Croute avec belle couleur brique

Ce forum permet de montrer des photos de champignons et de discuter sur leur détermination.

Attention: ces déterminations ne permettront pas une consommation des champignons !!!
10 messages Page 1 sur 1

Duche

Messages : 1008
Enregistré le : 14 juil. 2020, 12:15
Nom : Francois Duriez

Message par Duche »
Bonjour à tous,

Tant que je suis là, je pose celui-ci aussi. Face infère de branche morte tombée au sol. Au cimetière de Lille sud, ce samedi. Pas vilain.
J'ai une petite idée hors-taxe pour une fois. Je vous mets la micro dans la soirée si je retrouve le bout de bois.
Fichiers joints
IMG_20250628_105457.jpg
IMG_20250628_105507.jpg
IMG_20250628_105527.jpg
Modifié en dernier par Duche le 03 juil. 2025, 07:59, modifié 1 fois.

Terradoc

Messages : 7307
Enregistré le : 01 nov. 2021, 13:39
Nom : THIERRY BLONDELLE
Association : Association de Mycologie et de Botanique de l'Hérault et des Hauts Cantons (AMBHHC)
Localisation : Courniou les grottes (34)_ Parc Naturel régional du Haut-Languedoc

Message par Terradoc »
Bonsoir,
Un corticié merulioïde ?

Fouad

Avatar du membre
Messages : 19080
Enregistré le : 10 juin 2014, 18:06
Nom : Fouad Ouchène
Association : Société Mycologique de Strasbourg
Localisation : Alsace-Vosges

Message par Fouad »
D'accord pour Meruliopsis.

Duche

Messages : 1008
Enregistré le : 14 juil. 2020, 12:15
Nom : Francois Duriez

Message par Duche »
Suite (micro).

Merci pour vos réponses.

Mon intuition était à coté. Je regarde la proposition toute à ll'heure, je pars en prospection avant qu'il fasse trop chaud. Quelques compléments macro : la chair est tendre mais le champignon garde son intégrité à la manipulation. Il n'est pas très adhérent au substrat. Petite précision peut-être utile : la branche était pleine de lichens et le champignon semble très bien s'en accommoder.

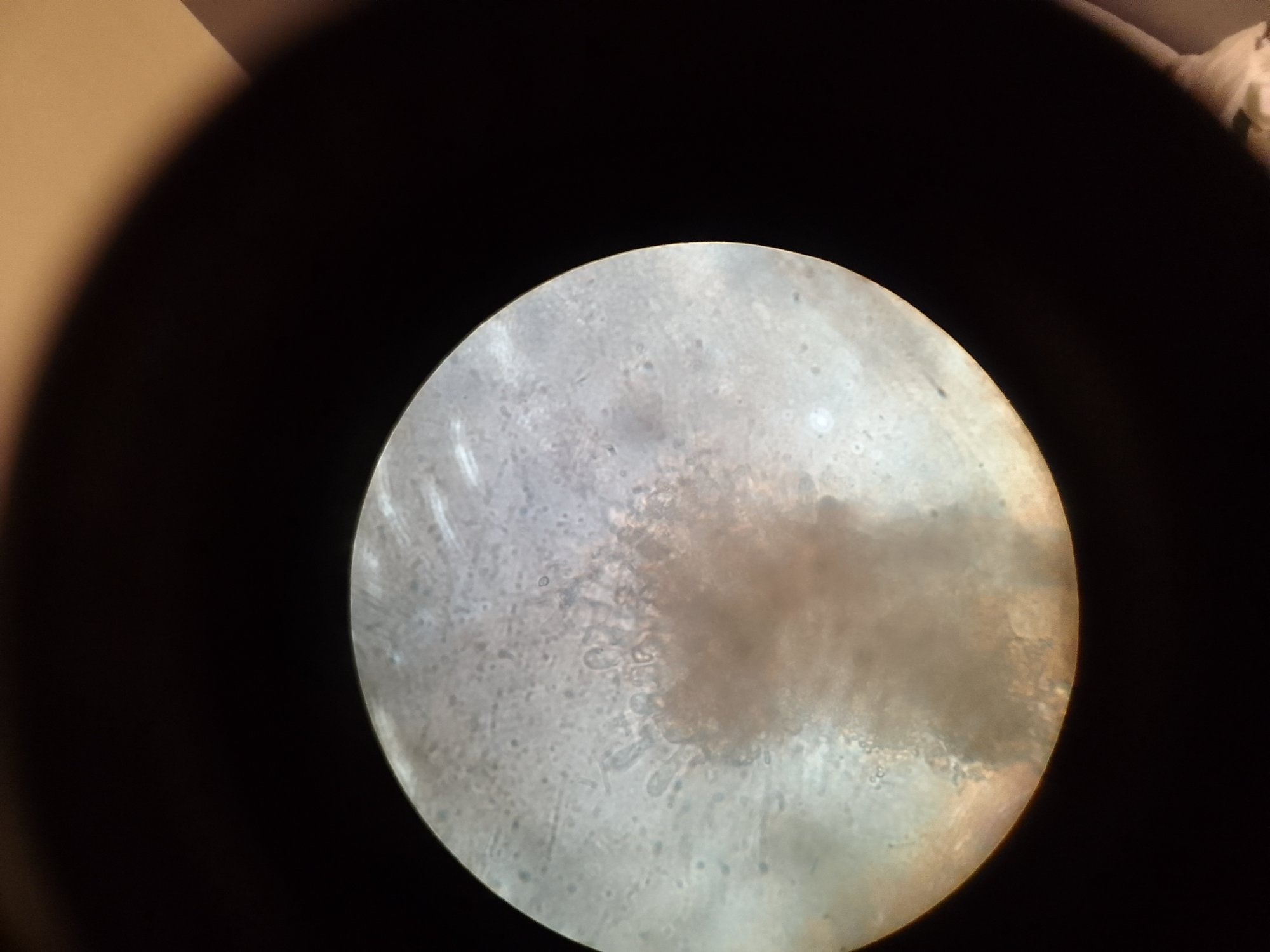
Hyphes génératrices, semblant cloisonnées, sans boucles, a ( double) parois épaisses très visible.
Fichiers joints
IMG_20250701_072051.jpg
IMG_20250701_071448.jpg
IMG_20250701_072127.jpg
IMG_20250630_212232.jpg
IMG_20250630_213728.jpg

Fouad

Avatar du membre
Messages : 19080
Enregistré le : 10 juin 2014, 18:06
Nom : Fouad Ouchène
Association : Société Mycologique de Strasbourg
Localisation : Alsace-Vosges

Message par Fouad »
J'ai loupé les spores ?

Duche

Messages : 1008
Enregistré le : 14 juil. 2020, 12:15
Nom : Francois Duriez

Message par Duche »
Non. C'est moi qui les ai loupés. Je suis en train de faire sporuler un exemplaire sec avec le grigri que tu m'as enseigné la semaine dernière. Nous verrons bien.
A très vite

Duche

Messages : 1008
Enregistré le : 14 juil. 2020, 12:15
Nom : Francois Duriez

Message par Duche »
Opération resporulation réussie.

Spores avec spores témoins d'Agaricus bisporus.
Fichiers joints
IMG_20250702_220658.jpg
IMG_20250702_220731.jpg
IMG_20250702_220905.jpg

Terradoc

Messages : 7307
Enregistré le : 01 nov. 2021, 13:39
Nom : THIERRY BLONDELLE
Association : Association de Mycologie et de Botanique de l'Hérault et des Hauts Cantons (AMBHHC)
Localisation : Courniou les grottes (34)_ Parc Naturel régional du Haut-Languedoc

Message par Terradoc »
Bonsoir,
Les spores rappellent celles de Byssomerulius corium. dans une forme très colorée que je n'ai jamais rencontrée.

Duche

Messages : 1008
Enregistré le : 14 juil. 2020, 12:15
Nom : Francois Duriez

Message par Duche »
Rerebonsoir,

Merci pour les réponses . On dirait bien que c'est ça.

Duche

Messages : 1008
Enregistré le : 14 juil. 2020, 12:15
Nom : Francois Duriez

Message par Duche »
Après revue du web, on peut dire que c'est Ok. Je le vois mais tout blanc d'habitude. Merci pour vos lumières.

A très vite.
10 messages Page 1 sur 1