Géastre
Ce forum permet de montrer des photos de champignons et de discuter sur leur détermination.
Attention: ces déterminations ne permettront pas une consommation des champignons !!!
Attention: ces déterminations ne permettront pas une consommation des champignons !!!
6 messages
Page 1 sur 1
Bonsoir,
Ce géastre. Pruine blanche sur l'endoperidium de forme un peu écrasée. Stipité. Péristome sillonée. Apophyse sans particularité. Exoperidium brun à l'extérieur avec des reliefs. Petites spores globuleuses. Sous cèdres.
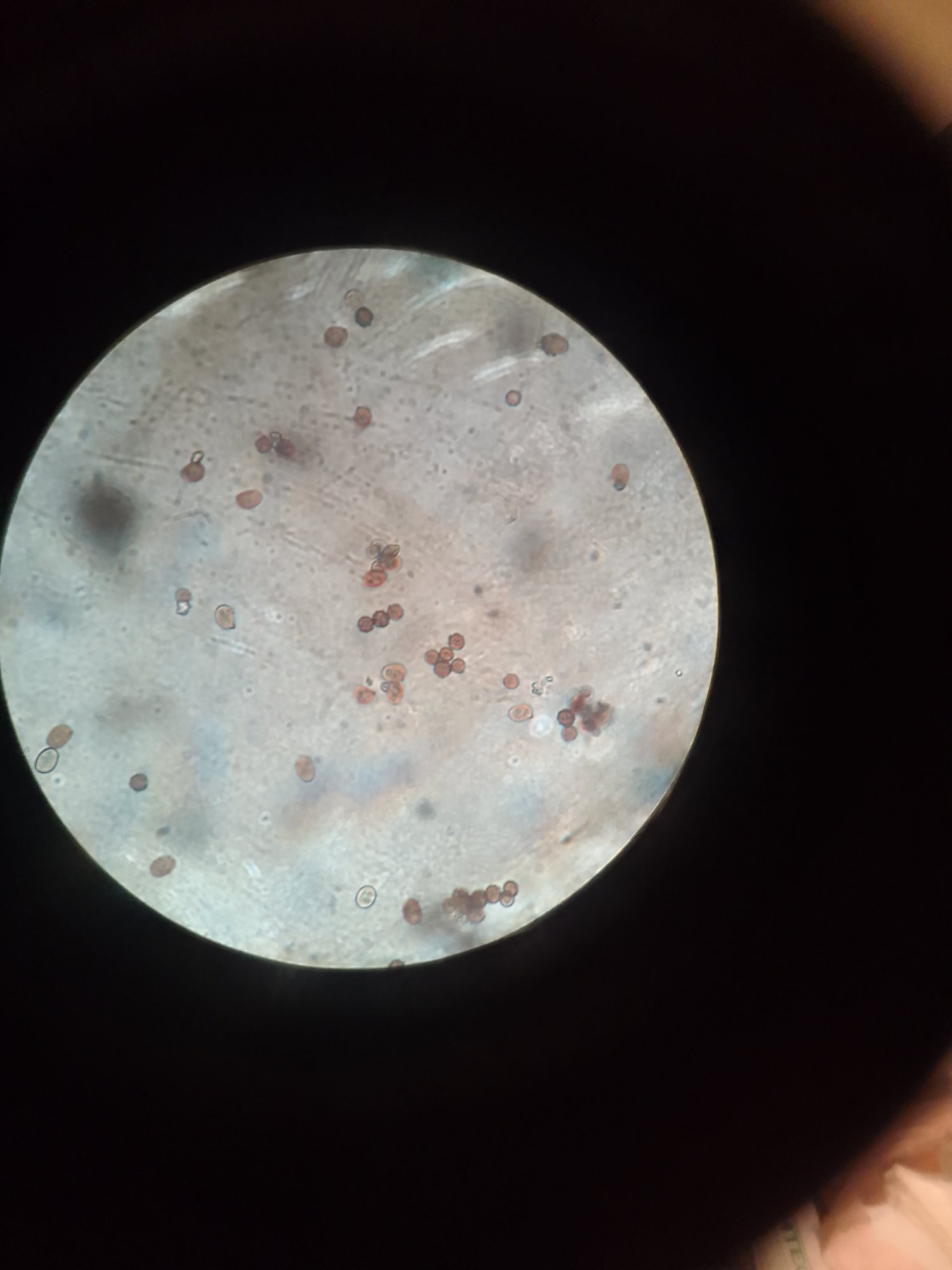
Spores du géastre avec spores d'Agaricus bisporus (5-6x6,5-7,5) pour pouvoir faire des comparaisons.
J'arrive à Geastrum striatum.
Édit: j'ai enlevé une photo trop floue et remis une autre en plus pour la taille.
Qu'en pensez vous?
À bientôt.
Ce géastre. Pruine blanche sur l'endoperidium de forme un peu écrasée. Stipité. Péristome sillonée. Apophyse sans particularité. Exoperidium brun à l'extérieur avec des reliefs. Petites spores globuleuses. Sous cèdres.
Spores du géastre avec spores d'Agaricus bisporus (5-6x6,5-7,5) pour pouvoir faire des comparaisons.
J'arrive à Geastrum striatum.
Édit: j'ai enlevé une photo trop floue et remis une autre en plus pour la taille.
Qu'en pensez vous?
À bientôt.
Modifié en dernier par Duche le 21 août 2025, 13:46, modifié 2 fois.
- Plus d'infos
- Messages : 27612
- Enregistré le : 18 août 2017, 18:36
- Nom : François Desprès
- Association : Alès
- Localisation : Gard
- Plus d'infos
- Messages : 28994
- Enregistré le : 23 sept. 2011, 17:11
- Nom : Laurent Francini
- Association : LA CHANTERELLE DE VILLE-LA-GRAND
- Localisation : La Yaute - Haute-Savoie (la «vraie» Savoie) ;-)
Bonsoir, il faut renommer...
http://www.francini-mycologie.fr/index.html • Myco-botaniste passionné! • Nikon D90 - F-S DX 18-200 mm f:3,5/5,6 G ED VRII - AF-S Nikkor 105 mm macro f:2.8 G ED - Micro Nikkor 60 mm f:2.8
- Plus d'infos
- Messages : 36615
- Enregistré le : 03 oct. 2011, 10:37
- Nom : Jean-Pierre Lachenal-Montagne
- Associations : Société Mycologique de France - Associu U Muchjinu : Société Mycologique de Porto-Vecchio
- Localisation : Paris, parfois Corse
- Plus d'infos
- Messages : 6862
- Enregistré le : 21 sept. 2011, 10:40
- Nom : Jean Pierre Raverat
- Association : Association Mycologique Féréopontaine
- Localisation : Seine Port (77)
Bonsoir,
C'est ok pour moi.
C'est ok pour moi.
Jean Pierre Raverat.
http://www.champignons77.org/
http://www.champignons77.org/
6 messages
Page 1 sur 1