Volvaire pas ordinaire

Ce forum permet de montrer des photos de champignons et de discuter sur leur détermination.

Attention: ces déterminations ne permettront pas une consommation des champignons !!!
7 messages Page 1 sur 1

Duche

Messages : 1008
Enregistré le : 14 juil. 2020, 12:15
Nom : Francois Duriez

Message par Duche »
Bonsoir,

Ces gros machins. 2 exemplaires développés mais 1 beaucoup trop mur. Le reste à l'état d'oeuf en éclosion.

Volvariella sans trop de doutes. Volve en sac, blanc gris, avec des teintes noirâtres soutenues (la photo rend ça en brunatre mais c'est plutôt noiratre). Pied 10 cm sur le plus développé, blanc, semblant lisse. Lames serrées, fragiles, rosâtres. Chapeaux très fibrilleux, rimeux à la marge quand mur, noirâtre. Croissance en groupes, sérrés les uns contre les autres, solidaires (j'ai voulu en bouger un, et j'ai bougé le groupe ).

Sur tas de copeaux de bois en décomposition sur une place bien exposé. Apprécie la chaleur terrible des 3 derniers jours.

1ere rencontre pour moi.
Fichiers joints
IMG_20250702_095526.jpg
IMG_20250702_095400.jpg
IMG_20250702_095441.jpg
IMG_20250702_095453.jpg
IMG_20250702_095516.jpg
Modifié en dernier par Duche le 02 juil. 2025, 22:53, modifié 1 fois.

Nommo En ligne

Avatar du membre
Messages : 27832
Enregistré le : 18 août 2017, 18:36
Nom : François Desprès
Association : Alès
Localisation : Gard

Message par Nommo »
Bonsoir Duche,

Volvariella volvacea.
J’échangerais bien tout ce que je sais contre un pour cent de ce que je ne sais pas. ( Pierre Neville )

Duche

Messages : 1008
Enregistré le : 14 juil. 2020, 12:15
Nom : Francois Duriez

Message par Duche »
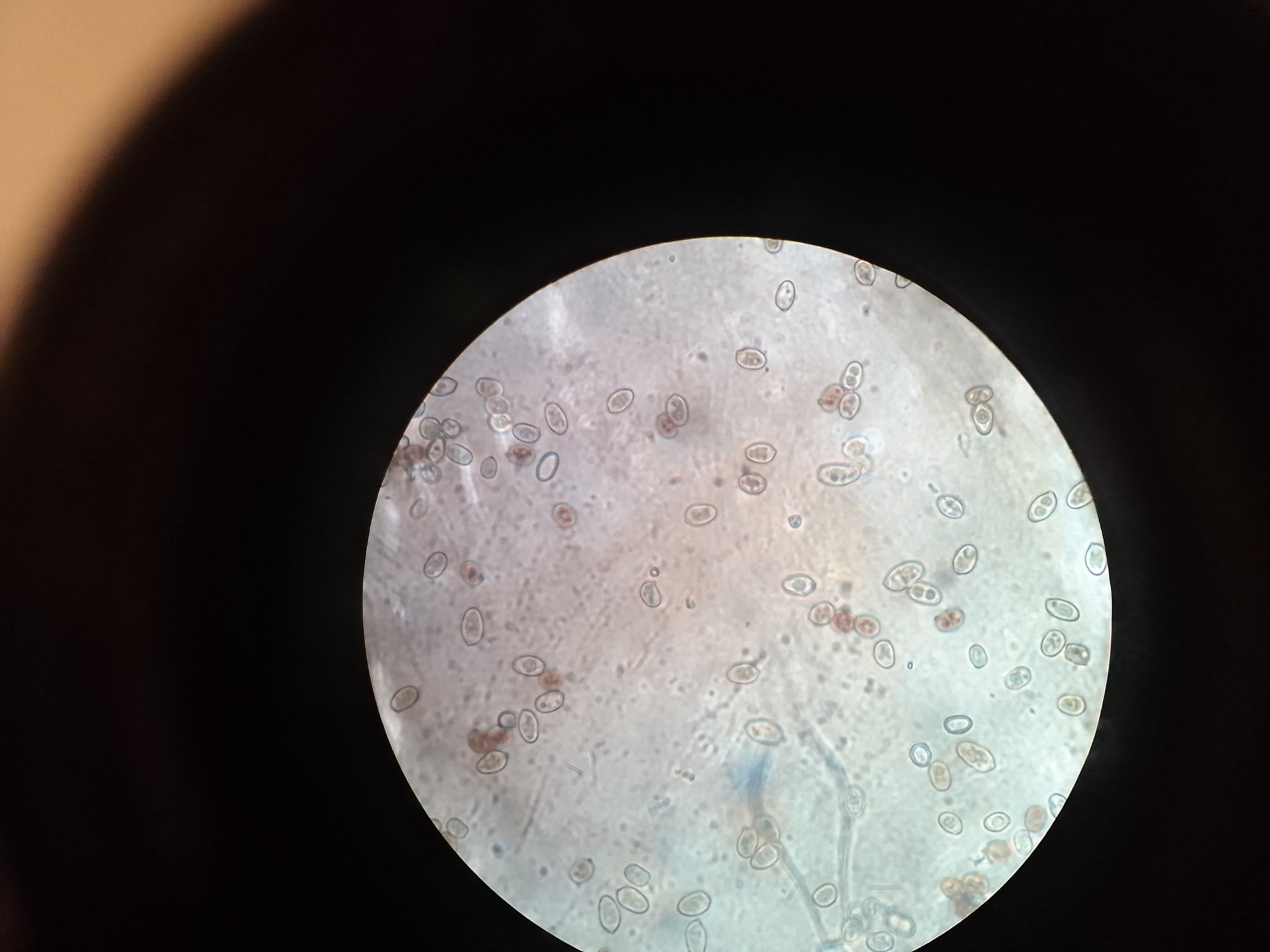
Merci pour la réponse.

Un peu de micro au cas oû.
Fichiers joints
Spores
Spores

Cheilo
Cheilo

Cheilo 2
Cheilo 2

Élements plus cylindriques et longilignes
Élements plus cylindriques et longilignes

Spores et témoins d'A.bisporus
Spores et témoins d'A.bisporus

Duche

Messages : 1008
Enregistré le : 14 juil. 2020, 12:15
Nom : Francois Duriez

Message par Duche »
Ça a l'air de coller très bien la proposition de Nommo. C'était donc bien une première pour moi. Je renomme. Je ne crois pas qu'il y aura débat sur ce cas-ci.

À très vite.

chapon

Messages : 461
Enregistré le : 29 août 2023, 08:06
Nom : patrick Chapon
Associations : Groupe mycologique hte loire - groupe mycologique avignon, SMF
Localisation : vorey

Message par chapon »
Très belle prise, vue une seule fois en Afrique dans le jardin de mon beau-père sous bananiers, l'Afrique nous envoie sa chaleur, son sable et maintenant ces champignons :redface:
"C'est ce que nous pensons déjà connaître qui nous empêche souvent d'apprendre. " Claude Bernard

LOUP

Avatar du membre
Messages : 460
Enregistré le : 23 janv. 2025, 12:47
Localisation : Dijon (Côte d'Or)

Message par LOUP »
Bonjour,
Peut-être un "évadé d'Alcatraz", ce champignon est cultivé pour son goût et fort apprécié des asiatiques...

Duche

Messages : 1008
Enregistré le : 14 juil. 2020, 12:15
Nom : Francois Duriez

Message par Duche »
J'y suis retourné hier. J'ai pris des photos macros un peu mieux car les exemplaires avaient poussé.
Fichiers joints
IMG_20250703_091146.jpg
IMG_20250703_091126.jpg
IMG_20250703_091213.jpg
7 messages Page 1 sur 1