Melanoleuca decembris ?
Ce forum permet de montrer des photos de champignons et de discuter sur leur détermination.
Attention: ces déterminations ne permettront pas une consommation des champignons !!!
Attention: ces déterminations ne permettront pas une consommation des champignons !!!
10 messages
Page 1 sur 1
Bonjour à tous :)
En bourgogne pour quelques jours, j'écume les forêts depuis mon arrivée..
Sous de gros chênes, ce champignon très sombre ;
-stipe de 9x0,8cm, base bulbeuse 2cm
-odeur acide (vinaigre ?)
-goût passable...
Si je fais fi des conifères, cela m'amène à : Melanoleuca decembris
Qu'en pensez-vous ?
Merci de vos réponses :)
L
En bourgogne pour quelques jours, j'écume les forêts depuis mon arrivée..
Sous de gros chênes, ce champignon très sombre ;
-stipe de 9x0,8cm, base bulbeuse 2cm
-odeur acide (vinaigre ?)
-goût passable...
Si je fais fi des conifères, cela m'amène à : Melanoleuca decembris
Qu'en pensez-vous ?
Merci de vos réponses :)
L
Fichiers joints
genre_espece_divers.JPG (242.09 Kio) Vu 1370 fois
Merci Albert :)
Regis dit : "en forêt, surtout de conifères" il ne dit pas "essentiellement sous conifères"... Macroscopiquement, le mien tient la route n'est-ce pas ?
80 espèces dans ce genre ? pouahhhhhhh, bon je m'attèle à la micro plus tard, je suis attendue pour diner.
Regis dit : "en forêt, surtout de conifères" il ne dit pas "essentiellement sous conifères"... Macroscopiquement, le mien tient la route n'est-ce pas ?
80 espèces dans ce genre ? pouahhhhhhh, bon je m'attèle à la micro plus tard, je suis attendue pour diner.
Tu vas trouver des cheilocystides sur l'arête (à prendre prés du pied), cela aura au moins l'avantage d'exclure M.decembris. Les Melano sont rarement
se que l'on pense en les cueillant... Si tu n'en vois pas, regarde une deuxième fois, c'est trés facile de ne pas en voir...
Pour les Melanoleuca, c'est bon de faire une coupe du champignon (couleur de la chair) et de regarder si le haut du pied est poudré ou non, 2 détails
importants ...
Michel
se que l'on pense en les cueillant... Si tu n'en vois pas, regarde une deuxième fois, c'est trés facile de ne pas en voir...
Pour les Melanoleuca, c'est bon de faire une coupe du champignon (couleur de la chair) et de regarder si le haut du pied est poudré ou non, 2 détails
importants ...
Michel
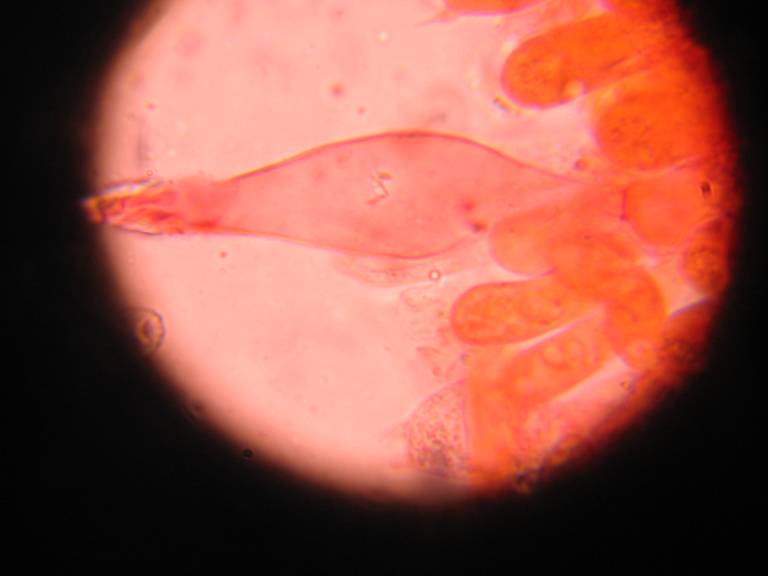
Bonjour tous :)
ci-joint donc, désolée de la qualité...
-basides tétra jusqu'à 31,2x5,2µ
-spores piquetées : 5,7x4µ ; 6,3x4,5µ ; 6,8X4µ
-cystides : 45,1x13,5µ ; 48,7x11,7µ ; 50,4x12µ
Michel, je regarderai tout à l'heure le haut du pied, car j'ai oublié ma loupe la-bas et je posterai une coupe, mais j'attends la lumière du jour
merci à vous :)
L
ci-joint donc, désolée de la qualité...
-basides tétra jusqu'à 31,2x5,2µ
-spores piquetées : 5,7x4µ ; 6,3x4,5µ ; 6,8X4µ
-cystides : 45,1x13,5µ ; 48,7x11,7µ ; 50,4x12µ
Michel, je regarderai tout à l'heure le haut du pied, car j'ai oublié ma loupe la-bas et je posterai une coupe, mais j'attends la lumière du jour
merci à vous :)
L
un AR vite fait pour shooter à nouveau, car celui que j'avais pris a été tellement trituré... donc, vierges, enfin presque.
Pour aller dans le sens de Michel, je pense que le haut est poudré, ci joint selon ta demande. En revanche, je m'aperçois que les spores sont petites ? Ou bien je me suis plantée ? Je referai tout à l'heure LA micro. J'ai oublié de préciser que le chapeau de la premiere photo faisait 7cm .
A votre avis ?
Bon, c'est l'apéro, à plus tard :)
Merci,
L
édit : furfuracé non ? enfin, me semble...
Pour aller dans le sens de Michel, je pense que le haut est poudré, ci joint selon ta demande. En revanche, je m'aperçois que les spores sont petites ? Ou bien je me suis plantée ? Je referai tout à l'heure LA micro. J'ai oublié de préciser que le chapeau de la premiere photo faisait 7cm .
A votre avis ?
Bon, c'est l'apéro, à plus tard :)
Merci,
L
édit : furfuracé non ? enfin, me semble...
Fichiers joints
01 nov 2010 1-redim480.jpg (16.09 Kio) Vu 1283 fois
01 nov 2010 2-redim480.jpg (20.38 Kio) Vu 1283 fois
Je suppose que je dois te répondre maintenant ? j'ai du mal à décréter une détermination, surtout lorsque l'on a affaire à une Melanoleuca. Cela peut
être le résultat d'une longue maturation, avec plusieurs récoltes, plusieurs comparaisons avec des espèces similaires, en plus je n'ai rien du spécialiste
Melanoleuca !.. C'est pas M.decembris ! On a des macrocystides : vu les informations on ne doit pas être loin du groupe melaleuca-polioleuca.
Aprés tu dois prendre tes responsabilités ! d'autres avis seront bienvenus aussi ...
Michel
être le résultat d'une longue maturation, avec plusieurs récoltes, plusieurs comparaisons avec des espèces similaires, en plus je n'ai rien du spécialiste
Melanoleuca !.. C'est pas M.decembris ! On a des macrocystides : vu les informations on ne doit pas être loin du groupe melaleuca-polioleuca.
Aprés tu dois prendre tes responsabilités ! d'autres avis seront bienvenus aussi ...
Michel
Merci Michel pour ces infos :).
Je lis et relis la florule d'Alain Gerault, j'en ai mal aux yeux ;p et jarrive à la sect/ vulgarinae ; j'élimine melaleuca car il est dit qu'il pâlit en chamois en séchant, ce n'est pas le cas ; umbrinella n'en parlons pas, reste donc polioleuca, qui pourrait correspondre, car tous les ans, en avril, des ballots de paille sont déposés à cet endroit et souvent, il reste de paille lors de l'enlèvement deux mois après, donc, pourrissement... Maintenant, je ne peux pas dire avec certitude que c'est polioleuca.
Comme toi, d'autres avis seraient bienvenus ;)
merci
L
Je lis et relis la florule d'Alain Gerault, j'en ai mal aux yeux ;p et jarrive à la sect/ vulgarinae ; j'élimine melaleuca car il est dit qu'il pâlit en chamois en séchant, ce n'est pas le cas ; umbrinella n'en parlons pas, reste donc polioleuca, qui pourrait correspondre, car tous les ans, en avril, des ballots de paille sont déposés à cet endroit et souvent, il reste de paille lors de l'enlèvement deux mois après, donc, pourrissement... Maintenant, je ne peux pas dire avec certitude que c'est polioleuca.
Comme toi, d'autres avis seraient bienvenus ;)
merci
L
- Plus d'infos
- Messages : 3504
- Enregistré le : 24 juin 2008, 19:51
Polioleuca possible, en effet. Difficile d'en dire plus...
Biologie fongique - Expertises (Dr. Guillaume Eyssartier)
10 messages
Page 1 sur 1