Agaricus moins lambda
Ce forum permet de montrer des photos de champignons et de discuter sur leur détermination.
Attention: ces déterminations ne permettront pas une consommation des champignons !!!
Attention: ces déterminations ne permettront pas une consommation des champignons !!!
Bonsoir,
Cet agaricus sous cèdres, au cimetière ce 10 juillet. Au vu du pied, de son voile chelou, on a affaire à un volvacé je suppose. Odeur désagréable terreuse dans le pied. Anneau en chaussette. un peu vieux ici. Chapeau blanc sans mèches ni fibrilles, lisse. . Marge excédentaire un peu crémeuse. Bien mur, 8 cm max. Un autre exemplaire non prélevé et laissé à 5 cm. Lames ventrues, sérrées.
Brunit très rapidement dans le centre et et le haut du pied, à la jonction chapeau-pied, à la coupe.
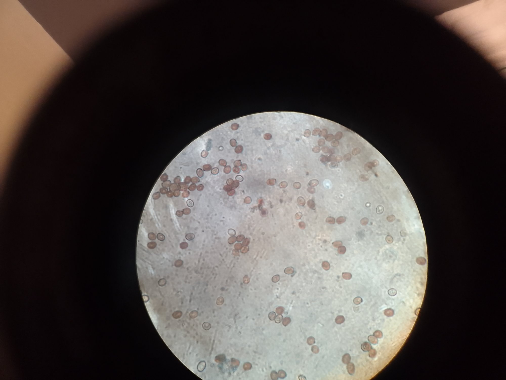
Spores subglobuleuses à ellipsoïdes, parfois ovoïdes. Taille semblable à celles de A.bisporus.
Cet agaricus sous cèdres, au cimetière ce 10 juillet. Au vu du pied, de son voile chelou, on a affaire à un volvacé je suppose. Odeur désagréable terreuse dans le pied. Anneau en chaussette. un peu vieux ici. Chapeau blanc sans mèches ni fibrilles, lisse. . Marge excédentaire un peu crémeuse. Bien mur, 8 cm max. Un autre exemplaire non prélevé et laissé à 5 cm. Lames ventrues, sérrées.
Brunit très rapidement dans le centre et et le haut du pied, à la jonction chapeau-pied, à la coupe.
Spores subglobuleuses à ellipsoïdes, parfois ovoïdes. Taille semblable à celles de A.bisporus.
Modifié en dernier par Duche le 23 juil. 2025, 14:37, modifié 1 fois.
- Plus d'infos
- Messages : 19163
- Enregistré le : 10 juin 2014, 18:06
- Nom : Fouad Ouchène
- Association : Société Mycologique de Strasbourg
- Localisation : Alsace-Vosges
- Plus d'infos
- Messages : 28479
- Enregistré le : 18 août 2017, 18:36
- Nom : François Desprès
- Association : Alès
- Localisation : Gard
- Plus d'infos
- Messages : 7416
- Enregistré le : 01 nov. 2021, 13:39
- Nom : THIERRY BLONDELLE
- Association : Association de Mycologie et de Botanique de l'Hérault et des Hauts Cantons (AMBHHC)
- Localisation : Courniou les grottes (34)_ Parc Naturel régional du Haut-Languedoc
- Plus d'infos
- Messages : 28479
- Enregistré le : 18 août 2017, 18:36
- Nom : François Desprès
- Association : Alès
- Localisation : Gard
- Plus d'infos
- Messages : 29316
- Enregistré le : 23 sept. 2011, 17:11
- Nom : Laurent Francini
- Association : LA CHANTERELLE DE VILLE-LA-GRAND
- Localisation : La Yaute - Haute-Savoie (la «vraie» Savoie) ;-)
Bonjour, c'est sans doute les vacances, mais il y a pas mal de sujets en panne depuis un petit moment, merci de faire avancer. On peut conclure, ici. 
http://www.francini-mycologie.fr/index.html • Myco-botaniste passionné! • Nikon D90 - F-S DX 18-200 mm f:3,5/5,6 G ED VRII - AF-S Nikkor 105 mm macro f:2.8 G ED - Micro Nikkor 60 mm f:2.8
Bonsoir.
Je viens de charcuter un bisporus tout à l'heure pour faire des estimations de mesures. Il rosit légèrement et sens bon. Et l'anneau est beaucoup plus haut. Pour bitorquis que je croise souvent vu mes terrains de prospections, les specimens ici ne me semblent pas assez costauds et ni l'anneau ni l'odeur ne correspondent pas non plus à ce que je vois habituellement. Avec le brunissement ochracé, la chaussette et l'odeur désagréable mais non iodoforme, je reste pour ma part sur un gennadi/pequinii. Je renomme large en sp. .
Je viens de charcuter un bisporus tout à l'heure pour faire des estimations de mesures. Il rosit légèrement et sens bon. Et l'anneau est beaucoup plus haut. Pour bitorquis que je croise souvent vu mes terrains de prospections, les specimens ici ne me semblent pas assez costauds et ni l'anneau ni l'odeur ne correspondent pas non plus à ce que je vois habituellement. Avec le brunissement ochracé, la chaussette et l'odeur désagréable mais non iodoforme, je reste pour ma part sur un gennadi/pequinii. Je renomme large en sp. .
- Plus d'infos
- Messages : 28479
- Enregistré le : 18 août 2017, 18:36
- Nom : François Desprès
- Association : Alès
- Localisation : Gard
- Plus d'infos
- Messages : 16526
- Enregistré le : 24 juil. 2006, 17:34
- Association : Association Mycologique de l'Ouest
- Localisation : Loire Atlantique, France
Bonjour tous,
j'ai souvenir d'une longue discussion sur Mycologia Europaea au sujet d'une récolte supposée de A. gennadii qui s'était finalement avérée être A. bitorquis.
A. gennadii : anneau simple, chair quasi immuable, des spores nettement elliptiques-ovales, > 7µm.
A. bitorquis : anneau double, chair rougissant assez nettement et spores subglobuleuses ou courtement ovoïdes-elliptiques, < 6,5 µm.
j'ai souvenir d'une longue discussion sur Mycologia Europaea au sujet d'une récolte supposée de A. gennadii qui s'était finalement avérée être A. bitorquis.
A. gennadii : anneau simple, chair quasi immuable, des spores nettement elliptiques-ovales, > 7µm.
A. bitorquis : anneau double, chair rougissant assez nettement et spores subglobuleuses ou courtement ovoïdes-elliptiques, < 6,5 µm.
L'amanite phalloïde a mauvaise réputation.
C'est pourtant l'un des rares champignons qui soit capable d'abréger les souffrances des myopathes.
Pierre Desproges
C'est pourtant l'un des rares champignons qui soit capable d'abréger les souffrances des myopathes.
Pierre Desproges
- Plus d'infos
- Messages : 19163
- Enregistré le : 10 juin 2014, 18:06
- Nom : Fouad Ouchène
- Association : Société Mycologique de Strasbourg
- Localisation : Alsace-Vosges
Tu veux dire cette discussion, Fifi ?
- Plus d'infos
- Messages : 16526
- Enregistré le : 24 juil. 2006, 17:34
- Association : Association Mycologique de l'Ouest
- Localisation : Loire Atlantique, France
23 juil. 2025, 11:26Fouad a écrit : Tu veux dire cette discussion, Fifi ?Bluffant... Quand on voit les photos... Effectivement, je comprends l'avis. Bitorquis sur pour vous?