Russule

Rubrique pour apprendre en s'amusant. On poste des photos de champignons déjà déterminés sans en donner le nom...
50 messages Page 1 sur 4

Y.Courtieu

Avatar du membre
Messages : 36074
Enregistré le : 28 oct. 2012, 18:14
Localisation : Haute-Savoie
Site Internet

Message par Y.Courtieu »
Bonjour,

Une première pour moi. Déterminée avec l'aide précieuse de Alain Favre, que je remercie.
Photo prise chez moi. La récolte a été faite sous feuillus.
Fichiers joints
DSCN9893b.JPG
Yves
UN CORPS FROID NE PEUT PAS CHAUFFER UN CORPS CHAUD

Une Science qui baillonne ses contradicteurs ne mérite pas le nom de science.

Castor74

Avatar du membre
Messages : 29306
Enregistré le : 23 sept. 2011, 17:11
Nom : Laurent Francini
Association : LA CHANTERELLE DE VILLE-LA-GRAND
Localisation : La Yaute - Haute-Savoie (la «vraie» Savoie) ;-)
Site Internet

Message par Castor74 »
Bonjour Yves ! Ah, une russule ! :grandsourire: Première question, âcre ou douce ?
http://www.francini-mycologie.fr/index.htmlMyco-botaniste passionné!Nikon D90 - F-S DX 18-200 mm f:3,5/5,6 G ED VRII - AF-S Nikkor 105 mm macro f:2.8 G ED - Micro Nikkor 60 mm f:2.8

Y.Courtieu

Avatar du membre
Messages : 36074
Enregistré le : 28 oct. 2012, 18:14
Localisation : Haute-Savoie
Site Internet

Message par Y.Courtieu »
Aucun des deux adjectifs ne correspond vraiment. :grandsourire:
Surtout le second, d'ailleurs. Elle n'est pas douce.
Yves
UN CORPS FROID NE PEUT PAS CHAUFFER UN CORPS CHAUD

Une Science qui baillonne ses contradicteurs ne mérite pas le nom de science.

Castor74

Avatar du membre
Messages : 29306
Enregistré le : 23 sept. 2011, 17:11
Nom : Laurent Francini
Association : LA CHANTERELLE DE VILLE-LA-GRAND
Localisation : La Yaute - Haute-Savoie (la «vraie» Savoie) ;-)
Site Internet

Message par Castor74 »
Acrescente, alors... Cuticule mate, sporée apparemment pas blanche... C'est dermatocystidié?
http://www.francini-mycologie.fr/index.htmlMyco-botaniste passionné!Nikon D90 - F-S DX 18-200 mm f:3,5/5,6 G ED VRII - AF-S Nikkor 105 mm macro f:2.8 G ED - Micro Nikkor 60 mm f:2.8

Ghislaine

Messages : 16928
Enregistré le : 07 sept. 2010, 15:25
Localisation : Forêt du jorat, Lausanne suisse.

Message par Ghislaine »
Sporée?
"L'ignorant affirme,
le savant doute,
le sage réfléchit.
Aristote

Jean-Luc Picard

Avatar du membre
Messages : 3304
Enregistré le : 01 juil. 2009, 11:02

Message par Jean-Luc Picard »
L'exemplaire de face semble grisonner au niveau du bord des lames?

Y.Courtieu

Avatar du membre
Messages : 36074
Enregistré le : 28 oct. 2012, 18:14
Localisation : Haute-Savoie
Site Internet

Message par Y.Courtieu »
castor74 a écrit :
Acrescente, alors... Cuticule mate, sporée apparemment pas blanche... C'est dermatocystidié?
Sporée vers les II.
Plus qu'acrescente.
Pour les dermatocystides, je vais essayer, promis. Alain n'a pas eu besoin de regarder cela pour l'identifier.
Jean-Luc Picard a écrit :
L'exemplaire de face semble grisonner au niveau du bord des lames?
Je dirais qu'i y a du jaunissement, un peu partout.
J'ajoute un indice : la chair est assez ferme.
Yves
UN CORPS FROID NE PEUT PAS CHAUFFER UN CORPS CHAUD

Une Science qui baillonne ses contradicteurs ne mérite pas le nom de science.

gambr

Messages : 736
Enregistré le : 17 août 2015, 15:10

Message par gambr »
Bonjour Yves,
Je pense que cela pourrait être assez amer ... le jaunissement est typique.

Ciao
Gianni

Kairos

Avatar du membre
Messages : 1838
Enregistré le : 20 nov. 2017, 15:58
Nom : Eric Reynaud
Association : Société Mycologique de France
Localisation : Montreuil, Région parisienne

Message par Kairos »
gambr a écrit :
Bonjour Yves,
Je pense que cela pourrait être assez amer ... le jaunissement est typique.

Ciao
Gianni
Je dirais "très amère", peut-être même amarissima :grandsourire: , assez vieille pour que les teintes roses sur le stipe se soient estompées.
Il reste quelques trace de rose sur les arêtes des lames.
“Ne demande jamais ton chemin à quelqu'un qui le connaît, car tu ne pourrais pas t'égarer !” (Nahman de Braslow)
Retrouvez moi sur Flickr

Y.Courtieu

Avatar du membre
Messages : 36074
Enregistré le : 28 oct. 2012, 18:14
Localisation : Haute-Savoie
Site Internet

Message par Y.Courtieu »
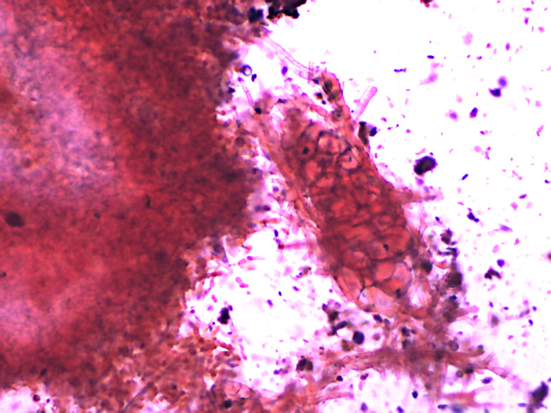
Des essais de photo de cuticule aux grossissements 200 x (1 et 2) et 1000 x (3 et 4)
Fichiers joints
Capture_9.jpg
Capture_10.jpg
Capture_11.jpg
Capture_12.jpg
Yves
UN CORPS FROID NE PEUT PAS CHAUFFER UN CORPS CHAUD

Une Science qui baillonne ses contradicteurs ne mérite pas le nom de science.

Ghislaine

Messages : 16928
Enregistré le : 07 sept. 2010, 15:25
Localisation : Forêt du jorat, Lausanne suisse.

Message par Ghislaine »
Et son odeur?
"L'ignorant affirme,
le savant doute,
le sage réfléchit.
Aristote

Louis

Avatar du membre
Messages : 2726
Enregistré le : 14 janv. 2014, 23:08
Nom : LOUIS SANTHUNE
Localisation : Dole - Jura

Message par Louis »
Je vois que les lames sont un peu soulignées de rouge... R.a. Vue deux fois dans ma vie !

Morgan64

Messages : 32
Enregistré le : 22 nov. 2018, 00:13
Localisation : Pays Basque

Message par Morgan64 »
Je pense que la réponse a été trouvé par gambr et Kairos ... Je pense à R.a moi aussi.

Y.Courtieu

Avatar du membre
Messages : 36074
Enregistré le : 28 oct. 2012, 18:14
Localisation : Haute-Savoie
Site Internet

Message par Y.Courtieu »
ghislaine a écrit :
Et son odeur?
L'odeur est imperceptible, contrairement à la saveur.
Yves
UN CORPS FROID NE PEUT PAS CHAUFFER UN CORPS CHAUD

Une Science qui baillonne ses contradicteurs ne mérite pas le nom de science.

Ghislaine

Messages : 16928
Enregistré le : 07 sept. 2010, 15:25
Localisation : Forêt du jorat, Lausanne suisse.

Message par Ghislaine »
Alors c'est une russule très amère à petite odeur insignifiante :grandsourire:
"L'ignorant affirme,
le savant doute,
le sage réfléchit.
Aristote
50 messages Page 1 sur 4