A la base d'un Tilleul

Ce forum permet de montrer des photos de champignons et de discuter sur leur détermination.

Attention: ces déterminations ne permettront pas une consommation des champignons !!!
3 messages Page 1 sur 1

Fouad

Avatar du membre
Messages : 19243
Enregistré le : 10 juin 2014, 18:06
Nom : Fouad Ouchène
Association : Société Mycologique de Strasbourg
Localisation : Alsace-Vosges

Message par Fouad »
Bonjour,
Ce n'est pas un polypore, mais un coprin de taille moyenne, seul. J'ai mis à sporuler pour la suite. Mais si vous avez déjà une idée, je suis preneur :clindoeil:
IMG_0387.JPG
IMG_0388.JPG
IMG_0389.JPG
Modifié en dernier par Fouad le 18 nov. 2022, 17:31, modifié 1 fois.

Nommo

Avatar du membre
Messages : 28692
Enregistré le : 18 août 2017, 18:36
Nom : François Desprès
Association : Alès
Localisation : Gard

Message par Nommo »
Salut Fouad,

Coprinellus radians ?
J’échangerais bien tout ce que je sais contre un pour cent de ce que je ne sais pas. ( Pierre Neville )

Fouad

Avatar du membre
Messages : 19243
Enregistré le : 10 juin 2014, 18:06
Nom : Fouad Ouchène
Association : Société Mycologique de Strasbourg
Localisation : Alsace-Vosges

Message par Fouad »
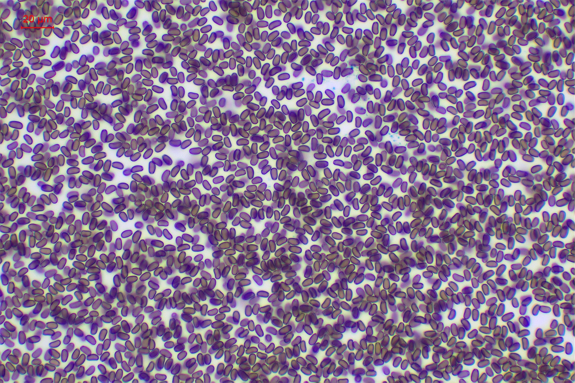
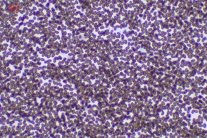
La sporée va à une vitesse ! La lame est noire opaque.
L'espèce est révélée, je pense ?
Fichiers joints
N= 20 ; 7-8  x  3,5-4,5 µ ; Qm= 1,86
N= 20 ; 7-8 x 3,5-4,5 µ ; Qm= 1,86
3 messages Page 1 sur 1