C'est comestible?

Rubrique pour apprendre en s'amusant. On poste des photos de champignons déjà déterminés sans en donner le nom...
20 messages Page 1 sur 2

ustal

Avatar du membre
Messages : 2745
Enregistré le : 18 août 2014, 18:01
Localisation : Mayenne - Pays de la Loire

Message par ustal »
:grandsourire:
Bonsoir!
Deux photos prises hier matin à côté de chez moi, il y avait une grosse poussée. :clindoeil:
3.jpg
2.jpg
Modifié en dernier par ustal le 23 janv. 2025, 13:21, modifié 1 fois.

Jplm

Avatar du membre
Messages : 37780
Enregistré le : 03 oct. 2011, 10:37
Nom : Jean-Pierre Lachenal-Montagne
Associations : Société Mycologique de France - Associu U Muchjinu : Société Mycologique de Porto-Vecchio
Localisation : Paris, parfois Corse

Message par Jplm »
Bonsoir

Superbe trouvaille, septième fois sur le forum.

Comestible bien sûr, il parait que ça fond sous la langue...

Jplm
Jean-Pierre Lachenal-Montagne

Ghislaine

Messages : 17059
Enregistré le : 07 sept. 2010, 15:25
Localisation : Forêt du jorat, Lausanne suisse.

Message par Ghislaine »
Bonsoir Ustal, tout en délicatesse, c'est magnifique.
"L'ignorant affirme,
le savant doute,
le sage réfléchit.
Aristote

ustal

Avatar du membre
Messages : 2745
Enregistré le : 18 août 2014, 18:01
Localisation : Mayenne - Pays de la Loire

Message par ustal »
Merci à vous :clindoeil: , j'en trouve parfois 2 ou 3 tout les ans mais hier il y en avait beaucoup. :eek:
Comestible mais il faut dire que ça rejette quand même beaucoup d'eau à la cuisson. :razz:

Nommo

Avatar du membre
Messages : 28782
Enregistré le : 18 août 2017, 18:36
Nom : François Desprès
Association : Alès
Localisation : Gard

Message par Nommo »
Bonjour à toutes et à tous,

J’attends toujours ma première rencontre.
J’échangerais bien tout ce que je sais contre un pour cent de ce que je ne sais pas. ( Pierre Neville )

Fouad

Avatar du membre
Messages : 19347
Enregistré le : 10 juin 2014, 18:06
Nom : Fouad Ouchène
Association : Société Mycologique de Strasbourg
Localisation : Alsace-Vosges

Message par Fouad »
Bonjour,
Belles photos mon Joël !
La semaine dernière, il y en avait partout ici : temps sec avec température à -2.
Il y a deux ans de cela, j'avais émis un doute sur l'exclusivité d'une espèce de corticié à provoquer ce genre de phénomène. Je soupçonne au moins une autre espèce du même genre ; voire d'autres genres... J'ai prélevé quatre bouts de bois avec glace, je les mettrai en condition pour essayer de voir si un corticié ou plus en sortira(ont) ?

Jplm

Avatar du membre
Messages : 37780
Enregistré le : 03 oct. 2011, 10:37
Nom : Jean-Pierre Lachenal-Montagne
Associations : Société Mycologique de France - Associu U Muchjinu : Société Mycologique de Porto-Vecchio
Localisation : Paris, parfois Corse

Message par Jplm »
Tiens-nous au courant, Fouad.

J'ai envie de transférer ce sujet "Du côté de chez moi" vers les QSJ champignons pour qu'on puisse le nommer et le retrouver.

Ustal, tu y vois un inconvénient ?

Jplm
Jean-Pierre Lachenal-Montagne

ustal

Avatar du membre
Messages : 2745
Enregistré le : 18 août 2014, 18:01
Localisation : Mayenne - Pays de la Loire

Message par ustal »
19 janv. 2025, 22:49Jplm a écrit :
Tiens-nous au courant, Fouad.
J'ai envie de transférer ce sujet "Du côté de chez moi" vers les QSJ champignons pour qu'on puisse le nommer et le retrouver.
Ustal, tu y vois un inconvénient ?
Jplm
Bonjour! non aucun problème. :clindoeil:

Jplm

Avatar du membre
Messages : 37780
Enregistré le : 03 oct. 2011, 10:37
Nom : Jean-Pierre Lachenal-Montagne
Associations : Société Mycologique de France - Associu U Muchjinu : Société Mycologique de Porto-Vecchio
Localisation : Paris, parfois Corse

Message par Jplm »
Fait, merci.

Jplm


Suite aux remarques de Fouad (moi aussi cette dépendance à seul corticié m'intrigue) et le champignon n'ayant pas été vu, j'aurais tendance ici à renommer cf. Exidiopsis effusa.
Jean-Pierre Lachenal-Montagne

Fouad

Avatar du membre
Messages : 19347
Enregistré le : 10 juin 2014, 18:06
Nom : Fouad Ouchène
Association : Société Mycologique de Strasbourg
Localisation : Alsace-Vosges

Message par Fouad »
Bonjour,
Voici ce que j'avais relevé lors d'un échange hiver 2024 dans notre Groupe SMS :
Le plus "étrange" c'est la proximité immédiate d'Exidiopsis grisea, Exidiopsis effusa - à travers les cheveux de glace - et de Exidia thuretiana. J'arrive presque à douter que seule E. effusa provoque l'amusant effet de glace ?

ustal

Avatar du membre
Messages : 2745
Enregistré le : 18 août 2014, 18:01
Localisation : Mayenne - Pays de la Loire

Message par ustal »
Bonjour!
Merci pour vos précisions, j'avais ramené quelques branchettes chez moi et le lendemain matin le phénomène s'est répété (-1-2°), je vais faire comme Fouad, les laisser dehors pour voir si je peux apercevoir le champignon? et peut-être en mettre une au réfrigérateur (bac à glace) pour voir si cela fonctionne. :grandsourire:
François, il fait trop chaud par chez toi. :grandsourire:
CDG.jpg

Nommo

Avatar du membre
Messages : 28782
Enregistré le : 18 août 2017, 18:36
Nom : François Desprès
Association : Alès
Localisation : Gard

Message par Nommo »
Salut ustal,

Sans doute. :grandsourire:
J’échangerais bien tout ce que je sais contre un pour cent de ce que je ne sais pas. ( Pierre Neville )

Fouad

Avatar du membre
Messages : 19347
Enregistré le : 10 juin 2014, 18:06
Nom : Fouad Ouchène
Association : Société Mycologique de Strasbourg
Localisation : Alsace-Vosges

Message par Fouad »
19 janv. 2025, 09:53Fouad a écrit :
Bonjour,
Belles photos mon Joël !
La semaine dernière, il y en avait partout ici : temps sec avec température à -2.
Il y a deux ans de cela, j'avais émis un doute sur l'exclusivité d'une espèce de corticié à provoquer ce genre de phénomène. Je soupçonne au moins une autre espèce du même genre ; voire d'autres genres... J'ai prélevé quatre bouts de bois avec glace, je les mettrai en condition pour essayer de voir si un corticié ou plus en sortira(ont) ?
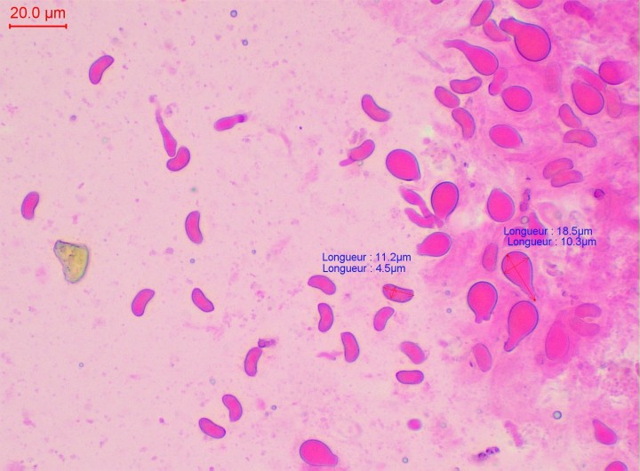
Bonjour,
Je poste mes résultats ici - mon ami Joël me pardonnera - après environ deux mois de stockage dehors.
Les quatre bouts de bois ont donné le même corticié gris aux contours non délimités et à l'aspect finement grumeleux scintillant (cristaux) sous la loupe binoculaire x20.
La microscopie sur un des bouts a confirmé Exidiopsis effusa.
P1100254.JPG
hymen-003.jpg
sp-005.jpg

Jplm

Avatar du membre
Messages : 37780
Enregistré le : 03 oct. 2011, 10:37
Nom : Jean-Pierre Lachenal-Montagne
Associations : Société Mycologique de France - Associu U Muchjinu : Société Mycologique de Porto-Vecchio
Localisation : Paris, parfois Corse

Message par Jplm »
Bonsoir,

Zut, tu ne vas pas pouvoir publier sur les autres espèces qui créent des cheveux de glace. En tout cas c'est intéressant d'avoir confirmation (pour tes bouts de bois au moins) qu'il s'agit bien d'Exidiopsis effusa.

Jplm
Jean-Pierre Lachenal-Montagne

ustal

Avatar du membre
Messages : 2745
Enregistré le : 18 août 2014, 18:01
Localisation : Mayenne - Pays de la Loire

Message par ustal »
Bonjour
Merci Fouad, du coup je viens d'aller voir les branchettes trouvées le 23 janvier et stockées sous des noisetiers chez moi, j'ai aussi un champignon qui a recouvert certaines parties du bois, le même??? (photos prises au portable, je peux en reprendre demain avec l'objectif macro de mon appareil photo).
Bon dimanche à vous!
10.jpg
11.jpg
20 messages Page 1 sur 2