Il fait des bulles
Rubrique pour apprendre en s'amusant. On poste des photos de champignons déjà déterminés sans en donner le nom...
- Plus d'infos
- Messages : 7519
- Enregistré le : 21 sept. 2011, 10:40
- Nom : Jean Pierre Raverat
- Association : Association Mycologique Féréopontaine
- Localisation : Seine Port (77)
Sur une bûche.
Modifié en dernier par Jean Pierre le 13 avr. 2026, 21:59, modifié 1 fois.
Jean Pierre Raverat.
http://www.champignons77.org/
http://www.champignons77.org/
- Plus d'infos
- Messages : 7519
- Enregistré le : 21 sept. 2011, 10:40
- Nom : Jean Pierre Raverat
- Association : Association Mycologique Féréopontaine
- Localisation : Seine Port (77)
09 avr. 2026, 22:49Nommo a écrit : Un ordre de 1840 ?J'ai pas ça, mais si tu m'a donné cet ordre en 1840, j'ai du oublier
Jean Pierre Raverat.
http://www.champignons77.org/
http://www.champignons77.org/
- Plus d'infos
- Messages : 11998
- Enregistré le : 29 nov. 2010, 18:43
- Nom : Richard Valeri
- Association : S.M.B.L.A./A.M.H.A/S.M.F.
- Localisation : puy de dôme-montagne thiernoise
Genre de 1816 ?
- Plus d'infos
- Messages : 7519
- Enregistré le : 21 sept. 2011, 10:40
- Nom : Jean Pierre Raverat
- Association : Association Mycologique Féréopontaine
- Localisation : Seine Port (77)
09 avr. 2026, 23:32Richmond63 a écrit : Genre de 1816 ?Presque.
Jean Pierre Raverat.
http://www.champignons77.org/
http://www.champignons77.org/
- Plus d'infos
- Messages : 11998
- Enregistré le : 29 nov. 2010, 18:43
- Nom : Richard Valeri
- Association : S.M.B.L.A./A.M.H.A/S.M.F.
- Localisation : puy de dôme-montagne thiernoise
I.F. et MycoDB ne sont pas tout à fait sur la même longueur d'onde. 
- Plus d'infos
- Messages : 7519
- Enregistré le : 21 sept. 2011, 10:40
- Nom : Jean Pierre Raverat
- Association : Association Mycologique Féréopontaine
- Localisation : Seine Port (77)
Bonjour Montama.
10 avr. 2026, 11:39Montama a écrit : Bonjour,Il n'y a pas d'asco, ce sont simplement de jeunes exemplaires.
La photo est sur Mycodb (2020)
en compagnie d'un asco, peut-être Bisporella sulfurina...
Jean Pierre Raverat.
http://www.champignons77.org/
http://www.champignons77.org/
10 avr. 2026, 11:51Jean Pierre a écrit : Bonjour Montama.Oups ! Au temps pour moi10 avr. 2026, 11:39Montama a écrit : Bonjour,Il n'y a pas d'asco, ce sont simplement de jeunes exemplaires.
La photo est sur Mycodb (2020)
en compagnie d'un asco, peut-être Bisporella sulfurina...
- Plus d'infos
- Messages : 38781
- Enregistré le : 03 oct. 2011, 10:37
- Nom : Jean-Pierre Lachenal-Montagne
- Associations : Société Mycologique de France - Associu U Muchjinu : Société Mycologique de Porto-Vecchio
- Localisation : Paris, parfois Corse
Je n'avais pas cherché mais la mention "il n'y a pas d'asco" m'a permis de m'orienter rapidement vers les basidios ascoïdes.
Effectivement la photo est sur MycoDB. Parmi les basidiés en diapason, c'en est un dont je n'avais jamais entendu parler (je ne dois pas être le seul). Une épithète en "vrai latin" qu'il est le seul de tous les Fungi à porter et qui signifie "né, élevé, sorti, poussé". Pourquoi ? Je potasserai plus tard.
Jplm
Effectivement la photo est sur MycoDB. Parmi les basidiés en diapason, c'en est un dont je n'avais jamais entendu parler (je ne dois pas être le seul). Une épithète en "vrai latin" qu'il est le seul de tous les Fungi à porter et qui signifie "né, élevé, sorti, poussé". Pourquoi ? Je potasserai plus tard.
Jplm
Jean-Pierre Lachenal-Montagne
- Plus d'infos
- Messages : 7519
- Enregistré le : 21 sept. 2011, 10:40
- Nom : Jean Pierre Raverat
- Association : Association Mycologique Féréopontaine
- Localisation : Seine Port (77)
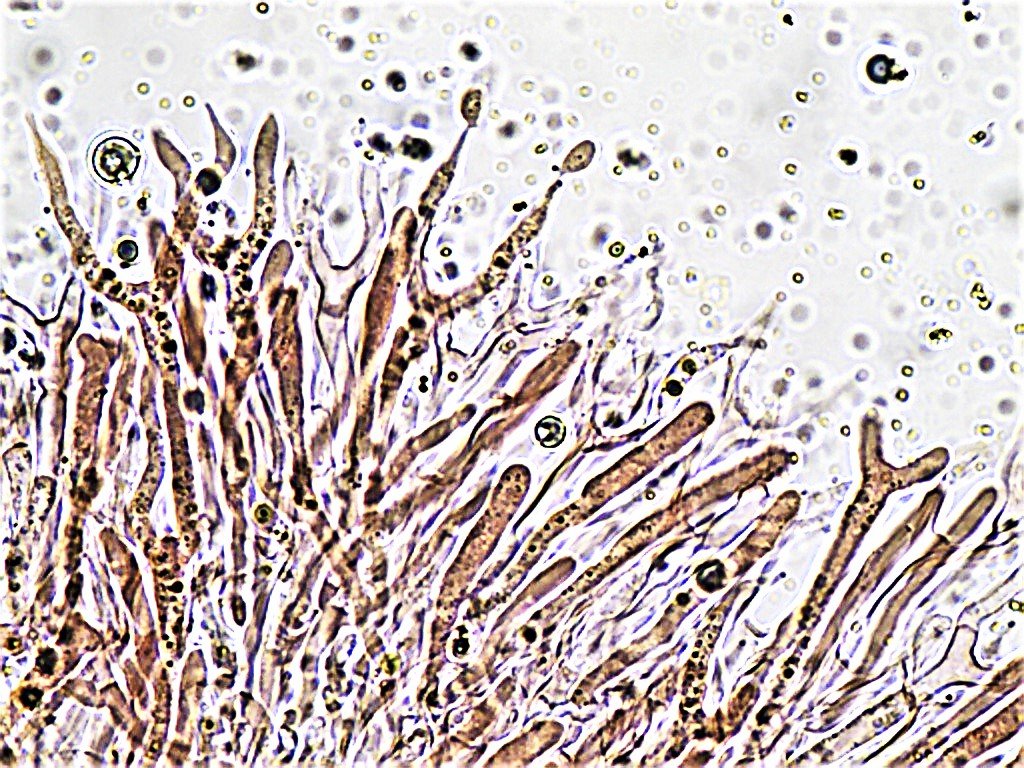
Je pense que tout le monde est d'accord sur cette jolie espèce.
En attendant un volontaire pour la nommer clairement, je rajoute la micro.
En attendant un volontaire pour la nommer clairement, je rajoute la micro.
Jean Pierre Raverat.
http://www.champignons77.org/
http://www.champignons77.org/
- Plus d'infos
- Messages : 38781
- Enregistré le : 03 oct. 2011, 10:37
- Nom : Jean-Pierre Lachenal-Montagne
- Associations : Société Mycologique de France - Associu U Muchjinu : Société Mycologique de Porto-Vecchio
- Localisation : Paris, parfois Corse
- Plus d'infos
- Messages : 29364
- Enregistré le : 18 août 2017, 18:36
- Nom : François Desprès
- Association : Alès
- Localisation : Gard
- Plus d'infos
- Messages : 38781
- Enregistré le : 03 oct. 2011, 10:37
- Nom : Jean-Pierre Lachenal-Montagne
- Associations : Société Mycologique de France - Associu U Muchjinu : Société Mycologique de Porto-Vecchio
- Localisation : Paris, parfois Corse
- Plus d'infos
- Messages : 7519
- Enregistré le : 21 sept. 2011, 10:40
- Nom : Jean Pierre Raverat
- Association : Association Mycologique Féréopontaine
- Localisation : Seine Port (77)
11 avr. 2026, 19:51Jplm a écrit : Tu peux nous dire en deux mots ce qui le distingue de ses voisins ?Une pousse coalescente, une teinte plus terne, spores à 2 ou 3 cloisons, absence de pied ou d'ébauche de pied, présence de boucles.
Les autres peuvent aussi avoir certains de ces caractères, mais jamais l'ensemble.
Je rajoute une photo en gros plan où l'hyménium prend un aspect poudré à maturité.
Jean Pierre Raverat.
http://www.champignons77.org/
http://www.champignons77.org/