Scroute toujours

Ce forum permet de montrer des photos de champignons et de discuter sur leur détermination.

Attention: ces déterminations ne permettront pas une consommation des champignons !!!
21 messages Page 1 sur 2

Duche

Messages : 1008
Enregistré le : 14 juil. 2020, 12:15
Nom : Francois Duriez

Message par Duche »
Bonsoir,

Une croute. Toucher pruineux. Couleur gris cendré. Blanchi légèrement au séchage. Très solidaire du substrat. Marge pas très nette.

Spores en saucisse, abondantes sur la lame, sans guttules (sauf 1 sur 100 avec 2 guttules).

Sur écorce et aussi sur bois décortiqué avec écorce qui s'involute légèrement. Parc urbain de Lomme 23 avril 2025. A cet endroit, plutôt Acer, Sorbus, Corylus (sûrement), Carpinus, pas de peupliers, ni bouleaux, ni saules. Pas de genres ectomycorhiriziens à cet endroit apres 4 ans de ratissage.

Vuilleminia sp. ?

Merci pour vos avis

A bientôt
Fichiers joints
IMG_20250423_153926.jpg
IMG_20250423_154019.jpg
IMG_20250517_130709.jpg
Modifié en dernier par Duche le 31 mai 2025, 17:28, modifié 1 fois.

Fouad

Avatar du membre
Messages : 19311
Enregistré le : 10 juin 2014, 18:06
Nom : Fouad Ouchène
Association : Société Mycologique de Strasbourg
Localisation : Alsace-Vosges

Message par Fouad »
Salut François,
Fais sporuler un beau champignon de Paris et garde la sporée sous la main (enfin, façon de parler).
Mets juste une pointe d'aiguille de spores d'agaric dans ta préparation ; tu auras ainsi une échelle approximative des dimensions.

Peut-être Peniophora ?

Terradoc En ligne

Messages : 7624
Enregistré le : 01 nov. 2021, 13:39
Nom : THIERRY BLONDELLE
Association : Association de Mycologie et de Botanique de l'Hérault et des Hauts Cantons (AMBHHC)
Localisation : Courniou les grottes (34)_ Parc Naturel régional du Haut-Languedoc

Message par Terradoc »
Bonsoir,
L'idéal serait de voir les cystides pour confirmer un Peniophora.

Nommo

Avatar du membre
Messages : 28741
Enregistré le : 18 août 2017, 18:36
Nom : François Desprès
Association : Alès
Localisation : Gard

Message par Nommo »
Bonjour à toutes et à tous,

Une bonne tête deVuilleminia comedens quand même.
J’échangerais bien tout ce que je sais contre un pour cent de ce que je ne sais pas. ( Pierre Neville )

Fifi

Avatar du membre
Messages : 16551
Enregistré le : 24 juil. 2006, 17:34
Association : Association Mycologique de l'Ouest
Localisation : Loire Atlantique, France

Message par Fifi »
Bonjour,

plutôt d'accord avec Nommo, V. comedens est une espèce courante, mais il en existe d'autres très ressemblantes. Il faut mesurer précisément les spores et s'assurer de l'absence de cystides... plus facile à dire qu'à faire.
Identifier la nature du support peut aider aussi.
L'amanite phalloïde a mauvaise réputation.
C'est pourtant l'un des rares champignons qui soit capable d'abréger les souffrances des myopathes.
Pierre Desproges

Duche

Messages : 1008
Enregistré le : 14 juil. 2020, 12:15
Nom : Francois Duriez

Message par Duche »
Bonsoir à tous,

J'ai fait une lame avec la technique de Fouad et j'ai pu faire quelques photos au x40. C'est pas foufou mais ça peut donner une indication.

Je dirais un tout petit peu moins larges que celle de bisporus mais 2 fois plus longues.

J'ai recadré pour le confort. J'ai comparé 4 endroits de ma précédente lame qui par bonheur n'avait pas collapsée.

A très vite
Fichiers joints
IMG_20250521_182127~2.jpg
IMG_20250521_181711~2.jpg
IMG_20250521_181709.jpg

Duche

Messages : 1008
Enregistré le : 14 juil. 2020, 12:15
Nom : Francois Duriez

Message par Duche »
Si on prend comme base 5,5-6/7,5-9, on doit être sur du 5,5-6,5/16-19 grosso modo.

Fouad

Avatar du membre
Messages : 19311
Enregistré le : 10 juin 2014, 18:06
Nom : Fouad Ouchène
Association : Société Mycologique de Strasbourg
Localisation : Alsace-Vosges

Message par Fouad »
Tu as trop peu de spores, dommage.
On est sur une fourchette de 10-12 x 3-4 µ
Et les cystides demandées par Terradoc ?

Duche

Messages : 1008
Enregistré le : 14 juil. 2020, 12:15
Nom : Francois Duriez

Message par Duche »
Je viens de regarder les dimensions sporales des 2 genres sur myco db. On est plutôt sur un Vuilleminia? Qu'en pensez-vous?

Je vais refaire une lame pour voir si je peux pas observer d'autres éléments avec le bout sec qu'il me reste. J'y vais.

À très vite.

Et merci Fouad pour la technique. Je suis content d'avoir réussi à prendre une photo a peu pres indicative.

Duche

Messages : 1008
Enregistré le : 14 juil. 2020, 12:15
Nom : Francois Duriez

Message par Duche »
21 mai 2025, 18:46Fouad a écrit :
Tu as trop peu de spores, dommage.
On est sur une fourchette de 10-12 x 3-4 µ
Et les cystides demandées par Terradoc ?
Je peux essayer de faire d'autres clichés. Je vais essayer.

Duche

Messages : 1008
Enregistré le : 14 juil. 2020, 12:15
Nom : Francois Duriez

Message par Duche »
21 mai 2025, 18:46Fouad a écrit :
Tu as trop peu de spores, dommage.
On est sur une fourchette de 10-12 x 3-4 µ
Et les cystides demandées par Terradoc ?
Tu as raison

Duche

Messages : 1008
Enregistré le : 14 juil. 2020, 12:15
Nom : Francois Duriez

Message par Duche »
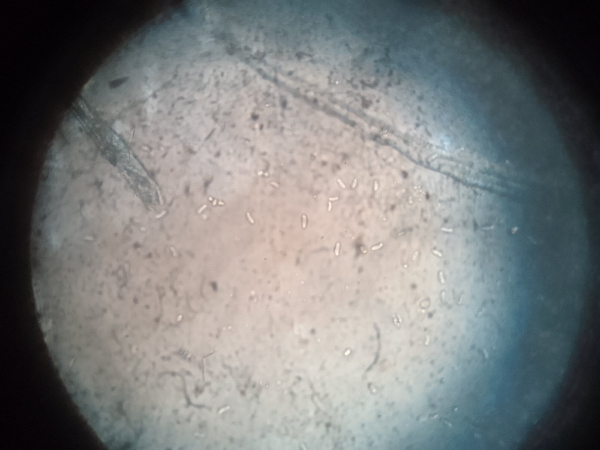
Plus de spores
Fichiers joints
X100
X100

X40
X40

Fouad

Avatar du membre
Messages : 19311
Enregistré le : 10 juin 2014, 18:06
Nom : Fouad Ouchène
Association : Société Mycologique de Strasbourg
Localisation : Alsace-Vosges

Message par Fouad »
On a à peu près ça :
échelle considérée : largeur de spore d'A. bisporus profil = 5 µ
échelle considérée : largeur de spore d'A. bisporus profil = 5 µ
La forme sub-cylindrique et les dimensions vont très bien pour ma première idée : Peniophora lycii. Vuilleminia comedens a des spores assez nettement allantoïdes et plus grandes à 15-20 µ avec un Q =>3,5, et ça quelque soit notre échelle, il est juste !
Maintenant, il faut nous montrer les cystides typiques.
Modifié en dernier par Fouad le 21 mai 2025, 19:52, modifié 2 fois.

Duche

Messages : 1008
Enregistré le : 14 juil. 2020, 12:15
Nom : Francois Duriez

Message par Duche »
21 mai 2025, 19:32Fouad a écrit :
On a à peu près ça :
IMG_20250521_190833.jpg

La forme sub-cylindrique et les dimensions vont très bien pour ma première idée : Peniophora lycii... Maintenant, il faut nous montrer les cystides typiques.
Je suis en train d'essayer mais je suis en difficulté... Je continue. J'ai vu plusieurs photos de ce que vous me demandez de trouver.

Merci Fouad pour les mesures.

Fouad

Avatar du membre
Messages : 19311
Enregistré le : 10 juin 2014, 18:06
Nom : Fouad Ouchène
Association : Société Mycologique de Strasbourg
Localisation : Alsace-Vosges

Message par Fouad »
Mets une petite goute d'eau sur la lame. Passe doucement avec la pointe d'une aiguille à coudre sur la surface (sur 2-3 mm et une profondeur juste avant le bois). Dépose la récolte dans la goûte d'eau. Refais l'opération 3-4 fois. Couvre, tapote doucement avec une gomme ou autre.
21 messages Page 1 sur 2