Russula ionochlora ?
Ce forum permet de montrer des photos de champignons et de discuter sur leur détermination.
Attention: ces déterminations ne permettront pas une consommation des champignons !!!
Attention: ces déterminations ne permettront pas une consommation des champignons !!!
8 messages
Page 1 sur 1
- Plus d'infos
- Messages : 7313
- Enregistré le : 21 sept. 2011, 10:40
- Nom : Jean Pierre Raverat
- Association : Association Mycologique Féréopontaine
- Localisation : Seine Port (77)
Bonjour, cette autre russule, en bordure d'allée de feuillus.
Chapeau 3 cm.
Douce, inodore, sporée ll , gaïac ++ sur le pied, légèrement plus faible sur les lames. Fer, orangé vif.
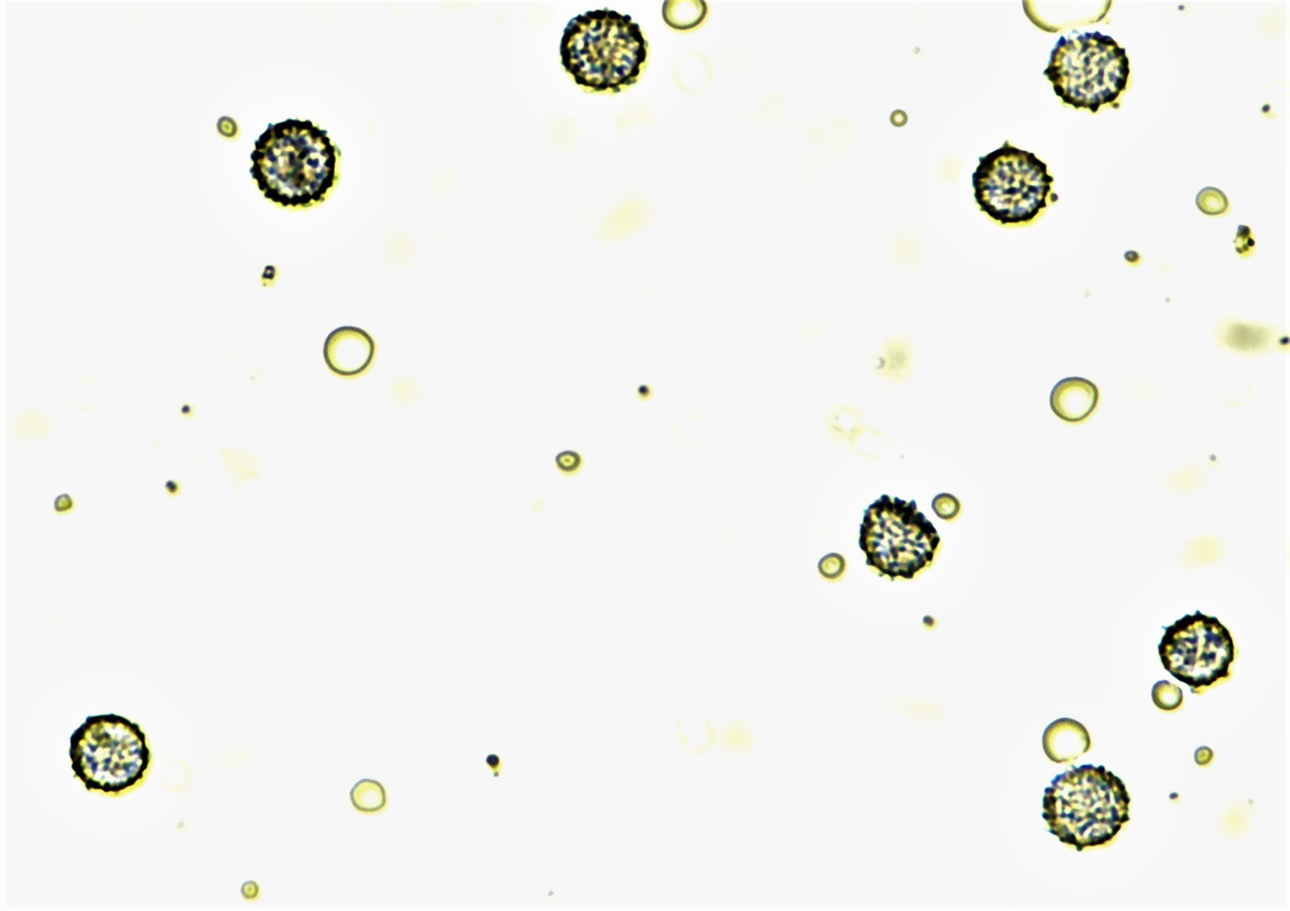
Spores 5,9-7 X 5-5,7 µ
Dermatos 45-68 X 5-6 µ.
Poils 2,5-3,5 µ.
Possible R.ionochlora ?
Chapeau 3 cm.
Douce, inodore, sporée ll , gaïac ++ sur le pied, légèrement plus faible sur les lames. Fer, orangé vif.
Spores 5,9-7 X 5-5,7 µ
Dermatos 45-68 X 5-6 µ.
Poils 2,5-3,5 µ.
Possible R.ionochlora ?
Modifié en dernier par Jean Pierre le 26 août 2021, 21:31, modifié 1 fois.
Jean Pierre Raverat.
http://www.champignons77.org/
http://www.champignons77.org/
- Plus d'infos
- Messages : 7313
- Enregistré le : 21 sept. 2011, 10:40
- Nom : Jean Pierre Raverat
- Association : Association Mycologique Féréopontaine
- Localisation : Seine Port (77)
Bonsoir Gianni,
Je lis que medullata a des spores à verrues isolées et des poils en "tonnelet", ce qui ne semble pas le cas des miennes, mais c'est vrai que mes photos ne sont pas très nettes.
Je lis que medullata a des spores à verrues isolées et des poils en "tonnelet", ce qui ne semble pas le cas des miennes, mais c'est vrai que mes photos ne sont pas très nettes.
Jean Pierre Raverat.
http://www.champignons77.org/
http://www.champignons77.org/
- Plus d'infos
- Messages : 736
- Enregistré le : 17 août 2015, 15:10
17 août 2021, 20:30Jean Pierre a écrit : Bonsoir Gianni,è vero, da PC riesco a vedere meglio le spore. Sarà altro allora.
Je lis que medullata a des spores à verrues isolées et des poils en "tonnelet", ce qui ne semble pas le cas des miennes, mais c'est vrai que mes photos ne sont pas très nettes.
c'est vrai, depuis le PC je vois mieux les spores. Ce sera alors autre chose.
Ciao
Gianni
- Plus d'infos
- Messages : 38501
- Enregistré le : 03 oct. 2011, 10:37
- Nom : Jean-Pierre Lachenal-Montagne
- Associations : Société Mycologique de France - Associu U Muchjinu : Société Mycologique de Porto-Vecchio
- Localisation : Paris, parfois Corse
- Plus d'infos
- Messages : 7313
- Enregistré le : 21 sept. 2011, 10:40
- Nom : Jean Pierre Raverat
- Association : Association Mycologique Féréopontaine
- Localisation : Seine Port (77)
Bonsoir,

25 août 2021, 12:28Jplm a écrit : Bonjour,J'avais pourtant entendu dire qu'il y avait des spécialistes des russules sur ce forum.
Je remonte cette russule du 17 août qui ne passionne pas les foules. Bien mignonne pourtant.
Jplm
Jean Pierre Raverat.
http://www.champignons77.org/
http://www.champignons77.org/
- Plus d'infos
- Messages : 29858
- Enregistré le : 23 sept. 2011, 17:11
- Nom : Laurent Francini
- Association : LA CHANTERELLE DE VILLE-LA-GRAND
- Localisation : La Yaute - Haute-Savoie (la «vraie» Savoie) ;-)
Fichtre, loupé ce sujet!!!
Désolé... Ionochlora est une bonne idée, oui...
http://www.francini-mycologie.fr/index.html • Myco-botaniste passionné! • Nikon D90 - F-S DX 18-200 mm f:3,5/5,6 G ED VRII - AF-S Nikkor 105 mm macro f:2.8 G ED - Micro Nikkor 60 mm f:2.8
8 messages
Page 1 sur 1