Au pied d'un conifère
Rubrique pour apprendre en s'amusant. On poste des photos de champignons déjà déterminés sans en donner le nom...
10 messages
Page 1 sur 1
Bonjour,
Je donne aussi la micro, cette fois, du moins une micro significative, sauf erreur de ma part.
Je donne aussi la micro, cette fois, du moins une micro significative, sauf erreur de ma part.
Yves
UN CORPS FROID NE PEUT PAS CHAUFFER UN CORPS CHAUD
Une Science qui baillonne ses contradicteurs ne mérite pas le nom de science.
UN CORPS FROID NE PEUT PAS CHAUFFER UN CORPS CHAUD
Une Science qui baillonne ses contradicteurs ne mérite pas le nom de science.
- Plus d'infos
- Messages : 6970
- Enregistré le : 21 sept. 2011, 10:40
- Nom : Jean Pierre Raverat
- Association : Association Mycologique Féréopontaine
- Localisation : Seine Port (77)
Bonjour,
Une odeur remarquable au dessèchement ?
Une odeur remarquable au dessèchement ?
Jean Pierre Raverat.
http://www.champignons77.org/
http://www.champignons77.org/
-
Richmond63 En ligne
Plus d'infos
- Messages : 11343
- Enregistré le : 29 nov. 2010, 18:43
- Nom : Richard Valeri
- Association : S.M.B.L.A./A.M.H.A/S.M.F.
- Localisation : puy de dôme-montagne thiernoise
Bonsoir à tous.
D'accord avec vos tantes.
D'accord avec vos tantes.
Bonsoir,
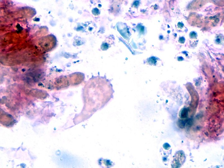
Voici quelques spores, qui devraient départager les points de vue.
Pour ce qui est de l'odeur, elle est iodée, mais pas des plus fortes à mon odorat.
Voici quelques spores, qui devraient départager les points de vue.
Pour ce qui est de l'odeur, elle est iodée, mais pas des plus fortes à mon odorat.
Yves
UN CORPS FROID NE PEUT PAS CHAUFFER UN CORPS CHAUD
Une Science qui baillonne ses contradicteurs ne mérite pas le nom de science.
UN CORPS FROID NE PEUT PAS CHAUFFER UN CORPS CHAUD
Une Science qui baillonne ses contradicteurs ne mérite pas le nom de science.
Quelqu'un pour nommer cette Mycène des conifères ?
Yves
UN CORPS FROID NE PEUT PAS CHAUFFER UN CORPS CHAUD
Une Science qui baillonne ses contradicteurs ne mérite pas le nom de science.
UN CORPS FROID NE PEUT PAS CHAUFFER UN CORPS CHAUD
Une Science qui baillonne ses contradicteurs ne mérite pas le nom de science.
27 nov. 2022, 10:03Ghislaine a écrit : Bonjour Yves, je me lance sans certitude Mycena metata.Bonjour Ghislaine,
C'est bien cela. Une Mycène qui vient souvent sous les conifères ( ou sur les conifères, comme ici ).
Son chapeau conique et plus ou moins carné est une caractéristique macro et ses cystides assez particulières permettent de confirmer son identification. L'odeur aussi, mais pour cela, il faut un bon odorat et des champignons qui jouent le jeu ( qui sentent ce qu'ils devraient , d'après la littérature...).
Merci à tous, je renomme.
Yves
UN CORPS FROID NE PEUT PAS CHAUFFER UN CORPS CHAUD
Une Science qui baillonne ses contradicteurs ne mérite pas le nom de science.
UN CORPS FROID NE PEUT PAS CHAUFFER UN CORPS CHAUD
Une Science qui baillonne ses contradicteurs ne mérite pas le nom de science.
10 messages
Page 1 sur 1