Exidia truncata
Vos plus belles photos d'espèces...
3 messages
Page 1 sur 1
Bonjour,
Elle manque à la galerie. Exidia truncata Fries. (1822) et ses imbroglios de nomenclature.
La voici photographiée sur chêne; on y retrouve bien les caractéristiques macroscopiques suivantes :
Champignon gélatineux brun noirâtre/noir, en troupe, bien visible en période humide et fraîche. Exidia truncata se caractérise macroscopiquement par des fructifications (notamment fructifications jeunes en forme de bouton) généralement non concrescentes, la présence de papilles sur l'hyménium (pas la seule), une face stérile rugueuse granuleuse, fructifications adultes de formes variables non intégralement appliquées au support, une pousse majoritairement sur chêne et dans une moindre mesure sur noisetiers, ou autres feuillus.
Elle manque à la galerie. Exidia truncata Fries. (1822) et ses imbroglios de nomenclature.
La voici photographiée sur chêne; on y retrouve bien les caractéristiques macroscopiques suivantes :
Champignon gélatineux brun noirâtre/noir, en troupe, bien visible en période humide et fraîche. Exidia truncata se caractérise macroscopiquement par des fructifications (notamment fructifications jeunes en forme de bouton) généralement non concrescentes, la présence de papilles sur l'hyménium (pas la seule), une face stérile rugueuse granuleuse, fructifications adultes de formes variables non intégralement appliquées au support, une pousse majoritairement sur chêne et dans une moindre mesure sur noisetiers, ou autres feuillus.
- Plus d'infos
- Messages : 19702
- Enregistré le : 10 juin 2014, 18:06
- Nom : Fouad Ouchène
- Association : Société Mycologique de Strasbourg
- Localisation : Alsace-Vosges
- Plus d'infos
- Messages : 11997
- Enregistré le : 29 nov. 2010, 18:43
- Nom : Richard Valeri
- Association : S.M.B.L.A./A.M.H.A/S.M.F.
- Localisation : puy de dôme-montagne thiernoise
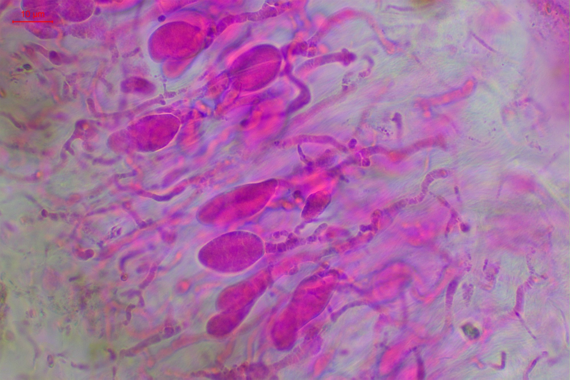
Un bel exemplaire sur noisetier (avec les spores). Arconsat (63).
J'ai trouvé aussi des cristaux ?
J'ai trouvé aussi des cristaux ?
3 messages
Page 1 sur 1