Dans la serre Ep. 1
Ce forum permet de montrer des photos de champignons et de discuter sur leur détermination.
Attention: ces déterminations ne permettront pas une consommation des champignons !!!
Attention: ces déterminations ne permettront pas une consommation des champignons !!!
11 messages
Page 1 sur 1
Bonsoir
Petit passage dans une serre humide, chaude accueillant des plantes tropicales. 3 espèces observées.
Ici, un leucocoprinus, blanc assez pur avec des reflets jaunes citrins évidents à la récolte quand jeune. Brunit et s'effile dans la vieillesse. Beaucoup d'exemplaires vieux. Chapeau moins d'1 cm, Floconneux, strié à la marge. Chair très élastique et fragile. Jaunissement citrin léger à la maison et à la manipulation. Anneau un peu particulier : il insère et entoure le pied sur une longueur puis se termine en collerette perpendiculaire dans sa partie supérieure. En bague et infère ?
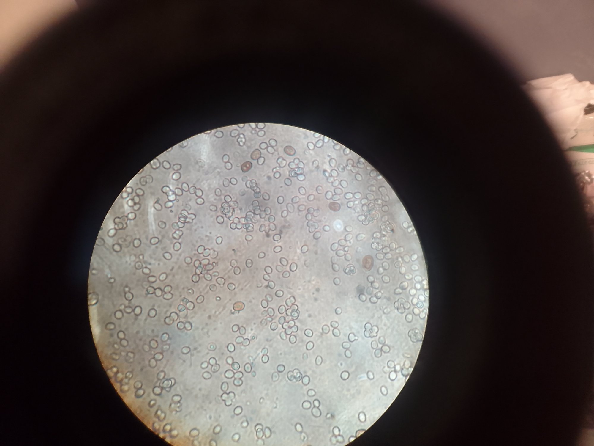
Micro dans les photos. Spores petites ellipsoides un peu ovoïdes. Pas de cystides apparentes observées. Des cellules utriformes observées. Mais rien de très saillant.
Interessant dans la mesure où j' ai observé un autre leucocoprinus très différent 2 minutes plus tard. Je vous le présente après.
Chaleur et humidité constante ici.
Edit : spores avec témoins d'Agaricus bisporus
Petit passage dans une serre humide, chaude accueillant des plantes tropicales. 3 espèces observées.
Ici, un leucocoprinus, blanc assez pur avec des reflets jaunes citrins évidents à la récolte quand jeune. Brunit et s'effile dans la vieillesse. Beaucoup d'exemplaires vieux. Chapeau moins d'1 cm, Floconneux, strié à la marge. Chair très élastique et fragile. Jaunissement citrin léger à la maison et à la manipulation. Anneau un peu particulier : il insère et entoure le pied sur une longueur puis se termine en collerette perpendiculaire dans sa partie supérieure. En bague et infère ?
Micro dans les photos. Spores petites ellipsoides un peu ovoïdes. Pas de cystides apparentes observées. Des cellules utriformes observées. Mais rien de très saillant.
Interessant dans la mesure où j' ai observé un autre leucocoprinus très différent 2 minutes plus tard. Je vous le présente après.
Chaleur et humidité constante ici.
Edit : spores avec témoins d'Agaricus bisporus
Modifié en dernier par Duche le 29 juil. 2025, 14:37, modifié 1 fois.
- Plus d'infos
- Messages : 19477
- Enregistré le : 10 juin 2014, 18:06
- Nom : Fouad Ouchène
- Association : Société Mycologique de Strasbourg
- Localisation : Alsace-Vosges
- Plus d'infos
- Messages : 19477
- Enregistré le : 10 juin 2014, 18:06
- Nom : Fouad Ouchène
- Association : Société Mycologique de Strasbourg
- Localisation : Alsace-Vosges
- Plus d'infos
- Messages : 28927
- Enregistré le : 18 août 2017, 18:36
- Nom : François Desprès
- Association : Alès
- Localisation : Gard
- Plus d'infos
- Messages : 19477
- Enregistré le : 10 juin 2014, 18:06
- Nom : Fouad Ouchène
- Association : Société Mycologique de Strasbourg
- Localisation : Alsace-Vosges
- Plus d'infos
- Messages : 19477
- Enregistré le : 10 juin 2014, 18:06
- Nom : Fouad Ouchène
- Association : Société Mycologique de Strasbourg
- Localisation : Alsace-Vosges
N= 30 ; 4,5-5-5,5 x 3,3-3,5-4(4,5) µ ; Qm= 1,34
Voici les mesures approximatives... En tout cas le 'Q' doit être bon ; et nous sommes pile sur la moyenne basse : 5 x 3,5 µ !
Ce qui veut dire qu'il faut toujours vérifier ses mesures - même sur une approximation - et que Nommo a très probablement vu juste. Mycocharentes donne 5-7 x 3,5-5,5 µ pour Leucocoprinus straminellus.
Voici les mesures approximatives... En tout cas le 'Q' doit être bon ; et nous sommes pile sur la moyenne basse : 5 x 3,5 µ !
Ce qui veut dire qu'il faut toujours vérifier ses mesures - même sur une approximation - et que Nommo a très probablement vu juste. Mycocharentes donne 5-7 x 3,5-5,5 µ pour Leucocoprinus straminellus.
- Plus d'infos
- Messages : 16551
- Enregistré le : 24 juil. 2006, 17:34
- Association : Association Mycologique de l'Ouest
- Localisation : Loire Atlantique, France
Bonsoir,
Leucocoprinus straminellus est une piste très vraisemblable, mais il est dommage de ne pas avoir de photo plus nettes.
Leucocoprinus straminellus est une piste très vraisemblable, mais il est dommage de ne pas avoir de photo plus nettes.
L'amanite phalloïde a mauvaise réputation.
C'est pourtant l'un des rares champignons qui soit capable d'abréger les souffrances des myopathes.
Pierre Desproges
C'est pourtant l'un des rares champignons qui soit capable d'abréger les souffrances des myopathes.
Pierre Desproges
11 messages
Page 1 sur 1