Grisâtre

Rubrique pour apprendre en s'amusant. On poste des photos de champignons déjà déterminés sans en donner le nom...
12 messages Page 1 sur 1

Y.Courtieu

Avatar du membre
Messages : 36091
Enregistré le : 28 oct. 2012, 18:14
Localisation : Haute-Savoie
Site Internet

Message par Y.Courtieu »
Bonsoir
Réponses demain matin, je suis occupé toute la soirée.
Fichiers joints
DSC01961.JPG
Yves
UN CORPS FROID NE PEUT PAS CHAUFFER UN CORPS CHAUD

Une Science qui baillonne ses contradicteurs ne mérite pas le nom de science.

Nommo

Avatar du membre
Messages : 28531
Enregistré le : 18 août 2017, 18:36
Nom : François Desprès
Association : Alès
Localisation : Gard

Message par Nommo »
Bonsoir Yves,

Couleur de la sporée, stp.
J’échangerais bien tout ce que je sais contre un pour cent de ce que je ne sais pas. ( Pierre Neville )

ustal

Avatar du membre
Messages : 2745
Enregistré le : 18 août 2014, 18:01
Localisation : Mayenne - Pays de la Loire

Message par ustal »
Bonjour!
Clitocybes sans doute?

Jplm

Avatar du membre
Messages : 37415
Enregistré le : 03 oct. 2011, 10:37
Nom : Jean-Pierre Lachenal-Montagne
Associations : Société Mycologique de France - Associu U Muchjinu : Société Mycologique de Porto-Vecchio
Localisation : Paris, parfois Corse

Message par Jplm »
Bonsoir?

Et odeur tant qu'on y est.

Merci,

Jplm
Jean-Pierre Lachenal-Montagne

Y.Courtieu

Avatar du membre
Messages : 36091
Enregistré le : 28 oct. 2012, 18:14
Localisation : Haute-Savoie
Site Internet

Message par Y.Courtieu »
Bonjour,
Voci mes répisnes :
- sporée blanche.
- Genre Clitocybe, oui.
- Odeur et saveur farineuses.
Yves
UN CORPS FROID NE PEUT PAS CHAUFFER UN CORPS CHAUD

Une Science qui baillonne ses contradicteurs ne mérite pas le nom de science.

Ghislaine

Messages : 16951
Enregistré le : 07 sept. 2010, 15:25
Localisation : Forêt du jorat, Lausanne suisse.

Message par Ghislaine »
Bonjour.
Cela fait beaucoup de candidats possible, je pense à C.d. ? avec beaucoup de doutes.
"L'ignorant affirme,
le savant doute,
le sage réfléchit.
Aristote

Nommo

Avatar du membre
Messages : 28531
Enregistré le : 18 août 2017, 18:36
Nom : François Desprès
Association : Alès
Localisation : Gard

Message par Nommo »
Je pensais effectivement à un Clitocybe mais un chapeau m’interpellait avec un aspect de Rhodocybe, c’est pourquoi j’ai voulu me sécuriser en demandant la couleur de la sporée.
J’échangerais bien tout ce que je sais contre un pour cent de ce que je ne sais pas. ( Pierre Neville )

Y.Courtieu

Avatar du membre
Messages : 36091
Enregistré le : 28 oct. 2012, 18:14
Localisation : Haute-Savoie
Site Internet

Message par Y.Courtieu »
02 oct. 2021, 08:48Ghislaine a écrit :
Bonjour.
Cela fait beaucoup de candidats possibles
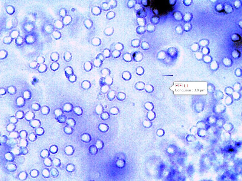
Pour sérier les candidats en question, voici les spores :
Fichiers joints
Capture_9.jpg
Yves
UN CORPS FROID NE PEUT PAS CHAUFFER UN CORPS CHAUD

Une Science qui baillonne ses contradicteurs ne mérite pas le nom de science.

Ghislaine

Messages : 16951
Enregistré le : 07 sept. 2010, 15:25
Localisation : Forêt du jorat, Lausanne suisse.

Message par Ghislaine »
J'arrive encore à C.d.?
"L'ignorant affirme,
le savant doute,
le sage réfléchit.
Aristote

Y.Courtieu

Avatar du membre
Messages : 36091
Enregistré le : 28 oct. 2012, 18:14
Localisation : Haute-Savoie
Site Internet

Message par Y.Courtieu »
02 oct. 2021, 10:14Ghislaine a écrit :
J'arrive encore à C.d.?
Moi aussi :grandsourire:
Yves
UN CORPS FROID NE PEUT PAS CHAUFFER UN CORPS CHAUD

Une Science qui baillonne ses contradicteurs ne mérite pas le nom de science.

Montama

Messages : 7531
Enregistré le : 09 août 2017, 19:15
Localisation : Loire Atlantique

Message par Montama »
Bonjour,
+1 pour C di à odeur et saveur fortes de farine et à petites spores subglobuleuses

Y.Courtieu

Avatar du membre
Messages : 36091
Enregistré le : 28 oct. 2012, 18:14
Localisation : Haute-Savoie
Site Internet

Message par Y.Courtieu »
C'est d'accord pour Clitocybe ditopa, un clitocybe à lames grises, chapeau pruineux et des toutes petites spores.
Je ne crois pas que je l'avais déjà rencontré. En tout cas jamais identifié.

Merci aux participants, je renomme !
Yves
UN CORPS FROID NE PEUT PAS CHAUFFER UN CORPS CHAUD

Une Science qui baillonne ses contradicteurs ne mérite pas le nom de science.
12 messages Page 1 sur 1