Un champignon à Laghouat, Algérie
Ce forum permet de montrer des photos de champignons et de discuter sur leur détermination.
Attention: ces déterminations ne permettront pas une consommation des champignons !!!
Attention: ces déterminations ne permettront pas une consommation des champignons !!!
- Précédente
- 1
- 2
28 messages
Page 2 sur 2
- Plus d'infos
- Messages : 3401
- Enregistré le : 08 sept. 2017, 17:24
- Nom : Nicolas Schwab
- Associations : Société Mycologique de Tramelan - Société Mycologique des Montagnes Neuchâteloises
- Localisation : Renan, BE (Suisse)
22 janv. 2020, 15:43dergfitr a écrit : Nshwab: Oui pour les tons orangés. Les "chlamydospores" je ne sait pas vraiment ce que c'est( (je dois apprendre!)! néanmoins j'ai un microscope, dans quel endroit du champignon je pourrai les voir?J'avais déjà donné une réponse à cette question, mais je remet la réponse ici. C'est des spores asexuées formées dans les tissus mêmes du champignon. Ils ressemblent à des éléments plus ou moins sphériques accrochés en chaînes chez cette espèce.
Fouad: l’impression que j'ai eu c'est un aspect de tissu de velours doux au toucher, c'est peut-être ça!
Mycologue intégriste radicalisé.
- Plus d'infos
- Messages : 19350
- Enregistré le : 10 juin 2014, 18:06
- Nom : Fouad Ouchène
- Association : Société Mycologique de Strasbourg
- Localisation : Alsace-Vosges
- Plus d'infos
- Messages : 21
- Enregistré le : 19 janv. 2020, 21:04
Merci Fouad et NSchwalb !mais je n'ai pas encore assez d’expérience sur les champignons je vais essayer de voir sous mon microscope un bout de tissu demain , j'avoue être dépassé par le sujet la mycologie est une science merveilleuse mais qui nécessite une bonne connaissance de base (ça viendra j'espère
). Une constatation: dans l'allée sur la trottoir il y a six "shinus moll" tous contaminés par ce champignon.Par contre une allée plus loin tout les shinus moll semblent indemnes. S'agirait-il d'un microclimat urbain plus froid et plus humide?comment ces arbres on t-il pu être contaminés? il y a aussi des eucalyptus dans la même allée et ils sont parfaitement indemnes! est- il possible de traiter ces arbres pour les sauver ou l'abattage est la seule solution?Une dernière question, en toute naïveté: il m'est passé par la la tête d'essayer de "cultiver" ce champignon j'ai pensé à le déposer sur de la sciure de bois tamisée ou sur du terreau de bois de jardinage copieusement arrosé, dans une boite plastique hermétique. c'est possible ou cela n'a t-il pas de sens?l'idée est de pouvoir suivre la croissance de ce champignon car ici à laghouat il y a seulement deux saisons et dès la sortie de l'hiver c'est déjà les chaleurs surtout le jour. On ne voit plus alors ce champignon sur aucun arbre jusqu’à l'hiver prochain. merci les gars.
post scriptum: je sais je parle trop mais je veux savoir.
post scriptum: je sais je parle trop mais je veux savoir.
- Plus d'infos
- Messages : 3401
- Enregistré le : 08 sept. 2017, 17:24
- Nom : Nicolas Schwab
- Associations : Société Mycologique de Tramelan - Société Mycologique des Montagnes Neuchâteloises
- Localisation : Renan, BE (Suisse)
22 janv. 2020, 20:47dergfitr a écrit : Merci Fouad et NSchwalb !mais je n'ai pas encore assez d’expérience sur les champignons je vais essayer de voir sous mon microscope un bout de tissu demain , j'avoue être dépassé par le sujet la mycologie est une science merveilleuse mais qui nécessite une bonne connaissance de base (ça viendra j'espèreBeaucoup de questions ici, je vais essayer d'y répondre.). Une constatation: dans l'allée sur la trottoir il y a six "shinus moll" tous contaminés par ce champignon.Par contre une allée plus loin tout les shinus moll semblent indemnes. S'agirait-il d'un microclimat urbain plus froid et plus humide?comment ces arbres on t-il pu être contaminés? il y a aussi des eucalyptus dans la même allée et ils sont parfaitement indemnes! est- il possible de traiter ces arbres pour les sauver ou l'abattage est la seule solution?Une dernière question, en toute naïveté: il m'est passé par la la tête d'essayer de "cultiver" ce champignon j'ai pensé à le déposer sur de la sciure de bois tamisée ou sur du terreau de bois de jardinage copieusement arrosé, dans une boite plastique hermétique. c'est possible ou cela n'a t-il pas de sens?l'idée est de pouvoir suivre la croissance de ce champignon car ici à laghouat il y a seulement deux saisons et dès la sortie de l'hiver c'est déjà les chaleurs surtout le jour. On ne voit plus alors ce champignon sur aucun arbre jusqu’à l'hiver prochain. merci les gars.
post scriptum: je sais je parle trop mais je veux savoir.
Dans l'allée sur le trottoir, il y a six Schinus molle tous contaminés par ce champignon. Par contre une allée plus loin tout les Schinus molle semblent indemnes. Comment la contamination n'a pu se faire que sur ces exemplaires ?
Ici, on peut penser à une contamination racinaire. Ce champignon peut se reproduire de manière sexuée avec des spores ou asexuée avec des chlamydospores. Nous avons peut-être sur ces six arbres le même exemplaire. De plus, les eucalyptus indemnes le sont car le champignon n'est sûrement pas adapté pour pousser dessus.
Est-il possible de traiter ces arbres pour les sauver ou l'abattage est la seule solution ?
Je crois qu'il est impossible de les traiter.
Est-il possible de cultiver ce champignon ?
Probablement. Je ne sais pas si cela marcherait sur la sciure, mais pour les champignons phytopathogènes, on utilise normalement du PDA (Potato Dextrose Agar ; gélose dextrosée à la pomme de terre).
Mycologue intégriste radicalisé.
- Plus d'infos
- Messages : 21
- Enregistré le : 19 janv. 2020, 21:04
Bonjours! en suivant la piste de "l'Inonotus rickii" je suis tombé sur cet article que j'ai pu télécharger.(Inonotus rickii (Pat.) Reid: an important legnicolous basidiomycete in urban trees). Ramos, Ana & Caetano, Filomena & Melo, Ireneia. (2008). Inonotus rickii (Pat.) Reid: um importante basidomiceta lenhícola em árvores urbanas. Revista de Ciências Agrárias. 31. 159-167. ://www.researchgate.net/profile/Ireneia_Me ... rbanas.pdf
https://www.researchgate.net/publicatio ... es_urbanas
Il est en anglais, j'ai pas tout compris mais l'impression générale est que mon champignon correspond bien à cet espèce. Voici quelques passages que j'ai révéle:
"Decay and canker rot caused by I. rickii was also observed on A. negundo, Parkinsonia sp. and S. molle, both on boulevards and public gardens."
"Imperfect fruitbody (anamorph) semispherical or cushion shaped, soft and fleshy at first, velvety to the touch, yellowish brown
to golden brown, later dark brownish and the inner parts totally disintegrating to a mass of chlamydospores,"
"I. rickii is recognized by its ptychogaster state and unique chlamydospores."
J'ai pas compris par exemple pourquoi ses chlamydospores sont uniques!
Par contre un passage fait peur: "Once the tree has succumbed to decay,no cure is possible" C'est un vrais problème de santé arboricole!!
Il y a un autre article intéressant que j'ai pas pu trouver et que je voudrais consulter ( une idée?) est: Malençon G., 1970. Ptychogaster cubensis Pat. et Xanthochrous rickii Pat. parasites du faux-poivrier (Schinus molle L.) au Maroc. Bulletin de la Société Mycologique de France 86, 693–697.A suivre.merci.
https://www.researchgate.net/publicatio ... es_urbanas
Il est en anglais, j'ai pas tout compris mais l'impression générale est que mon champignon correspond bien à cet espèce. Voici quelques passages que j'ai révéle:
"Decay and canker rot caused by I. rickii was also observed on A. negundo, Parkinsonia sp. and S. molle, both on boulevards and public gardens."
"Imperfect fruitbody (anamorph) semispherical or cushion shaped, soft and fleshy at first, velvety to the touch, yellowish brown
to golden brown, later dark brownish and the inner parts totally disintegrating to a mass of chlamydospores,"
"I. rickii is recognized by its ptychogaster state and unique chlamydospores."
J'ai pas compris par exemple pourquoi ses chlamydospores sont uniques!
Par contre un passage fait peur: "Once the tree has succumbed to decay,no cure is possible" C'est un vrais problème de santé arboricole!!
Il y a un autre article intéressant que j'ai pas pu trouver et que je voudrais consulter ( une idée?) est: Malençon G., 1970. Ptychogaster cubensis Pat. et Xanthochrous rickii Pat. parasites du faux-poivrier (Schinus molle L.) au Maroc. Bulletin de la Société Mycologique de France 86, 693–697.A suivre.merci.
- Plus d'infos
- Messages : 19350
- Enregistré le : 10 juin 2014, 18:06
- Nom : Fouad Ouchène
- Association : Société Mycologique de Strasbourg
- Localisation : Alsace-Vosges
Belles photos Youcef,
Je me suis permis de soumettre ta récolte à des mycologues internationaux sur le forum Mycologia europaea. Serge Audet y voit un Inonotus rickii.
Pour conclure avec ton champignon Youcef, il faudrait que tu envoies un échantillon avec hyménium à un de nos mycologues ici, capable de faire une micro complète.
Je me suis permis de soumettre ta récolte à des mycologues internationaux sur le forum Mycologia europaea. Serge Audet y voit un Inonotus rickii.
Pour conclure avec ton champignon Youcef, il faudrait que tu envoies un échantillon avec hyménium à un de nos mycologues ici, capable de faire une micro complète.
- Plus d'infos
- Messages : 3401
- Enregistré le : 08 sept. 2017, 17:24
- Nom : Nicolas Schwab
- Associations : Société Mycologique de Tramelan - Société Mycologique des Montagnes Neuchâteloises
- Localisation : Renan, BE (Suisse)
26 janv. 2020, 22:14Fouad a écrit : Belles photos Youcef,Pour la micro complète, il faudrait une section de tout le champignon. Les chlamydospores étant présente dans le contexte (?) du champignon.
Je me suis permis de soumettre ta récolte à des mycologues internationaux sur le forum Mycologia europaea. Serge Audet y voit un Inonotus rickii.
Pour conclure avec ton champignon Youcef, il faudrait que tu envoies un échantillon avec hyménium à un de nos mycologues ici, capable de faire une micro complète.
Mycologue intégriste radicalisé.
- Plus d'infos
- Messages : 21
- Enregistré le : 19 janv. 2020, 21:04
Je crains qu'envoyer des échantillons n'est pas possible dans le contexte actuel en Algérie( du moins je ne vois pas comment !).
Suite du sujet:
J'ai fait une inspection des shinus molle de laghouat ville aujourd'hui 30 01 2020 avec les enfants( je n'ai plus l'âge de grimper sur les arbres
!) et ma foi l'Inonotus rickii semble s'y plaire: un arbre sur deux est touché et la plupart des arbres infectés sont déjà à demi mort.Il est vrai il s’agit d'arbres assez âgés Il me semble que l'anamorphe peut rester sur l'arbre plus d'une année vu la vieillesse de certains échantillons. La taille est parfois considérable: une bonne trentaine de centimètres pour le plus grand que j'ai pu trouver à ce jour.Ceux d'aujourd'hui sont tous secs et très légers( je suppose donc morts). Quelques photos!
Suite du sujet:
J'ai fait une inspection des shinus molle de laghouat ville aujourd'hui 30 01 2020 avec les enfants( je n'ai plus l'âge de grimper sur les arbres
- Plus d'infos
- Messages : 21
- Enregistré le : 19 janv. 2020, 21:04
-
Jplm En ligne
Plus d'infos
- Messages : 37794
- Enregistré le : 03 oct. 2011, 10:37
- Nom : Jean-Pierre Lachenal-Montagne
- Associations : Société Mycologique de France - Associu U Muchjinu : Société Mycologique de Porto-Vecchio
- Localisation : Paris, parfois Corse
- Plus d'infos
- Messages : 3401
- Enregistré le : 08 sept. 2017, 17:24
- Nom : Nicolas Schwab
- Associations : Société Mycologique de Tramelan - Société Mycologique des Montagnes Neuchâteloises
- Localisation : Renan, BE (Suisse)
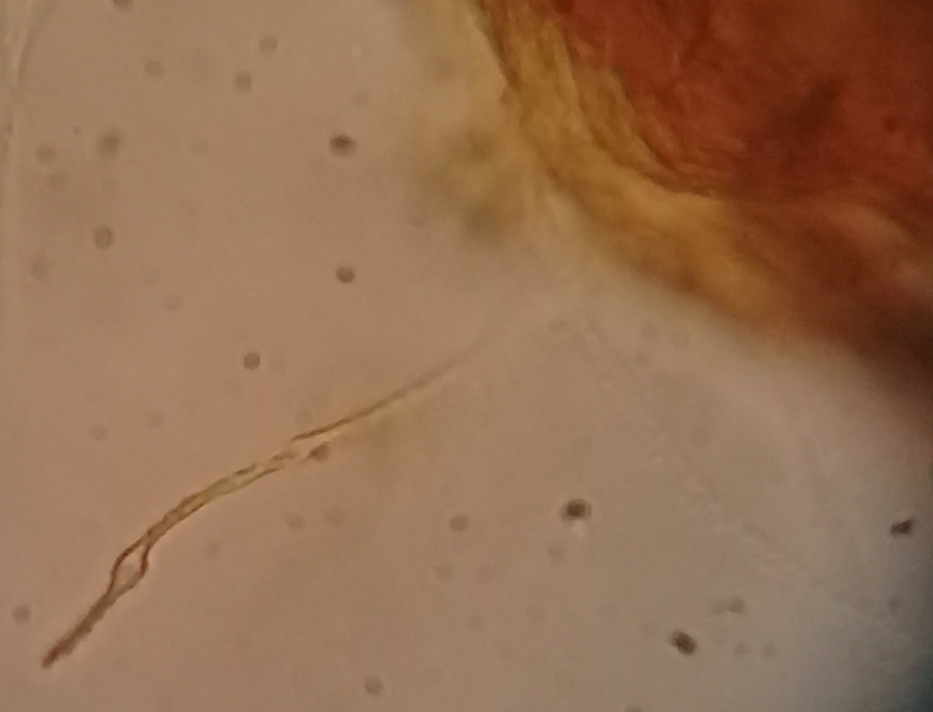
Désolé, je n'ai pas été très actif ces derniers temps. Ces chlamydospores me semblent être celles d'Inonotus rickii. J'ai regardé les photos avec un traitement d'image assez simple. En augmentant le contraste, on remarque quelques spores ayant un "flagelle". Il n'y en a que deux qui en ont nettement. Je les ai mise en évidence ci-dessous. Avoir les spores hors des tissus aiderait à mieux voir, mais je pense qu'il y en a une suffisamment délimitée pour en conclure que c'est bel et bien Inonotus rickii.
Mycologue intégriste radicalisé.
-
Jplm En ligne
Plus d'infos
- Messages : 37794
- Enregistré le : 03 oct. 2011, 10:37
- Nom : Jean-Pierre Lachenal-Montagne
- Associations : Société Mycologique de France - Associu U Muchjinu : Société Mycologique de Porto-Vecchio
- Localisation : Paris, parfois Corse
- Précédente
- 1
- 2
28 messages
Page 2 sur 2