Des merles encore

Ce forum permet de montrer des photos de champignons et de discuter sur leur détermination.

Attention: ces déterminations ne permettront pas une consommation des champignons !!!
19 messages Page 1 sur 2

Duche

Messages : 1008
Enregistré le : 14 juil. 2020, 12:15
Nom : Francois Duriez

Message par Duche »
Bonjour à tous,

Je vous demande votre avis sur ceux-là avec un petit délai de 24 h avant avis, histoire que je cherche un peu.

Toujours rien ou presque sur mes spots urbains.

Ces petits ascos, en coupe, discoïde, entre 1 et 2,5 mm de diamètre, d'un noir profond. Hyménium lisse. Poilu à l'extérieur. Poils visibles au micro apparaissant brun très légèrement rougeâtre. Sur bois de tronc assez fraîchement brisé, donc décortiqué, à peine ramolli par le début de décomposition et l'humidité. Détachables relativement aisément. Un pionnier de décomposition du bois?

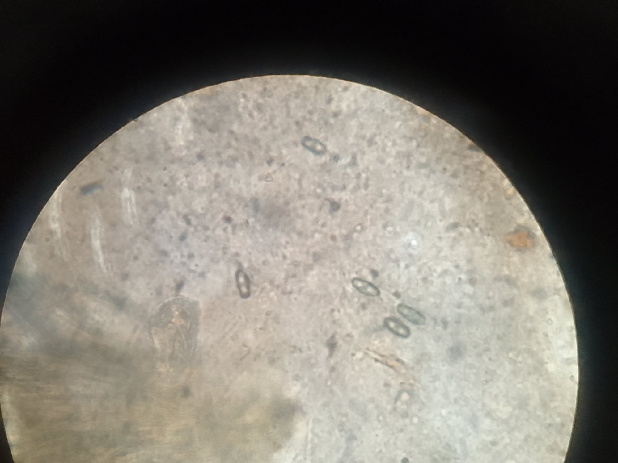
Spores matures allongées, un peu en forme d'étrons, pas très régulières apparaissant brunâtres grisatres. Spores témoins d'Agaricus bisporus sur les premières photos. 2 observations. Spores matures après dépôt d'une nuit. Et spores immatures observées après charcutage d'un ascome. Spores immaturesde même forme mais toutes biguttulées.

Asques octosporiques, assez comprimés.
Paraphyses filiformes un peu plus fines que les asques. De taille similaire. Parfois (pas toujours) légèrement plus larges vers l'apex.

En espérant que la description et les photos vous satisferont.

Je vais de ce pas faire un tour à Lomme en espérant ne pas faire chou blanc vous ramener quelques casses-neurones.

À bientôt
Fichiers joints
Macro
Macro

Macro
Macro

Macro
Macro

Spores et témoins
Spores et témoins

Spores et témoins
Spores et témoins
Modifié en dernier par Duche le 27 juin 2025, 07:33, modifié 1 fois.

Duche

Messages : 1008
Enregistré le : 14 juil. 2020, 12:15
Nom : Francois Duriez

Message par Duche »
Suite micro
Fichiers joints
Spores avec témoins
Spores avec témoins

Au x10, asques, paraphyses et poils
Au x10, asques, paraphyses et poils

Paraphyses
Paraphyses

Spores immatures
Spores immatures

Asques
Asques

Nommo

Avatar du membre
Messages : 28708
Enregistré le : 18 août 2017, 18:36
Nom : François Desprès
Association : Alès
Localisation : Gard

Message par Nommo »
Bonjour Duche,

Une allure de Pachyella ?
J’échangerais bien tout ce que je sais contre un pour cent de ce que je ne sais pas. ( Pierre Neville )

LOUP

Avatar du membre
Messages : 561
Enregistré le : 23 janv. 2025, 12:47
Localisation : Dijon (Côte d'Or)

Message par LOUP »
Bonjour Duche,
Pourrait-on avoir une photo de la face infère de ce champignon pour savoir s'il est pédiculé ou sessile et également voir s'il est aussi poilu en dessous qu'à la marge

LOUP

Avatar du membre
Messages : 561
Enregistré le : 23 janv. 2025, 12:47
Localisation : Dijon (Côte d'Or)

Message par LOUP »
10 juin 2025, 12:36Nommo a écrit :
Une allure de Pachyella ?
Je penche plutôt pour le genre Trichosphaeria, étymologiquement "boule de poils"
Comme demandé je laisse Duche chercher un peu avant d'avancer un nom

Nommo

Avatar du membre
Messages : 28708
Enregistré le : 18 août 2017, 18:36
Nom : François Desprès
Association : Alès
Localisation : Gard

Message par Nommo »
Tu as sans doute raison LOUP, je n’ai pas prêté attention à la taille des apothécies beaucoup trop petites pour des Pachyella !
J’échangerais bien tout ce que je sais contre un pour cent de ce que je ne sais pas. ( Pierre Neville )

Terradoc

Messages : 7584
Enregistré le : 01 nov. 2021, 13:39
Nom : THIERRY BLONDELLE
Association : Association de Mycologie et de Botanique de l'Hérault et des Hauts Cantons (AMBHHC)
Localisation : Courniou les grottes (34)_ Parc Naturel régional du Haut-Languedoc

Message par Terradoc »
Trichosphaeria est un genre à périthèces et non à apothécies.

LOUP

Avatar du membre
Messages : 561
Enregistré le : 23 janv. 2025, 12:47
Localisation : Dijon (Côte d'Or)

Message par LOUP »
Bonjour Terradoc,
Je ne vois pas exactement quelles sont les différences entre périthèces et apothécies en consultant mon dictionnaire mycologique.
Peux-tu nous l'expliquer en détail, merci.

Nommo

Avatar du membre
Messages : 28708
Enregistré le : 18 août 2017, 18:36
Nom : François Desprès
Association : Alès
Localisation : Gard

Message par Nommo »
10 juin 2025, 14:51Terradoc a écrit :
Trichosphaeria est un genre à périthèces et non à apothécies.
Décidément c’est pas ma journée aujourd’hui, je réalise un festival de conneries.
Je vais rester coi sur ce sujet ça m’évitera d’en dire davantage.
J’échangerais bien tout ce que je sais contre un pour cent de ce que je ne sais pas. ( Pierre Neville )

Terradoc

Messages : 7584
Enregistré le : 01 nov. 2021, 13:39
Nom : THIERRY BLONDELLE
Association : Association de Mycologie et de Botanique de l'Hérault et des Hauts Cantons (AMBHHC)
Localisation : Courniou les grottes (34)_ Parc Naturel régional du Haut-Languedoc

Message par Terradoc »
Chez les Ascomycètes, il y a deux grands groupes:
- Les Pyrénomycètes dont la fructification est un périthèce. C'est généralement une structure coriace, noire, multiforme qui se développe à la surface du substrat ou immergée. Elle contient la partie fertile dans un stroma et libère les spores à l'extérieur par un ostiole.
- Les Discomycètes dont la fructification est une apothécie en forme de coupe plus ou moins évasée, stipitée ou non. Elle porte la partie fertile ou hyménium qui libère directement les spores à maturité dans le milieu extérieur.
Ces deux fructifications sont largement documentées sur internet.

Fouad

Avatar du membre
Messages : 19273
Enregistré le : 10 juin 2014, 18:06
Nom : Fouad Ouchène
Association : Société Mycologique de Strasbourg
Localisation : Alsace-Vosges

Message par Fouad »
Bonjour,
Pas grand chose à dire, juste pour les spores témoins d'Agaric, il faudrait peut-être préciser quelque chose comme ceci : Spores de comparaison (Agaricus bisporus) largeur = 5 µ.

Duche

Messages : 1008
Enregistré le : 14 juil. 2020, 12:15
Nom : Francois Duriez

Message par Duche »
Bonsoir,

Merci pour vos idées. J'étais en exploration et pas sur de bonnes pistes dans un rayon que j'explore pour la première fois, via myco Db et un peu Ascofrance. J'ai regardé les Durella, Rhizodiscina, Dactylospora et rien ne collait. Spores non bisériées, non septées, non cintrées et poils proéminents ici sur mes specimens. Je vais essayer de répondre à la demande de LOUP. Je vais regarder vos propositions, avec ce que je peux voir sur le web. Vous pouvez y aller avec les propositions d'identification. Les genres que vous citez Pachyella et Trichosphaeria me sont inconnus. Merci pour le partage de connaissances.

Je ne peux vous proposer que des trucs comme cela car le sol reste très sec dans le Nord-Pas-de-Calais. Ma sortie ce jour était très décevante.

À très vite et encore merci

Duche

Messages : 1008
Enregistré le : 14 juil. 2020, 12:15
Nom : Francois Duriez

Message par Duche »
Bonjour à tous,

Pas de pied visible. Et les poils semblent seulement présents sur la marge. Je peux pas faire beaucoup mieux avec mon smarphone.
Fichiers joints
IMG_20250611_064058.jpg

LOUP

Avatar du membre
Messages : 561
Enregistré le : 23 janv. 2025, 12:47
Localisation : Dijon (Côte d'Or)

Message par LOUP »
Bonjour Terradoc,
Le champignon de Duche est-il donc un genre à périthèces aux vues sa dernière photo ?
Cordialement

Terradoc

Messages : 7584
Enregistré le : 01 nov. 2021, 13:39
Nom : THIERRY BLONDELLE
Association : Association de Mycologie et de Botanique de l'Hérault et des Hauts Cantons (AMBHHC)
Localisation : Courniou les grottes (34)_ Parc Naturel régional du Haut-Languedoc

Message par Terradoc »
11 juin 2025, 14:03LOUP a écrit :
Bonjour Terradoc,
Le champignon de Duche est-il donc un genre à périthèces aux vues sa dernière photo ?
Cordialement
Bonjour,
Il y a des photos sur lesquelles il est difficile de se prononcer, celle-ci en l'occurence. Les premières étaient bien meilleures.
19 messages Page 1 sur 2