS CHAUD
UN CORPS FROID NE PEUT PAS CHAUFFER UN CORPS CHAUD
- Plus d'infos
- Messages : 29014
- Enregistré le : 23 sept. 2011, 17:11
- Nom : Laurent Francini
- Association : LA CHANTERELLE DE VILLE-LA-GRAND
- Localisation : La Yaute - Haute-Savoie (la «vraie» Savoie) ;-)
Acrescente, alors... Cuticule mate, sporée apparemment pas blanche... C'est dermatocystidié?
http://www.francini-mycologie.fr/index.html • Myco-botaniste passionné! • Nikon D90 - F-S DX 18-200 mm f:3,5/5,6 G ED VRII - AF-S Nikkor 105 mm macro f:2.8 G ED - Micro Nikkor 60 mm f:2.8
- Plus d'infos
- Messages : 3304
- Enregistré le : 01 juil. 2009, 11:02
L'exemplaire de face semble grisonner au niveau du bord des lames?
castor74 a écrit :Acrescente, alors... Cuticule mate, sporée apparemment pas blanche... C'est dermatocystidié?Sporée vers les II.
Plus qu'acrescente.
Pour les dermatocystides, je vais essayer, promis. Alain n'a pas eu besoin de regarder cela pour l'identifier.
Jean-Luc Picard a écrit :L'exemplaire de face semble grisonner au niveau du bord des lames?Je dirais qu'i y a du jaunissement, un peu partout.
J'ajoute un indice : la chair est assez ferme.
Yves
UN CORPS FROID NE PEUT PAS CHAUFFER UN CORPS CHAUD
UN CORPS FROID NE PEUT PAS CHAUFFER UN CORPS CHAUD
- Plus d'infos
- Messages : 1838
- Enregistré le : 20 nov. 2017, 15:58
- Nom : Eric Reynaud
- Association : Société Mycologique de France
- Localisation : Montreuil, Région parisienne
gambr a écrit :Bonjour Yves,Je dirais "très amère", peut-être même amarissima
Je pense que cela pourrait être assez amer ... le jaunissement est typique.
Ciao
Gianni

Il reste quelques trace de rose sur les arêtes des lames.
“Ne demande jamais ton chemin à quelqu'un qui le connaît, car tu ne pourrais pas t'égarer !” (Nahman de Braslow)
Retrouvez moi sur Flickr
Retrouvez moi sur Flickr
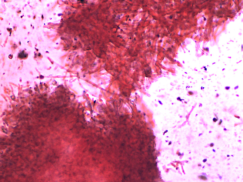
Des essais de photo de cuticule aux grossissements 200 x (1 et 2) et 1000 x (3 et 4)
Yves
UN CORPS FROID NE PEUT PAS CHAUFFER UN CORPS CHAUD
UN CORPS FROID NE PEUT PAS CHAUFFER UN CORPS CHAUD
ghislaine a écrit :Et son odeur?L'odeur est imperceptible, contrairement à la saveur.
Yves
UN CORPS FROID NE PEUT PAS CHAUFFER UN CORPS CHAUD
UN CORPS FROID NE PEUT PAS CHAUFFER UN CORPS CHAUD