petite espèce (tricholomatales)
Ce forum permet de montrer des photos de champignons et de discuter sur leur détermination.
Attention: ces déterminations ne permettront pas une consommation des champignons !!!
Attention: ces déterminations ne permettront pas une consommation des champignons !!!
7 messages
Page 1 sur 1
- Plus d'infos
- Messages : 107
- Enregistré le : 03 nov. 2009, 18:59
Bonjour,
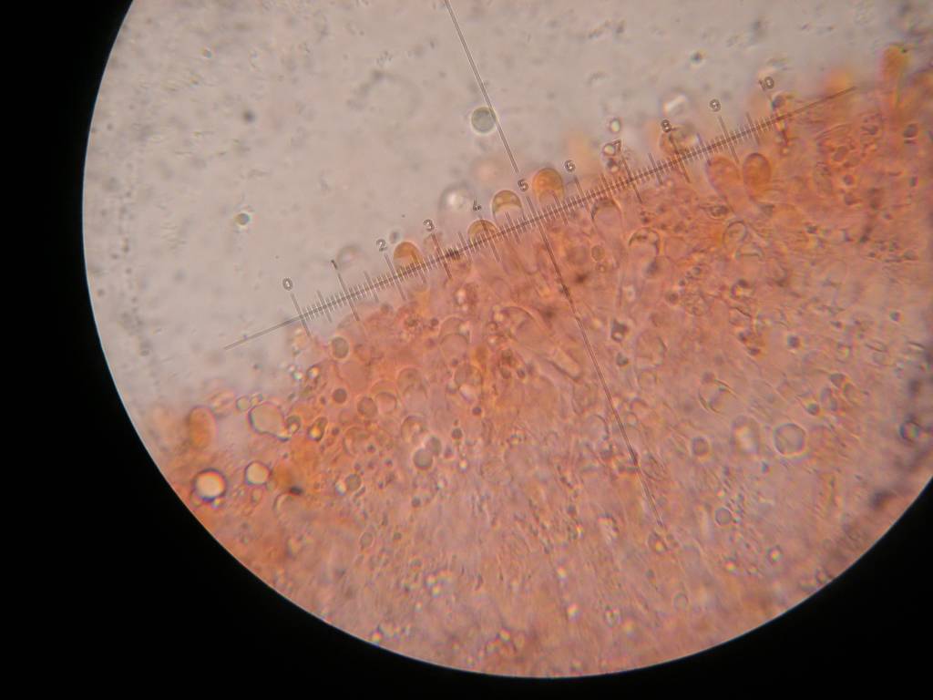
Je sèche sur cette minuscule espèce diamètre 1-1.5 mm, densément fibrillosoyeux, mycellium blanc 4-5 plis lamellaires stipe 1.5 x0.2 mm, boucles non vues; spores 6-7 x 5 µ CM à parois épaissies au sommet, hyphes cuticulaires non bouclées septées 40-50 x 5-6 µ.
Sur vieux Clitopilus pinsitus.
Jean-Luc
Je sèche sur cette minuscule espèce diamètre 1-1.5 mm, densément fibrillosoyeux, mycellium blanc 4-5 plis lamellaires stipe 1.5 x0.2 mm, boucles non vues; spores 6-7 x 5 µ CM à parois épaissies au sommet, hyphes cuticulaires non bouclées septées 40-50 x 5-6 µ.
Sur vieux Clitopilus pinsitus.
Jean-Luc
- Plus d'infos
- Messages : 3504
- Enregistré le : 24 juin 2008, 19:51
Bonjour,
c'est sans doute très intéressant, mais il faudrait approfondir la micro pour pouvoir en dire plus : amyloïdité des éléments entre autres. Les spores sont-elles lisses ? Quelle forme ont-elles ?
c'est sans doute très intéressant, mais il faudrait approfondir la micro pour pouvoir en dire plus : amyloïdité des éléments entre autres. Les spores sont-elles lisses ? Quelle forme ont-elles ?
Biologie fongique - Expertises (Dr. Guillaume Eyssartier)
- Plus d'infos
- Messages : 107
- Enregistré le : 03 nov. 2009, 18:59
Oui, les spores sont lisses,hyalines et je viens de vérifier elles ne sont pas amiloïdes, comme aucun autre tissus, plutôt dextrimoïdes les spores (brunâtre sous micro avec le Melzer)Ci joint une photo des cellules marginales, puis une autre où l'on voit les spores.
- Plus d'infos
- Messages : 107
- Enregistré le : 03 nov. 2009, 18:59
La description est complétée. Qu'en penses-tu Guillaume?
Jean-Luc
Jean-Luc
- Plus d'infos
- Messages : 107
- Enregistré le : 03 nov. 2009, 18:59
Bonjour,
J'ai fait des complément, Guillaume tu n'as peut-être pas vu?
Jean-Luc
J'ai fait des complément, Guillaume tu n'as peut-être pas vu?
Jean-Luc
- Plus d'infos
- Messages : 3504
- Enregistré le : 24 juin 2008, 19:51
Si, j'ai vu... mais j'avoue que ce n'est pas facile sur photo micro. Pas d'idée.
Désolé !
Désolé !
Biologie fongique - Expertises (Dr. Guillaume Eyssartier)
Guillaume Eyssartier a écrit :Si, j'ai vu... mais j'avoue que ce n'est pas facile sur photo micro. Pas d'idée.En effet bizzard ce champignon, la micro me rappel un peu le genre Hygrophorospis...mais bon rien à voir coté macro
Désolé !
Si trame dextrinoides voir vers les marasmius/marasmiellus..non ?
jlouis
7 messages
Page 1 sur 1