Résupiné/poré
Ce forum permet de montrer des photos de champignons et de discuter sur leur détermination.
Attention: ces déterminations ne permettront pas une consommation des champignons !!!
Attention: ces déterminations ne permettront pas une consommation des champignons !!!
- Précédente
- 1
- 2
- 3
- 4
- Suivante
52 messages
Page 2 sur 4
- Plus d'infos
- Messages : 38017
- Enregistré le : 03 oct. 2011, 10:37
- Nom : Jean-Pierre Lachenal-Montagne
- Associations : Société Mycologique de France - Associu U Muchjinu : Société Mycologique de Porto-Vecchio
- Localisation : Paris, parfois Corse
- Plus d'infos
- Messages : 19438
- Enregistré le : 10 juin 2014, 18:06
- Nom : Fouad Ouchène
- Association : Société Mycologique de Strasbourg
- Localisation : Alsace-Vosges
- Plus d'infos
- Messages : 38017
- Enregistré le : 03 oct. 2011, 10:37
- Nom : Jean-Pierre Lachenal-Montagne
- Associations : Société Mycologique de France - Associu U Muchjinu : Société Mycologique de Porto-Vecchio
- Localisation : Paris, parfois Corse
- Plus d'infos
- Messages : 16551
- Enregistré le : 24 juil. 2006, 17:34
- Association : Association Mycologique de l'Ouest
- Localisation : Loire Atlantique, France
08 avr. 2025, 17:09Jplm a écrit : Moui, je suis qu'à moitié convaincu par H. rutilans, plus vieille brique.Sa couleur est variable, beige rougeâtre à brun clair selon Rivoire. Couleur chamois à orangé dans "Les polypores de Wallonie" avec une photo d'un exemplaire particulièrement jaune.
Sur champis.net, la série de sujets consacrés à cette espèce montre une belle étendue de couleurs à allant du beige pâle, terne (voir la fiche descriptive de Félicien), au rouge brique, en passant par le rose.
08 avr. 2025, 20:30Fouad a écrit : Sur branches mortes de feuillu, Coriolopsis gallica est fort possible. Les couleurs sont à mon avis fausses ici.Pour en être sûr, il faudrait poser la question : Duche, les couleurs sont-elles fidèles au modèle ?
L'amanite phalloïde a mauvaise réputation.
C'est pourtant l'un des rares champignons qui soit capable d'abréger les souffrances des myopathes.
Pierre Desproges
C'est pourtant l'un des rares champignons qui soit capable d'abréger les souffrances des myopathes.
Pierre Desproges
- Plus d'infos
- Messages : 7770
- Enregistré le : 01 nov. 2021, 13:39
- Nom : THIERRY BLONDELLE
- Association : Association de Mycologie et de Botanique de l'Hérault et des Hauts Cantons (AMBHHC)
- Localisation : Courniou les grottes (34)_ Parc Naturel régional du Haut-Languedoc
- Plus d'infos
- Messages : 38017
- Enregistré le : 03 oct. 2011, 10:37
- Nom : Jean-Pierre Lachenal-Montagne
- Associations : Société Mycologique de France - Associu U Muchjinu : Société Mycologique de Porto-Vecchio
- Localisation : Paris, parfois Corse
La réaction à KOH est sans doute la même sur d'autres polypores, aucun aspect de Coriolopsis gallica ici, pas plus que de Fomitopsis pinicola par exemple, qui a des formes résupinées, noircit à KOH et peut venir sur peuplier !
Pour moi il faut des exemplaires frais et sans doute la micro.
Jplm
Pour moi il faut des exemplaires frais et sans doute la micro.
Jplm
Jean-Pierre Lachenal-Montagne
Bonjour à tous,
Encore merci pour l'intérêt porté au sujet.
Pour la consistance sur le frais, j'ai donné les indications. Pas d'odeur relevée à la récolte.
Pour la couleur de l'hyménium, vous avez les premières photos. On est sur un brun ocre assez franc. Sur la cuticule, idem en un peu plus ocre, légérement. Les tubes semble crème?
Je fais une micro dans l'aprem avec ce que j'ai là.
Je ne vais pas retourner tout de suite sur le terrain. Je vais attendre la pluie. Ici il fait sec comme jamais .Je suis allé au cimetière lundi pour essayer de retrouver mes inocybes cedricoles printaniers. Que dalle de chez que dalle. Même pas un Géopore, d'habitude très abondants. Un crève-coeur.
Ouin ouin.
Encore merci pour l'intérêt porté au sujet.
Pour la consistance sur le frais, j'ai donné les indications. Pas d'odeur relevée à la récolte.
Pour la couleur de l'hyménium, vous avez les premières photos. On est sur un brun ocre assez franc. Sur la cuticule, idem en un peu plus ocre, légérement. Les tubes semble crème?
Je fais une micro dans l'aprem avec ce que j'ai là.
Je ne vais pas retourner tout de suite sur le terrain. Je vais attendre la pluie. Ici il fait sec comme jamais .Je suis allé au cimetière lundi pour essayer de retrouver mes inocybes cedricoles printaniers. Que dalle de chez que dalle. Même pas un Géopore, d'habitude très abondants. Un crève-coeur.
- Plus d'infos
- Messages : 19438
- Enregistré le : 10 juin 2014, 18:06
- Nom : Fouad Ouchène
- Association : Société Mycologique de Strasbourg
- Localisation : Alsace-Vosges
Bonjour,
Fais une bouillie avec les tubes que t'as dans une goute d'eau. Retire tous les petits débris à la loupe. Couvre, tu devrais voir des spores avec un peu de chance. Si tu n'as pas d'échelle micrométrique, cours acheter un champignon de Paris mature et mets une lame avec ta tambouille, cela nous permettra d'avoir un ordre de grandeur des spores de l'inconnu...
Fais une bouillie avec les tubes que t'as dans une goute d'eau. Retire tous les petits débris à la loupe. Couvre, tu devrais voir des spores avec un peu de chance. Si tu n'as pas d'échelle micrométrique, cours acheter un champignon de Paris mature et mets une lame avec ta tambouille, cela nous permettra d'avoir un ordre de grandeur des spores de l'inconnu...
- Plus d'infos
- Messages : 16551
- Enregistré le : 24 juil. 2006, 17:34
- Association : Association Mycologique de l'Ouest
- Localisation : Loire Atlantique, France
Je reste pour l'instant sur Hapalopilus nidulans malgré les réactions aux bases. Duche parlant d'un petit échantillon tout sec, je suis dubitatif sur l'interprétation de la réaction.
L'amanite phalloïde a mauvaise réputation.
C'est pourtant l'un des rares champignons qui soit capable d'abréger les souffrances des myopathes.
Pierre Desproges
C'est pourtant l'un des rares champignons qui soit capable d'abréger les souffrances des myopathes.
Pierre Desproges
- Plus d'infos
- Messages : 19438
- Enregistré le : 10 juin 2014, 18:06
- Nom : Fouad Ouchène
- Association : Société Mycologique de Strasbourg
- Localisation : Alsace-Vosges
Fais ton mélange en écrasant quelques tubes et une lame de champignon de Paris, si tu ne peux pas travailler sous une loupe, fais couler ton jus en évitant la lie sur ta lame porte-objet et hopla !
Ceci est juste pour voir les éventuelles spores, ce n'est pas ainsi qu'on procède pour voir les éléments de l'hyménium ou les hyphes.
Ceci est juste pour voir les éventuelles spores, ce n'est pas ainsi qu'on procède pour voir les éléments de l'hyménium ou les hyphes.
J'ai foiré ma bouillie. J'ai coupé seulement une portion de tubes au rasoir., j'ai pilé un peu mais j'avais encore des amas. Mes exemplaires sont trop petits. Je retente demain ave un champi de paris. J'ai observé des éléments globuleux et hyalins qui m'ont semblé être des spores. Du moins, j'en ai déjâ vu des comme ça. Mais rien de bien sur. On verra demain.
- Plus d'infos
- Messages : 19438
- Enregistré le : 10 juin 2014, 18:06
- Nom : Fouad Ouchène
- Association : Société Mycologique de Strasbourg
- Localisation : Alsace-Vosges
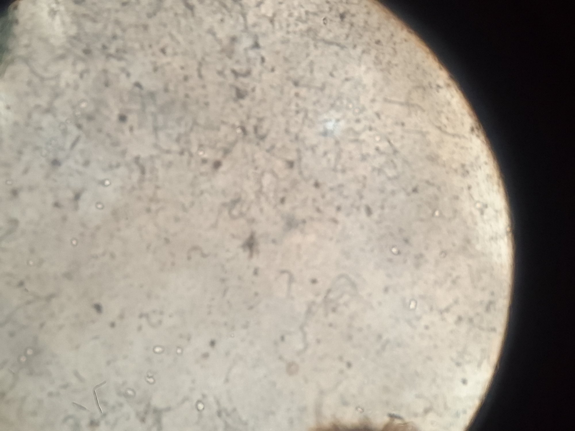
Bonjour à tous,
J'ai pas réussi la bouillie mais je suis parvenu à découper suffisamment fin en humidifiant. Au x10, j'ai la structure des pores apparentes (photo). J'ai retrouvé mes éléments d'hier en petit nombre dans les trous. J'ai ensuite introduit un bout de lame de bisporus. Et pu faire une comparaison au x40. Les spores de bisporus sont elliptiques brunes et guttulés. ALes spores de notre ami, peu nombreuses, si ce sont bien elles, sont plus petites, je dirais d'1/3, globuleuses, hyalines, non guttulées, et parfois (rarement) elles semblent un peu anguleuses. Au x100, c'est complétement flou.
Je n'ai pas réussi à faire de belles photos. Si trop de doutes, on peut nommer Sp. Inc. en attendant. Je ne manquerais pas de le rerécolter et de le passer au crible avec des exemplaires plus gros et plus frais.
Merci encore
J'ai pas réussi la bouillie mais je suis parvenu à découper suffisamment fin en humidifiant. Au x10, j'ai la structure des pores apparentes (photo). J'ai retrouvé mes éléments d'hier en petit nombre dans les trous. J'ai ensuite introduit un bout de lame de bisporus. Et pu faire une comparaison au x40. Les spores de bisporus sont elliptiques brunes et guttulés. ALes spores de notre ami, peu nombreuses, si ce sont bien elles, sont plus petites, je dirais d'1/3, globuleuses, hyalines, non guttulées, et parfois (rarement) elles semblent un peu anguleuses. Au x100, c'est complétement flou.
Je n'ai pas réussi à faire de belles photos. Si trop de doutes, on peut nommer Sp. Inc. en attendant. Je ne manquerais pas de le rerécolter et de le passer au crible avec des exemplaires plus gros et plus frais.
Merci encore
- Plus d'infos
- Messages : 19438
- Enregistré le : 10 juin 2014, 18:06
- Nom : Fouad Ouchène
- Association : Société Mycologique de Strasbourg
- Localisation : Alsace-Vosges
J'ai dû mal expliquer ce que tu dois rechercher, mes excuses.
Le but est d'observer des spores, et non des pores et des lames. Pour se faire, on va essayer d'en récupérer dans les tubes du polypore ; avec un peu de chance, on pourrait en trouver quelques unes. Après cela, reste le problème de la mesure que tu ne peux pas faire, raison pour laquelle je t'ai proposé l'idée d'introduire des spores témoins de A. bisporus dont la largeur est égale à ~5 µ.
Au boulot... Ou à la rigueur envoie-moi le champignon.
Fouad Ouchène
8, impasse des Horticulteurs
67201 Eckbolsheim
Le but est d'observer des spores, et non des pores et des lames. Pour se faire, on va essayer d'en récupérer dans les tubes du polypore ; avec un peu de chance, on pourrait en trouver quelques unes. Après cela, reste le problème de la mesure que tu ne peux pas faire, raison pour laquelle je t'ai proposé l'idée d'introduire des spores témoins de A. bisporus dont la largeur est égale à ~5 µ.
Au boulot... Ou à la rigueur envoie-moi le champignon.
Fouad Ouchène
8, impasse des Horticulteurs
67201 Eckbolsheim
- Précédente
- 1
- 2
- 3
- 4
- Suivante
52 messages
Page 2 sur 4