Stéréoïde

Ce forum permet de montrer des photos de champignons et de discuter sur leur détermination.

Attention: ces déterminations ne permettront pas une consommation des champignons !!!
41 messages Page 2 sur 3

Duche

Messages : 1008
Enregistré le : 14 juil. 2020, 12:15
Nom : Francois Duriez

Message par Duche »
C'est fort possible. J'ai encore la lame. Je vais retenter quelques photos.

Duche

Messages : 1008
Enregistré le : 14 juil. 2020, 12:15
Nom : Francois Duriez

Message par Duche »
C'est pas bien barraqué comme spores tout de même.
Fichiers joints
IMG_20250627_185922~2.jpg
IMG_20250627_190101~2.jpg
IMG_20250627_191913.jpg

Fouad

Avatar du membre
Messages : 19655
Enregistré le : 10 juin 2014, 18:06
Nom : Fouad Ouchène
Association : Société Mycologique de Strasbourg
Localisation : Alsace-Vosges

Message par Fouad »
Cela va être difficile, même une estimation. Tu avais une belle sporée et nous voilà avec trois quatre spores !
Néanmoins, on peut dire que tes spores font environ 5-7 x 2-2,5 µ.

Edit: Stereum ochraceoflavum irait bien. A faire confirmer par nos aficionados ?

Nommo En ligne

Avatar du membre
Messages : 29185
Enregistré le : 18 août 2017, 18:36
Nom : François Desprès
Association : Alès
Localisation : Gard

Message par Nommo »
67DA0CA3-69F5-40F8-8299-E492000B412A.jpeg
67DA0CA3-69F5-40F8-8299-E492000B412A.jpeg (104.87 Kio) Vu 905 fois
Bonjour à toutes et à tous,

Voilà des départs de Stereum ochraceoflavum .
J’aime l’aspect pelliculaire que je ne retrouve pas sur les exemplaires de Duche.
J’échangerais bien tout ce que je sais contre un pour cent de ce que je ne sais pas. ( Pierre Neville )

Fouad

Avatar du membre
Messages : 19655
Enregistré le : 10 juin 2014, 18:06
Nom : Fouad Ouchène
Association : Société Mycologique de Strasbourg
Localisation : Alsace-Vosges

Message par Fouad »
Bonjour Nommo,
Néanmoins, on retrouve les scrobicules que tu avais bien photographiés ici.

Nommo En ligne

Avatar du membre
Messages : 29185
Enregistré le : 18 août 2017, 18:36
Nom : François Desprès
Association : Alès
Localisation : Gard

Message par Nommo »
29 juin 2025, 10:31Fouad a écrit :
Bonjour Nommo,
Néanmoins, on retrouve les scrobicules que tu avais bien photographiés ici.
Salut Fouad,

C’est vrai mais je ne le reconnais pas complètement dans les exemplaires proposés.
Je ne prétends pas pour autant que ce n’est pas lui.
J’échangerais bien tout ce que je sais contre un pour cent de ce que je ne sais pas. ( Pierre Neville )

Fouad

Avatar du membre
Messages : 19655
Enregistré le : 10 juin 2014, 18:06
Nom : Fouad Ouchène
Association : Société Mycologique de Strasbourg
Localisation : Alsace-Vosges

Message par Fouad »
En admettant que la récolte de François Duriez ait été faite en pleine sécheresse, et dès lors qu'on m'autorise cette petite correction chromatique, alors on ne devrait pas être complètement à l'ouest ?
Photo de François Desprès. Vignette de François Duriez
Photo de François Desprès. Vignette de François Duriez

Nommo En ligne

Avatar du membre
Messages : 29185
Enregistré le : 18 août 2017, 18:36
Nom : François Desprès
Association : Alès
Localisation : Gard

Message par Nommo »
En admettant que la récolte de François Duriez ait été faite en pleine sécheresse, et dès lors qu'on m'autorise cette petite correction chromatique, alors on ne devrait pas être complètement à l'ouest ?

Ça doit être correct.
J’échangerais bien tout ce que je sais contre un pour cent de ce que je ne sais pas. ( Pierre Neville )

Duche

Messages : 1008
Enregistré le : 14 juil. 2020, 12:15
Nom : Francois Duriez

Message par Duche »
Rebonsoir,

Rerécolté hier et refait sporuler 36h. Photos mieux avec spores témoins d'Agaricus bisporus.
Fichiers joints
IMG_20250701_084021.jpg
IMG_20250701_084248.jpg
IMG_20250702_223203.jpg
IMG_20250702_223337.jpg
IMG_20250702_223412.jpg

Fouad

Avatar du membre
Messages : 19655
Enregistré le : 10 juin 2014, 18:06
Nom : Fouad Ouchène
Association : Société Mycologique de Strasbourg
Localisation : Alsace-Vosges

Message par Fouad »
Spores environ : 6-7 x 3,5 µ. Trop trapues pour ochraceoflavum d'après moi.
Il faut faire une micro plus précise.

Duche

Messages : 1008
Enregistré le : 14 juil. 2020, 12:15
Nom : Francois Duriez

Message par Duche »
Merci Fouad. Je vais herboriser un peu et je m'y remets dessus en rentrant.

Castor74

Avatar du membre
Messages : 29851
Enregistré le : 23 sept. 2011, 17:11
Nom : Laurent Francini
Association : LA CHANTERELLE DE VILLE-LA-GRAND
Localisation : La Yaute - Haute-Savoie (la «vraie» Savoie) ;-)
Site Internet

Message par Castor74 »
Bonjour, des nouvelles ?
http://www.francini-mycologie.fr/index.htmlMyco-botaniste passionné!Nikon D90 - F-S DX 18-200 mm f:3,5/5,6 G ED VRII - AF-S Nikkor 105 mm macro f:2.8 G ED - Micro Nikkor 60 mm f:2.8

Duche

Messages : 1008
Enregistré le : 14 juil. 2020, 12:15
Nom : Francois Duriez

Message par Duche »
Bonjour à tous,

Je ne suis pas arrivé à grand chose.

A très vite
Fichiers joints
IMG_20250704_141855.jpg
IMG_20250704_142012.jpg
IMG_20250704_141754.jpg
IMG_20250704_142014.jpg
IMG_20250704_141827.jpg

Fouad

Avatar du membre
Messages : 19655
Enregistré le : 10 juin 2014, 18:06
Nom : Fouad Ouchène
Association : Société Mycologique de Strasbourg
Localisation : Alsace-Vosges

Message par Fouad »
Bonjour,
S'il te reste du matériel, je peux essayer de regarder.

Fouad

Avatar du membre
Messages : 19655
Enregistré le : 10 juin 2014, 18:06
Nom : Fouad Ouchène
Association : Société Mycologique de Strasbourg
Localisation : Alsace-Vosges

Message par Fouad »
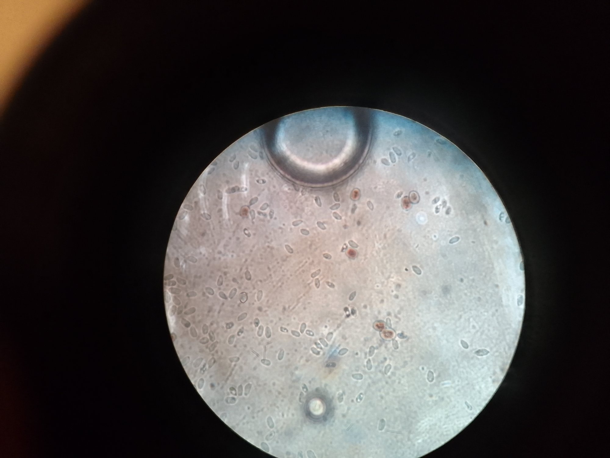
Bonsoir,
J'ai reçu la stérée de François ce matin. Je l'ai mise à sporuler. Voici la micro des spores et l'hyménium très rapidement de ce soir.
Dessus hirsute. Pas d'exsudation à la coupure de l'hyménium.
Spores amyloïdes sans surprise : 5-6,5 x 2,5-3,5 µ.
Pas d'acanthophyses. Pseudocystides clavées, subulées et parfois mucronées.
Il s'agit de Stereum hirsutum pâle.
sp mlz-003.jpg
hymen.jpg
41 messages Page 2 sur 3